Tốt nghiệp đại học Khoa Dược. Có kinh nghiệm hơn 10 năm trong lĩnh vực Dược phẩm, tư vấn thuốc và thực phẩm chức năng. Hiện đang là giảng viên cho Dược sĩ tại Nhà thuốc Long Châu.
Thục Hiền
05/03/2024
Mặc định
Lớn hơn
Nấm men Malassezia là một thành phần tự nhiên trong hệ sinh thái của làn da con người. Tuy nhiên, vai trò của nó không chỉ đơn thuần là một phần của hệ vi sinh vật trên da thông thường, mà còn đóng một vai trò quan trọng trong sức khỏe và các tình trạng đặc biệt khi da mất cân bằng.
Trong bài viết này, chúng ta sẽ khám phá những bí ẩn của nấm men Malassezia từ cấu trúc, đến tác động của nó đối với sức khỏe da. Hãy cùng tìm hiểu sâu hơn về loại nấm men này và cách nó ảnh hưởng đến cuộc sống hàng ngày của chúng ta nhé.
Nấm men Malassezia, một loài nấm đặc biệt phổ biến, là một thành phần quan trọng của hệ sinh thái trên da người. Malassezia thuộc nhóm nấm Basidiomycota có hình dạng biến đổi từ hình cầu đến hình elip hoặc hình que, tùy thuộc vào chủng loại và điều kiện môi trường.
Cấu trúc tế bào của nấm men Malassezia chứa một lớp vỏ dày giúp bảo vệ chúng khỏi các điều kiện môi trường không thuận lợi. Lớp vỏ này cũng giúp nấm bám chắc vào bề mặt da. Loại nấm men này có nhiều chủng khác nhau, các chủng phổ biến bao gồm Malassezia furfur, Malassezia globosa, và Malassezia restricta. Malassezia có kích thước nhỏ, thường chỉ khoảng 1,5 - 4,5 µm, vì vậy chúng không thể nhìn thấy bằng mắt thường.

Môi trường sống lý tưởng của loại nấm men Malassezia này là vùng giàu lipid và ẩm ướt trên da. Malassezia là loại nấm phụ thuộc vào các nguồn axit béo để sống, chúng không tự tổng hợp được lipid mà phải hấp thụ chúng từ môi trường xung quanh, chủ yếu là từ bã nhờn và dầu thừa. Điều này có thể giải thích vì sao Malassezia thường được tìm thấy nhiều nhất ở các khu vực da có nhiều tuyến dầu như da đầu, mặt và lưng.
Malassezia cũng có khả năng thích nghi với các điều kiện khác nhau trên da, bao gồm pH và nhiệt độ. Chúng có thể tồn tại và phát triển trong một phạm vi rộng của điều kiện, từ pH 4 - 8 và ở nhiệt độ khoảng 30 - 37 độ C. Điều này giúp Malassezia trở thành một phần không thể thiếu của hệ vi sinh da.
Trong những nghiên cứu gần đây, đã có những chứng minh Malassezia không chỉ sống trên bề mặt da mà còn có khả năng xâm nhập vào các lớp sâu hơn của da, góp phần vào cả quá trình bình thường và bệnh lý của da. Sự hiểu biết này mở ra những khám phá mới về cách nấm men Malassezia tương tác với hệ miễn dịch của cơ thể và ảnh hưởng đến các tình trạng da khác nhau.
Malassezia, một thành viên quan trọng trong hệ vi sinh vật trên da, đóng vai trò cơ bản trong sức khỏe của làn da. Là một loại nấm men cộng sinh, Malassezia tồn tại một cách hòa bình trên bề mặt da của hầu hết mọi người. Chúng có khả năng tiêu thụ các axit béo từ bã nhờn, dầu thừa từ đó giúp duy trì sự cân bằng tự nhiên cho da khoẻ mạnh.

Vai trò chính của Malassezia là hỗ trợ trong việc bảo vệ da khỏi sự xâm nhập của các mầm bệnh và vi sinh vật gây hại khác. Loại nấm này cũng giúp điều chỉnh và cân bằng sự phát triển của các vi sinh vật khác trên da, duy trì một môi trường ổn định. Sự cân bằng này quan trọng cho sức khỏe da, ngăn chặn các tình trạng viêm nhiễm và dị ứng.
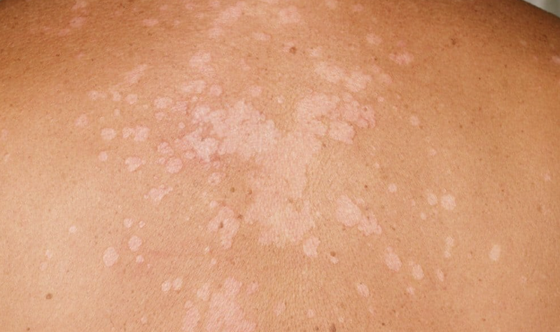
Mặc dù Malassezia đóng vai trò tích cực trong việc duy trì sự cân bằng tự nhiên của da, nhưng khi sự cân bằng này bị phá vỡ, nó có thể gây ra một số vấn đề da. Các vấn đề thường gặp bao gồm:

Những vấn đề da này, mặc dù không nguy hiểm cho sức khỏe tổng thể nhưng lại gây khó chịu và tự ti cho người bệnh. Việc hiểu và đối phó với sự phát triển quá mức của Malassezia là quan trọng để duy trì làn da khỏe mạnh và thoải mái.
Khi Malassezia gây ra các tình trạng da, việc điều trị thường dựa trên việc sử dụng các sản phẩm chứa thành phần chống nấm và chống vi khuẩn. Các loại dầu gội, kem bôi, hoặc thuốc mỡ chứa các hoạt chất như ketoconazole, selenium sulfide, zinc pyrithione thường được sử dụng để kiểm soát và giảm thiểu sự phát triển của nấm.
Trong các trường hợp nấm gây ra tình trạng da nghiêm trọng hoặc không đáp ứng với các biện pháp điều trị thông thường, sự can thiệp của bác sĩ da liễu là cần thiết. Bác sĩ có thể cung cấp các liệu pháp điều trị phù hợp hơn, bao gồm thuốc kê đơn tác dụng mạnh hơn và các liệu pháp chuyên biệt dựa trên đặc điểm cụ thể của tình trạng da.

Bên cạnh đó, việc phòng ngừa luôn quan trọng hơn việc điều trị. Một số biện pháp giúp ngăn chặn sự phát triển của Malassezia như thực hiện vệ sinh da đúng cách:
Thêm vào đó, một chế độ ăn uống cân đối, lành mạnh cũng góp phần cải thiện sức khoẻ làn da. Một chế độ ăn giàu chất chống oxy hóa và ít đường có thể giúp cải thiện, duy trì sức khỏe tổng thể của da và giảm nguy cơ phát triển các vấn đề liên quan đến nấm.
Nấm men Malassezia là một thành phần quan trọng, đóng vai trò trong việc duy trì sự cân bằng và sức khỏe của làn da. Mặc dù thường có vai trò tích cực, nhưng khi sự cân bằng bị phá vỡ, Malassezia có thể gây ra nhiều vấn đề về da khá khó chịu như gàu, viêm da dầu, nấm móng, và lang ben. Hiểu và quản lý sự phát triển của loại nấm này là chìa khoá giúp duy trì làn da khỏe mạnh.
Dược sĩ Đại họcNguyễn Thị Hồng Nhung
Tốt nghiệp đại học Khoa Dược. Có kinh nghiệm hơn 10 năm trong lĩnh vực Dược phẩm, tư vấn thuốc và thực phẩm chức năng. Hiện đang là giảng viên cho Dược sĩ tại Nhà thuốc Long Châu.