Tốt nghiệp loại giỏi trường Đại học Y Dược Huế. Từng tham gia nghiên cứu khoa học đề tài về Dược liệu. Nhiều năm kinh nghiệm làm việc trong lĩnh vực Dược phẩm. Hiện đang là giảng viên cho Dược sĩ tại Nhà thuốc Long Châu.
Phương Thy
14/03/2026
Mặc định
Lớn hơn
Vệ sinh răng miệng không đúng cách có thể khiến răng bị đóng vôi nhiều. Vậy tình trạng này có ảnh hưởng tới sức khỏe không? Răng bị vôi đóng nhiều có nguy hiểm hay không?
Trước khi tìm hiểu răng bị vôi đóng nhiều có nguy hiểm không, chúng ta hãy tìm hiểu khái niệm vôi răng cũng như nguyên nhân hình thành vôi răng.
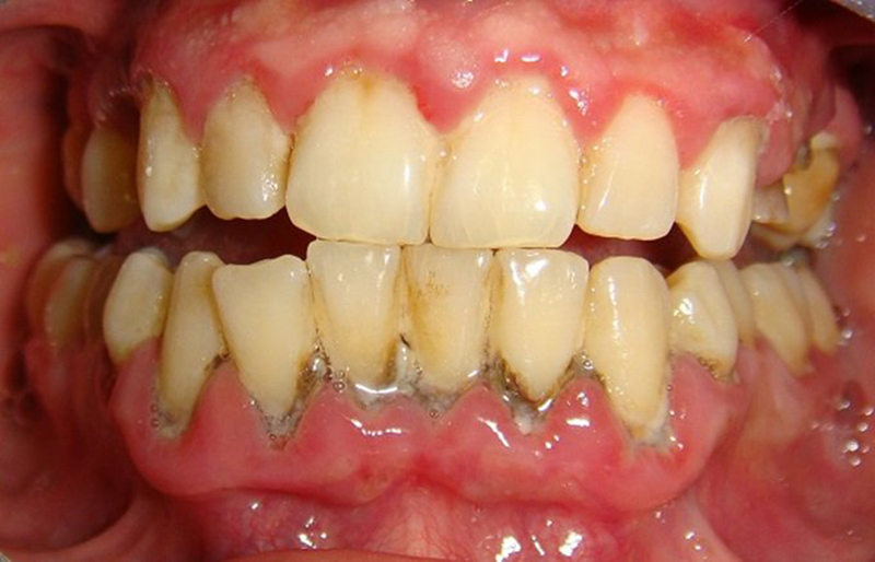
Vôi răng còn được gọi là cao răng là từ dùng để chỉ những vụn thức ăn bám lại lâu ngày trong khoang miệng. Những cặn này sẽ bị vôi hóa bởi hợp chất muối vô cơ trong nước bọt. Dần dần, chúng sẽ cứng và bám chắc vào bề mặt răng, viền nướu hoặc dưới nướu. Lúc này, những phương pháp làm sạch thông thường sẽ không thể loại bỏ.

Tùy theo tình trạng, vôi răng sẽ được phân thành hai loại:
Cao răng bám trên bề mặt răng không những gây mất thẩm mỹ do răng bị ố vàng mà còn khiến hơi thở của bạn có mùi hôi cũng như cản trở việc vệ sinh răng miệng.
Bên cạnh đó, trên bề mặt cao răng luôn tồn tại vi khuẩn, chúng sẽ lên men đường trong thức ăn tạo acid có thể khiến men răng bị hỏng và gây sâu răng, từ đó gây các hệ lụy như:

Khi vôi răng đã bám chắc, bạn không thể tự xử lý tại nhà mà cần đến gặp nha sĩ để được hỗ trợ lấy vôi răng. Quá trình cạo cao răng rất đơn giản, nhanh chóng, bạn nên đi thực hiện khi thấy các triệu chứng sau:
Vậy có nên đi lấy cao răng nhiều lần? Dù cạo vôi răng là thủ thuật an toàn, không ảnh hưởng đến răng miệng nhưng bạn không nên lạm dụng. Nếu không, khoang miệng có thể bị tổn thương. Vì vậy, bạn chỉ nên lấy vôi răng định kỳ theo chỉ định nha sĩ.
Thông thường, ta nên cạo vôi răng khoảng 6 tháng/lần đối với người có men răng tốt, ít cao răng và 3 lần/năm với người thường dùng thuốc lá, rượu, bia, cà phê, vệ sinh răng miệng kém. Sau mỗi lần lấy cao răng, bác sĩ cũng sẽ kiểm tra răng miệng để có thể kiểm soát tốt tình trạng sức khỏe.

Để hạn chế tình trạng này, bạn nên lưu ý những điểm sau:
Trên đây là những thông tin về tình trạng răng bị vôi đóng nhiều và những ảnh hưởng của hiện tượng này đến sức khỏe răng miệng. Có thể nói, lấy vôi răng định kỳ cũng như duy trì một thói quen vệ sinh răng miệng khoa học là điều quan trọng, giúp bạn phòng tránh các bệnh lý răng miệng nguy hiểm. Khi cao răng hình thành, hãy đến những trung tâm nha khoa uy tín để được giải quyết để tránh tình trạng nhiễm trùng.
Dược sĩ Đại họcNgô Kim Thúy
Tốt nghiệp loại giỏi trường Đại học Y Dược Huế. Từng tham gia nghiên cứu khoa học đề tài về Dược liệu. Nhiều năm kinh nghiệm làm việc trong lĩnh vực Dược phẩm. Hiện đang là giảng viên cho Dược sĩ tại Nhà thuốc Long Châu.