• Thực phẩm chức năng

  • Dược mỹ phẩm

  • Thuốc

  • Chăm sóc cá nhân

  • Thiết bị y tế

  • Tiêm chủng

  • Bệnh & Góc sức khỏe

  • Hệ thống nhà thuốc

    1. /
    2. Góc sức khỏe/
    3. Phòng bệnh & Sống khoẻ/
    4. Kiến thức y khoa

    Bệnh sỏi mật có nguy hiểm không? Phương pháp chẩn đoán và điều trị sỏi mật hiện nay

    Thảo Hiền

    31/07/2025

    Kích thước chữ

    Bệnh sỏi mật có nguy hiểm không? Đây là thắc mắc của nhiều người khi không may mắc phải. Bệnh sỏi mật là một trong những bệnh lý phổ biến liên quan đến hệ tiêu hóa. Dù đôi khi không gây triệu chứng rõ ràng, nhưng nếu không được phát hiện và điều trị kịp thời, bệnh sỏi mật có thể dẫn đến các biến chứng nghiêm trọng, ảnh hưởng đến sức khỏe và cuộc sống của bệnh nhân.

    Mặc dù nhiều người mắc sỏi mật hoặc sỏi thận không gặp phải triệu chứng ngay lập tức, nhưng khi bệnh tiến triển và gây tắc nghẽn đường mật, các biến chứng nguy hiểm có thể xuất hiện. Bệnh sỏi mật có nguy hiểm không? Đây là một câu hỏi quan trọng, đặc biệt khi tỷ lệ người mắc bệnh sỏi mật ngày càng gia tăng.

    Nguyên nhân và triệu chứng của sỏi mật

    Sỏi mật là các viên sỏi hình thành trong túi mật hoặc ống mật, một bệnh lý tuy lành tính nhưng có thể dẫn tới các biến chứng nghiêm trọng nếu không được phát hiện và điều trị tích cực. Khi sỏi gây tắc mật, chúng có thể cản trở dòng chảy của mật tại túi mật hoặc hệ thống đường mật trong và ngoài gan, dẫn đến viêm nhiễm, nhiễm trùng và các hậu quả nguy hiểm khác.

    Bệnh sỏi mật có nguy hiểm không? 1
    Bệnh sỏi mật có nguy hiểm không là thắc mắc của rất nhiều người

    Túi mật, một cơ quan nhỏ có hình quả lê nằm ở dưới gan, là nơi dự trữ dịch mật - một chất lỏng quan trọng giúp tiêu hóa chất béo. Trong quá trình ăn uống, túi mật co bóp để tiết dịch mật vào ruột non, hỗ trợ quá trình tiêu hóa. Vị trí của túi mật thường được xác định ở vùng dưới sườn phải bụng, ngay dưới gan. Khi xuất hiện sỏi, nhiều người lo lắng rằng sỏi túi mật có nguy hiểm không?

    Sỏi mật hình thành do sự kết hợp của nhiều yếu tố khác nhau. Một trong số đó là chế độ ăn uống và thói quen sinh hoạt. Nhịn ăn kéo dài có thể khiến túi mật không hoạt động bình thường, làm giảm khả năng tiết mật, dẫn đến sự tích tụ và hình thành sỏi. Tương tự, giảm cân quá nhanh khiến gan tăng sản xuất cholesterol, dễ dẫn tới sự lắng đọng trong dịch mật. Ngoài ra, lượng cholesterol trong máu cao cũng là nguyên nhân chính. Cholesterol dư thừa sẽ kết tủa và hình thành các hạt sỏi trong túi mật.

    Béo phì là một trong những yếu tố nguy cơ lớn nhất gây sỏi mật. Người thừa cân không chỉ có mức cholesterol cao mà còn gặp khó khăn trong việc làm rỗng túi mật, tạo điều kiện cho sỏi phát triển. Nội tiết tố cũng đóng vai trò quan trọng trong việc này. Những người sử dụng thuốc tránh thai, liệu pháp hormone thay thế hoặc mang thai thường có nguy cơ cao hơn do thay đổi hormone làm tăng cholesterol và giảm khả năng thoát mật.

    Bệnh sỏi mật có nguy hiểm không? 2
    Cholesterol trong máu cao có thể là nguyên nhân gây ra sỏi mật

    Ngoài ra, các bệnh mạn tính như tiểu đường cũng liên quan chặt chẽ đến sự hình thành sỏi mật, bởi người mắc bệnh này thường có mức chất béo trung tính cao. Các yếu tố di truyền hoặc các bệnh lý về máu như tan máu bẩm sinh cũng làm tăng khả năng mắc bệnh.

    Sỏi mật hình thành trong túi mật hoặc đường mật, gây ra các triệu chứng đặc trưng như:

    • Đau bụng dữ dội và kéo dài: Cơn đau thường từ 30 phút đến vài giờ, xuất hiện ở vùng bụng phải hoặc thượng vị.
    • Đau sau bữa ăn hoặc vào ban đêm: Những cơn đau thường xuất hiện sau khi ăn đồ nhiều dầu mỡ hoặc về đêm, làm bệnh nhân khó chịu và mất ngủ.

    Việc phát hiện và điều trị sớm đóng vai trò quan trọng trong bảo vệ sức khỏe người bệnh, với các triệu chứng khó chịu và nặng nề gây ảnh hưởng tới chất lượng sống, người bệnh thường thắc mắc rằng bệnh sỏi mật có nguy hiểm không và làm sao để chẩn đoán và điều trị sỏi mật.

    Bệnh sỏi mật có nguy hiểm không?

    Sỏi mật có thể nguy hiểm nếu không được phát hiện và điều trị kịp thời. Mặc dù sỏi mật thường là bệnh lý lành tính và nhiều người mắc sỏi mật không có triệu chứng, nhưng khi sỏi gây tắc nghẽn đường mật hoặc dẫn đến các biến chứng, nó có thể trở thành một tình trạng nguy hiểm. Một số biến chứng nghiêm trọng của sỏi mật bao gồm:

    • Viêm túi mật: Khi sỏi mật chặn ống dẫn mật từ túi mật, có thể gây viêm và nhiễm trùng trong túi mật, tình trạng này gọi là viêm túi mật cấp tính. Viêm túi mật có thể dẫn đến cơn đau dữ dội, nhiễm trùng và có thể cần phẫu thuật cấp cứu nếu không được điều trị kịp thời.
    • Tắc nghẽn đường mật: Sỏi mật có thể gây tắc nghẽn đường mật, khiến mật không thể thoát ra khỏi gan và ruột, dẫn đến tình trạng vàng da và vàng mắt. Đây là dấu hiệu của tình trạng tắc nghẽn đường mật và cần phải điều trị gấp.
    • Nhiễm trùng đường mật và nhiễm trùng huyết: Khi sỏi gây tắc nghẽn và làm ứ đọng mật, có thể dẫn đến nhiễm trùng đường mật. Nếu nhiễm trùng lan ra và vào máu, nó có thể gây nhiễm trùng huyết, một tình trạng nguy hiểm đến tính mạng.
    • Viêm tụy: Sỏi mật có thể chặn ống tụy, dẫn đến viêm tụy, một bệnh lý nghiêm trọng gây đau bụng dữ dội và có thể đe dọa tính mạng nếu không được điều trị sớm.
    • Ung thư túi mật: Trong một số trường hợp hiếm, sự hiện diện của sỏi mật kéo dài có thể làm tăng nguy cơ phát triển ung thư túi mật.
    Bệnh sỏi mật có nguy hiểm không? 3
    Sỏi mật nếu không phát hiện sớm và điều trị thì có thể gây ra các biến chứng nguy hiểm

    Vì vậy, mặc dù sỏi mật không phải lúc nào cũng nguy hiểm, nhưng nếu không được điều trị sớm, nó có thể gây ra những biến chứng nguy hiểm, đe dọa sức khỏe và tính mạng của người bệnh. Do đó, việc phát hiện sớm và điều trị kịp thời là rất quan trọng.

    Chẩn đoán và điều trị sỏi mật

    Để chẩn đoán sỏi mật, bác sĩ sẽ bắt đầu bằng việc thăm khám sức khỏe tổng quát của bệnh nhân. Sau đó, tùy thuộc vào các triệu chứng và nghi ngờ về bệnh lý, bác sĩ có thể yêu cầu thực hiện một số xét nghiệm và phương pháp chẩn đoán như sau:

    • Xét nghiệm máu: Giúp phát hiện các dấu hiệu nhiễm trùng, tắc nghẽn đường mật và loại trừ những nguyên nhân khác.
    • Siêu âm: Là phương pháp đầu tay trong chẩn đoán sỏi mật, giúp bác sĩ quan sát hình ảnh của túi mật và phát hiện sỏi.
    • Chụp CT: Phương pháp này giúp bác sĩ quan sát chi tiết túi mật và hệ thống đường mật trong và ngoài gan, giúp xác định vị trí và kích thước của sỏi.
    • Chụp cộng hưởng từ mật tụy (MRCP): Sử dụng hình ảnh cộng hưởng từ để tạo ra hình ảnh của gan, túi mật, đường mật và tuyến tụy, hỗ trợ bác sĩ trong việc phát hiện sỏi mật.
    • Cholescintigraphy (quét HIDA): Kiểm tra khả năng co bóp của túi mật bằng cách tiêm chất phóng xạ vô hại để theo dõi chuyển động của túi mật. Nếu có sự bất thường, đây có thể là dấu hiệu của sỏi mật.
    • Nội soi mật tụy ngược dòng (ERCP): Phương pháp này sử dụng ống nội soi đưa qua miệng vào ống mật chủ, giúp phát hiện và lấy sỏi bị kẹt trong đường mật.
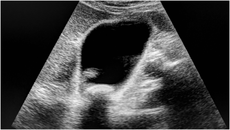
    Bệnh sỏi mật có nguy hiểm không? 4
    Siêu âm là phương pháp áp dụng phổ biến để chẩn đoán sỏi mật

    Việc điều trị sỏi mật sẽ được xác định dựa trên mức độ và biến chứng của bệnh. Các phương pháp điều trị bao gồm:

    • Cắt túi mật: Đây là phương pháp điều trị phổ biến khi sỏi mật gây triệu chứng hoặc biến chứng. Phẫu thuật có thể được thực hiện qua mổ mở hoặc phẫu thuật nội soi. Sau khi cắt túi mật, bệnh nhân vẫn cần được theo dõi để kiểm tra xem có còn sỏi ở vị trí khác hay không.
    • Nội soi mật tụy ngược dòng (ERCP): Phương pháp này giúp lấy sỏi bị kẹt trong ống mật chủ. Ngoài ra, ERCP cũng có thể giúp bác sĩ xác định và điều trị các vấn đề về đường mật.
    • Phẫu thuật mở ống mật chủ lấy sỏi: Được áp dụng khi sỏi lớn, đường mật bị giãn hoặc khi phương pháp ERCP không thành công. Phẫu thuật mở có thể kết hợp với cắt túi mật nếu cần.
    • Tán sỏi qua da: Sử dụng sóng xung kích siêu âm để tán vỡ sỏi thành các mảnh nhỏ, giúp chúng có thể đi vào ruột non an toàn. Đây là phương pháp ít phổ biến và thường chỉ áp dụng với những trường hợp sỏi mật ít và nhỏ.
    Bệnh sỏi mật có nguy hiểm không? Phương pháp chẩn đoán và điều trị sỏi mật hiện nay 5
    Phẫu thuật cắt túi mật là phương pháp điều trị phổ biến

    Bệnh sỏi mật có nguy hiểm không tuỳ vào việc được phát hiện và điều trị kịp thời, nó có thể dẫn đến những biến chứng nguy hiểm như viêm túi mật, tắc nghẽn đường mật, nhiễm trùng huyết và thậm chí là ung thư túi mật. Việc hiểu rõ các yếu tố nguy cơ và dấu hiệu của bệnh là rất quan trọng để có thể chủ động phòng ngừa và điều trị kịp thời. Với sự phát hiện và điều trị đúng cách, bệnh sỏi mật hoàn toàn có thể được kiểm soát, giúp giảm thiểu các rủi ro và cải thiện chất lượng cuộc sống.

    Xem thêm: Một số cách chữa sỏi thận đơn giản tại nhà mà bạn có thể tham khảo

    Thông tin và sản phẩm gợi ý trong bài viết chỉ mang tính chất tham khảo, vui lòng liên hệ với Bác sĩ, Dược sĩ hoặc chuyên viên y tế để được tư vấn cụ thể. Xem thêm

    Dược sĩ Đại họcTrần Huỳnh Minh Nhật

    Đã kiểm duyệt nội dung

    Dược sĩ chuyên khoa Dược lý - Dược lâm sàng. Tốt nghiệp 2 trường đại học Mở và Y Dược TP. Hồ Chí Minh. Có kinh nghiệm nghiên cứu về lĩnh vực sức khỏe, đạt được nhiều giải thưởng khoa học. Hiện là Dược sĩ chuyên môn phụ trách xây dựng nội dung và triển khai dự án đào tạo - Hội đồng chuyên môn tại Nhà thuốc Long Châu.

    Xem thêm thông tin