• Thực phẩm chức năng

  • Dược mỹ phẩm

  • Thuốc

  • Chăm sóc cá nhân

  • Thiết bị y tế

  • Tiêm chủng

  • Bệnh & Góc sức khỏe

  • Hệ thống nhà thuốc

    1. /
    2. Góc sức khỏe/
    3. Phòng bệnh & Sống khoẻ

    Răng thưa có trám được không, có giữ được lâu không?

    21/06/2023

    Kích thước chữ

    Trám răng là một phương pháp nha khoa được ứng dụng trong phục hình lại tính thẩm mỹ cho răng trong một số trường hợp nhất định. Vậy đối với tình trạng răng bị thưa thì như thế nào? Răng thưa có trám được không? Để giải đáp cho vấn đề này, mời các bạn theo dõi nội dung được chia sẻ trong bài viết sau đây nhé.

    Trám răng là kỹ thuật phục hình răng đơn giản, tiện lợi, chi phí thấp. Do đó được nhiều người ưa chuộng và lựa chọn để xử lý một số vấn đề răng miệng trong đó có tình trạng răng thưa. Tuy nhiên liệu rằng tất cả trường hợp răng thưa có trám được không?

    Nguyên nhân và ảnh hưởng của răng thưa

    Tại sao răng bị thưa?

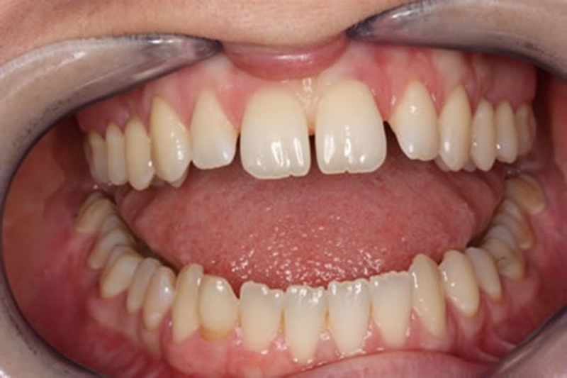
    Răng thưa là tình trạng xuất hiện một khoảng trống ở giữa hai răng và có thể xảy ra ở bất kỳ vị trí nào trong hàm răng hay ở cả hàm răng.

    Khi giữa hai răng có khoảng trống nhìn thấy được bằng mắt thường thì chính là tình trạng răng thưa. Trên thực tế, có khá nhiều nguyên nhân khiến răng bị thưa, chẳng hạn như:

    • Kích thước giữa răng và xương hàm không phù hợp, nếu một trong hai quá nhỏ hoặc quá lớn sẽ khiến cho răng trở nên thưa hơn hoặc mọc chen chúc chồng chéo lên nhau.
    • Bị mất hoặc thiếu răng hoặc răng có kích thước quá nhỏ.
    • Thắng môi khá lớn. Thắng môi là một mảnh mô kéo dài nối từ bên trong môi trên đến nướu. Nếu kích thước thắng môi lớn sẽ tạo ra khoảng cách giữa hai răng.
    • Những thói quen xấu như mút ngón tay hoặc kéo răng cửa về phía trước cũng có nguy cơ gây ra khoảng trống giữa các răng.
    • Nuốt không đúng cách. Khi nuốt thức ăn, bình thường lưỡi sẽ ấn lên vòm miệng nhưng một số người lại đẩy lưỡi ra về phía răng cửa. Dần dần lực đẩy này sẽ làm cho răng cửa di chuyển và tạo ra khoảng trống.
    • Bệnh nướu răng khiến cho xương hàm yếu đi và tiêu biến. Việc mất xương hàm có thể khiến răng dễ lung lay hơn, từ đó di chuyển lung tung và tạo ra khoảng trống.
    Răng thưa là tình trạng xuất hiện một khoảng trống ở giữa hai răng và có thể xảy ra ở bất kỳ vị trí nào trong hàm răng Răng thưa là tình trạng xuất hiện một khoảng trống ở giữa hai răng

    Răng thưa gây ảnh hưởng như thế nào?

    Hàm răng bị thưa không chỉ gây mất thẩm mỹ mà còn khiến bạn gặp phải nhiều vấn đề răng miệng về lâu dài. Do đó bạn cần phải tìm cách khắc phục răng thưa ngay lập tức vì:

    • Răng thưa ảnh hưởng xấu đến cấu trúc xương hàm. Tình trạng sai lệch khớp cắn do răng bị thưa là điều không thể tránh khỏi. Điều này có nguy cơ dẫn tới biến dạng khung xương làm thay đổi khuôn mặt.
    • Răng thưa sẽ khiến thức ăn dễ bị mắc lại trong răng. Việc này tạo điều kiện thuận lợi cho vi khuẩn sinh sôi và gây ra các bệnh như sâu răng, viêm nướu, viêm nha chu, hôi miệng,...
    • Răng thưa ảnh hưởng đến khả năng phát âm, gây trở ngại trong quá trình học ngoại ngữ.
    • Răng thưa làm cho khớp cắn hoạt động không đúng. Từ đó dẫn đến cảm giác đau hoặc gây sứt mẻ, thậm chí gãy răng.

    Vậy làm sao để khắc phục tình trạng răng thưa? Người bị răng thưa có trám được không? Những thắc mắc này sẽ được giải đáp ngay trong phần tiếp theo đây.

    Răng thưa có trám được không?

    Trám răng thưa sẽ được thực hiện bằng vật liệu trám Composite hay còn được gọi là trám răng thẩm mỹ Trám răng thưa thẩm mỹ được thực hiện bằng Composite

    Trám răng là phương pháp mà các bác sĩ sẽ sử dụng vật liệu trám để che kín, lắp đầy những mô răng bị khuyết thiếu. Như vậy thì vấn đề răng thưa có trám được không thì hoàn toàn có thể thực hiện được.

    Thông thường, răng thưa là răng cửa nên tính thẩm mỹ là điều đầu tiên cần được lưu ý. Để nâng cao tính thẩm mỹ, với kỹ thuật nha khoa hiện đại ngày nay, trám răng thưa sẽ được thực hiện bằng vật liệu trám Composite hay còn được gọi là trám răng thẩm mỹ. Bởi vì Composite có thể điều chế màu sắc giống hệt với răng thật.

    Vấn đề răng thưa có trám được không sẽ được giải quyết một cách triệt để và nhanh chóng. Bởi vì thao tác trám tương đối đơn giản và không tốn nhiều thời gian. Do đó, nếu bạn cần phải trám cả toàn hàm răng thưa, thì có thể hoàn tất chỉ trong một buổi khám cũng như không phải đi lại nhiều lần và hẹn khám. Tuy nhiên, phương pháp trám răng thưa chỉ có thể áp dụng cho các trường hợp khoảng thưa nhỏ.

    Trám răng thưa có bền không?

    Để biết trám răng thưa có tốt hay không cần phải phụ thuộc vào 3 yếu tố dưới đây:

    Vật liệu trám răng thưa:

    Vật liệu tốt sẽ giúp trám răng thưa hiệu quả tốt hơn, cũng như giúp cho răng được bền đẹp theo thời gian Vật liệu tốt sẽ giúp trám răng thưa hiệu quả và bền đẹp theo thời gian

    Răng thưa có trám được không hay trám răng thưa có bền không? Để trám răng thưa có độ bền cao, chắc chắn và trông tự nhiên nhất thì vật liệu làm răng là yếu tố rất quan trọng. Trong đó, vật liệu trám răng Composite và Amalgam được chuyên gia đánh giá là các vật liệu trám răng tốt, bền và mang lại hiệu quả cao.

    Do vậy để răng được bền, đẹp và chắc chắn thì khi làm răng cần phải chú ý đến vật liệu đầu tiên. Vật liệu tốt sẽ giúp trám răng thưa hiệu quả tốt hơn, cũng như giúp cho răng được bền đẹp theo thời gian.

    Kỹ thuật của bác sĩ:

    Sau khi đã chọn được vật liệu làm răng phù hợp với nhu cầu và mong muốn thì người làm răng giỏi là điều không thể thiếu. Các bác sĩ kinh nghiệm dày dặn, chuyên môn cao thực hiện trám răng sẽ có kỹ thuật tốt, mang lại hiệu quả tuyệt vời. Bởi vì họ biết xử lý mọi tình huống dễ dàng và theo cách chuyên nghiệp.

    Ngược lại nếu bạn lựa chọn những cơ sở mà trình độ của bác sĩ còn yếu. Miếng trám có thể không được làm đạt chuẩn và bền vững. Điều này còn dễ gây ra các vấn đề bệnh lý răng miệng nghiêm trọng.

    Chế độ chăm sóc sau trám răng thưa:

    Sau khi trám răng thưa thì ít nhiều cũng có những tác động bên trong và bên ngoài cơ thể gây ảnh hưởng đến phần răng trám. Do vậy nếu muốn trám răng thì bạn đừng quên thiết lập cho mình một chế độ ăn hợp lý. Điều này sẽ giúp bạn bảo vệ răng sau khi trám trong môi trường răng miệng.

    Nên nhớ hãy tránh các loại thực phẩm, đồ uống sậm màu và cả các thực phẩm quá lạnh gây ê buốt răng và nhức,…Một điều không thể thiếu là đừng quên vệ sinh răng theo chỉ định của bác sĩ để bảo vệ hàm răng chắc khỏe.

    Vấn đề răng thưa có trám được không đã được chia sẻ cụ thể trong bài viết trên đây. Hy vọng qua bài viết này bạn có thể nắm thêm được những thông tin bổ ích.

    Ngọc Hiếu

    Nguồn tham khảo: Tổng hợp

    Có thể bạn quan tâm

    Thông tin và sản phẩm gợi ý trong bài viết chỉ mang tính chất tham khảo, vui lòng liên hệ với Bác sĩ, Dược sĩ hoặc chuyên viên y tế để được tư vấn cụ thể. Xem thêm

    Dược sĩ Đại họcNguyễn Thanh Hải

    Đã kiểm duyệt nội dung

    Tốt nghiệp Đại học Dược Hà Nội, với hơn 10 năm kinh nghiệm trong lĩnh vực Dược phẩm. Hiện là giảng viên giảng dạy các môn Dược lý, Dược lâm sàng,...

    Xem thêm thông tin