• Thực phẩm chức năng

  • Dược mỹ phẩm

  • Thuốc

  • Chăm sóc cá nhân

  • Thiết bị y tế

  • Tiêm chủng

  • Bệnh & Góc sức khỏe

  • Hệ thống nhà thuốc

    1. /
    2. Góc sức khỏe/
    3. Phòng bệnh & Sống khoẻ

    Nguyên nhân gãy xương đòn vai? Các phương pháp điều trị

    21/06/2023

    Kích thước chữ

    Gãy xương đòn vai là loại chấn thương khá phổ biến hiện nay. Tình trạng này xảy ra do nhiều nguyên nhân khác nhau như tai nạn giao thông, tai nạn thể thao... Gãy xương đòn vai nếu như được điều trị đúng cách và kịp thời sẽ rút ngắn thời gian phục hồi cũng như không để biến chứng về sau.

    Gãy xương đòn vai (hay được gọi là xương quai xanh) là một trong những chấn thương thường gặp hiện nay. Bất kỳ tác động nào đến vùng vai đều có thể làm tổn thương và gãy xương ở khu vực này. Bài viết dưới đây, nhà thuốc Long Châu sẽ giải đáp về vấn đề nguyên nhân gãy xương đòn vai và các phương pháp điều trị hiệu quả.

    Các nguyên nhân gây gãy xương đòn vai

    Xương đòn vai hay còn gọi là xương quai xanh nằm giữa lồng ngực và bả vai có tác dụng như một thanh chống, cho phép khớp vai có thể hoạt động với cường độ tối ưu. Ngoài ra, xương đòn còn có chức năng bảo vệ một số cấu trúc quan trọng ở phía dưới như phổi, đám rối cánh tay, bó mạch dưới đòn…

    Phần lớn những trường hợp gãy xương đòn vai đều xuất phát từ nguyên nhân tai nạn giao thông, tai nạn trong quá trình sinh hoạt. Chấn thương này cũng thường gặp trong những môn thể thao có tính chất va chạm mạnh như trượt ván, bóng rổ, bóng đá, đua xe đạp, bóng bầu dục…

    Theo thống kê, có khoảng 80% các trường hợp gãy xương đòn vai là do chấn thương gián tiếp ngã đập và chống tay với tư thế dạng. Trường hợp gãy xương đòn vai trực tiếp chiếm khoảng 20% và hầu hết là chấn thương hở.

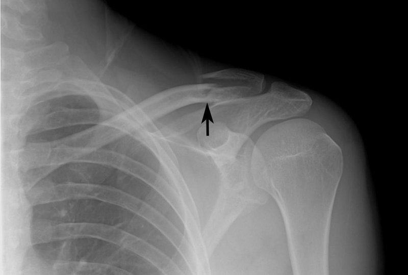
    Nguyên nhân gãy xương đòn vai? Các phương pháp điều trị 1 Gãy xương đòn xảy ra do nhiều nguyên nhân khác nhau với mức độ nghiêm trọng khác nhau

    Triệu chứng nhận biết gãy xương đòn

    Một số triệu chứng thường gặp khi xương đòn vai bị gãy có thể kể đến như:

    • Vùng xương quai xanh có vết bầm dập, đau nhức, bầm tím và sưng tấy.
    • Vùng vai chùng xuống hoặc sụp hẳn xuống, không còn khả năng thực hiện chức năng giữ và treo cánh tay với bả vai.
    • Cơn đau tại khớp vai có thể tăng mạnh nếu như người bệnh cố gắng cử động và dang cánh tay.
    • Cơn đau khiến cho cánh tay bị tê và có cảm giác châm chích.
    • Người bệnh dù dùng thuốc giảm đau nhưng đều không cải thiện.
    • Vùng vai biến dạng, thậm chí phần xương có thể đâm ra khỏi da. Người bệnh nếu gặp triệu chứng này thì hãy nhanh chóng đến cơ sở y tế chuyên khoa để được thăm khám và điều trị kịp thời.

    Các phương pháp chữa trị gãy xương đòn vai

    Trước khi điều trị, các bác sĩ sẽ tiến hành khám và chẩn đoán tình trạng gãy xương vai để chỉ định phương pháp điều trị phù hợp nhất. Hiện nay, phương pháp điều trị tình trạng gãy xương đòn vai được nhiều người đánh giá cao, đó là:

    Phương pháp điều trị bảo tồn

    Các bác sĩ cho biết, dù chấn thương tại xương đòn vai khá dễ liền nhưng việc nắn, cố định xương đòn tại một chỗ là rất khó khăn. Trước kia, để có thể cố định vị trí xương đòn, bác sĩ sẽ thực hiện bó bột cho người bệnh (Bó bột số 8 hay bó bột ngực vai cánh tay). Tuy nhiên hiện nay, phương pháp bó bột không còn phổ biến nữa do chúng gây ra nhiều bất tiện cho người bệnh. Vì vậy, thay vào đó, các bác sĩ sẽ sử dụng phương pháp bảo tồn nhẹ nhàng hơn đó là sử dụng băng số 8 hay áo Dasault để giúp cố định xương gãy.

    Phương pháp này thường được chỉ định đối với các trường hợp gãy hoàn toàn di lệch chồng ngắn nhưng từ chối phẫu thuật. Sử dụng đai bất động vai số 8 giúp điều chỉnh cũng như ngăn ngừa di lệch chồng.

    Phương pháp điều trị phẫu thuật

    Người bệnh nếu gặp các tình trạng dưới đây sẽ được bác sĩ chuyên khoa chỉ định thực hiện phẫu thuật điều trị gãy xương đòn vai:

    • Gãy xương đòn vai làm tổn thương đến hệ thống thần kinh hoặc mạch máu như: gãy xương vai chọc thủng da, gãy xương vai thủng màng phổi, gãy xương đòn di lệch nhiều, gãy xương sườn...
    • Gãy xương đòn vai hở, gãy xương đòn vai có phần cơ kẹt vào vị trí gãy.
    • Người bệnh có nhu cầu phẫu thuật để sớm quay lại cuộc sống sinh hoạt.
    • Xương đòn vai không liền sau khi điều trị bảo tồn.

    Hiện nay, điều trị phẫu thuật gãy xương đòn vai bao gồm 2 kỹ thuật đó là: Phẫu thuật nẹp xương bằng vít và kỹ thuật bằng đinh Kirschner. Tuy phương pháp phẫu thuật giúp cải thiện tình trạng bệnh nhanh chóng nhưng chúng cũng tiềm ẩn nhiều rủi ro nhất định như: Nhiễm trùng vết mổ, viêm xương, gãy nẹp, có sẹo ảnh hưởng đến thẩm mỹ.

    Nguyên nhân gãy xương đòn vai? Các phương pháp điều trị 2 Khi gãy xương đòn vai làm tổn thương màng phổi sẽ được chỉ định phẫu thuật

    Phòng ngừa gãy xương đòn vai

    Để phòng ngừa tình trạng chấn thương gãy xương đòn vai, trong sinh hoạt thường ngày bạn nên lưu ý một số vấn đề sau:

    • Trang bị đầy đủ trang thiết bị và bảo hộ lao động để phòng tránh tai nạn không đáng có trong quá trình lao động.
    • Chấp hành luật giao thông và tham gia giao thông an toàn, không vượt đèn đỏ, lạng lếch hay đánh võng.
    Nguyên nhân gãy xương đòn vai? Các phương pháp điều trị 3 Tuân thủ luật giao thông để hạn chế tình trạng gãy xương đòn vai
    • Trước khi chơi các môn thể thao cần khởi động kĩ khoảng 20 - 30 phút. Trong các trận đấu thể thao, tránh gây chấn thương cho đối thủ và chơi với tinh thần lành mạnh, tôn trọng lẫn nhau.
    • Tìm hiểu và trang bị kiến thức về cách sơ cứu khi bị gãy xương vai.

    Hy vọng bài viết này đã giúp bạn hiểu về nguyên nhân và các phương pháp điều trị gãy xương đòn vai. Nếu được chẩn đoán và áp dụng đúng cách chữa trị, tình trạng bệnh sẽ được cải thiện nhanh chóng và không để lại biến chứng nghiêm trọng.

    Thùy Dung

    Nguồn tham khảo: Tổng hợp

    Có thể bạn quan tâm

    Thông tin và sản phẩm gợi ý trong bài viết chỉ mang tính chất tham khảo, vui lòng liên hệ với Bác sĩ, Dược sĩ hoặc chuyên viên y tế để được tư vấn cụ thể. Xem thêm

    Dược sĩ Đại họcTừ Vĩnh Khánh Tường

    Đã kiểm duyệt nội dung

    Tốt nghiệp Khoa Dược trường Đại học Võ Trường Toản. Có nhiều năm kinh nghiệm trong ngành Dược. Hiện đang là giảng viên cho Dược sĩ tại Nhà thuốc Long Châu.

    Xem thêm thông tin
    Chủ đề:gãy xương