Từng làm ở Viện ISDS, nhiều năm cộng tác với CDC Thái Nguyên triển khai dự án phòng chống HIV/AIDS, 2 năm cộng tác với WHO.
Thu Trang
05/02/2025
Mặc định
Lớn hơn
Sau khi niềng răng, việc sử dụng hàm duy trì cố định mặt trong là điều vô cùng cần thiết. Tuy nhiên, không phải ai cũng biết về công dụng của hàm duy trì cố định mặt trong, cũng như ưu điểm và hạn chế của sản phẩm này.
Nếu sau một khoảng thời gian niềng răng mà không sử dụng hàm cố định, răng sẽ tự động dịch chuyển về vị trí cũ. Lúc này, hàm duy trì cố định mặt trong không chỉ giúp giữ nguyên cấu trúc răng. Không những vậy, hàm duy trì cố định mặt trong còn cải thiện tính thẩm mỹ, giúp người dùng trở nên tự tin khi giao tiếp. Trong bài viết dưới đây, hãy cùng Nhà thuốc Long Châu tìm hiểu hàm duy trì cố định mặt trong là gì, cũng như những ưu, nhược điểm của loại khí cụ này nhé!
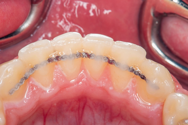
Hàm duy trì cố định mặt trong là một loại khí cụ chỉnh nha chuyên dụng vô cùng phổ biến. Công dụng chính của sản phẩm này là hỗ trợ việc cố định răng tại vị trí mới sau khi tháo niềng. Theo đó, loại hàm này được làm từ dây thép với nhiều hình dạng và kích thước khác nhau. Tuy nhiên, khác với hàm duy trì thông thường, hàm duy trì cố định mặt trong sẽ được gắn ở mặt sau của răng trước, bao gồm: Răng 1, 2 và 3 bằng composite.

Trên thực tế, răng được bao bọc bởi các dây chằng nha chu và được đặt trong cung xương hàm. Những dây chằng này “bám dính” vào răng và có khả năng ghi nhớ cũng như cố định vị trí của răng trên khuôn hàm. Chính vì vậy mà sau khi niềng, răng và xương hàm cần một khoảng thời gian cụ thể để có thể thích nghi với vị trí mới.
Nếu trong khoảng thời gian này không có sự hỗ trợ của hàm duy trì thì khả năng cao là răng sẽ tự động dịch chuyển về vị trí cũ mà dây chằng đã ghi nhớ. Hơn nữa, việc niềng răng cũng khiến cho chân răng trở nên yếu hơn. Do đó, việc ăn, uống, giao tiếp hàng ngày cũng có thể làm tăng khả năng răng di chuyển về vị trí không mong muốn trên khuôn hàm.
Như đã nói ở trên, hàm duy trì cố định mặt trong là hệ thống dây thép được thiết kế đa dạng về kích thước và hình dạng. Tùy vào tình trạng răng của mỗi người mà bác sĩ có thể chỉ định sử dụng kiểu xoăn hoặc thẳng.
Chính vì tính tiện lợi và đơn giản mà hàm duy trì cố định mặt trong phù hợp với tất cả những trường hợp có xương hàm và răng yếu. Điểm khác biệt của loại hàm này là bạn không thể tự ý tháo rời. Nếu muốn điều chỉnh, bạn cần đến các cơ sở nha khoa để được hỗ trợ. Ngoài ra, bạn cũng cần vệ sinh và chăm sóc răng miệng kỹ càng trong quá trình đeo nhé!

Hàm duy trì cố định mặt trong sở hữu những ưu điểm tuyệt vời như:
Tuy nhiên, việc sử dụng hàm duy trì cố định mặt trong vẫn tồn tại một số hạn chế mà bạn cần xem xét kỹ trước khi lựa chọn. Đó là:

Để nâng cao hiệu quả sử dụng hàm duy trì cố định mặt trong, bạn cần ghi nhớ những nguyên tắc quan trọng khi lựa chọn sản phẩm này như sau:
Thời gian đeo khay duy trì sẽ phụ thuộc nhiều vào cơ địa và tình trạng răng của mỗi người. Trên thực tế, có rất ít trường hợp sau niềng răng phải đeo hàm duy trì cả đời. Với một người có kết cấu răng chắc khỏe, bạn cần đeo hàm duy trì từ 6 - 12 tháng. Đối với những người có xương hàm yếu và kết cấu răng không ổn định, thời gian đeo hàm sẽ dài hơn.

Hy vọng qua bài viết này, bạn đã biết được tác dụng, cũng như cách sử dụng hàm duy trì cố định mặt trong. Hãy sử dụng thường xuyên để đảm bảo hàm răng của bạn được đều, đẹp nhé!
Dược sĩ Đại học Nguyễn Tuấn Trịnh
Từng làm ở Viện ISDS, nhiều năm cộng tác với CDC Thái Nguyên triển khai dự án phòng chống HIV/AIDS, 2 năm cộng tác với WHO.