Tốt nghiệp Khoa Dược trường Đại học Nam Cần Thơ. Có nhiều năm kinh nghiệm công tác trong lĩnh vực Dược phẩm. Hiện đang giảng viên cho Dược sĩ tại Nhà thuốc Long Châu.
Huỳnh Như
03/10/2023
Mặc định
Lớn hơn
Trên thực tế, thay khớp háng đã trở thành một phẫu thuật phổ biến và hiệu quả, tuy nhiên không phải ai cũng hiểu rõ về phương pháp này. Trong bài viết sau đây, chúng ta sẽ tìm hiểu về lợi ích của phẫu thuật thay khớp háng ở người già, cũng như quá trình phục hồi của bệnh nhân được thay khớp háng.
Thoái hóa các khớp là quá trình diễn ra một cách tự nhiên theo năm tháng. Thông thường, trong trường hợp không may bị gãy cổ xương đùi thì phẫu thuật thay khớp háng sẽ được chỉ định cho bệnh nhân cao tuổi. Do đó, trước tiên cần tìm hiểu về nguyên nhân dẫn đến gãy cổ xương đùi, từ đó hiểu được được vì sao cần thay khớp háng trong trường hợp này, cũng như ưu điểm và nhược điểm để người bệnh cân nhắc.
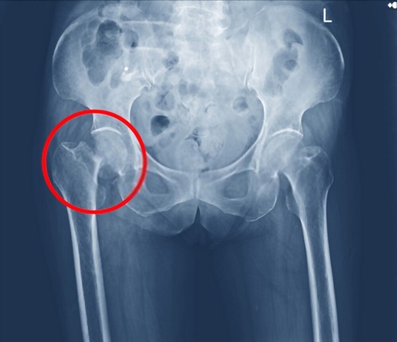
Gãy xương cổ đùi là một dạng gãy xương thường gặp ở vùng khớp háng. Đối với người cao tuổi, gãy xương cổ đùi thường xảy ra do tình trạng loãng xương sau một chấn thương đơn giản như té ngã.
Người cao tuổi thường gặp những tai nạn sinh hoạt như trượt ngã trên sàn nhà trơn hoặc té ngã từ ghế, võng xuống đất. Kết quả là gãy xương cổ đùi xảy ra, và thường yêu cầu phẫu thuật cho phần trên của chi, đặc biệt là phẫu thuật thay khớp háng ở người già. Nếu té ngã và bị đập vào bên hông khi tiếp đất, thì thường sẽ gãy xương cổ đùi cho phần dưới của chi.
Ngoài những nguyên nhân chấn thương do tai nạn trong sinh hoạt, gãy xương cổ đùi ở người cao tuổi cũng có thể xảy ra do:

Các triệu chứng thường gặp khi gãy xương cổ đùi ở người cao tuổi bao gồm:
Khi gặp tình trạng này, quan trọng để giữ cho phần xương gãy tĩnh bằng cách cố định chân bị gãy bằng nẹp. Chân và đầu gối phải được duỗi thẳng và tránh xoay bàn chân.
Phẫu thuật thay khớp háng là một quá trình phẫu thuật nơi khớp bị hỏng được thay thế bằng một khớp nhân tạo, giúp giảm đau và phục hồi nhanh chóng khả năng hoạt động hàng ngày. Thay khớp háng thường được chỉ định trong các trường hợp của bệnh thoái hoá, hoại tử chỏm vô khuẩn và chấn thương. Đây là một phẫu thuật phức tạp và yêu cầu bác sĩ có kiến thức chuyên môn sâu, đồng thời phải tiến hành quá trình kiểm tra kỹ lưỡng và đánh giá tình trạng của bệnh nhân trước khi tiến hành phẫu thuật.
Ngoài ra, quá trình chăm sóc và điều trị sau phẫu thuật cũng cần được thực hiện một cách tỉ mỉ và bệnh nhân cần được hướng dẫn về việc tập luyện sau phẫu thuật. Điều này đảm bảo kết quả tốt sau phẫu thuật.

Tuỳ vào vị trí, loại gãy, mức độ di chuyển xương và tình trạng sức khỏe của bệnh nhân, các bác sĩ sẽ lựa chọn phương pháp điều trị phù hợp. Một số ít bệnh nhân may mắn với gãy xương di chuyển ít có thể được điều trị bằng phương pháp bảo tồn.
Hầu hết các trường hợp gãy cổ xương đùi nặng đòi hỏi phẫu thuật để ghép xương, tức là khâu lại vị trí gãy. Đối với người cao tuổi, có hai yếu tố có thể ảnh hưởng đến hiệu quả phẫu thuật:
Vì vậy, những người cao tuổi bị gãy cổ xương đùi và có cả hai yếu tố như vậy thường chọn phương pháp thay khớp háng nhân tạo để khôi phục khả năng vận động và tránh các biến chứng có thể xảy ra do nằm lâu.
Người cao tuổi khi bị gãy cổ xương đùi và không phẫu thuật thay khớp háng có thể gặp một số vấn đề như:
Đối với nhóm bệnh nhân cao tuổi trên 60 tuổi, việc điều trị thay khớp háng trở nên khó khăn hơn, cả trong quá trình tiền mổ, mổ và hậu mổ. Thường thì bệnh nhân trong nhóm này đến bệnh viện muộn và hầu hết đã được điều trị trước đó không đúng cách, theo các phương pháp dân gian (như đắp lá, bôi cao,...) hoặc các phương pháp truyền thống không mang lại hiệu quả (như bó bột, mang nẹp,...). Điều này gây tổn thương nặng hơn cho các cấu trúc mô mềm, gây co kéo và xơ dính, thậm chí là phá hủy tổ chức xương và gãy xương nhiều hơn.

Bệnh nhân trong nhóm này thường có các bệnh lý nội khoa khác như tăng huyết áp, tiểu đường,... và cần được điều trị ổn định trước khi phẫu thuật. Chất lượng xương của những người cao tuổi thường kém, nhiều người bị loãng xương và thoái hoá, điều này gây khó khăn trong quá trình phẫu thuật và tạo hình.
Hơn nữa, hệ thống miễn dịch suy giảm làm cho quá trình phục hồi sau phẫu thuật kéo dài hơn. Sự giảm chuyển hoá cũng làm cho quá trình phục hồi của bệnh nhân chậm đi.
Thay khớp háng ở người già đã trở thành một giải pháp quan trọng trong việc cải thiện chất lượng cuộc sống và khôi phục khả năng vận động cho những người già bị gãy cổ xương đùi. Quá trình này không chỉ giúp giảm đau mà còn đóng vai trò quan trọng trong việc mang lại sự tự tin và độc lập cho người bệnh. Tuy nhiên, để phẫu thuật thay khớp háng bệnh nhân cần phải được tầm soát tốt, tiên lượng những nguy cơ biến chứng có thể xảy ra để đạt được kết quả tốt nhất.
Dược sĩ Đại họcNguyễn Thị Thảo Nguyên
Tốt nghiệp Khoa Dược trường Đại học Nam Cần Thơ. Có nhiều năm kinh nghiệm công tác trong lĩnh vực Dược phẩm. Hiện đang giảng viên cho Dược sĩ tại Nhà thuốc Long Châu.