Tốt nghiệp Khoa Dược trường Đại học Võ Trường Toản. Có nhiều năm kinh nghiệm trong ngành Dược. Hiện đang là giảng viên cho Dược sĩ tại Nhà thuốc Long Châu.
Nga Linh
28/12/2023
Mặc định
Lớn hơn
Tình trạng gãy xương cành tươi là khi xương bị nứt hoặc cong mà không bị gãy hoàn toàn thành nhiều mảnh. Ở trẻ nhỏ, khó phát hiện vết thương này và nếu không được chẩn đoán kịp thời, nó có thể dẫn đến các vấn đề sức khỏe nguy hiểm.
Do tính cách hiếu động của trẻ em, các tai nạn thường xuyên xảy ra. Gãy xương cành tươi là một trong những vấn đề thường gặp ở trẻ, đặc biệt là ở độ tuổi dưới 10.
Gãy xương cành tươi là một loại gãy xương nơi xảy ra lực uốn cong, dẫn đến việc nứt gãy. Trong trường hợp này, áp lực không làm xương tách thành nhiều phần.
Gãy xương cành tươi thường được mô tả là gãy một phần hoặc không hoàn toàn, chỉ nằm ở một bên của thân xương, trong đó vỏ xương một bên bị gián đoạn, trong khi bên còn lại vỏ xương vẫn giữ nguyên.
Gãy xương cành tươi thường xuất hiện ở cẳng tay, khi xương uốn cong trước khi gãy và màng ngoài xương vẫn giữ nguyên. Xương gãy trong trạng thái này thường nằm bên trong màng ngoài xương.
Việc chẩn đoán gãy xương cành tươi có thể khó khăn vì trẻ nhỏ có thể tiếp tục sử dụng chi bị ảnh hưởng một cách bình thường. Dạng gãy này thường bị nhầm lẫn với tình trạng bầm tím hoặc bong gân.

Gãy xương cành tươi thường xuất hiện khi người ta ngã và tư thế cánh tay bị nghiêng ra. Nguyên nhân có thể bao gồm các loại chấn thương như va chạm hoặc tác động từ một vật thể. Loại gãy này thường xảy ra ở cẳng tay và cánh tay, đặc biệt là khi bị ngã và tay tự nhiên chống đỡ để giảm thiểu tổn thương.
Gãy xương cành tươi thường phổ biến ở trẻ nhỏ, đặc biệt là ở độ tuổi dưới 10. Điều này có liên quan đến việc xương của trẻ em chủ yếu là sụn và chưa hoàn toàn cốt hóa. Sự mềm dẻo của sụn này giúp kéo dài xương trong quá trình phát triển của trẻ.
Do đó, xương trẻ em thường mềm mại và linh hoạt hơn so với xương của người lớn. Khi chịu lực tác động, xương trẻ em không dễ gãy thành nhiều mảnh, thay vào đó thường chỉ gãy một phần. Tuy nhiên, gãy xương cành tươi có thể xảy ra ở mọi lứa tuổi.

Nhận diện dấu hiệu của gãy xương là một phần quan trọng trong quá trình cấp cứu ban đầu. Dấu hiệu đầu tiên của gãy xương cành tươi thường là cơn đau sau khi trẻ gặp chấn thương. Đau này không giảm đi mà thậm chí còn tăng lên theo thời gian.
Bên cạnh đó, một số dấu hiệu nhận biết gãy xương cành tươi bao gồm:
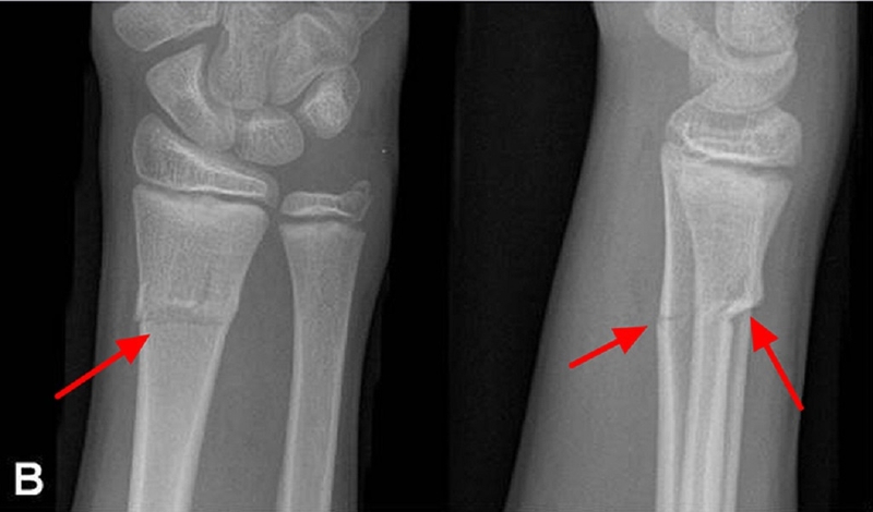
Để đặt chẩn đoán chính xác cho gãy xương cành tươi, việc thực hiện chụp X-quang là cần thiết để hiển thị rõ hình ảnh về toàn bộ vết thương xương.
Trong trường hợp không được điều trị nhanh chóng và kịp thời, gãy xương cẳng tay có thể gây ra nhiều biến chứng khôn lường, ví dụ như:
Ngoài ra, nếu không được điều trị đúng cách, gãy xương cành tươi có thể phát triển thành gãy xương hoàn toàn, gây ra những biến chứng nguy hiểm như chèn ép khoang, liệt thần kinh, vẹo trục, viêm khớp, di lệch xương và biến dạng của chi.

Tùy thuộc vào mức độ nghiêm trọng của gãy xương cành tươi, bác sĩ có thể thực hiện việc duỗi thẳng xương bằng tay và điều chỉnh vị trí để đảm bảo xương lành đúng cách. Trong quá trình này, con bạn sẽ được cung cấp thuốc giảm đau và có thể sử dụng thuốc an thần để giảm đau trong quá trình thực hiện các động tác này.
Gãy xương cành tươi mang theo nguy cơ gãy xương hoàn toàn, đặt ra nhu cầu bất động hóa để ổn định xương trong quá trình điều trị lành thương. Hầu hết các trường hợp bác sĩ sẽ khuyến cáo sử dụng nẹp đúc (bó bột) hoặc nẹp có thể tháo rời để ngăn chặn tình trạng gãy xương hoàn toàn.
Quá trình cố định bằng cách sử dụng bó bột xương gãy thường kéo dài khoảng sáu tuần. Phương pháp bó bột để điều trị này phụ thuộc vào vị trí cụ thể của gãy xương, có thể là gãy đoạn xa hoặc đoạn gần và yêu cầu lựa chọn loại bó bột phù hợp.
Trong trường hợp gãy xương ở đoạn gần, việc theo dõi và điều chỉnh vị trí thường xuyên hơn là quan trọng do tính chất không ổn định và khả năng dễ dàng dịch chuyển.
Trong những trường hợp cần di chuyển nhiều như cổ tay, việc sử dụng nẹp có thể tháo rời là một lựa chọn hiệu quả. Lúc này, bác sĩ sẽ đặt một dụng cụ chỉnh hình linh hoạt tại chỗ giúp giữ cho vùng bị tổn thương không bị cứng và tăng khả năng di chuyển trong quá trình điều trị.
Điều này đặc biệt phù hợp cho trẻ em, giúp bé cảm thấy ít đau và có thể được chăm sóc tại nhà dưới sự quan sát của gia đình. Lợi ích của nẹp tháo rời không chỉ là chi phí thấp hơn mà còn cho phép con bạn dễ dàng tháo ra khi cần tắm.
Nếu có nguy cơ gãy xương hoàn toàn, bác sĩ có thể đề xuất phẫu thuật. Các phương pháp phẫu thuật cho gãy xương cành tươi có thể bao gồm đặt một thanh kim loại bên trong xương hoặc gắn một tấm kim loại xung quanh vết nứt bằng ốc vít.
Thời gian phục hồi cho gãy xương kiểu cành tươi thường biến động tùy thuộc vào mức độ nghiêm trọng của chấn thương và liệu có cần phẫu thuật hay không. Hầu hết các trường hợp gãy xương cành tươi có thể lành trong khoảng bốn đến tám tuần. Để giảm đau và sự khó chịu, bác sĩ thường kê đơn thuốc như ibuprofen hoặc acetaminophen cho trẻ.

Để giảm nguy cơ gãy xương và hạn chế biến chứng, quan trọng nhất là thực hiện các biện pháp an toàn như sau:
Nói chung, gãy xương cành tươi thường có tiên lượng tốt, hầu hết các trường hợp lành thương tốt mà không ảnh hưởng đến chức năng hoạt động của chi bị thương. Tuy nhiên, để tránh biến chứng không mong muốn và nguy cơ biến dạng vĩnh viễn, quan trọng nhất là phải điều trị gãy xương cành tươi một cách chính xác. Nếu xuất hiện dấu hiệu bất thường sau tai nạn hoặc va chạm, việc đến cơ sở y tế để kiểm tra và chẩn đoán sớm là quan trọng để có biện pháp can thiệp kịp thời.
Xem thêm:
Dược sĩ Đại họcTừ Vĩnh Khánh Tường
Tốt nghiệp Khoa Dược trường Đại học Võ Trường Toản. Có nhiều năm kinh nghiệm trong ngành Dược. Hiện đang là giảng viên cho Dược sĩ tại Nhà thuốc Long Châu.