Dược sĩ Đại học có nhiều năm kinh nghiệm trong việc tư vấn Dược phẩm và hỗ trợ giải đáp thắc mắc về Bệnh học. Hiện đang là giảng viên cho Dược sĩ tại Nhà thuốc Long Châu.
Quỳnh Loan
05/02/2025
Mặc định
Lớn hơn
Bệnh sùi mào gà ở lưỡi là một tình trạng phổ biến do virus HPV gây ra, chủ yếu lây truyền qua đường quan hệ tình dục không an toàn. Mặc dù không đe dọa trực tiếp đến tính mạng, bệnh lại gây ra nhiều tác động nghiêm trọng đến sức khỏe, tâm lý và chất lượng cuộc sống của người bệnh. Nhiều người băn khoăn sùi mào gà ở lưỡi giai đoạn đầu có nguy hiểm không? Làm cách nào điều trị bệnh sùi mào gà hiệu quả?
Sùi mào gà ở lưỡi giai đoạn đầu thường khó nhận biết và dễ nhầm lẫn với các bệnh lý lành tính khác như nhiệt miệng. Do đó, người bệnh cần chú ý đến các triệu chứng bất thường trên lưỡi và đi khám sớm tại các cơ sở y tế chuyên khoa để được chẩn đoán và điều trị kịp thời. Việc phát hiện sớm sùi mào gà ở lưỡi giai đoạn đầu không chỉ giúp giảm thiểu biến chứng mà còn cải thiện hiệu quả điều trị.
Sùi mào gà ở lưỡi là bệnh lý cần được nhận diện và điều trị kịp thời vì có thể gây ra những ảnh hưởng tiêu cực đến sức khỏe răng miệng và tổng thể. Dưới đây là những nguyên nhân chính dẫn đến tình trạng này:
Quan hệ tình dục bằng đường miệng là nguyên nhân phổ biến nhất gây lây nhiễm virus HPV, từ đó dẫn đến sùi mào gà ở lưỡi. Nếu bạn tình có mụn cóc sinh dục hoặc bị nhiễm HPV ở vùng miệng, nguy cơ lây truyền qua tiếp xúc trực tiếp với các tổn thương là rất cao. Đặc biệt, việc thiếu biện pháp bảo vệ trong quá trình quan hệ tình dục bằng miệng làm tăng nguy cơ nhiễm bệnh.
Việc chạm tay vào vùng da hoặc mụn cóc chứa virus HPV, sau đó vô tình đưa tay vào miệng, có thể khiến mụn cóc phát triển trên lưỡi. Ví dụ, thói quen cắn móng tay có thể là cầu nối đưa virus từ ngón tay vào miệng. Nếu niêm mạc miệng hoặc lưỡi có vết xước hay tổn thương, virus dễ dàng xâm nhập và gây bệnh.
Mặc dù nguy cơ lây nhiễm HPV qua đồ dùng cá nhân khá thấp, nhưng vẫn có khả năng xảy ra ở những người có hệ miễn dịch yếu. Các vật dụng cá nhân như khăn mặt, bàn chải đánh răng, son môi,… nếu được dùng chung với người bệnh, có thể trở thành nguồn lây nhiễm gián tiếp.

Các yếu tố nguy cơ hàng đầu gây sùi mào gà ở lưỡi là tiếp xúc miệng hoặc quan hệ tình dục bằng miệng với người đã nhiễm virus HPV. Ngoài ra, các yếu tố như hệ miễn dịch suy yếu, không sử dụng biện pháp bảo vệ khi quan hệ tình dục hoặc có nhiều bạn tình cũng làm tăng khả năng lây nhiễm HPV qua đường miệng.
Hiểu rõ các nguyên nhân gây sùi mào gà ở lưỡi là bước quan trọng để phòng ngừa bệnh hiệu quả. Việc duy trì thói quen vệ sinh cá nhân, sử dụng biện pháp bảo vệ khi quan hệ tình dục và tránh tiếp xúc với các nguồn lây nhiễm có thể giảm nguy cơ mắc bệnh. Nếu có dấu hiệu nghi ngờ, hãy đến cơ sở y tế chuyên khoa để được tư vấn và điều trị kịp thời.
Sùi mào gà ở lưỡi là một bệnh lý phức tạp do virus HPV gây ra với các dạng, vị trí và mức độ nghiêm trọng khác nhau. Việc nhận biết rõ ràng từng loại sùi mào gà không chỉ giúp người bệnh có hướng điều trị kịp thời mà còn giảm nguy cơ biến chứng nghiêm trọng.
Dựa vào triệu chứng, sùi mào gà ở lưỡi được phân thành các dạng chính sau:
Dạng u nhú hình vảy
Loại này hình thành từ các u nhú tế bào vảy, thường do nhiễm HPV loại 6 và 11. Những u nhú này không chỉ xuất hiện ở lưỡi mà còn ở miệng, bộ phận sinh dục, hoặc thậm chí ở cổ họng, thực quản và đường hô hấp. Đây là một dạng sùi mào gà phổ biến và đã được nghiên cứu rộng rãi trong y học.
Dạng mụn cóc (mụn cơm)
Mụn cóc do virus HPV loại 2 và 4 gây ra. Các tổn thương thường có màu da hoặc màu trắng, với hình dạng như súp lơ, đường kính từ 1 - 3 mm. Ở nhiều trường hợp, mụn cóc có kích thước rất nhỏ, khó nhận biết bằng mắt thường. Đây là dạng bệnh phổ biến, dễ lây lan qua đường tình dục và thường bị bỏ qua trong giai đoạn đầu.
Bệnh Heck
Còn gọi là tình trạng tăng sản biểu mô khu trú, đây là một chứng bệnh hiếm gặp do virus HPV loại 13 và 32 gây ra. Dạng bệnh này thường xuất hiện ở niêm mạc miệng, ảnh hưởng chủ yếu đến trẻ em và thanh thiếu niên, đặc biệt là bé gái. Bệnh Heck được cho là ít nguy hiểm nhưng cần được chẩn đoán và điều trị đúng cách.

Bướu Condyloma
Loại bướu này thường xuất hiện ở vùng sinh dục nhưng đôi khi có thể hình thành ở niêm mạc miệng và lưỡi. Khác với các dạng sùi mào gà khác, bướu Condyloma gây đau đớn, đặc biệt khi người bệnh nói chuyện hoặc ăn uống. Tình trạng này do virus HPV loại 2, 6 và 11 gây ra, cần được điều trị sớm để tránh biến chứng.
Dựa trên vị trí xuất hiện của các tổn thương, sùi mào gà ở lưỡi được chia thành ba loại:
Sùi mào gà ở đầu lưỡi
Thường dễ nhận biết nhất do vị trí nằm ngay đầu lưỡi.
Sùi mào gà ở thân lưỡi
Xuất hiện ở phần giữa lưỡi, thường khó quan sát và nhận biết.

Sùi mào gà ở cuống lưỡi
Là dạng khó phát hiện nhất do vị trí nằm sâu trong khoang miệng.
Các dạng này khác nhau chủ yếu ở vị trí, còn triệu chứng và hình dạng các mụn cóc thường tương tự nhau.
Dựa trên tiến triển của bệnh, sùi mào gà ở lưỡi được chia thành ba giai đoạn chính:
Sùi mào gà ở lưỡi giai đoạn đầu
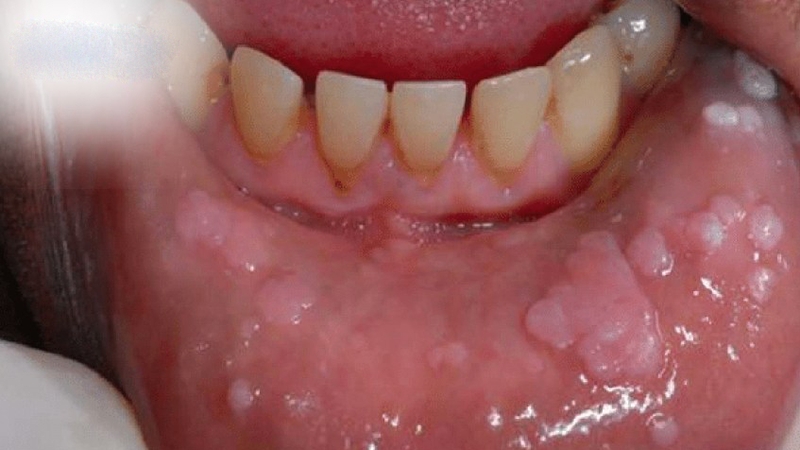
Ở giai đoạn này, các triệu chứng rất khó nhận biết. Người bệnh thường chỉ thấy xuất hiện một số nốt nhỏ li ti trên lưỡi hoặc trong khoang miệng. Các nốt này thường rải rác, không gây đau đớn hay khó chịu. Nhiều người nhầm lẫn sùi mào gà ở lưỡi giai đoạn đầu với bệnh nhiệt miệng, dẫn đến việc bỏ qua hoặc điều trị sai cách, khiến bệnh tiến triển nặng hơn.
Giai đoạn phát triển
Triệu chứng rõ rệt hơn với các vết sần hoặc nốt mụn có kích thước lớn hơn, màu hồng nhạt hoặc trắng giống màu lưỡi. Các vết sần này thường không gây đau, nhưng khi tiếp xúc với thức ăn có thể gây chảy máu hoặc mưng mủ. Ở giai đoạn này, việc điều trị trở nên phức tạp hơn và cần can thiệp y khoa.

Giai đoạn nặng
Khi bệnh chuyển sang giai đoạn này, các mụn cóc hoặc nốt sần phát triển với kích thước lớn, gây đau đớn và ảnh hưởng nghiêm trọng đến khả năng nói chuyện, ăn uống. Một số trường hợp, tổn thương nặng có thể dẫn đến chảy máu kéo dài, nhiễm trùng, thậm chí là nhiễm trùng máu. Nếu không được điều trị, nguy cơ tiến triển thành ung thư lưỡi là rất cao.
Việc phân loại sùi mào gà ở lưỡi theo dạng, vị trí và mức độ nghiêm trọng giúp người bệnh và bác sĩ dễ dàng xác định phương pháp điều trị phù hợp. Để phòng ngừa và điều trị hiệu quả, cần thực hiện thói quen quan hệ tình dục an toàn, giữ gìn vệ sinh cá nhân và thăm khám y tế ngay khi có dấu hiệu bất thường. Sự chủ động trong chăm sóc sức khỏe là cách tốt nhất để bảo vệ bản thân trước những biến chứng nguy hiểm của bệnh.
Sùi mào gà ở lưỡi không chỉ gây khó chịu mà còn tiềm ẩn nhiều biến chứng nguy hiểm:
Các mụn cóc có thể lây lan ra môi, má trong và vùng da quanh miệng, gây tổn thương diện rộng.

Vết mụn bị tổn thương dễ dẫn đến nhiễm trùng tại chỗ hoặc toàn thân, đặc biệt nguy hiểm với người có hệ miễn dịch suy yếu.
Nhiễm vi rút HPV lâu dài, đặc biệt các chủng nguy cơ cao, có thể dẫn đến ung thư lưỡi hoặc vòm họng.
Hiện nay, không có phương pháp nào đảm bảo phòng ngừa tuyệt đối sùi mào gà ở lưỡi. Tuy nhiên, bạn có thể giảm thiểu nguy cơ mắc bệnh bằng các biện pháp sau:
Tiêm vắc xin HPV
Tiêm vắc xin HPV là biện pháp phòng ngừa hiệu quả nhất đối với sùi mào gà và các bệnh lý do virus HPV gây ra. Hiện nay, có hai loại vắc xin phổ biến là Gardasil 4 và Gardasil 9, giúp bảo vệ cơ thể trước các chủng HPV nguy hiểm. Gardasil 4 có tác dụng phòng ngừa 4 chủng HPV (6, 11, 16, 18), trong đó HPV 6 và 11 là nguyên nhân gây ra 90% các ca sùi mào gà, còn HPV 16 và 18 có liên quan đến nhiều bệnh ung thư, đặc biệt là ung thư cổ tử cung. Trong khi đó, Gardasil 9 là phiên bản nâng cấp với khả năng bảo vệ rộng hơn, bao gồm 9 chủng HPV (6, 11, 16, 18, 31, 33, 45, 52, 58), giúp tăng cường hiệu quả phòng ngừa ung thư cổ tử cung, hậu môn, vòm họng và các bệnh lý khác do HPV gây ra.

Thực hiện lối sống tình dục an toàn
Khám sức khỏe định kỳ
Nếu bạn có các hoạt động tình dục, hãy xét nghiệm sàng lọc bệnh sùi mào gà mỗi 6 tháng/lần để phát hiện sớm và điều trị kịp thời.
Sùi mào gà ở lưỡi giai đoạn đầu mặc dù chưa nguy hiểm nhưng đây là bệnh lý không thể coi thường do nguy cơ lây lan và biến chứng cao nếu không điều trị kịp thời. Người bệnh nên tuân thủ chỉ định điều trị của bác sĩ và áp dụng các biện pháp phòng ngừa để bảo vệ sức khỏe bản thân và cộng đồng. Tiêm vắc xin HPV và duy trì lối sống lành mạnh là những giải pháp hiệu quả trong việc ngăn ngừa căn bệnh này.
Dược sĩ Đại họcNguyễn Mỹ Huyền
Dược sĩ Đại học có nhiều năm kinh nghiệm trong việc tư vấn Dược phẩm và hỗ trợ giải đáp thắc mắc về Bệnh học. Hiện đang là giảng viên cho Dược sĩ tại Nhà thuốc Long Châu.