Từng làm ở Viện ISDS, nhiều năm cộng tác với CDC Thái Nguyên triển khai dự án phòng chống HIV/AIDS, 2 năm cộng tác với WHO.
10/11/2023
Mặc định
Lớn hơn
Quy trình lấy cao răng như thế nào là đạt chuẩn khi hiện nay dịch vụ lấy cao răng ngày càng được nhiều người tin tưởng và sử dụng, khi hỗ trợ loại bỏ hiệu quả các mảng bám cứng đầu trên bề mặt răng, bảo vệ sức khỏe răng miệng của bạn một cách toàn diện.
Đánh răng thông thường không phải là cách chăm sóc răng miệng hiệu quả khi không thể loại bỏ hoàn toàn các thức ăn còn thừa trong kẽ răng, điều này sẽ làm hình thành cao răng ảnh hưởng tới sức khỏe răng miệng. Chính vì thế mà ngày nay kỹ thuật lấy cao răng ngày càng trở nên phổ biến và nhận được nhiều sự tin tưởng từ người dùng, bài viết dưới đây sẽ tổng hợp từ a đến z về quy trình lấy cao răng đạt chuẩn để bạn có cái nhìn tổng quan hơn về cao răng đối với sức khỏe răng miệng.
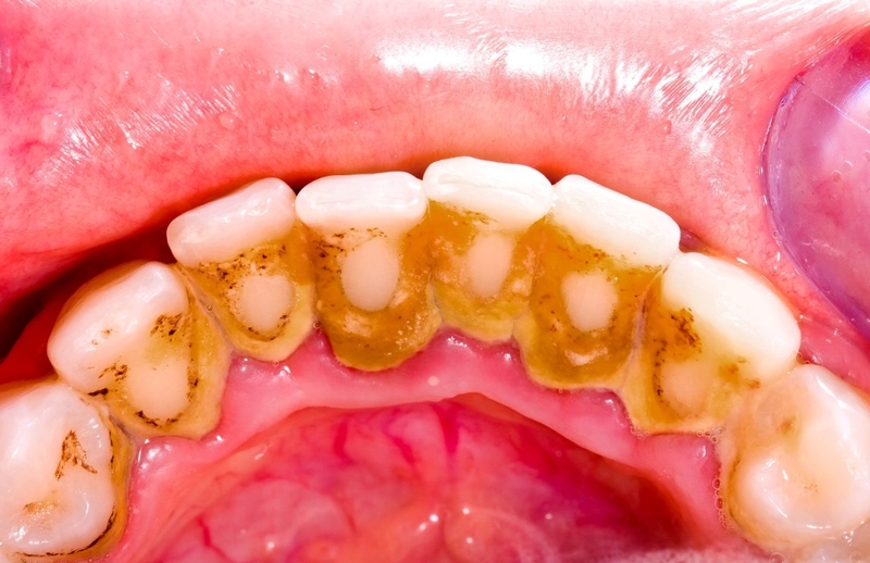
Cao răng (vôi răng) bản chất là sự kết hợp giữa muối canxi và phosphate, được hình thành từ các vụn thức ăn, muối trong nước bọt cùng với một số chất khoáng trong miệng, khi soi gương dễ dàng nhận diện qua những mảng bám màu vàng ố hoặc màu nâu đen tại vị trí chân răng.

Nhìn có vẻ vô hại nhưng thực tế lại là nguyên nhân gây mất thẩm mỹ, hình thành nhiều vi khuẩn làm hôi miệng, làm hư men răng và gây sâu răng, nguy hiểm hơn vi khuẩn sẽ gây kích thích và làm hại đến nướu răng dẫn đến các hiện tượng như:
Vi khuẩn còn là nguyên nhân dẫn đến nhiều bệnh nguy hiểm như viêm tủy, viêm niêm mạc miệng và lưỡi, viêm amidan,…
Nếu bạn đang tìm hiểu dịch vụ loại bỏ vôi răng và thắc mắc không biết liệu quy trình lấy cao răng chuẩn sẽ gồm bao nhiêu giai đoạn thì hãy tham khảo qua các bước dưới đây nhé.
Đây là bước đầu bắt buộc để xác định tình hình răng miệng của từng người bệnh có đang gặp vấn đề gì không, đồng thời bác sĩ cũng xác định được mức độ vôi răng của bệnh nhân ở mức nào, thường sẽ có 3 mức:
Sau khi thăm khám, các bác sĩ sẽ tiến hành vệ sinh toàn bộ răng miệng của người bệnh để ngăn ngừa tối đa vi khuẩn tránh nhiễm khuẩn khi lấy cao răng.

Các bác sĩ sẽ sử dụng 2 dụng cụ: Dao siêu âm và dụng cụ hút để hút các nước vệ sinh trong quá trình lấy cao răng.
Dao siêu âm hoạt động bằng cách sử dụng sóng siêu âm làm các mảng bám tự động tách ra khỏi chân răng. Thậm chí ở các trường hợp có vôi răng nặng, dụng cụ chưa chạm vào răng các mảng bám đã tự động rớt ra, nên mọi người không cần lo lắng về việc sẽ làm mòn răng và hỏng lợi.
Trong quy trình lấy cao răng, mọi người sẽ không có cảm giác đau đớn. Với một số cơ địa nhạy cảm, chỉ cảm thấy hơi ê buốt nhẹ. Toàn bộ cao răng sẽ được loại bỏ từ trong ra ngoài, từ hàm dưới đến hàm trên đến khi toàn bộ cao răng được loại bỏ hoàn toàn.

Có nhiều thông tin cho rằng việc lấy cao răng sẽ làm chảy máu, điều này là khi các vôi răng quá dày, ăn sâu xuống tận chân răng, trường hợp này bắt buộc phải tách các cao răng đã ăn sâu dưới chân nên phần lợi có thể gây chảy máu, mọi người không nên quá lo lắng vì sau đó bác sĩ sẽ hướng dẫn mọi người cách khắc phục việc chảy máu sau khi lấy cao răng để phục hồi nhanh nhất.
Sau khi loại bỏ các mảng cao răng, mọi người sẽ được vệ sinh lại toàn bộ răng miệng và đánh bóng cho răng bằng loại thuốc chuyên dùng nha khoa để răng được nhẵn, mịn và sáng bóng hơn.
Sau khi hoàn tất thì mọi người sẽ được vệ sinh răng miệng lại lần nữa, sau đó các bác sĩ sẽ lưu ý một số điều trong quá trình chăm sóc răng miệng cũng như gửi lịch tái khám nếu như bạn có bệnh lý khác về răng miệng.
Sau khi lấy cao răng, đa số mọi người đều cảm thấy thoải mái hơn vì răng sau khi loại bỏ các mảng bám không chỉ thoáng, mà còn sáng hơn hẳn lúc ban đầu.
Sau khi lấy vôi răng, men răng và nướu vẫn còn yếu, rất dễ bị vi khuẩn tấn công, do đó việc chăm sóc răng miệng đúng cách sẽ giúp bạn ngăn ngừa tối đa vi khuẩn để giữ cho răng luôn khỏe mạnh qua các lưu ý sau đây:
Hi vọng qua những thông tin trên sẽ giúp bạn đọc phần nào hiểu rõ hơn về các giai đoạn trong quy trình lấy cao răng, bên cạnh đó một số lưu ý sau khi lấy cao răng cũng được gợi ý đến mọi người để chăm sóc răng miệng của mình một cách tốt nhất.
Xem thêm:
Kim Ngân
Nguồn tham khảo: Tổng hợp
Dược sĩ Đại học Nguyễn Tuấn Trịnh
Từng làm ở Viện ISDS, nhiều năm cộng tác với CDC Thái Nguyên triển khai dự án phòng chống HIV/AIDS, 2 năm cộng tác với WHO.