Dược sĩ Đại học có nhiều năm kinh nghiệm trong việc tư vấn Dược phẩm và hỗ trợ giải đáp thắc mắc về Bệnh học. Hiện đang là giảng viên cho Dược sĩ tại Nhà thuốc Long Châu.
Quỳnh Loan
07/02/2025
Mặc định
Lớn hơn
Ung thư gan là một trong những loại ung thư nguy hiểm với tỷ lệ tử vong cao, phần lớn do việc chẩn đoán muộn khi bệnh đã tiến triển nặng. Điều này khiến nhiều người đặt câu hỏi: "Siêu âm có phát hiện ung thư gan không?". Qua những thông tin dưới đây, bạn sẽ hiểu rõ hơn về tầm quan trọng của việc tầm soát ung thư gan, đặc biệt đối với các nhóm nguy cơ cao.
Ung thư gan thường không có triệu chứng rõ rệt ở giai đoạn đầu. Các khối u gan, đặc biệt khi còn nhỏ, khó phát hiện qua khám thực thể do gan nằm sâu bên dưới khung xương sườn phải. Khi các khối u đã phát triển lớn hơn và có thể phát hiện qua các kỹ thuật hình ảnh, bệnh thường đã tiến vào giai đoạn muộn, gây khó khăn trong điều trị.
Với thắc mắc “Siêu âm có phát hiện ung thư gan không?” thì câu trả lời là "Có". Nhìn chung, siêu âm ổ bụng hiện là phương pháp hữu ích trong việc sàng lọc bước đầu ung thư gan nguyên phát. Phương pháp này không chỉ giúp phát hiện những bất thường tại gan mà còn hỗ trợ theo dõi các yếu tố nguy cơ ở những bệnh nhân có tiền sử bệnh lý gan mạn tính. Tuy nhiên, để xác nhận chẩn đoán ung thư gan, các kỹ thuật hình ảnh và xét nghiệm chuyên sâu khác như CT, MRI hay sinh thiết thường được chỉ định.
Ung thư gan là một trong những loại ung thư phổ biến nhất, đứng thứ 6 về tỷ lệ mắc mới và thứ 4 về nguyên nhân gây tử vong trên toàn cầu. Theo thống kê, mỗi năm có hơn 500.000 trường hợp ung thư gan mới được chẩn đoán trên thế giới. Trong đó, ung thư biểu mô tế bào gan nguyên phát (Hepatocellular Carcinoma – HCC) chiếm đến 80% các ca bệnh, trở thành dạng ung thư gan phổ biến nhất.

Siêu âm ổ bụng là một phương pháp chẩn đoán hình ảnh quan trọng, thường được chỉ định đầu tiên khi có nghi ngờ mắc ung thư gan. Kỹ thuật này cung cấp hình ảnh chi tiết về các cơ quan trong ổ bụng, giúp bác sĩ quan sát và phát hiện khối u mà không cần can thiệp xâm lấn. Đặc biệt, siêu âm đóng vai trò quan trọng trong việc giám sát và xác định đặc điểm của ung thư biểu mô tế bào gan (Hepatocellular Carcinoma – HCC) – dạng ung thư gan phổ biến nhất.
Hầu hết bệnh nhân ung thư gan thường mắc xơ gan kèm theo suy giảm chức năng gan và tỷ lệ tái phát cao. Do đó, việc sử dụng siêu âm để phát hiện sớm ung thư gan có ý nghĩa quan trọng trong việc điều trị kịp thời, giảm thiểu tổn thương và bảo toàn chức năng gan. Ưu điểm của siêu âm là không sử dụng bức xạ và có thể thực hiện nhiều lần, đặc biệt phù hợp với bệnh nhân cao tuổi hoặc những người suy giảm chức năng thận.
Tuy nhiên, siêu âm ổ bụng cũng tồn tại một số hạn chế. Các yếu tố như nhịp thở, sự di chuyển của các cơ quan trong ổ bụng, vôi hóa hoặc vị trí khó quan sát của khối u có thể làm giảm độ chính xác. Đặc biệt, những khối u kích thước nhỏ hoặc nằm ở vị trí phức tạp có thể không được phát hiện bằng siêu âm. Vì vậy, trong một số trường hợp, bác sĩ sẽ cần chỉ định thêm các xét nghiệm chuyên sâu khác như CT, MRI hoặc sinh thiết để đưa ra chẩn đoán chính xác.
Nhìn chung, siêu âm ổ bụng là công cụ quan trọng trong việc sàng lọc và phát hiện ung thư gan nhưng cần phối hợp với các phương pháp khác để đảm bảo hiệu quả chẩn đoán và điều trị tối ưu.

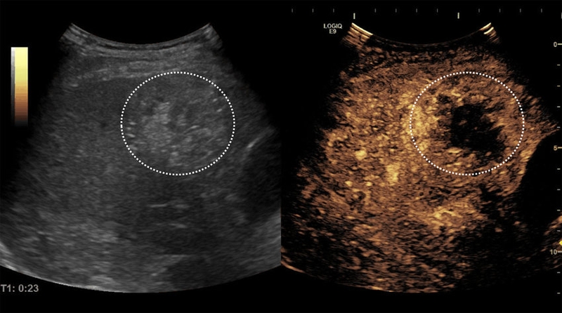
Siêu âm Doppler, bao gồm Doppler màu và Doppler năng lượng, là một công cụ quan trọng trong việc đánh giá lưu lượng máu bên trong và xung quanh các khối u gan. Kỹ thuật này không chỉ hỗ trợ chẩn đoán ung thư gan nguyên phát mà còn cung cấp thông tin chi tiết về đặc điểm mạch máu, giúp bác sĩ xác định mức độ phát triển của khối u.
Kết quả siêu âm Doppler thường thay đổi tùy thuộc vào kích thước và loại khối u:
Lưu lượng máu thường thấp, xuất hiện dưới dạng các đường hoặc điểm nhỏ nằm bên trong hoặc xung quanh khối u. Đây là dấu hiệu sớm giúp phát hiện những khối u ở giai đoạn đầu.
Lưu lượng máu tăng rõ rệt, có thể quan sát thấy mô hình dòng máu theo hình giỏ đặc trưng. Mô hình này đại diện cho mạng lưới mạch máu tân tạo bao quanh khối u, là đặc điểm thường gặp trong các khối u ác tính lớn.
Siêu âm Doppler không chỉ hỗ trợ việc phát hiện ung thư gan mà còn giúp đánh giá hiệu quả của các phương pháp điều trị, đặc biệt là trong việc theo dõi sự thay đổi của lưu lượng máu sau can thiệp. Đây là phương pháp an toàn, không xâm lấn và mang lại hiệu quả cao trong lâm sàng.
Siêu âm gan có phát hiện ung thư không? Câu trả lời là có, đặc biệt với sự hỗ trợ của công nghệ siêu âm tăng cường chất tương phản (Contrast-Enhanced Ultrasound – CEUS). Đây là một kỹ thuật tiên tiến được áp dụng phổ biến tại Hoa Kỳ, châu Âu và châu Á trong chẩn đoán ung thư gan, đặc biệt là ung thư biểu mô tế bào gan (Hepatocellular Carcinoma – HCC).
CEUS được sử dụng để xác nhận sự hiện diện của các tổn thương gan khu trú nghi ngờ là ung thư sau khi thực hiện các xét nghiệm chẩn đoán ban đầu như siêu âm ổ bụng hoặc xét nghiệm máu alpha-fetoprotein (AFP). Đối với những bệnh nhân bị xơ gan, chỉ cần thực hiện CEUS mà không cần kết hợp với chụp CT hay MRI, bác sĩ đã có thể nhận diện được các dấu hiệu điển hình của ung thư biểu mô tế bào gan.

Điểm nổi bật của CEUS nằm ở khả năng thu được hình ảnh động, tương tự như hình ảnh từ CT hoặc MRI nhưng đồng thời còn có thể hiển thị đặc tính tưới máu cơ quan. CEUS giúp phân biệt rõ ràng giữa động mạch và tĩnh mạch cửa, qua đó nhận diện các dấu hiệu đặc trưng của ung thư biểu mô tế bào gan mà các phương pháp khác đôi khi bỏ sót, đặc biệt trong những trường hợp có hình ảnh không điển hình.
Ưu điểm nổi bật của CEUS bao gồm:
Tuy nhiên, CEUS cũng gặp một số tranh cãi trong việc áp dụng vào các phác đồ chẩn đoán ung thư gan. Các ý kiến không đồng nhất liên quan đến hướng dẫn y khoa đã khiến phương pháp này chưa được áp dụng rộng rãi tại một số khu vực.
Do đó, việc lựa chọn CEUS hay các phương pháp khác như CT hoặc MRI phụ thuộc vào tình trạng sức khỏe cụ thể và chỉ định từ bác sĩ. Để đảm bảo chẩn đoán chính xác và hiệu quả nhất, người bệnh cần tham khảo ý kiến chuyên môn để xác định loại siêu âm phù hợp với tình trạng của mình. CEUS hiện vẫn là một bước tiến đáng kể trong chẩn đoán và theo dõi ung thư gan, mang lại nhiều lợi ích quan trọng trong lâm sàng.
Hiện nay, không có xét nghiệm tầm soát ung thư gan nào được khuyến nghị rộng rãi cho những người có nguy cơ trung bình. Tuy nhiên, đối với những người thuộc nhóm nguy cơ cao, các xét nghiệm và phương pháp chẩn đoán sớm lại rất quan trọng.
Những người có nguy cơ cao mắc ung thư gan thường bao gồm:
Đối với các nhóm đối tượng này, bác sĩ thường khuyến nghị thực hiện các xét nghiệm tầm soát ung thư gan định kỳ như:

Nhiều nghiên cứu đã chứng minh rằng việc tầm soát ung thư gan ở nhóm nguy cơ cao giúp phát hiện bệnh ở giai đoạn sớm, từ đó tăng khả năng điều trị thành công và cải thiện tỷ lệ sống sót.
Hy vọng những thông tin trong bài viết này đã giúp bạn giải đáp được thắc mắc siêu âm có phát hiện ung thư gan không. Ung thư gan là căn bệnh nguy hiểm nhưng có thể kiểm soát hiệu quả nếu được phát hiện sớm. Đối với những người thuộc nhóm nguy cơ cao hoặc có dấu hiệu nghi ngờ, việc chủ động thăm khám sức khỏe định kỳ, thực hiện siêu âm gan và các xét nghiệm liên quan là vô cùng cần thiết. Điều này không chỉ giúp phát hiện ung thư gan sớm mà còn hỗ trợ việc điều trị kịp thời, giảm thiểu nguy cơ biến chứng.
Xem thêm: 9 dấu hiệu ung thư gan giai đoạn cuối và biện pháp điều trị
Dược sĩ Đại họcNguyễn Mỹ Huyền
Dược sĩ Đại học có nhiều năm kinh nghiệm trong việc tư vấn Dược phẩm và hỗ trợ giải đáp thắc mắc về Bệnh học. Hiện đang là giảng viên cho Dược sĩ tại Nhà thuốc Long Châu.