Từng làm ở Viện ISDS, nhiều năm cộng tác với CDC Thái Nguyên triển khai dự án phòng chống HIV/AIDS, 2 năm cộng tác với WHO.
21/06/2023
Mặc định
Lớn hơn
Mất răng không chỉ ảnh hưởng đến thẩm mỹ, đến chức năng nhai mà còn là sức khỏe cả cơ thể. Nếu như đã mất răng lâu năm có trồng được không? Câu hỏi được đặt ra khi mà tỷ lệ trung bình người mất răng ở mức đáng báo động.
Khi mất răng, chúng ta thường có xu hướng không trồng lại răng giả ngay. Phải cho đến khi gặp biến chứng thì mới tìm gặp bác sĩ. Bởi thế, trường hợp đã mất răng lâu năm có trồng được không luôn là băn khoăn của nhiều người. Vậy đâu là giải pháp hoàn hảo và đem lại hiệu quả lâu dài nhất đối với tình trạng này?
/https://cms-prod.s3-sgn09.fptcloud.com/lieu_mat_rang_lau_nam_co_trong_duoc_khong_ky_thuat_trong_rang_nao_toi_uu_nhat_1_d3fae5b9b2.jpg) Liệu mất răng lâu năm có trồng được không?
 Liệu mất răng lâu năm có trồng được không?Hàm răng chúng ta sẽ mọc đủ khi đến tuổi trưởng thành với số răng trung bình là 32 chiếc. Nếu không may mất đi dù chỉ một chiếc cũng đã gây hệ lụy đến nhiều cơ quan và hoạt động khác. Để tìm câu trả lời cho: Mất răng lâu năm có trồng được không? Đầu tiên, cùng khám phá xem nguyên nhân thường gặp của nó là gì nhé!
Sẽ rất khó để chúng ta tránh được những va chạm bất ngờ trong sinh hoạt thường ngày. Nếu như vùng mặt của bạn không may bị chấn thương, trường hợp nhẹ có thể chỉ bị xây xát bên ngoài. Nhưng nếu lực tác động quá mạnh cũng có thể khiến bạn bị mất răng.
Chăm sóc răng miệng là thói quen hằng ngày của mỗi chúng ta. Tưởng chừng như là điều mà ai cũng thành thạo và hiểu rõ về nó. Thế nhưng ít ai biết rằng chúng ta đang sai lầm trong cách bảo vệ hàm răng của mình lâu nay.
Mỗi ngày, chúng ta dung nạp vào cơ thể thức ăn qua khoang miệng. Các vụn thức ăn sẽ dính lại trên các kẽ răng, tạo môi trường lý tưởng để tác nhân gây bệnh xâm nhập. Khi không được vệ sinh đúng cách, các bộ phận này sẽ bị viêm nhiễm và suy yếu. Chúng sẽ không còn bảo vệ được chân răng dẫn đến hiện tượng mất răng.
Nhiều người thường có thói quen nghiến răng trong lúc đang ngủ. Tuy là một thói quen được đánh giá là không gây ảnh hưởng gì nhiều. Nhưng nếu tần suất xảy ra nhiều lần thì sẽ khiến răng bị mòn, chân răng lung lay và thậm chí là mất răng.
/https://cms-prod.s3-sgn09.fptcloud.com/lieu_mat_rang_lau_nam_co_trong_duoc_khong_ky_thuat_trong_rang_nao_toi_uu_nhat_2_f87dbac3d7.jpg) Nguy cơ mất răng lâu năm do hút thuốc lá
 Nguy cơ mất răng lâu năm do hút thuốc láBên cạnh đó, hút thuốc là cũng là một yếu tố có tác động lớn đến răng miệng. Trong thuốc lá có chứa các chất độc hại như nicotine, monoxyde carbon, acid cyanhydric. Chúng có thể phá hoại hệ miễn dịch, làm giảm nồng độ kháng thể trong máu và nước bọt. Lâu dần, nó có thể phát triển thành viêm quanh răng và gây mất răng.
Khi con người dần già đi cũng là lúc các bộ phận trên cơ thể có dấu hiệu suy giảm. Theo đó, răng miệng cũng là một yếu tố dần bị lão hóa về cả hình thái lẫn chức năng. Lúc này, cấu trúc răng đã không còn được chắc khỏe như ban đầu. Các lớp men răng cũng đã bị bào mòn khi đã kinh qua một khoảng thời gian khá dài.
Mỗi chiếc răng sinh ra đều mang trong mình một số chức năng và nhiệm vụ riêng. Mọi người chủ quan cho rằng chỉ mất một vài chiếc cũng không nghiêm trọng gì lắm. Song quan niệm này lại hoàn toàn sai. Việc để trống răng càng lâu sẽ càng kéo theo nhiều biến chứng nguy hiểm, thậm chí là hậu quả mà bạn không hề nghĩ tới.
Nếu bị mất răng thì nhai sẽ là điều đầu tiên bạn nhận thấy được sự thay đổi. Răng giữ vai trò quan trọng trong cắn, xé và nghiền nát thức ăn. Bởi vậy, dù mất răng ở vị trí nào thì khả năng cắn và nhai đều sẽ bị suy giảm.
Bên cạnh đó, ăn nhai kém còn gây ảnh hưởng chức năng tiêu hóa và cả khả năng hấp thụ dinh dưỡng. Thức ăn chưa được nghiền nhỏ trước lúc đưa xuống dạ dày. Khiến cho dạ dày lúc này phải tiết ra nhiều dịch vị và tiêu tốn một nguồn năng lượng rất lớn.
/https://cms-prod.s3-sgn09.fptcloud.com/lieu_mat_rang_lau_nam_co_trong_duoc_khong_ky_thuat_trong_rang_nao_toi_uu_nhat_3_1ac6eb79f4.jpg) Mất răng lâu năm làm mất sự ổn định các răng xung quanh
 Mất răng lâu năm làm mất sự ổn định các răng xung quanhKhi mất răng lâu năm có thể gây ảnh hưởng tới các răng bên cạnh. Lúc này, chúng sẽ mất đi điểm tựa và không còn lực nâng đỡ nên có xu hướng đổ về phía khoảng trống. Lâu dần, sẽ dẫn đến một tình trạng nghiêm trọng hơn là gia tăng nguy cơ mắc các bệnh quanh răng hay rối loạn khớp cắn.
Tiêu xương hàm là biến chứng khá nghiêm trọng khi bị mất răng lâu năm. Thời gian vùng xương hàm không được kích thích từ hoạt động ăn nhai, nó sẽ bị thoái hóa và dần dần tiêu đi. Nếu càng kéo dài thì sẽ gây ra hiện tượng tụt nướu.
Trường hợp mất răng lâu năm do bệnh lý răng miệng, nếu không có giải pháp kịp thời sẽ có nguy cơ mất toàn hàm. Mất răng tạo nên khoảng trống nên nếu vệ sinh răng miệng không kỹ sẽ để lại mảng bám. Nếu không cẩn thận, bạn sẽ có thể làm tổn thương đến nướu và tủy răng.
Khi bị mất răng lâu năm, người bệnh thường đặt ra hàng loạt câu hỏi xoay quanh: “Mất răng lâu năm có trồng được không?”. Bằng sự vượt trội về công nghệ trong lĩnh vực nha khoa hiện tại thì bạn sẽ không phải lo lắng quá nhiều.
Câu trả lời sẽ tùy thuộc vào từng tình trạng răng miệng của các bạn. Kèm theo đó là các yêu cầu về độ tuổi, nhu cầu và cả khả năng tài chính của mỗi người. Trên cơ sở đó, bác sĩ sẽ tư vấn và có giải pháp trồng răng phù hợp nhất cho từng người.
Tuy nhiên, lời khuyên dành cho các bạn là tuyệt đối không nên để răng mình bị mất quá lâu. Bởi lúc bạn nhận ra nó thực sự nguy hiểm, thì chi phí trồng lại răng cũng đã lớn hơn gấp bội rồi.
Để khắc phục những hậu quả của việc mất răng lâu năm và ổn định lại cấu trúc toàn hàm thì phải làm gì? Đừng lo lắng bởi phương pháp trồng răng ra đời đã giúp giải quyết hiệu quả và an toàn vấn đề này. Theo đó, hiện nay có 3 phương pháp trồng răng phổ biến là lựa chọn của nhiều người:
Hàm giả tháo lắp là một kỹ thuật truyền thống trong phục hình răng. Với nền hàm được làm bằng nhựa hoặc kim loại, còn phần răng sẽ được làm từ sứ hoặc nhựa. Thông thường, đây là hình thức phù hợp với răng mất nguyên hàm và đối với người cao tuổi.
Mặc dù có chi phí thấp hơn so với các phương pháp khác và bạn có thể tháo lắp vệ sinh dễ dàng. Tuy nhiên, hình thức này tồn tại khá nhiều những nhược điểm bạn cần cân nhắc:
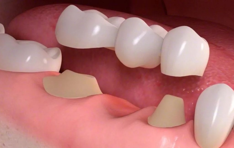
/https://cms-prod.s3-sgn09.fptcloud.com/lieu_mat_rang_lau_nam_co_trong_duoc_khong_ky_thuat_trong_rang_nao_toi_uu_nhat_4_148fd99455.jpg) Kỹ thuật làm cầu răng sứ
 Kỹ thuật làm cầu răng sứ Làm cầu răng sứ là phương pháp sử dụng thân răng thật làm trụ, sau đó gắn răng giả bằng kim loại hoặc sứ. Để thực hiện kỹ thuật này cần mài được 2 răng kế cận để làm trụ nâng đỡ cầu răng sứ.
Để đánh giá thì đây là phương pháp có nhỉnh hơn chút về khả năng ăn nhai so với hàm giả tháo lắp. Nhưng bạn vẫn có thể gặp vài những điểm chưa tốt như:
/https://cms-prod.s3-sgn09.fptcloud.com/lieu_mat_rang_lau_nam_co_trong_duoc_khong_ky_thuat_trong_rang_nao_toi_uu_nhat_5_ffdfdc2c28.jpg) Phương pháp cấy ghép Implant hiệu quả ra sao?
 Phương pháp cấy ghép Implant hiệu quả ra sao?Cho đến nay, cấy ghép Implant được đánh giá là giải pháp hiệu quả, an toàn và tối ưu nhất cho mất răng lâu năm. Chất liệu được sử dụng trong phương pháp này là titanum. Một chất có đặc tính chống mòn, chống gỉ và không gây kích ứng cho cơ thể.
Sau bước cấy ghép chân răng lúc này xương sẽ tự động bám vào implant. Bởi sự liên kết chặt chẽ này mà răng sẽ không bị trượt hay dịch chuyển. Khi chân răng ổn định, thân răng sứ sẽ được thiết kế với lõi rỗng theo đúng kích thước chiếc răng thật của bệnh nhân.
Chi phí trồng răng Implant có phần cao hơn so với với hai phương pháp còn lại. Tuy nhiên, đồng tiền đi đôi với chất lượng bởi Implant có thể đáp ứng đa số mọi yêu cầu của bạn:
Hy vọng sau bài viết này bạn đã tìm được câu trả lời cho: “Mất răng lâu năm có trồng được không?”. Hãy nhớ chăm sóc răng miệng thật tốt và tìm được giải pháp kịp thời cho chúng. Đừng quên tiếp tục theo dõi và bỏ túi thêm nhiều thông tin hữu ích nhé!
Ánh Vũ
Nguồn tham khảo: Tổng hợp
Dược sĩ Đại học Nguyễn Tuấn Trịnh
Từng làm ở Viện ISDS, nhiều năm cộng tác với CDC Thái Nguyên triển khai dự án phòng chống HIV/AIDS, 2 năm cộng tác với WHO.