Tốt nghiệp Khoa Dược trường Đại học Võ Trường Toản. Có nhiều năm kinh nghiệm trong ngành Dược. Hiện đang là giảng viên cho Dược sĩ tại Nhà thuốc Long Châu.
21/06/2023
Mặc định
Lớn hơn
Xương thủy tinh hay còn gọi là bệnh tạo xương bất toàn hoặc bệnh giòn xương. Bệnh tương đối hiếm gặp với tỉ lệ mắc bệnh khoảng 1/10.000. Cùng tìm hiểu về căn bệnh này cũng như biết cách chăm sóc cho trẻ em mắc bệnh xương thủy tinh.
Xương thủy tinh là bệnh di truyền về xương do đột biến gen trên nhiễm sắc thể thường, làm tổn thương các sợi collagen của xương làm cho xương rất giòn và dễ gãy. Nếu được phát hiện sớm bệnh ở trẻ sẽ hạn chế được tối đa các biến chứng và tránh được những bệnh lý bẩm sinh xảy ra ở các thế hệ tiếp theo.
/https://cms-prod.s3-sgn09.fptcloud.com/nhan_biet_benh_xuong_thuy_tinh_o_tre_1_1ec316da4f.jpg) Xương thủy tinh không thể phòng ngừa được do trẻ mắc bệnh từ khi còn trong bụng mẹ
Xương thủy tinh không thể phòng ngừa được do trẻ mắc bệnh từ khi còn trong bụng mẹXương thủy tinh tuýp 1: Là thể nhẹ nhất và hay gặp nhất, khi trẻ sinh ra vẫn có vóc dáng phát triển bình thường và chỉ phát hiện ra bệnh khi có thấy những dấu hiệu của bệnh xương thủy tinh như:
Xương thủy tinh tuýp 2: Đây là thể nặng nhất, là sự tổn thương thành phần collagen của mô liên kết khiến xương bị loãng, giòn, dễ gãy. Thai nhi mắc bệnh xương thủy tinh tuýp 2 có thể chết ngay sau khi sinh hoặc chỉ sống được một thời gian ngắn. Biểu hiện thường gặp ở trẻ như:
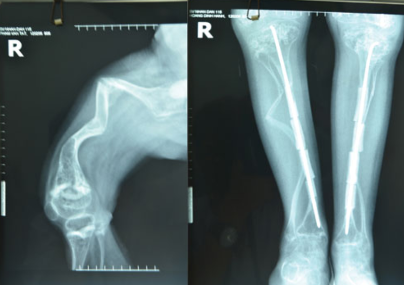
/https://cms-prod.s3-sgn09.fptcloud.com/nhan_biet_benh_xuong_thuy_tinh_o_tre_2_e13f3cfc82.png) Những xét nghiệm X-quang cho thấy trẻ mắc bệnh xương thủy tinh có xương tứ chi biến dạng
Những xét nghiệm X-quang cho thấy trẻ mắc bệnh xương thủy tinh có xương tứ chi biến dạngXương thủy tinh 3: Là thể tương đối nặng, nguyên nhân là do tình trạng suy giảm chất lượng xương do thiếu hụt hàm lượng collagen và mô liên kết ở mức độ tương đối nặng, khiến xương của trẻ trở nên giòn và giảm khả năng chịu lực.
Nhóm tuýp 4: Đây được coi là mức độ nặng bình thường của bệnh xương thủy tinh. Các bác sĩ đã chỉ ra rằng, khi mắc bệnh ở mức độ này, bác sĩ có thể phát hiện sớm khi mẹ đi siêu âm ở tuần thứ 15.
/https://cms-prod.s3-sgn09.fptcloud.com/nhan_biet_benh_xuong_thuy_tinh_o_tre_3_fde690f2de.jpg) Chế độ dinh dưỡng để cơ thể tăng tổng hợp collagen và canxi giúp trẻ khỏe xương
Chế độ dinh dưỡng để cơ thể tăng tổng hợp collagen và canxi giúp trẻ khỏe xươngXương thủy tinh là một trong những căn bệnh không thể phòng ngừa được do trẻ mắc bệnh từ khi còn trong bụng mẹ. Những xét nghiệm X-quang cho thấy tình trạng trẻ mắc bệnh xương thủy tinh có xương tứ chi biến dạng, vỏ xương mỏng, giảm độ đặc của xương. Vì thế khi trẻ được chẩn đoán mắc bệnh này, tùy vào mức độ của xương mà bác sĩ sẽ xác định được các dạng tuýp của xương thủy tinh. Nếu bác sĩ chỉ định bé có thể sinh ra bình thường thì mẹ nên chăm sóc trẻ theo chế độ đặc biệt hơn.
Trẻ sinh ra nếu bị gãy xương từ trong bụng mẹ thì bác sĩ sẽ tiến hành điều trị xương gãy, phục hồi chức năng cho trẻ bằng các phương tiện hỗ trợ trong việc đi lại.
Cho trẻ thực hiện những bài tập vật lý trị liệu hoặc những bài tập nâng cơ giúp rèn luyện thân thể thường xuyên, phòng ngừa gãy xương. Những bài tập nhẹ nhàng có thể như đi bộ, đứng, nâng người và bơi lội, thông qua sự khuyến cáo của bác sĩ.
Sử dụng những loại thuốc hỗ trợ làm tăng độ cứng chắc của xương. Những loại thuốc này không thể chữa được bệnh, nhưng có thể ngăn ngừa gãy xương, tăng khối lượng xương và giảm tiến triển bệnh nếu sử dụng đúng liều lượng.
Trong 6 tháng đầu tiên, mẹ nên cho trẻ phơi nắng khoảng 10-15 phút mỗi ngày vào lúc 6-9 giờ sáng. Ánh nắng mặt trời sẽ cung cấp vitamin D hỗ trợ quá trình hấp thụ canxi trong cơ thể. Mẹ nên để tia nắng mặt trời phải chiếu trực tiếp lên da của bé, có thể cởi bỏ quần áo cho bé để nắng chiếu lên hai chân, sau đó từ từ cho bé nhận ánh nắng từ phía sau lưng.
Trong thời gian phát triển của trẻ, mẹ cần phải kiên trì, tỉ mỉ và rất nhẹ nhàng. Không cho trẻ chạy nhảy mạnh, vận động quá sức để tránh các tổn thương ảnh hưởng đến xương. Thông báo tình trạng bệnh cho những người xung quanh, bạn bè của trẻ cũng cần biết để tránh chơi đùa mạnh khiến trẻ bị thương. Khi trẻ bị gãy xương, cha mẹ nên nẹp phần xương bị gãy, sau đó mới đưa trẻ đến bệnh viện có chuyên khoa về xương để xử lý kịp thời.
Cho bé ăn thực phẩm giàu canxi và vitamin D như các loại thịt và nước hầm xương, sữa, cá, ngũ cốc, nấm, rau xanh.
Những loại trái cây chứa nhiều vitamin C như đu đủ, ổi, dứa, cam, bưởi, dâu tây, các loại rau củ quả như cà chua, súp lơ, cải xanh và cải xoăn… giúp cung cấp các chất chống oxy hóa, làm chậm quá trình thoái hóa xương.
Bổ sung vitamin D có thể giúp ngăn ngừa sự phá vỡ sụn, yếu cơ hoặc lỏng khớp, vẹo cột sống (cong cột sống) bằng những loại thực phẩm như cá hồi, cá mòi, tôm, trứng, đậu hũ, sữa chua.
Xuân Trúc
Nguồn: Tổng hợp
Dược sĩ Đại họcTừ Vĩnh Khánh Tường
Tốt nghiệp Khoa Dược trường Đại học Võ Trường Toản. Có nhiều năm kinh nghiệm trong ngành Dược. Hiện đang là giảng viên cho Dược sĩ tại Nhà thuốc Long Châu.