Tốt nghiệp Khoa Dược trường Đại học Nam Cần Thơ. Có nhiều năm kinh nghiệm công tác trong lĩnh vực Dược phẩm. Hiện đang giảng viên cho Dược sĩ tại Nhà thuốc Long Châu.
Chùng Linh
04/08/2024
Mặc định
Lớn hơn
Xơ vữa động mạch não là một bệnh lý phổ biến ở người cao tuổi. Đây là một bệnh lý diễn tiến âm thầm nhưng gây ra những hậu quả rất nghiêm trọng, có thể đe doạ tính mạng người bệnh. Làm sao để chẩn đoán xơ vữa động mạch nào? Cách nào để điều trị xơ vữa động mạch não? Hãy cùng tìm kiếm câu trả lời trong bài viết sau.
Xơ vữa động mạch não là một bệnh lý nguy hiểm, có thể dẫn đến các biến chứng nghiêm trọng đe doạ tính mạng nếu không được điều trị kịp thời. Trong đó, một biến chứng phổ biến của bệnh này là đột quỵ - nguyên nhân gây tử vong đứng thứ hai trên toàn cầu. Bài viết sau sẽ giới thiệu cho bạn về phương pháp chẩn đoán và điều trị xơ vữa động mạch não.
Xơ vữa động mạch não là tình trạng các động mạch trong não trở nên dày và cứng hơn, đồng thời bị hẹp lại do sự tích tụ của các mảng bám xơ vữa bên trong thành động mạch. Hậu quả là lượng máu và oxy cung cấp cho các khu vực não không đủ, dẫn đến các biến chứng nguy hiểm như đột quỵ và tai biến mạch máu não.

Xơ vữa động mạch não thường tiến triển một cách từ từ và không biểu hiện triệu chứng rõ ràng trong giai đoạn đầu. Tuy nhiên, khi bệnh tình trở nên nghiêm trọng hơn, các triệu chứng có thể xuất hiện bao gồm:
Chẩn đoán xơ vữa động mạch não thường dựa trên một loạt các xét nghiệm và phương pháp khác nhau để đánh giá mức độ tắc nghẽn và ảnh hưởng của bệnh lên hệ tuần hoàn não.
Đầu tiên, bác sĩ sẽ tiến hành khám lâm sàng, bao gồm việc nghe các động mạch bằng ống nghe để phát hiện tiếng rít (bruit), kiểm tra nhịp thở, mạch và huyết áp để phát hiện các bất thường. Tuỳ thuộc vào các dấu hiệu trên lâm sàng, bác sĩ sẽ chỉ định bệnh thực hiện một vài xét nghiệm cận lâm sàng như:
Các chỉ số như cholesterol, đường huyết trong kết quả xét nghiệm máu kết hợp cùng với các yếu tố nguy cơ khác được xem là căn cứ để chẩn đoán xơ vữa động mạch. Trước khi lấy mẫu máu, người bệnh thường phải nhịn ăn từ 9 đến 12 giờ.
Siêu âm Doppler là một kỹ thuật hình ảnh y tế sử dụng sóng âm để tạo ra hình ảnh của các mạch máu và lưu lượng máu bên trong cơ thể. Phương pháp này giúp xác định mức độ tắc nghẽn và tốc độ lưu thông máu trong động mạch não.
Chỉ số huyết áp cổ chân – cánh tay (ABI) là một xét nghiệm không xâm lấn so sánh huyết áp ở cổ chân và cánh tay, hỗ trợ xác định sự hiện diện của các mảng bám trong động mạch. Kết quả xét nghiệm có thể giúp đánh giá mức độ nghiêm trọng của bệnh.
Điện tâm đồ ghi lại các tín hiệu điện khi chúng đi qua tim và có thể phát hiện các bất thường liên quan đến lưu lượng máu đến não, đặc biệt nếu bệnh nhân có triệu chứng trong khi hoạt động thể chất.
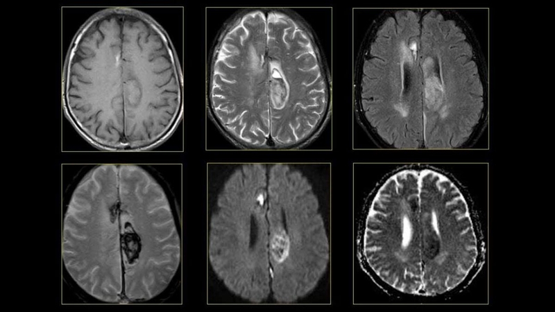
Chụp cắt lớp vi tính (CT) và chụp cộng hưởng từ (MRI) là các kỹ thuật hình ảnh giúp tạo ra hình ảnh chi tiết của não và các mạch máu. Những xét nghiệm này giúp xác định được vị trí khu vực xơ vữa hoặc vị trí có tổn thương.

CTA và MRA là các kỹ thuật chụp mạch máu tiên tiến sử dụng CT hoặc MRI để tạo ra hình ảnh chi tiết của các động mạch não, giúp xác định mức độ và vị trí của xơ vữa động mạch não.
Chụp mạch não là một kỹ thuật xâm lấn, trong đó một ống thông nhỏ được đưa vào động mạch và chất cản quang được tiêm để tạo ra hình ảnh chi tiết của các mạch máu trong não. Độ chính xác của phương pháp này xác định vị trí và mức độ tắc nghẽn mạch máu là cao nhất.
Điều trị xơ vữa động mạch não đòi hỏi sự kết hợp giữa thay đổi lối sống, sử dụng thuốc, và can thiệp y tế khi cần thiết, nhằm kiểm soát bệnh và ngăn ngừa các biến chứng nghiêm trọng như đột quỵ.
Thay đổi lối sống là phương pháp điều trị cơ bản và quan trọng để ngăn ngừa và kiểm soát xơ vữa động mạch não. Để hạn chế tiến triển bệnh và cải thiện chất lượng sinh hoạt hằng ngày, dưới đây là một số lời khuyên:

Các loại thuốc khác nhau có thể làm chậm hoặc thậm chí đảo ngược tác động của xơ vữa động mạch. Một số nhóm thuốc được bác sĩ dùng trong điều trị xơ vữa động mạch não như:
Đôi khi cần sử dụng các biện pháp can thiệp mạnh hơn để điều trị xơ vữa động mạch não, đặc biệt khi các triệu chứng nghiêm trọng hoặc tắc nghẽn đe dọa tính mạng. Các biện pháp can thiệp trên bệnh nhân xơ vữa động mạch não bao gồm:
Nong mạch và đặt stent: Nong mạch giúp mở rộng các động mạch bị hẹp do mảng xơ vữa, cải thiện lưu lượng máu đến não và giảm nguy cơ thiếu máu cục bộ hoặc đột quỵ. Đặt stent giúp duy trì lưu thông máu ổn định, ngăn ngừa tình trạng tắc nghẽn tái phát. Bằng cách mở rộng động mạch và giữ cho chúng không bị hẹp lại, nong mạch và đặt stent giảm nguy cơ đột quỵ do thiếu máu cục bộ, một trong những biến chứng nghiêm trọng của xơ vữa động mạch não.
Phẫu thuật nội soi: Loại bỏ các mảng chất béo tích tụ từ thành động mạch bị hẹp.
Bài viết trên đã cung cấp cho bạn đọc những thông tin về phương pháp chẩn đoán và điều trị xơ vỡ động mạch não. Xơ vữa động mạch não là một tác nhân giết người thầm lặng, do đó hãy thăm khám sức khỏe định kỳ để có thể phát hiện và điều trị kịp thời.
Dược sĩ Đại họcNguyễn Thị Thảo Nguyên
Tốt nghiệp Khoa Dược trường Đại học Nam Cần Thơ. Có nhiều năm kinh nghiệm công tác trong lĩnh vực Dược phẩm. Hiện đang giảng viên cho Dược sĩ tại Nhà thuốc Long Châu.