Tốt nghiệp đại học Khoa Dược. Có kinh nghiệm hơn 10 năm trong lĩnh vực Dược phẩm, tư vấn thuốc và thực phẩm chức năng. Hiện đang là giảng viên cho Dược sĩ tại Nhà thuốc Long Châu.
Thục Hiền
05/04/2024
Mặc định
Lớn hơn
U thần kinh đệm bậc cao, còn được gọi là gliomas cấp độ cao, là một loại khối u não phức tạp và nghiêm trọng. Bài viết này sẽ cung cấp cái nhìn toàn diện về bệnh lý này, từ nguyên nhân, triệu chứng, chẩn đoán đến các phương pháp điều trị hiện đại. Đồng thời, bài viết cũng sẽ đề cập đến những thách thức và triển vọng trong việc điều trị u thần kinh đệm bậc cao, mở ra hy vọng mới cho những bệnh nhân đang đối mặt với căn bệnh này.
U thần kinh đệm bậc cao là một trong những dạng ung thư não phổ biến và nguy hiểm nhất. Đây là một chủ đề quan trọng trong y học hiện đại, không chỉ vì tính chất nghiêm trọng của bệnh mà còn do những tiến bộ đáng kể trong việc chẩn đoán và điều trị. Bài viết sau đây sẽ cung cấp cái nhìn sâu rộng về các khía cạnh y khoa, sức khỏe và những phát triển mới nhất liên quan đến u thần kinh đệm bậc cao.
U thần kinh đệm bậc cao, còn được gọi là gliomas cấp độ cao, là một dạng ung thư não phức tạp, được phân loại dựa trên các đặc điểm hình ảnh và diễn biến lâm sàng. Loại u này thường được phân loại theo WHO (Tổ chức Y tế Thế giới), từ cấp độ I đến IV, với cấp độ IV biểu hiện nặng nề nhất.
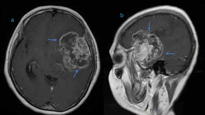
Đặc điểm hình ảnh của các khối u này trên các phương tiện chẩn đoán như MRI (Chụp cộng hưởng từ) và CT (Chụp cắt lớp vi tính) thường hiển thị sự không đồng nhất, với các vùng đậm độ cao và thấp. Sự không đồng nhất này phản ánh sự đa dạng của các tế bào u và môi trường xung quanh chúng. Các đặc điểm này không chỉ quan trọng trong việc chẩn đoán mà còn có ảnh hưởng đến quyết định điều trị.

Sự phát triển của u thần kinh đệm bậc cao không theo một quy luật cố định mà biến đổi tùy thuộc vào từng cá nhân. Các yếu tố nguy cơ bao gồm: Di truyền, tiền căn tiếp xúc với bức xạ và tiền căn bệnh lý cá nhân.
Sự tiến triển của bệnh thường nhanh chóng và có thể gây ra các triệu chứng nghiêm trọng như đau đầu, co giật, và suy giảm chức năng thần kinh. Một trong những đặc điểm quan trọng của u thần kinh đệm bậc cao là khả năng xâm lấn cao, lan rộng sang các khu vực khác của não. Việc này không chỉ gây khó khăn trong việc điều trị mà còn ảnh hưởng lớn đến chất lượng cuộc sống của bệnh nhân. Do đó, việc theo dõi sát sao và xử lí kịp thời đối với các biến đổi trong diễn biến bệnh là hết sức quan trọng.
Triệu chứng của u thần kinh đệm bậc cao thường khó nhận biết ở giai đoạn đầu do sự mơ hồ và đa dạng của chúng. Các dấu hiệu ban đầu có thể bao gồm:

Do những triệu chứng này thường chồng chéo với các bệnh lý khác, việc nhận biết sớm thường khó khăn nhưng vô cùng quan trọng. Sự chú ý đến những thay đổi nhỏ trong cơ thể có thể là chìa khóa để phát hiện bệnh sớm, dẫn đến việc can thiệp y khoa kịp thời và cải thiện tỷ lệ sống còn của bệnh nhân.
Khi nghi ngờ có u thần kinh đệm bậc cao, các phương pháp chẩn đoán hình ảnh học đóng vai trò quan trọng trong việc xác định chính xác và đánh giá mức độ của bệnh.
Chụp cộng hưởng từ (MRI) là công cụ không thể thiếu, cung cấp hình ảnh chi tiết của cấu trúc não và khối u. MRI giúp xác định kích thước, vị trí và đặc điểm cấu trúc của u, hỗ trợ trong việc lập kế hoạch điều trị. Sinh thiết não, mặc dù xâm lấn hơn, cung cấp thông tin về loại tế bào và tính chất của khối u, từ đó hỗ trợ trong việc xác định chẩn đoán và lựa chọn phương pháp điều trị phù hợp.
Các phương pháp chẩn đoán khác như PET scan và chụp CT-scan sọ não cũng được sử dụng để bổ sung thêm thông tin, nhất là trong trường hợp khó chẩn đoán hoặc để đánh giá sự lan rộng của bệnh.

Điều trị u thần kinh đệm bậc cao đòi hỏi một cách tiếp cận toàn diện và đa ngành. Phương pháp điều trị chủ yếu bao gồm phẫu thuật, xạ trị, và hóa trị:

Mặc dù có tiến bộ, nhưng điều trị u thần kinh đệm bậc cao vẫn gặp nhiều thách thức. Một trong những vấn đề lớn nhất là việc quản lý tác dụng phụ của các phương pháp điều trị. Phẫu thuật có thể gây ra biến chứng như nhiễm trùng hoặc tổn thương thần kinh. Xạ trị và hóa trị, dù đem lại hiệu quả, nhưng cũng có thể gây ra nhiều tác dụng phụ như mệt mỏi, buồn nôn, rụng tóc và suy giảm miễn dịch.
Việc quản lý tác dụng phụ đòi hỏi một đội ngũ y tế chuyên nghiệp và sự hợp tác chặt chẽ giữa bác sĩ, bệnh nhân, và gia đình. Ngoài ra, việc theo dõi sức khỏe tinh thần và hỗ trợ tâm lý cũng rất quan trọng, giúp bệnh nhân đối mặt với căn bệnh này một cách tích cực và hiệu quả hơn.
Nghiên cứu mới trong lĩnh vực điều trị u thần kinh đệm bậc cao tiếp tục mở ra các khả năng mới và hiệu quả hơn. Các nghiên cứu đang tập trung vào việc hiểu rõ hơn về cơ chế phát triển và xâm lấn của u, từ đó phát triển các phương pháp can thiệp sớm hơn và chính xác hơn. Ngoài ra, việc tìm kiếm các dấu ấn sinh học có thể hỗ trợ trong việc phân loại u và dự đoán diễn biến bệnh, từ đó cá nhân hóa phương pháp điều trị cho từng bệnh nhân.
Một trong những hướng nghiên cứu hứa hẹn nhất là sự phát triển của liệu pháp gen và miễn dịch. Liệu pháp gen tập trung vào việc chỉnh sửa hoặc thay thế các gen gây bệnh, cung cấp một cách tiếp cận điều trị chính xác và hiệu quả hơn. Mặt khác, liệu pháp miễn dịch nhằm kích hoạt hệ thống miễn dịch của cơ thể để chống lại các tế bào ung thư. Các thử nghiệm lâm sàng ban đầu cho thấy những kết quả hứa hẹn, mở ra cánh cửa mới trong việc điều trị u thần kinh đệm bậc cao.
Bài viết trên đã cung cấp cái nhìn toàn diện về bệnh lý u thần kinh đệm bậc cao, từ nguyên nhân, triệu chứng, phương pháp chẩn đoán đến các phương pháp điều trị hiện đại. Đồng thời, bài viết cũng sẽ đề cập đến những thách thức và triển vọng trong việc điều trị u thần kinh đệm bậc cao. Hy vọng rằng thông qua bài viết đã đem đến những thông tin hữu ích cho bạn.
Xem thêm:
Dược sĩ Đại họcNguyễn Thị Hồng Nhung
Tốt nghiệp đại học Khoa Dược. Có kinh nghiệm hơn 10 năm trong lĩnh vực Dược phẩm, tư vấn thuốc và thực phẩm chức năng. Hiện đang là giảng viên cho Dược sĩ tại Nhà thuốc Long Châu.