Tốt nghiệp Khoa Dược trường Đại học Nam Cần Thơ. Có nhiều năm kinh nghiệm công tác trong lĩnh vực Dược phẩm. Hiện đang giảng viên cho Dược sĩ tại Nhà thuốc Long Châu.
Thanh Hương
13/11/2025
Mặc định
Lớn hơn
Hình chụp X quang phổi có thể là căn cứ xác đáng để các bác sĩ tầm soát, phát hiện, chẩn đoán các tổn thương hay bệnh lý ở phổi. Vậy chụp X quang phổi có vết mờ có thể là dấu hiệu cảnh báo bệnh gì?
Khi cần tầm soát, đánh giá “sức khỏe” của phổi hay phát hiện các tổn thương, bệnh lý về phổi, các bác sĩ thường chỉ định bệnh nhân chụp X quang phổi. Những đốm trắng hay vết mờ trên phổi có thể là dấu hiệu cảnh báo nhiều tình trạng nguy hiểm. Trong phạm vi bài viết này, Long Châu sẽ cùng bạn tìm hiểu rõ hơn về hiện tượng chụp X quang phổi có vết mờ.
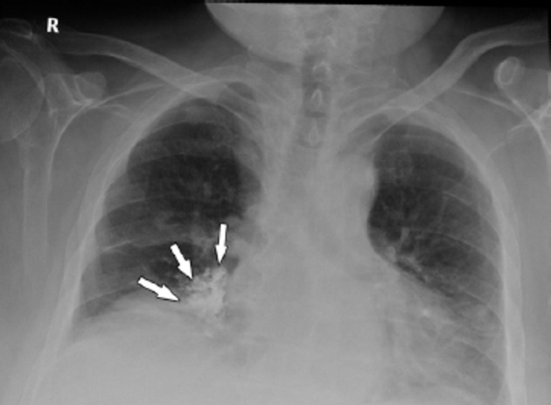
Hình chụp X quang phổi bị mờ chắc chắn là hình ảnh phổi có bất thường. Tuy nhiên, vết mờ này có nguy hiểm hay không thì chưa thể khẳng định. Lý do là bởi đôi khi vết mờ hiển thị trên hình chụp X quang chỉ là vết sẹo hình thành sau khi nhu mô phổi bị nhiễm trùng trong quá khứ. Cũng có khi đó là dấu hiệu của một dạng tổn thương hay nặng hơn là ung thư phổi.
Theo thống kê, có khoảng một nửa người trưởng thành khi chụp X quang phổi đều phát hiện vết mờ ở phổi. Điều đó có nghĩa là những vết mờ này khá phổ biến, không phải lúc nào cũng là dấu hiệu của bệnh lý về phổi. Thông thường, các nốt mờ trên phim X quang phổi thường có đường kính hơn 2cm. Lúc này, người bệnh có thể chưa xuất hiện bất cứ triệu chứng lâm sàng nào.

Để có câu trả lời chính xác cho cho câu hỏi “Chụp X quang phổi có vết mờ nguy hiểm không?”, bác sĩ cần căn cứ vào các triệu chứng lâm sàng, kết quả xét nghiệm thậm chí là kết quả chẩn đoán hình ảnh theo phương pháp khác để:
Khi hình chụp X quang của người bệnh hiển thị các vết mờ ở phổi, các bác sĩ sẽ phân tích hình thái vết mờ ở các phương diện như hình dáng, kích thước, đường bờ… Những yếu tố này kết hợp với thông tin về tiền sử bệnh lý, thói quen sinh hoạt, đặc thù công việc… sẽ làm căn cứ để bác sĩ đánh giá các nguy cơ mắc bệnh. Chụp X quang phổi có vết mờ phản ánh các trường hợp như sau:
Các vết mờ ở phổi là lành tính thường gặp ở người chưa quá 35 tuổi, có lối sống và sinh hoạt lành mạnh, không có thói quen hút thuốc. Vết phổi mờ lành tính không nguy hiểm nhưng cần được theo dõi định kỳ 3 hoặc 6 tháng một lần. Đặc điểm các vết mờ ở phổi là lành tính thường gồm:

Vết mờ ở phổi là ác tính thường gặp ở người trên 35 tuổi, có thói quen hút thuốc. Nếu có các đặc điểm sau, vết mờ ở phổi có thể là ác tính:
Khi có những đặc điểm này, người bệnh sẽ được chỉ định làm thêm soi phế quản, sinh thiết phổi xuyên thành ngực… để đánh giá chính xác hơn tính chất của vết mờ ở phổi.
Chụp X quang phổi có vết mờ trong nhiều trường hợp là vôi hóa nhu mô phổi. Vôi hóa có thể có nhiều dạng như: Dạng lệch tâm lành tính, dạng bỏng ngô.

Khi xơ phổi tiến triển cũng sẽ hình thành nốt vôi hóa quanh khối cơ. Nốt mờ trên hình chụp X quang phổi trong trường hợp này có thể là dạng chấm, dạng lưới hoặc dạng đơn độc. Nốt mờ dạng chấm hoặc dạng lưới có thể cảnh báo ung thư phổi nguyên phát (chiếm khoảng 6% trường hợp mắc bệnh). Vết mờ dạng đơn độc nằm ở trung tâm xơ phổi thường là nốt lành, còn được gọi là u hạt nhiễm trùng lao. Nếu xuất hiện dạng ổ nhiều nốt mờ, người bệnh có thể bị viêm phổi hoặc nhiễm khuẩn lao hg 0++3.
Khi có hình chụp X quang phổi xuất hiện nốt mờ, các bác sĩ sẽ kết hợp xem xét cùng kết quả xét nghiệm, sinh thiết, chụp cắt lớp vi tính… để xác định vết mờ có tính chất lành tính hay ác tính. Nếu vết mờ là lành tính, bạn chỉ cần theo dõi định kỳ. Những nếu vết mờ là vôi hóa nhu mô phổi hay ác tính, đó có thể là dấu hiệu cảnh báo các bệnh lý nguy hiểm như:
Chụp X quang phổi có vết mờ có thể là lành tính hoặc ác tính. Bệnh nhân cần tuân thủ các chỉ định của bác sĩ về việc thực hiện thêm các xét nghiệm và kỹ thuật chẩn đoán khác để tìm ra nguyên nhân chính xác. Phát hiện bệnh về phổi sớm, việc điều trị càng thuận lợi và hiệu quả.
Xem thêm:
Dược sĩ Đại họcNguyễn Thị Thảo Nguyên
Tốt nghiệp Khoa Dược trường Đại học Nam Cần Thơ. Có nhiều năm kinh nghiệm công tác trong lĩnh vực Dược phẩm. Hiện đang giảng viên cho Dược sĩ tại Nhà thuốc Long Châu.