Dược sĩ Đại học có nhiều năm kinh nghiệm trong việc tư vấn Dược phẩm và hỗ trợ giải đáp thắc mắc về Bệnh học. Hiện đang là giảng viên cho Dược sĩ tại Nhà thuốc Long Châu.
21/06/2023
Mặc định
Lớn hơn
Viêm nha chu là bệnh răng miệng không nguy hiểm và khá phổ biến. Tuy nhiên nếu bệnh nhân chủ quan không chữa trị dứt điểm sẽ dễ khiến bệnh trở thành viêm nha chu mãn tính. Hãy cùng nhà thuốc Long Châu tìm hiểu về vấn đề này qua bài viết dưới đây nhé!
Viêm nha chu gây ra rất nhiều phiền toái trong đời sống của bệnh nhân. Viêm nha chu gây hôi miệng, đau răng,... gây khó khăn trong ăn uống và giao tiếp trong cuộc sống hằng ngày.
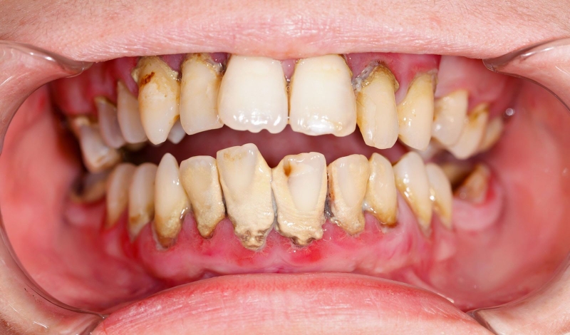
Viêm nha chu là tình trạng những khu vực lân cận phần chân răng bị viêm nhiễm nghiêm trọng. Hầu hết các bệnh liên quan đến nha chu, đặc biệt là viêm nha chu mãn tính thì nướu đều bị nhiễm trùng ở mức độ nặng và phá hủy phần mô nha chu.
Khi bị viêm nha chu, người bệnh sẽ thấy cấu trúc xương ổ răng bị tiêu biến dần. Các loại vi khuẩn, mảng bám gây hại ngày càng phát triển làm hệ miễn dịch không có khả năng chống đỡ, từ đó gây nên tình trạng viêm nhiễm.
Viêm nha chu mãn tính là gì? Thực chất, tình trạng viêm nha chu mãn tính xảy ra do bệnh lý viêm nha chu ở mức độ cấp tính không được điều trị kịp thời và triệt để. Từ đó, vi khuẩn gây viêm nhiễm phát triển, lan rộng dần ra hầu hết nha chu và hình thành biến chứng xấu.
Viêm nha chu mãn tính nếu không được điều trị và kiểm soát tốt có thể gây ra tình trạng mất răng vĩnh viễn. Người bệnh buộc phải để ý, theo dõi những biến đổi tại nướu răng để hạn chế ảnh hưởng xấu của bệnh đến sức khỏe.

Thực tế, những dấu hiệu để nhận biết bệnh viêm nha chu mãn tính khá khó để phân biệt với bệnh đang ở giai đoạn cấp tính (khởi phát). Những đặc điểm của bệnh viêm nha chu tương đối rõ ràng, bệnh ở mức độ mãn tính sẽ có những dấu hiệu nghiêm trọng hơn như sau:
Nguyên nhân hàng đầu gây ra bệnh viêm nha chu mãn tính chính là do các mảng bám ứ đọng trên bề mặt răng, tạo điều kiện cho vi khuẩn phát triển. Trong quá trình nhai nghiền thức ăn, vụn thức ăn sẽ bám trên răng và tạo thành những mảng bám. Đây là màng sinh học cực kỳ cứng (vôi răng) bao quanh mặt răng, chứa đầy những vi khuẩn gây bệnh
Vôi răng (cao răng) thường rất khó để loại bỏ khỏi mặt răng chỉ với phương pháp đánh răng thông thường. Lúc này, mảng bám sẽ cứng dần phá hủy cấu trúc răng và mô nha chu, dần gây nên tình trạng viêm nướu.
Tình trạng viêm nha chu ở mức độ nghiêm trọng có thể hình thành nên các túi giữa nướu và răng, vi khuẩn sẽ sinh sôi phát triển ở đây và tạo ra độc tố. Các túi này sẽ dễ bị xuất hiện mủ, ứ đọng lâu ngày tạo nên tình trạng hôi miệng, áp xe nướu răng rất khó chịu.

Viêm nha chu mãn tính được liệt kê vào danh sách những bệnh lý răng miệng nghiêm trọng. Ở giai đoạn đầu, viêm nha chu được gọi ở dạng viêm lợi và thường xuất hiện ở tuổi dậy thì. Nếu bệnh kéo dài có nghĩa là đã chuyển sang giai đoạn mãn tính, nướu thường xuyên bị chảy máu và ảnh hưởng tới xương ổ răng, chân răng.
Mặt khác, các túi mủ ở nướu cũng là nơi vi khuẩn sinh sôi mạnh mẽ, gây ra những biến chứng khó lường như:
Qua đây, người bệnh có thể thấy rằng mức độ nghiêm trọng cũng như ảnh hưởng mà bệnh viêm nha chu gây ra đối với sức khỏe. Việc phát hiện sớm cũng như điều trị viêm nha chu kịp thời sẽ có ý nghĩa vô cùng quan trọng đối với sức khỏe răng miệng về sau.
Viêm nha chu mãn tính gây ảnh hưởng nghiêm trọng đối với sức khỏe, tuy nhiên, bệnh hoàn toàn có thể phòng ngừa được. Bạn cần lưu ý phòng bệnh viêm nha chu bằng việc giữ gìn vệ sinh răng miệng thường xuyên, chăm sóc sức khỏe của bản thân:

Viêm nha chu mãn tính gây ảnh hưởng xấu đến răng miệng nói riêng và sức khỏe cơ thể nói chung. Do đó cần đề phòng và điều trị bệnh hiệu quả, người bệnh cần tuân thủ quá trình điều trị từ nha sĩ cùng với việc xây dựng thói quen sinh hoạt lành mạnh của chính bản thân mình.
Như Nguyễn
Nguồn tham khảo: Tổng hợp
Dược sĩ Đại họcNguyễn Mỹ Huyền
Dược sĩ Đại học có nhiều năm kinh nghiệm trong việc tư vấn Dược phẩm và hỗ trợ giải đáp thắc mắc về Bệnh học. Hiện đang là giảng viên cho Dược sĩ tại Nhà thuốc Long Châu.