Tốt nghiệp Đại học Dược Hà Nội, với hơn 10 năm kinh nghiệm trong lĩnh vực Dược phẩm. Hiện là giảng viên giảng dạy các môn Dược lý, Dược lâm sàng,...
03/12/2024
Mặc định
Lớn hơn
Sưng mộng răng là một vấn đề sức khỏe rất phổ biến và thường gặp trong cuộc sống. Nó có thể gây ra nhiều rắc rối và khó chịu, ảnh hưởng đến khả năng ăn uống và giao tiếp của bạn. Vì vậy, để giúp bạn hiểu rõ hơn về vấn đề này, chúng ta hãy tìm hiểu về dấu hiệu nhận biết sưng mộng răng.
Bạn có từng cảm thấy đau nhức răng dữ dội mà không biết nguyên nhân? Đó có thể là do sưng mộng răng, một vấn đề sức khỏe thường gặp. Việc nhận biết và điều trị sớm sẽ giúp bạn tránh được những rắc rối đáng tiếc. Vì vậy, hãy cùng tìm hiểu về dấu hiệu nhận biết sưng mộng răng.
Sưng mộng răng là tình trạng mà nướu bị viêm nhiễm do tác động của các tác nhân gây hại trong miệng. Khi miệng bị tấn công bởi vi khuẩn, cơ thể sẽ phản ứng bằng cách sản xuất kháng thể để chống lại. Kết quả là nướu sưng lên, phình to, và có thể xuất hiện ổ mủ dưới chân nướu, gây ra đau nhức.

Cụm từ "mộng" trong tên gọi "sưng mộng răng" chính là ổ mủ hoặc ổ viêm được hình thành khởi phát từ các tế bào chết, thức ăn vụn hoặc vi khuẩn gây hại. Thực tế, sưng mộng răng là một giai đoạn của viêm lợi ở mức độ nặng hơn và có thể xuất hiện ở bất kỳ vị trí nào trên cung hàm, thường xảy ra ở răng hàm và các vị trí gần răng khôn.
Sưng mộng răng có nguồn gốc từ nhiều nguyên nhân khác nhau, trong đó phần lớn liên quan đến quá trình chăm sóc răng miệng, gây ra các bệnh lý. Ngoài ra, còn có một số nguyên nhân khách quan, chẳng hạn như tác dụng phụ của thuốc. Dưới đây là một số nguyên nhân cụ thể:
Cách vệ sinh răng miệng không đúng cách có thể không loại bỏ được thức ăn, mảng bám và vi khuẩn tích tụ trên răng. Khi chúng không được loại bỏ, chúng sẽ dần canxi hóa thành cao răng, tạo ra môi trường lý tưởng cho vi khuẩn gây hại sinh sôi và tấn công vào men răng, gây ra tình trạng viêm nướu. Nếu không xử lý kịp thời, tình trạng này sẽ ngày càng nặng hơn và dẫn đến sưng mộng răng.
Vi khuẩn là một yếu tố quan trọng gây ra nhiều bệnh lý răng miệng, trong đó bao gồm sâu răng, viêm nha chu, viêm tủy và sưng mộng răng. Những bệnh lý này không chỉ gây đau đớn và khó chịu, mà còn ảnh hưởng đến sức khỏe chung của cơ thể nếu không được điều trị kịp thời.

Bên cạnh đó, răng khôn cũng có thể gây ra sưng mộng răng khi chúng mọc lệch, xâm nhập vào chân răng số 7 và tạo nên khe hở nhét thức ăn, dẫn đến viêm nướu và lợi trùm. Để tránh những tình trạng này, việc chăm sóc răng miệng đúng cách và định kỳ kiểm tra sức khỏe răng miệng là rất quan trọng.
Hormone có thể thay đổi trong nhiều giai đoạn của cuộc đời, như dậy thì, mang thai, kinh nguyệt, v.v. Những thay đổi này có thể làm nướu trở nên nhạy cảm và dễ bị viêm nhiễm hơn bình thường. Viêm nướu có thể dẫn đến các vấn đề khác như viêm lợi, sưng nướu, v.v.
Một số loại thuốc như thuốc dạ dày, thuốc ngủ, an thần, v.v. có thể gây ra một số tác dụng phụ, trong đó có sưng mộng răng. Các thành phần trong thuốc có thể làm nướu dễ bị viêm nhiễm. Nếu ngừng sử dụng thuốc, tình trạng viêm nướu có thể giảm dần và biến mất.
Ăn nhiều đồ cay, nóng, dai cứng hoặc ma sát với lợi có thể gây tổn thương cho nướu và làm cho chúng dễ bị viêm nhiễm. Vi khuẩn có thể tận dụng cơ hội này để xâm nhập và gây ra viêm nướu. Nếu tiếp tục sử dụng các thực phẩm này, bệnh có thể trở nên nghiêm trọng hơn.
Các biểu hiện của sưng mộng răng có thể khác nhau tùy vào từng người. Tuy nhiên, một số dấu hiệu chung bao gồm:
Nướu răng sưng đỏ và phồng lên, mất độ đàn hồi và nhạy cảm với nhiệt độ trong khoang miệng. Nếu đánh răng, dùng chỉ nha khoa hoặc khi ăn nhai thì có thể gây ra chảy máu. Đôi khi, chảy máu có thể xảy ra mà không có tác động gì. Việc nhận biết sớm các triệu chứng này có thể giúp phát hiện và điều trị sưng mộng răng kịp thời tránh tình trạng bệnh trầm trọng.

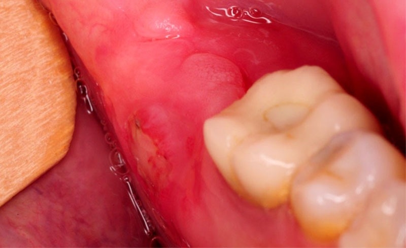
Các túi mủ xuất hiện tại vùng chân chân răng, là nơi tập trung của vi khuẩn và gây ra mùi hôi khó chịu. Tình trạng này có thể gây ảnh hưởng đến cảm giác vị giác và gây đắng miệng. Ngoài ra, nó cũng có thể tiềm ẩn nguy cơ gây tổn thương đến hệ thống nha chu bên dưới.
Vi khuẩn trong nướu có thể khiến cho vùng nướu tụt xuống, làm lộ chân răng. Khi chân răng bị lộ ra, nó sẽ không còn được bảo vệ bởi nướu và bị tác động bởi môi trường trong khoang miệng, dẫn đến tình trạng mòn răng và ảnh hưởng đến các mạch máu và dây thần kinh quanh răng. Chân răng sẽ trở nên nhạy cảm và dễ bị tổn thương, gây ra các vấn đề như ê buốt, viêm tủy răng, lung lay răng và dễ bị sâu răng.
Vùng má sưng to gây ra tình trạng cứng hàm và khó mở miệng để ăn nhai và giao tiếp. Nướu bị sưng to hơn, và điều này càng trở nên nguy hiểm hơn khi là biểu hiện của áp xe chân răng, biến chứng viêm xương và có thể gây nguy hiểm đến tính mạng nếu không được điều trị kịp thời.
Nổi hạch ở vùng dưới tai, kèm theo cơn sốt, đau nhức và gây nên tình trạng biếng ăn. Nổi hạch thực chất là phản ứng tự nhiên của cơ thể để chống lại vi khuẩn tấn công. Khi bị sưng mộng răng, vi khuẩn sẽ phát tán và tấn công, các hạch lympho ở vị trí xung quanh sẽ nổi lên để chống lại vi khuẩn gây hại.
Răng khôn bị lợi trùm khiến nướu phồng lên và làm răng khôn bị đau nhức và khó chịu. Nướu phủ lên toàn bộ răng khôn và có thể ngăn cản quá trình phát triển của răng. Bề mặt nướu bị sưng phồng và trong một số trường hợp có thể có dịch mủ khi bị áp. Nếu không vệ sinh sạch sẽ, sau một thời gian răng khôn sẽ tạo thành một khoảng trống ở dưới lợi dễ gây nhiễm trùng và sưng tấy gây nên sưng mộng răng.
Như vậy, bài viết đã giúp bạn hiểu rõ hơn về sưng mộng răng và dấu hiệu nhận biết nó. Khi phát hiện ra các triệu chứng của sưng mộng răng, hãy nhanh chóng tìm kiếm sự giúp đỡ của các chuyên gia và nhận được sự chăm sóc và điều trị đầy đủ.
Xem thêm:
Phương Nhi
Nguồn tham khảo: soyte.namdinh.gov.vn
Dược sĩ Đại họcNguyễn Thanh Hải
Tốt nghiệp Đại học Dược Hà Nội, với hơn 10 năm kinh nghiệm trong lĩnh vực Dược phẩm. Hiện là giảng viên giảng dạy các môn Dược lý, Dược lâm sàng,...