Tốt nghiệp đại học Khoa Dược. Có kinh nghiệm hơn 10 năm trong lĩnh vực Dược phẩm, tư vấn thuốc và thực phẩm chức năng. Hiện đang là giảng viên cho Dược sĩ tại Nhà thuốc Long Châu.
Thục Hiền
28/06/2024
Mặc định
Lớn hơn
U thần kinh đệm bậc thấp, hay còn gọi là glioma cấp độ thấp, là một dạng u não ít xâm lấn và phát triển chậm. Bài viết này nhằm cung cấp cái nhìn toàn diện về u thần kinh đệm bậc thấp, từ đặc điểm, triệu chứng, cách chẩn đoán, đến các phương pháp điều trị hiện đại.
U thần kinh đệm bậc thấp là một trong những loại u não không thường gặp nhưng cũng không kém phần quan trọng. Trong y học hiện đại, việc hiểu biết sâu sắc về u thần kinh đệm bậc thấp không chỉ giúp chẩn đoán và điều trị bệnh hiệu quả mà còn giúp người bệnh có cái nhìn lạc quan, chủ động hơn trong quá trình điều trị. Bài viết sau đây sẽ mang đến cái nhìn tổng quan và sâu rộng về bệnh lý này.
U thần kinh đệm bậc thấp được biết đến với tính chất phát triển chậm và ít xâm lấn, thường bắt nguồn từ các tế bào hỗ trợ, bảo vệ, và nuôi dưỡng tế bào thần kinh trong não.
Đặc điểm nổi bật của loại u này là sự tăng trưởng chậm và thường không gây ra triệu chứng nguy hiểm ngay lập tức. U thần kinh đệm bậc thấp thường có cấu trúc rõ ràng, giới hạn chặt chẽ với các mô xung quanh, và ít có khả năng xâm lấn sâu vào các khu vực khác của não. Tuy nhiên, vẫn có khả năng u chuyển đổi thành dạng xâm lấn hơn, đặc biệt qua thời gian dài. Điều này cho thấy cần có sự theo dõi cẩn thận để phát hiện và can thiệp kịp thời.

Tổ chức Y tế Thế giới (WHO) đã phân loại khối u thần kinh đệm dựa trên các đặc điểm lâm sàng và mô học. U thần kinh đệm bậc thấp thường được xếp vào cấp độ I hoặc II trong hệ thống phân loại của WHO. Các u cấp độ I thường là u lành tính với khả năng phục hồi cao sau phẫu thuật, trong khi các u cấp độ II có tốc độ phát triển chậm hơn nhưng vẫn có nguy cơ tiến triển thành dạng ác tính. Phân loại này giúp các bác sĩ chẩn đoán chính xác và lập kế hoạch điều trị phù hợp với từng trường hợp cụ thể, dựa trên tính chất và mức độ tiến triển của u.
Triệu chứng của u thần kinh đệm bậc thấp có thể rất đa dạng và không đặc hiệu, làm cho việc nhận biết sớm trở nên khó khăn.
Một số triệu chứng phổ biến bao gồm đau đầu, đặc biệt là vào buổi sáng, cũng như các vấn đề liên quan đến thị giác, cảm giác, và vận động. Bệnh nhân cũng có thể trải qua các cơn co giật, thay đổi hành vi, khó khăn trong việc nói hoặc hiểu ngôn ngữ, thậm chí suy giảm nhận thức. Do triệu chứng có thể tăng dần theo thời gian, sự chú ý đến những thay đổi nhỏ trong tình trạng sức khỏe là rất quan trọng.

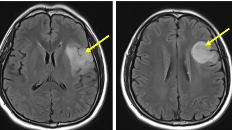
Chẩn đoán u thần kinh đệm bậc thấp thường bao gồm sử dụng các phương pháp hình ảnh học:
Điều trị u thần kinh đệm bậc thấp đòi hỏi cách tiếp cận cá nhân hóa, tùy thuộc vào kích thước, vị trí và mức độ tiến triển của u:

Các nghiên cứu gần đây đang tập trung vào việc phát triển các phương pháp điều trị tiên tiến hơn, như liệu pháp nhắm trúng đích và liệu pháp miễn dịch.
Cả hai phương pháp này đều mở ra hy vọng mới trong việc cải thiện tỷ lệ sống còn và chất lượng cuộc sống cho bệnh nhân mắc u thần kinh đệm bậc thấp.
U thần kinh đệm, dù là bậc thấp, có thể ảnh hưởng lớn đến cuộc sống hàng ngày của bệnh nhân. Quản lý tác dụng phụ của điều trị, như mệt mỏi, đau đầu, và rối loạn cảm giác, là một phần quan trọng của quá trình chăm sóc.
Bên cạnh đó, việc chăm sóc sức khỏe tinh thần cũng không kém phần quan trọng. Bệnh nhân có thể cảm thấy lo lắng, trầm cảm, hoặc lo âu về tình trạng sức khỏe của mình. Hỗ trợ tâm lý, bao gồm liệu pháp tư vấn, có thể giúp bệnh nhân đối phó với những cảm xúc này, cũng như cải thiện chất lượng cuộc sống tổng thể.
Sự hỗ trợ từ gia đình, bạn bè và cộng đồng có thể có tác động lớn đến tinh thần và khả năng phục hồi của bệnh nhân. Gia đình và bạn bè không chỉ cung cấp sự ủng hộ tình cảm mà còn giúp đỡ trong các hoạt động hàng ngày, từ việc đi lại đến việc quản lý các nhiệm vụ gia đình.

Các nhóm hỗ trợ cộng đồng và các chương trình tư vấn cũng rất quan trọng, cung cấp một không gian để chia sẻ kinh nghiệm, tìm kiếm thông tin và nhận sự hỗ trợ từ những người có hoàn cảnh tương tự.
U thần kinh đệm bậc thấp là một trong những loại u não ít xâm lấn. Sự kết hợp của hỗ trợ y khoa, tâm lý và cộng đồng đóng một vai trò quan trọng trong việc giúp bệnh nhân đối mặt với thách thức của bệnh, duy trì một cuộc sống tích cực và ý nghĩa. Hy vọng bài viết này đã đem lại những thông tin hữu ích về u thần kinh đệm bậc thấp đến bạn đọc!
Xem thêm: U vùng hàm mặt là gì? Tình trạng và cách điều trị phù hợp
Dược sĩ Đại họcNguyễn Thị Hồng Nhung
Tốt nghiệp đại học Khoa Dược. Có kinh nghiệm hơn 10 năm trong lĩnh vực Dược phẩm, tư vấn thuốc và thực phẩm chức năng. Hiện đang là giảng viên cho Dược sĩ tại Nhà thuốc Long Châu.