Tốt nghiệp Khoa Dược trường Đại học Nam Cần Thơ. Có nhiều năm kinh nghiệm công tác trong lĩnh vực Dược phẩm. Hiện đang giảng viên cho Dược sĩ tại Nhà thuốc Long Châu.
Thanh Hương
22/01/2024
Mặc định
Lớn hơn
Chụp X quang tràn khí màng phổi là kỹ thuật quan trọng trong phát hiện, chẩn đoán, đánh giá tình trạng tràn khí màng phổi. Căn cứ vào phim chụp, các bác sĩ có thể phân loại bệnh, từ đó chỉ định phương pháp điều trị phù hợp.
Tràn khí màng phổi có thể gây đau đớn, khó thở, ảnh hưởng đến chức năng hô hấp của người bệnh. Tình trạng này cần được phát hiện càng sớm và chữa trị càng kịp thời càng tốt. Một trong những kỹ thuật chẩn đoán hình ảnh quan trọng giúp xác định tình trạng tràn khí màng phổi là chụp X quang. Vậy chụp X quang tràn khí màng phổi có vai trò thế nào? Quy trình ra sao?
Tràn khí màng phổi là tình trạng không khí tích tụ giữa lớp lót bên ngoài của phổi và lớp lót của thành ngực bên trong, làm suy giảm khả năng hô hấp của người bệnh. Khí tụ càng nhiều, bệnh nhân càng có nguy cơ xẹp phổi và nguy hiểm đến tính mạng. Triệu chứng tràn khí màng phổi điển hình nhất như: Ho khan, tức ngực, khó thở, lồng ngực căng vồng, kém di động, gõ vang, có thể có triệu chứng tràn khí dưới da. Tràn khí màng phổi có thể gây ra các biến chứng nghiêm trọng như: Suy hô hấp, suy tim, nhiễm trùng màng phổi, tràn khí màng phổi trung thất.
Chụp X quang là kỹ thuật sử dụng chùm tia X năng lượng cao chiếu xuyên qua các cấu trúc bên trong cơ thể người. Chụp X quang phổi thường được chỉ định để phát hiện, đánh giá các bệnh lý về phổi, trong đó có tràn khí màng phổi. Căn cứ vào thông tin và hình ảnh X-quang tràn khí màng phổi thu được, các bác sĩ có thể phát hiện, chẩn đoán, đánh giá, phân loại bệnh. Đồng thời, kỹ thuật chẩn đoán hình ảnh này cũng giúp bác sĩ phát hiện thêm các bất thường khác ở phổi hay ở cơ quan lân cận nếu có.

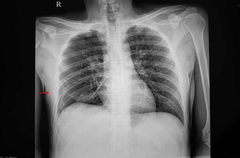
Ảnh phim chụp X quang tràn khí màng phổi thể hiện:
Không phải lúc nào chẩn đoán tràn khí màng phổi bằng chụp X quang cũng giúp bác sĩ kết luận bệnh nhân chóng và chính xác. Chẩn đoán bệnh có thể bị nhầm lẫn với các kén khí lớn. Có những bệnh nhân đã bị tràn khí màng phổi nhưng hình ảnh trên phim X quang chưa thể hiện. Khi đó, bác sĩ có thể chỉ định người bệnh chụp CT phổi để chẩn đoán bệnh nhanh chóng, chính xác nhất.
Ngoài ra, việc căn cứ vào hình ảnh chụp X quang có giúp xác định chính xác tình trạng tràn khí màng phổi hay không phụ thuộc vào nhiều yếu tố khác như: Chất lượng máy chụp X quang, trình độ của kỹ thuật viên phòng chụp, trình độ của bác sĩ chẩn đoán hình ảnh… Đây là lý do ngay từ đầu chúng ta đã nên chọn một địa chỉ khám bệnh và chụp X quang uy tín.
Quy trình chụp X quang tràn khí màng phổi diễn ra theo các bước sau:

Chụp X quang nhìn chung không ảnh hưởng xấu đến sức khỏe người bị tràn khí màng phổi. Nếu chụp X quang với tần suất thấp (dưới 5 - 7 lần mỗi năm) sẽ không cần lo lắng về tác động của tia X lên cơ thể. Tại Việt Nam, Bộ Y tế cũng ban hành những tiêu chuẩn an toàn cho kỹ thuật chụp X quang cả về máy móc, thiết bị lẫn con người.
Tuy nhiên, nếu người bệnh phải chụp X quang thường xuyên, chụp X quang với cường độ mạnh, sức khỏe có thể bị ảnh hưởng ít nhiều. Một số tác dụng phụ có thể gặp phải trong trường hợp này như: Bỏng da, nóng rát da, rụng tóc… Đây là lý do chụp X quang tràn khí màng phổi cần thực hiện theo chỉ định của bác sĩ.
Giá dịch vụ chụp X quang phổi thường từ 150.000 - 250.000 VNĐ/lượt. Báo giá dịch vụ có thể khác nhau tùy từng cơ sở y tế. Thông thường ở các cơ sở y tế công lập, giá chụp X quang sẽ rẻ hơn. Đây là mức giá khá hợp lý và phù hợp với đại đa số người dân. Vì vậy, khi có chỉ định chụp X quang phổi từ bác sĩ, người bệnh nên tuân thủ ngay lập tức thay vì lo lắng và trì hoãn.

Hy vọng với bài viết trên đây, bạn đã có thể hiểu rõ hơn về kỹ thuật chụp X quang tràn khí màng phổi, quy trình chụp cũng như giá dịch vụ tham khảo. Khi cần chụp X quang hay sử dụng bất kỳ dịch vụ y tế nào, bạn đừng quên đến địa chỉ uy tín để được thăm khám chính xác và điều trị đúng cách nhé!
Xem thêm:
Dược sĩ Đại họcNguyễn Thị Thảo Nguyên
Tốt nghiệp Khoa Dược trường Đại học Nam Cần Thơ. Có nhiều năm kinh nghiệm công tác trong lĩnh vực Dược phẩm. Hiện đang giảng viên cho Dược sĩ tại Nhà thuốc Long Châu.