• Thực phẩm chức năng

  • Dược mỹ phẩm

  • Thuốc

  • Chăm sóc cá nhân

  • Thiết bị y tế

  • Tiêm chủng

  • Bệnh & Góc sức khỏe

  • Hệ thống nhà thuốc

    1. /
    2. Góc sức khỏe/
    3. Phòng bệnh & Sống khoẻ

    Tại sao nhiều nha sĩ luôn khuyến khích phải lấy cao răng định kỳ?

    21/06/2023

    Kích thước chữ

    Tại sao phải lấy cao răng định kỳ? Lấy cao răng thường xuyên mang lại lợi ích gì cho sức khỏe răng miệng? Hãy cùng chúng tôi tìm hiểu về vấn đề này qua nội dung bài viết chia sẻ sau đây.

    Bạn có bao giờ thắc mắc lý do nhiều nha sĩ luôn khuyên nhủ chúng ta nên thường xuyên cạo vôi răng không? Lợi ích của việc lấy cao răng là gì? Ở bài viết này, chúng ta sẽ cùng nhau tìm hiểu nguyên nhân tại sao phải lấy cao răng định kỳ và cách chăm sóc răng miệng sau khi lấy cao răng ra sao.

    Sự hình thành cao răng

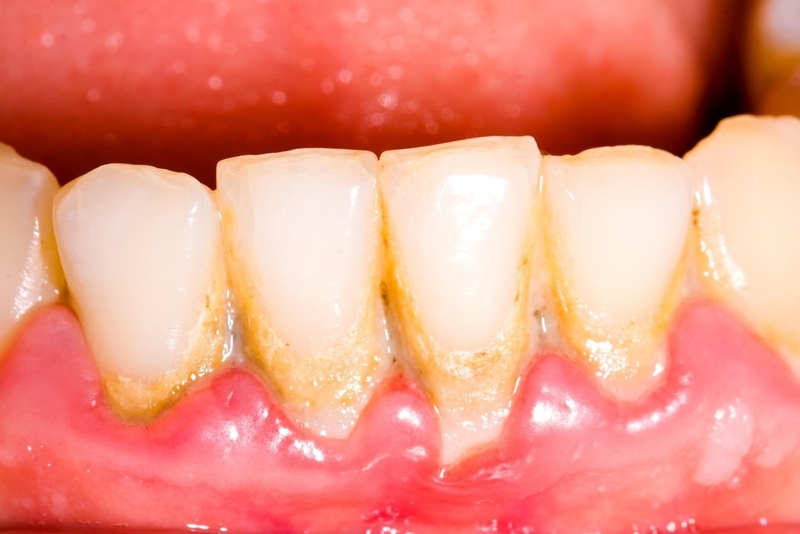
    Vôi răng hay cao răng thực chất là các mảng bám, mảnh vụn thức ăn sót lại trong khoang miệng. Các mảng bám này thường tập trung ở kẽ răng, chân răng. Theo thời gian cùng sự tác động của vi khuẩn, các mảng bám thức ăn thừa bị vôi hóa, lắng đọng thành các lớp cặn cứng và dày, bám ở thân răng, nướu răng. Vôi răng có màu trắng đục hoặc vàng nâu, một số trường hợp còn chuyển sang màu đen.

    Tại sao nhiều nha sĩ luôn khuyến khích phải lấy cao răng định kỳ 1 Thức ăn thừa đóng bám lâu bị vôi hóa sẽ hình thành cao răng ở chân răng và nướu.

    Vôi răng đóng bám lâu ngày sẽ ảnh hưởng nghiêm trọng đến sức khỏe răng miệng. Sự hình thành cao răng cũng là một trong những nguyên nhân gây ra các bệnh lý về răng miệng như chảy máu chân răng, tụt nướu, hơi thở có mùi, men răng bị hỏng, viêm nha chu, viêm tủy răng, sâu răng, viêm loét niêm mạc miệng.

    Cao răng thường bám rất chắc trên bề mặt răng, việc dùng bàn chải thông thường sẽ không thể làm sạch một cách hiệu quả. Để loại bỏ cao răng thì chúng ta cần tới nha sĩ để được lấy cao răng bằng dụng cụ chuyên dụng.

    Tại sao phải lấy cao răng định kỳ?

    Giảm nguy cơ mắc bệnh về răng miệng

    Cao răng bám chặt ở chân răng và kẽ răng sẽ là cơ hội thuận lợi để vi khuẩn phát triển, gây nhiều bệnh nguy hiểm như viêm nha chu, viêm nướu, tụt lợi, mòn răng,... Do đó, để hạn chế những ảnh hưởng của tình trạng này thì các bạn nên lấy cao răng thường xuyên.

    Giảm tình trạng hôi miệng

    Khi vi khuẩn trú ngụ và phát triển cùng với sự phân hủy thức ăn tại kẽ răng sẽ khiến hơi thở có mùi. Việc thực hiện lấy cao răng định kỳ sẽ hạn chế vấn đề này, giúp bạn có hơi thở thơm tho.

    Giúp hàm răng trắng sáng

    Mảng bám ở cao răng có màu trắng ngà, vàng hoặc nâu sẽ gây ra mất thẩm mỹ, khiến những chiếc răng bị ố vàng, xỉn màu. Vì thế, việc lấy cao răng định kỳ sẽ giúp duy trì hàm răng trắng sáng, hạn chế tình trạng xỉn màu trên răng. Từ đó, bạn sẽ tự tin hơn khi giao tiếp với mọi người xung quanh.

    Tại sao nhiều nha sĩ luôn khuyến khích phải lấy cao răng định kỳ 2 Tại sao phải lấy cao răng định kỳ? Lấy cao răng thường xuyên giúp bảo vệ sức khỏe răng miệng.

    Bảo vệ sức khỏe của răng và xương hàm

    Không ít người có suy nghĩ rằng cao răng không gây ra nhiều nguy hiểm hay ảnh hưởng tới sức khỏe răng miệng. Tuy nhiên, trên thực tế, vị trí hình thành cao răng chính là môi trường lý tưởng để vi khuẩn phát triển, phá hủy các tổ chức răng và nướu, nghiêm trọng hơn có thể dẫn tới hậu quả nặng nề như gây tiêu xương hàm, răng lung lay hoặc mất răng hàng loạt. Chính vì thể, để bảo vệ răng miệng tốt hơn các bạn cần thực hiện lấy cao răng định kỳ.

    Nên lấy cao răng bao lâu một lần?

    Dù việc lấy cao răng mang lại nhiều lợi ích cho sức khỏe răng miệng, tuy nhiên bạn cũng không nên lạm dụng. Việc sử dụng sóng âm và lực đẩy mạnh trong quá trình cạo vôi răng có thể làm tổn thương với răng và nướu. Lấy cao răng liên tục có thể khiến răng không được nghỉ ngơi, bạn sẽ dễ gặp những vấn đề như đau răng, nhức răng, buốt răng, răng nhạy cảm, lung lay răng,…

    Theo các bác sĩ nha khoa khuyến cáo, thời gian trung bình lấy cao răng một lần là 6 tháng. Khoảng thời gian này thích hợp để mảng bám cao răng hình thành chưa gây ra nhiều vấn đề cho khoang miệng, đồng thời cho phép răng và nướu có đủ thời gian phục hồi từ lần lấy cao răng trước đó. Việc thực hiện lấy cao răng 6 tháng một lần là khuyến cáo chung cho tất cả mọi người. Tuy nhiên, dựa vào đặc điểm cấu trúc răng, thói quen ăn uống và vệ sinh răng miệng mà mức độ cao răng của mỗi người sẽ khác nhau.

    Tại sao nhiều nha sĩ luôn khuyến khích phải lấy cao răng định kỳ 3 Theo các bác sĩ nha khoa khuyến cáo, thời gian trung bình lấy cao răng một lần là 6 tháng.

    Chăm sóc răng miệng sau khi lấy cao răng thế nào?

    Sau khi lấy cao răng, chân răng và nướu của chúng ta khá nhạy cảm. Do đó, bạn cần được chăm sóc đúng cách để răng và nướu nhanh chóng phục hồi. Một số việc cần thực hiện chăm sóc răng miệng sau khi lấy cao răng:

    • Nên chú ý thời gian lấy cao răng định kỳ 6 tháng một lần, chứ không phải chỉ lấy một lần.
    • Sử dụng bàn chải lông mềm để vệ sinh răng miệng 2 - 3 lần/ngày để hạn chế sự phát triển của vi khuẩn.
    • Sử dụng chỉ nha khoa để loại bỏ cặn bã thức ăn mắc kẹt ở răng hay các vị trí khó vệ sinh.
    • Súc miệng với nước muối hoặc nước muối sinh lý chuyên dụng có khả năng diệt khuẩn, giảm sự tích tụ của mảng bám gây cao răng.
    • Thiết lập chế độ ăn uống dinh dưỡng phù hợp sau khi lấy cao răng, ưu tiên dùng thức ăn mềm, dễ nuốt, tránh các thức ăn cay, nóng và lạnh gây ảnh hưởng men răng.

    Trên đây là những chia sẻ về việc tại sao phải lấy cao răng định kỳ, mong rằng sẽ giúp các bạn có thêm những thông tin hữu ích để chăm sóc sức khỏe răng miệng của mình tốt hơn. Chúc bạn sẽ luôn sở hữu một hàm răng chắc khỏe và nụ cười sáng bóng, rạng rỡ.

    Bảo Vân

    Nguồn tham khảo: Tổng hợp

    Có thể bạn quan tâm

    Thông tin và sản phẩm gợi ý trong bài viết chỉ mang tính chất tham khảo, vui lòng liên hệ với Bác sĩ, Dược sĩ hoặc chuyên viên y tế để được tư vấn cụ thể. Xem thêm

    Dược sĩ Đại họcNguyễn Mỹ Huyền

    Đã kiểm duyệt nội dung

    Dược sĩ Đại học có nhiều năm kinh nghiệm trong việc tư vấn Dược phẩm và hỗ trợ giải đáp thắc mắc về Bệnh học. Hiện đang là giảng viên cho Dược sĩ tại Nhà thuốc Long Châu.

    Xem thêm thông tin