Tốt nghiệp Đại học Dược Hà Nội, với hơn 10 năm kinh nghiệm trong lĩnh vực Dược phẩm. Hiện là giảng viên giảng dạy các môn Dược lý, Dược lâm sàng,...
Thị Diểm
16/01/2025
Mặc định
Lớn hơn
Lựa chọn mắc cài phù hợp là yếu tố quan trọng giúp quá trình niềng răng đạt hiệu quả tối ưu và đảm bảo tính thẩm mỹ. Các loại mắc cài sứ với ưu điểm nổi bật là màu sắc gần giống với răng tự nhiên, ngày càng trở thành lựa chọn phổ biến cho những ai muốn chỉnh nha một cách kín đáo và ít gây sự chú ý.
Niềng răng mắc cài sứ ngày càng trở thành lựa chọn phổ biến nhờ vào tính thẩm mỹ cao, không chỉ giúp cải thiện chức năng ăn nhai mà còn mang lại vẻ ngoài tinh tế, ít bị chú ý. Trên thị trường hiện nay có các loại mắc cài sứ khác nhau, mỗi loại đều có ưu và nhược điểm riêng. Trong bài viết này, chúng ta sẽ cùng tìm hiểu về các loại mắc cài sứ, từ đó giúp bạn có cái nhìn tổng quan và lựa chọn được phương pháp niềng răng phù hợp nhất.
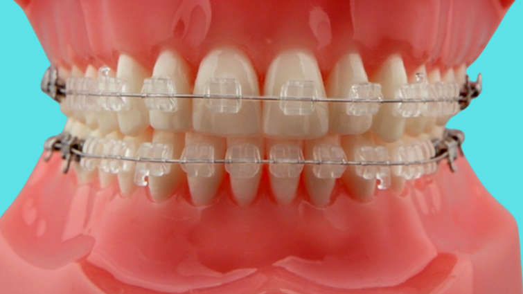
Niềng răng mắc cài sứ là một phương pháp chỉnh nha sử dụng mắc cài được làm từ chất liệu sứ để gắn lên bề mặt răng, kết hợp với dây cung để điều chỉnh vị trí của răng. Mắc cài sứ có màu sắc gần giống với màu răng thật, giúp tăng tính thẩm mỹ và làm cho quá trình niềng răng trở nên ít chú ý hơn so với niềng răng bằng mắc cài kim loại.

Mắc cài sứ là một trong những lựa chọn phổ biến trong niềng răng vì tính thẩm mỹ cao và khả năng kết hợp tốt với màu răng tự nhiên. Dưới đây là các loại mắc cài sứ thường được sử dụng trong chỉnh nha:
Mắc cài sứ truyền thống có thiết kế giống với mắc cài kim loại nhưng được làm từ chất liệu sứ, giúp tạo sự hòa hợp với màu sắc của răng. Mắc cài này có màu sáng, gần giống với màu răng tự nhiên, giúp giảm sự chú ý khi đeo niềng răng.
Tuy nhiên, loại mắc cài này thường dễ bị vỡ hoặc mài mòn hơn mắc cài kim loại.
Mắc cài tự buộc là một dạng mắc cài cải tiến, có cơ chế tự động giữ dây cung mà không cần dùng dây thun. Điều này giúp giảm ma sát, giảm thời gian điều trị và tăng sự thoải mái cho bệnh nhân.

Mắc cài sứ tự buộc cũng có ưu điểm là ít phải tái khám và điều chỉnh so với mắc cài sứ truyền thống.
Các loại mắc cài sứ này đều có những ưu điểm và nhược điểm riêng và sự lựa chọn phụ thuộc vào nhu cầu, sở thích cá nhân cũng như tình trạng răng miệng của từng bệnh nhân.
Niềng răng mắc cài sứ là một lựa chọn lý tưởng cho nhiều người, đặc biệt nếu bạn ưu tiên tính thẩm mỹ trong quá trình chỉnh nha. Tuy nhiên, như bất kỳ phương pháp niềng răng nào, niềng răng mắc cài sứ cũng có cả ưu điểm và nhược điểm và sự phù hợp phụ thuộc vào nhu cầu cá nhân cũng như tình trạng răng miệng của từng người.
Ưu điểm:

Nhược điểm:
Niềng răng mắc cài sứ là một giải pháp chỉnh nha hiệu quả và thẩm mỹ, phù hợp với những ai mong muốn có một hàm răng đẹp mà không gây sự chú ý. Các loại mắc cài sứ đều có những ưu điểm và hạn chế riêng, do đó, việc lựa chọn loại mắc cài phù hợp sẽ giúp quá trình điều trị đạt kết quả tốt nhất. Quan trọng nhất, bạn nên tham khảo ý kiến của bác sĩ chỉnh nha để được tư vấn và lựa chọn phương pháp niềng răng phù hợp với tình trạng răng miệng và mong muốn của bản thân.
Xem thêm:
Dược sĩ Đại họcNguyễn Thanh Hải
Tốt nghiệp Đại học Dược Hà Nội, với hơn 10 năm kinh nghiệm trong lĩnh vực Dược phẩm. Hiện là giảng viên giảng dạy các môn Dược lý, Dược lâm sàng,...