• Thực phẩm chức năng

  • Dược mỹ phẩm

  • Thuốc

  • Chăm sóc cá nhân

  • Thiết bị y tế

  • Tiêm chủng

  • Bệnh & Góc sức khỏe

  • Hệ thống nhà thuốc

    1. /
    2. Góc sức khỏe/
    3. Phòng bệnh & Sống khoẻ

    Niềng răng bị tiêu xương nguyên nhân do đâu? Cách khắc phục ra sao?

    21/06/2023

    Kích thước chữ

    Có rất nhiều nguyên nhân khách quan và chủ quan dẫn đến tình trạng niềng răng bị tiêu xương. Không chỉ ảnh hưởng đến tính thẩm mỹ bên ngoài mà điều này còn khiến cho răng của bạn trở nên đau nhức, ê buốt rất khó chịu. 

    Niềng răng bị tiêu xương có thể xảy ra ở bất cứ đối tượng nào trong quá trình niềng răng. Việc tìm hiểu về những đặc điểm của tình trạng này sẽ giúp bạn biết cách chủ động hơn trong hướng phòng ngừa cũng như điều trị.

    Niềng răng bị tiêu xương là gì?

    Tiêu xương răng chính là sự suy giảm, tiêu biến về chiều cao, mật độ, số lượng và thể tích xương ổ răng. Xương răng có cấu tạo chủ yếu từ muối khoáng sinh học nên rất dễ tạo ra khoảng trống. Chính vì vậy, khi chịu tác động từ bên ngoài, phần xương hàm sẽ rất dễ bị tiêu hõm. Tùy thuộc vào cơ địa ở mỗi người mà tiêu xương răng có thể xảy ra theo chiều dọc hoặc chiều ngang.

    Niềng răng bị tiêu xương nguyên nhân do đâu? Cách khắc phục ra sao?1 Hiện tượng tiêu xương ở răng

    Tiêu xương răng thường xảy ra sau 3 tháng niềng răng. Đây cũng chính là thời điểm mà mật độ xương hàm của bạn suy giảm rất mạnh và khá dễ để có thể nhận biết. Những răng liền kề cũng sẽ dần đổ về với vị trí răng đã bị mất. Trong 1 năm đầu sau khi niềng răng, có đến 25% xương hàm tại vị trí bị mất răng có khả năng bị tiêu biến. Khi ấy, bạn sẽ nhận thấy bị hóp má nhẹ và trở nên già hơn. Sau thời gian khoảng 3 năm, phần xương hàm sẽ biến mất khoảng 45 đến 60%, bạn sẽ nhận thấy phần nướu hõm sâu một cách rõ rệt.

    Nguyên nhân dẫn đến tiêu xương khi niềng răng

    Phương pháp niềng răng thường sẽ tác động lực vừa phải lên răng để dịch chuyển răng về những vị trí chuẩn đẹp, đạt tỷ lệ khớp cắn phù hợp. Sau khi thực hiện phương pháp này, bạn sẽ sở hữu được hàm răng đều đẹp như mong muốn với khuôn mặt hài hòa, có tính thẩm mỹ cao. Mặc dù vậy lại có các trường hợp khi niềng răng bị tiêu xương là do những nguyên nhân dưới đây:

    • Tay nghề bác sĩ kém, thực hiện lực siết ở trên răng không thực sự phù hợp.
    • Do các bệnh lý về răng miệng chưa được điều trị dứt điểm trước khi bạn niềng răng, nhất là chứng viêm nha chu. Điều này sẽ gây tổn thương đến những tổ chức xung quanh răng, trong đó bao gồm cả xương hàm và mô nướu.
    • Khi răng dịch chuyển, xương hàm cần có sự bồi đắp của canxi. Nếu như quá trình này xảy ra chậm thì mật độ khoáng ở trong xương thấp. Từ đó sẽ khiến cho xương hàm bị tiêu nhanh hơn.
    • Việc chăm sóc răng miệng không đúng cách, gây ra các bệnh như viêm nha chu, viêm nướu khi đang trong quá trình niềng răng cũng có thể gây tiêu xương nếu như bạn không biết cách khắc phục kịp thời.

    Niềng răng bị tiêu xương gây hậu quả gì?

    Tình trạng tiêu xương khi niềng răng nếu không được khắc phục kịp thời sẽ gây ra những biến chứng như:

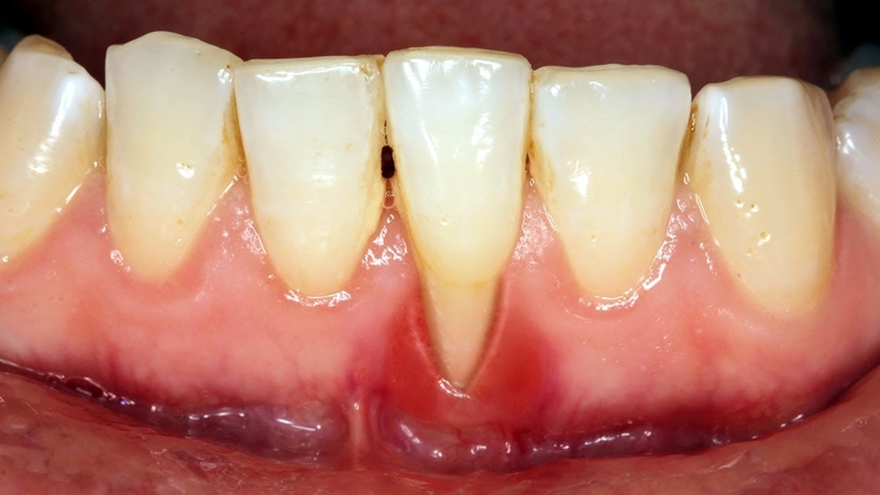
    Tụt nướu (lợi) chân răng

    Khi xương bị tiêu giảm về độ rộng cũng như chiều cao thì sẽ không còn khả năng nâng đỡ nướu. Từ đó sẽ gây ra hiện tượng tụt lợi chân răng. Bờ nướu mỏng khi tụt xuống sẽ làm cho chân răng bị lộ ra nhiều hơn so với bình thường.

    Niềng răng bị tiêu xương nguyên nhân do đâu? Cách khắc phục ra sao?2 Niềng răng bị tiêu xương có thể gây tụt lợi chân răng

    Cấu trúc răng lệch lạc, sai khớp cắn

    Những răng ở trên cung hàm thường có xu hướng đổ về vị trí trũng khi bị tiêu xương hàm. Phần răng này sẽ bị xô lệch, hàm dưới và hàm trên lệch nhau hoặc bị lệch khớp cắn.

    Suy giảm chức năng ăn nhai

    Nếu như phần xương hàm không còn khỏe mạnh thì khả năng ăn nhai của răng sẽ bị giảm sút một cách đáng kể. Điều này sẽ ảnh hưởng gián tiếp đến sức khỏe do khả năng hấp thụ chất dinh dưỡng bị giảm. Từ đó sẽ làm tăng nguy cơ mắc phải những bệnh lý về dạ dày và tiêu hóa.

    Răng bị lung lay, mất răng

    Khi những tổ chức nâng đỡ răng là mô nướu và xương ổ răng bị suy yếu thì sẽ xảy ra hiện tượng răng bị lung lay, gãy rụng.

    Phương pháp khắc phục niềng răng bị tiêu xương

    Đối với các trường hợp đã niềng răng và không may bị tiêu xương thì cần phải có sự can thiệp của những biện pháp nha khoa. Đầu tiên, bác sĩ sẽ phải thăm khám trực tiếp để có thể đưa ra được đánh giá về mức độ tiêu xương, từ đó sẽ đưa ra hướng khắc phục phù hợp. Khi ấy, bạn có thể sẽ được thực hiện độc lập hoặc kết hợp cả hai phương pháp đó là nâng xoang và ghép xương.

    • Ghép xương hàm: Phương pháp này thường sẽ sử dụng xương nhân tạo hoặc xương tự thân để cấy ghép vào khu vực mà xương bị tiêu. Sau một khoảng thời gian, cấu trúc của xương sẽ được tái tạo lại. Từ đó sẽ giúp bạn hồi phục cũng như bảo tồn xương một cách tối ưu.
    • Nâng xoang hàm: Đối với các trường hợp xương hàm bị yếu và hạ thấp dần khiến cho xương bị mở rộng thì bạn cần phải tiến hành nâng xoang. Bạn sẽ được thực hiện nâng xoang kín hoặc nâng xoang hở, đồng thời được kết hợp thêm với kỹ thuật ghép xương.

    Cách phòng ngừa tình trạng tiêu xương khi niềng răng

    Dựa vào các nguyên nhân dẫn đến tình trạng tiêu xương khi niềng răng, bạn hoàn toàn có thể khắc phục tình trạng này với những biện pháp như sau:

    Lựa chọn nha khoa uy tín

    Một ca niềng răng thành công hay không phụ thuộc rất nhiều vào địa chỉ mà bạn lựa chọn. Nếu bạn thực hiện niềng răng tại một đơn vị nha khoa chất lượng, có đội ngũ bác sĩ giàu kinh nghiệm và cơ sở vật chất hiện đại thì quy trình niềng răng sẽ được diễn ra chuẩn kỹ thuật, đúng quy trình. Bên cạnh đó bạn sẽ tránh được những rủi ro không đáng có có thể xảy ra.

    Điều trị dứt điểm các bệnh lý răng miệng

    Nếu như tình trạng tiêu xương xảy ra là do các bệnh lý về răng miệng thì bạn nên đến các nha khoa uy tín để có thể được điều trị dứt điểm các bệnh lý này trước khi thực hiện việc niềng răng. Điều này sẽ giúp cho quá trình niềng răng của bạn diễn ra nhanh chóng, thuận lợi và cho kết quả tốt hơn.

    Kiểm tra răng miệng định kỳ

    Bạn nên tái khám theo lịch hẹn của bác sĩ để họ có thể kiểm tra, theo dõi cũng như điều chỉnh lực kéo ở trên răng. Lúc này bác sĩ sẽ kiểm soát được tình hình sức khỏe răng miệng và có được hướng khắc phục kịp thời nếu như có vấn đề xảy ra.

    Niềng răng bị tiêu xương nguyên nhân do đâu? Cách khắc phục ra sao?3 Bạn nên thăm khám răng miệng theo định kỳ

    Bổ sung dinh dưỡng cần thiết cho cơ thể

    Trong khoảng thời gian niềng răng, bạn sẽ gặp nhiều vấn đề khó khăn trong việc ăn uống do răng bị đau nhức. Tuy nhiên, bạn cần phải cố gắng tăng cường bổ sung đầy đủ các thực phẩm giàu dinh dưỡng cho sức khỏe. Đặc biệt, bạn nên bổ sung thực phẩm giàu canxi bởi chúng đóng vai trò rất quan trọng đối với việc bồi đắp xương hàm ở răng.

    Vệ sinh răng miệng đúng cách

    Bạn nên đảm bảo răng miệng của mình luôn được sạch sẽ bằng cách thực hiện việc chải răng 2 lần/ngày. Bên cạnh đó, để loại bỏ vi khuẩn trên răng, bạn hãy dùng thêm nước súc miệng, chỉ nha khoa, máy tăm nước.

    Ngay sau khi ăn, bạn không nên đánh răng ngay. Thay vào đó, bạn hãy chờ khoảng 30 phút rồi mới đánh răng để không làm hại tới men răng. Điều này sẽ giúp cho bạn ngăn ngừa được những bệnh lý liên quan đến răng miệng và giảm thiểu được nguy cơ bị tiêu xương khi niềng răng.

    Với những thông tin ở bài viết trên, bạn đã hiểu rõ về vấn đề niềng răng bị tiêu xương là gì, nguyên nhân và cách khắc phục ra sao rồi chứ. Bạn hãy theo dõi thật kỹ tình trạng răng miệng của mình để có thể đưa ra hướng giải quyết kịp thời nhé.

    Lê Hồng

    Nguồn tham khảo: Tổng hợp

    Có thể bạn quan tâm

    Thông tin và sản phẩm gợi ý trong bài viết chỉ mang tính chất tham khảo, vui lòng liên hệ với Bác sĩ, Dược sĩ hoặc chuyên viên y tế để được tư vấn cụ thể. Xem thêm

    Dược sĩ Đại họcNguyễn Thanh Hải

    Đã kiểm duyệt nội dung

    Tốt nghiệp Đại học Dược Hà Nội, với hơn 10 năm kinh nghiệm trong lĩnh vực Dược phẩm. Hiện là giảng viên giảng dạy các môn Dược lý, Dược lâm sàng,...

    Xem thêm thông tin