Từng đảm nhiệm vị trí Phó khoa Kiểm soát bệnh tật tại Trung tâm Y tế Quận 1 và sau đó là chuyên viên tại Sở Y tế tỉnh Ninh Thuận. Với hai bằng đại học Y khoa và Dược sĩ, bác sĩ có nhiều kinh nghiệm và am hiểu sâu về y học và dược phẩm.
Thu Ngân
18/01/2026
Mặc định
Lớn hơn
Viêm phổi là tình trạng viêm xảy ra phế nang với nguyên nhân thường là do nhiễm trùng. Vậy việc chẩn đoán viêm phổi chính xác là cách tốt nhất để điều trị kịp thời. Hiện nay bác sĩ chẩn đoán viêm phổi bằng cách nào? Nhà thuốc Long Châu sẽ cho bạn câu trả lời trong bài viết dưới đây.
Viêm phổi là tình trạng viêm xảy ra ở nhu mô phổi. Nguyên nhân gây viêm phổi là bởi vi khuẩn, virus, nấm và mycoplasma. Hầu hết bệnh sẽ tiến triển tốt hơn và hồi phục sau 2 đến 4 tuần. Tuy nhiên ở trẻ sơ sinh, người lớn tuổi và những người mắc bệnh tim hoặc phổi đều có nguy cơ bị bệnh nặng và có thể cần nhập viện điều trị. Vì lẽ đó, việc chẩn đoán viêm phổi là rất cần thiết và quan trọng. Cùng Nhà thuốc Long Châu theo dõi nội dung dưới đây để biết cách chẩn đoán căn bệnh trên.
Viêm phổi là tình trạng nhiễm trùng ở một hoặc cả hai phổi, làm cho các phế nang tăng cường tiết dịch. Viêm phổi có thể từ nhẹ đến nặng, tùy thuộc vào nguyên nhân gây ra bệnh, độ tuổi và thể trạng sức khỏe của người bệnh.
Nguyên nhân gây viêm phổi là do vi khuẩn, virus và nấm nhưng không bao gồm trực khuẩn lao. Vi khuẩn là nguyên nhân gây viêm phổi phổ biến nhất. Một số loại vi khuẩn khác nhau có thể gây viêm phổi, bao gồm: Phế cầu khuẩn, legionella pneumophila, mycoplasma, chlamydia viêm phổi, haemophilusenzae loại b (Hib), Klebsiella pneumoniae, vi khuẩn yếm khí,...
Viêm phổi do virus thường nhẹ và tự khỏi trong vòng vài tuần. Nhưng đôi khi lại gây nghiêm trọng đến mức cần phải điều trị tại bệnh viện. Tuy nhiên tình trạng viêm phổi trở nặng nếu bội nhiễm, tức là khi nhiễm virus cũng có thể nhiễm vi khuẩn kèm theo. Các loại virus gây viêm phổi bao gồm: Virus hợp bào hô hấp (RSV), Influenza virus, SARS-CoV-2,...
Viêm phổi do nấm thường gặp phổ biến ở những người mắc bệnh mãn tính hoặc mắc bệnh suy giảm miễn dịch.

Ngoài ra các nguyên nhân khác như hít sặc cũng có thể gây viêm phổi, bởi vì tình trạng hít sặc có thể bị nhiễm khuẩn. Và nếu viêm phổi không được điều trị kịp thời có thể dẫn đến các biến chứng như:
Bất cứ ai cũng có thể bị viêm phổi, nhưng một số yếu tố nhất định có thể làm tăng nguy cơ mắc viêm phổi như:

Các triệu chứng của viêm phổi có thể từ nhẹ đến nặng bao gồm:
Các triệu chứng có thể khác nhau đối với các nhóm khác nhau. Trẻ sơ sinh và trẻ nhỏ có thể không có bất kỳ dấu hiệu nhiễm trùng nào, nhưng những nhóm đối tượng khác có thể có nôn, sốt và ho kèm theo thể trạng ốm yếu, kiệt sức,...

Người lớn tuổi và những người đang điều trị ở ICU hoặc những người có hệ miễn dịch suy yếu có thể có ít triệu chứng hơn và nhẹ hơn. Tuy nhiên, các triệu chứng sẽ trở nặng đến rất nặng nhanh hơn. Ở người lớn tuổi bị viêm phổi đôi khi có thể cảm thấy yếu, mệt hoặc đột nhiên lú lẫn.
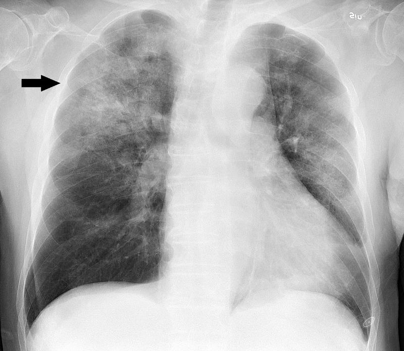
Viêm phổi có thể khó chẩn đoán do có một số triệu chứng tương tự như cảm lạnh hoặc cúm. Do đó bác sĩ sẽ yêu cầu các xét nghiệm khác nhau để chẩn đoán viêm phổi, chẳng hạn như:
Điều trị viêm phổi phụ thuộc vào tác nhân gây viêm phổi và mức độ nghiêm trọng của bệnh. Trong đó bác sĩ sẽ sử dụng các nhóm thuốc như:

Viêm phổi ở mức độ nhẹ thì không cần nhập viện. Tuy nhiên ở những người thuộc nhóm nguy cơ cao hoặc tình trạng nặng hơn thì cần phải nhập viện điều trị. Trong đó các phương pháp điều trị bổ sung như: Liệu pháp oxy, thở máy ECMO,...
Tiên lượng bệnh tốt nếu không có tình trạng đa kháng xảy ra. Người bệnh sẽ hồi phục do đáp ứng với thuốc điều trị. Tuy nhiên nếu có tình trạng đa kháng hoặc thể trạng của người bệnh yếu hoặc suy giảm hệ miễn dịch thì tiên lượng thường xấu.
Hiện nay có các loại vắc xin có thể phòng ngừa viêm phổi do virus cúm hoặc phế cầu gây ra. Ngoài biện pháp tiêm vắc xin thì các biện pháp như rửa tay thường xuyên, không hút thuốc và có lối sống lành mạnh cũng có thể giúp ngăn ngừa viêm phổi.
Như vậy qua bài viết trên bạn đã biết được chẩn đoán viêm phổi bằng nhiều cách khác nhau. Hi vọng các thông tin được cung cấp ở trên hữu ích với bạn. Chúc bạn luôn vui khỏe.
Xem thêm: Các tiêu chuẩn chẩn đoán viêm phổi
Trung tâm Tiêm chủng Long Châu cung cấp các loại vắc xin phòng các bệnh do phế cầu, bao gồm viêm phổi, với chất lượng cao và giá cả hợp lý. Các vắc xin hiện có gồm SYNFLORIX (Bỉ) với giá 1.024.000 đồng/mũi, PREVENAR 13 (Bỉ) giá 1.280.000 đồng/mũi và PNEUMOVAX 23 (Mỹ) giá 1.440.000 đồng/mũi (Giá tham khảo, có thể thay đổi tùy theo thời điểm). Tiêm vắc xin giúp bảo vệ cơ thể khỏi các bệnh viêm phổi do phế cầu, nâng cao sức đề kháng và phòng ngừa các bệnh nguy hiểm. Hãy liên hệ ngay qua Hotline: 1800 6928 để được tư vấn và đặt lịch tiêm chủng nhanh chóng.
Bác sĩ Chuyên khoa 1Nguyễn Thu Hà
Từng đảm nhiệm vị trí Phó khoa Kiểm soát bệnh tật tại Trung tâm Y tế Quận 1 và sau đó là chuyên viên tại Sở Y tế tỉnh Ninh Thuận. Với hai bằng đại học Y khoa và Dược sĩ, bác sĩ có nhiều kinh nghiệm và am hiểu sâu về y học và dược phẩm.