• Thực phẩm chức năng

  • Dược mỹ phẩm

  • Thuốc

  • Chăm sóc cá nhân

  • Thiết bị y tế

  • Tiêm chủng

  • Bệnh & Góc sức khỏe

  • Hệ thống nhà thuốc

    1. /
    2. Góc sức khỏe/
    3. Phòng bệnh & Sống khoẻ

    Cách phân biệt viêm họng hạt và sùi mào gà

    14/12/2024

    Kích thước chữ

    Hiện nay, do tình trạng thiếu thông tin và kiến thức nên không ít người có sự nhầm lẫn giữa bệnh viêm họng hạt và sùi mào gà ở họng. Điều này gây khó khăn rất lớn cho việc điều trị. Dưới đây là các gợi ý phân biệt hai bệnh lý thường gặp này giúp bạn sớm nhận biết, tránh các sai lầm cũng như biến chứng nguy hiểm có thể xảy ra.

    Sùi mào gà là bệnh lý nhiễm trùng có thể xảy ra ở bất cứ bộ phận nào trên cơ thể. Trong đó, sùi mào gà ở họng khiến người bệnh dễ nhầm lẫn với nhiều bệnh lý khác nhất là viêm họng hạt.

    Tìm hiểu chung về viêm họng hạt và sùi mào gà ở họng

    Viêm họng hạt là gì?

    Viêm họng hạt là một dạng viêm họng mãn tính, đặc trưng bởi tình trạng viêm nhiễm liên tục kéo dài khiến niêm mạc bị xung huyết và xuất huyết liên tục. Từ đó, cơ thể dễ dàng suy yếu khi bị virus hoặc vi khuẩn tấn công, hình thành các hạt màu đỏ hoặc hồng ở thành sau họng.

    Nhiều người thường chủ quan, để viêm họng hạt tự khỏi mà không chữa trị. Sai lầm này khiến bệnh trở nên nguy hiểm và có thể dẫn tới nhiều biến chứng nghiêm trọng như: Viêm tấy hoặc áp-xe thành họng, viêm xoang, viêm tai giữa, viêm mũi, viêm thanh quản, viêm khớp, viêm màng tim… Nếu để lâu và không được điều trị dứt điểm bệnh còn dẫn đến viêm phổi hay ung thư vòm họng.

    Cách phân biệt viêm họng hạt và sùi mào gà
    Viêm họng hạt là một dạng viêm họng mãn tính

    Sùi mào gà ở họng là gì?

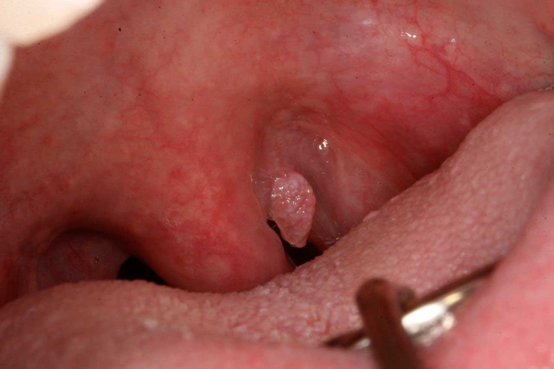
    Sùi mào gà là một trong những bệnh lây truyền qua đường tình dục có tỷ lệ người mắc khá cao hiện nay. Bệnh do virus HPV (Human papilloma) mà chủ yếu là chủng HPV 6 và HPV 11 gây nên tình trạng u nhú ở người. Triệu chứng bệnh có thể xuất hiện ở nhiều vị trí trên cơ thể như: Miệng, mắt, bộ phận sinh dục, cổ tử cung… Sùi mào gà ở họng chính là tình trạng sùi mào gà xảy ra tại họng của người bệnh.

    Nếu không được phát hiện và điều trị kịp thời bệnh sùi mào gà ở họng có thể dẫn đến nhiều biến chứng nguy hiểm cho sức khỏe, tăng nguy cơ gây ung thư và ảnh hưởng đến tâm lý, cuộc sống sinh hoạt của người bệnh và cả những người xung quanh.

    Cách phân biệt viêm họng hạt và sùi mào gà
    Sùi mào gà là bệnh lây qua đường tình dục có triệu chứng u nhú xuất hiện ở miệng, mắt, bộ phận sinh dục...

    Tại sao dễ nhầm lẫn giữa viêm họng hạt và sùi mào gà ở họng?

    Viêm họng hạt và sùi mào gà là hai căn bệnh khác nhau, tuy nhiên do không tìm hiểu kỹ và thiếu kiến thức nên nhiều người dễ nhầm lẫn giữa chúng. Vị trí xuất hiện của cả hai bệnh này đều là ở họng và ảnh hưởng đến niêm mạc khu vực này. Do đó, khó phát hiện được sự khác biệt nếu không được chẩn đoán chuyên sâu.

    Ngoài ra, viêm họng hạt và sùi mào gà ở họng còn có một số triệu chứng tương đồng dễ gây nhầm lẫn cho người bệnh như: Đau họng, khó nuốt, viêm, sưng tấy họng và sự phát triển của dịch nhầy trong họng.

    Phân biệt viêm họng hạt và sùi mào gà ở họng

    Nguyên nhân gây bệnh

    Viêm họng hạt thường xảy ra khi cơ thể tiếp xúc với các yếu tố gây kích thích như: Hóa chất, vi khuẩn gây bệnh nấm, viêm phổi, virus gây cảm cúm thông thường, viêm phế quản, thủy đậu, bệnh sởi… Một vài trường hợp người hay làm việc trong môi trường thiếu độ ẩm, dễ bị kích ứng với khói bụi, bị dị ứng với nấm mốc, người hay nói nhiều, nói liên tục cũng dễ mắc phải viêm họng hạt.

    Trong khi đó, sùi mào gà ở họng được xếp vào nhóm bệnh xã hội do tiếp xúc với virus HPV. Bệnh lây truyền chủ yếu thông qua đường tình dục không an toàn, lây nhiễm từ mẹ sang con hoặc qua đường tiếp xúc với người bệnh (tiếp xúc với vết thương hở cũng như đồ dùng cá nhân của người mắc sùi mào gà).

    Tính chất bệnh lý

    Viêm họng hạt là tình trạng viêm nhiễm của các hạt lymphoid nằm ở hốc mũi và họng, gọi là amidan và hạch hạt. Mặt khác, sùi mào gà ở họng là một dạng bệnh gây ra tình trạng viêm nhiễm của các tế bào da quanh khu vực họng, miệng và hình thành các khối u nhỏ trên niêm mạc của họng.

    Cách phân biệt viêm họng hạt và sùi mào gà
    Có thể phân biệt viêm họng hạt và sùi mào gà ở họng dựa trên tính chất bệnh lý

    Triệu chứng

    Những dấu hiệu viêm họng hạt nổi bật bao gồm: Hạch hạt to, sưng nề, ho liên tục từng cơn, đau đầu và sốt nhẹ. Trong khi đó, sùi mào gà ở họng gây ra các khối u màu trắng, xám hoặc hồng, tập trung thành từng cụm giống hình chiếc cây súp lơ hoặc mào gà. Chúng khiến người bệnh có cảm giác nghẹt thở và hơi thở có mùi hôi hơn bình thường.

    Cách điều trị viêm họng hạt và sùi mào gà

    Tùy vào tình trạng bệnh, viêm họng hạt thường được điều trị bằng bốn nhóm thuốc phổ biến bao gồm: Thuốc kháng sinh, thuốc giảm đau và hạ sốt, thuốc kháng viêm hay dung dịch súc miệng. Nếu điều trị bằng thuốc không có tác dụng, cần can thiệp bằng phương pháp đốt điện lạnh hoặc sử dụng tia laser tác động trực tiếp vào vùng họng xuất hiện hạt.

    Trong khi đó, bệnh sùi mào gà không thể điều trị dứt điểm bởi virus HPV gây bệnh sẽ tồn tại vĩnh viễn trong cơ thể. Mục đích chính trong điều trị là hạn chế số lần tái phát và giảm triệu chứng khó chịu cho người bệnh. Hiện tại, có nhiều phương pháp điều trị sùi mào gà ở cổ họng như: Đốt laser, đốt lạnh, liệu pháp điều trị sử dụng Nitơ lỏng, cắt đốt cao tần… Trường hợp tổn thương lan rộng cần phải thực hiện phẫu thuật để loại bỏ nốt sùi.

    Cách phân biệt viêm họng hạt và sùi mào gà
    Bệnh sùi mào gà khó có thể trị dứt điểm

    Cách phòng tránh viêm họng hạt và sùi mào gà ở họng

    Chỉ với một vài thay đổi trong thói quen sinh hoạt, bạn sẽ phòng ngừa tốt cả viêm họng hạt và sùi mào gà ở họng.

    Cách phòng tránh viêm họng hạt

    Để phòng tránh viêm họng hạt, cần giữ gìn vệ sinh cá nhân và hạn chế tiếp xúc với nguồn vi khuẩn, virus gây bệnh. Cụ thể:

    • Rửa tay sạch sẽ hàng ngày.
    • Hạn chế để tay tiếp xúc với mắt, mũi, da mặt.
    • Không dùng đồ dùng cá nhân với bất kỳ ai, nhất là người đã nhiễm bệnh.
    • Khi trời chuyển lạnh chú ý giữ ấm cơ thể, đặc biệt lưu ý vùng cổ.
    • Súc miệng thường xuyên bằng nước muối sinh lý hay dung dịch sát khuẩn phù hợp.

    Cách phòng tránh sùi mào gà ở họng

    Các biện pháp phòng tránh bệnh sùi mào gà ở họng gồm:

    • Quan hệ tình dục an toàn.
    • Không sử dụng chung đồ dùng cá nhân với người khác.
    • Không chạm vào vết thương hở của bất kỳ ai.
    • Tiêm vắc xin phòng virus HPV.
    Cách phân biệt viêm họng hạt và sùi mào gà
    Nên chủ động thực hiện biện pháp phòng ngừa viêm họng hạt và sùi mào gà ở họng

    Việc chủ quan cũng như thói quen tự chẩn đoán và điều trị tại nhà khiến người bệnh nhầm lẫn viêm họng hạt và sùi mào gà ở họng dẫn đến điều trị sai, tổn thương kéo dài. Để xác định chính xác bệnh và có hướng chữa trị phù hợp, bạn nên đi khám và nhận tư vấn bác sĩ khi có triệu chứng bất thường ở họng.

    Hãy phòng ngừa bệnh sùi mào gà, bằng biện pháp tiêm vắc xin HPV là một biện pháp quan trọng. Tại Trung tâm Tiêm chủng Long Châu, dịch vụ tiêm chủng được cung cấp với chất lượng cao và nhiều loại vắc xin phong phú. Giá cả luôn hợp lý, kèm theo nhiều ưu đãi và quà tặng hấp dẫn cho khách hàng. Trung tâm cam kết đáp ứng nhanh chóng và đầy đủ nhu cầu tiêm chủng của cộng đồng, giúp bảo vệ sức khỏe cho bạn và gia đình. Hãy đến ngay Trung tâm Tiêm chủng Long Châu để thực hiện tiêm ngừa HPV, chăm sóc sức khỏe cho bản thân và những người bạn yêu thương!

    Thông tin và sản phẩm gợi ý trong bài viết chỉ mang tính chất tham khảo, vui lòng liên hệ với Bác sĩ, Dược sĩ hoặc chuyên viên y tế để được tư vấn cụ thể. Xem thêm

    Bác sĩVõ Thanh Nhã Văn

    Đã kiểm duyệt nội dung

    Tốt nghiệp Bác sĩ Y học Dự phòng từ Đại học Y Dược Thành phố Hồ Chí Minh, bác sĩ đã có nền tảng vững chắc về an toàn y tế và nghiên cứu khoa học. Bên cạnh việc hoàn thành khóa huấn luyện an toàn Sơ cấp cứu tại SAFI, bác sĩ còn nhận được bằng khen của Bộ Y tế năm 2021 cho những đóng góp xuất sắc trong công tác phòng chống dịch COVID-19.

    Xem thêm thông tin