Tốt nghiệp đại học Khoa Dược. Có kinh nghiệm hơn 10 năm trong lĩnh vực Dược phẩm, tư vấn thuốc và thực phẩm chức năng. Hiện đang là giảng viên cho Dược sĩ tại Nhà thuốc Long Châu.
Thục Hiền
13/01/2025
Mặc định
Lớn hơn
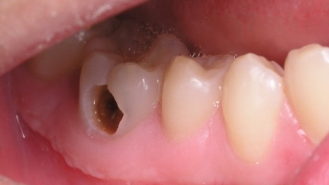
Sâu răng là hậu quả của việc vi khuẩn tấn công men răng, thường xảy ra khi vệ sinh răng miệng kém, dẫn đến sự tích tụ mảng bám từ thức ăn thừa. Tình trạng sâu răng không chỉ ảnh hưởng đến sinh hoạt hàng ngày mà còn có nguy cơ gây mất răng nếu không được điều trị kịp thời. Vậy làm sao để hết sâu răng?
Trong bài viết này, chúng ta sẽ cùng tìm hiểu về tình trạng sâu răng và các vấn đề liên quan đến sâu răng để trả lời cho câu hỏi “Làm sao để hết sâu răng”. Đồng thời, đưa ra lời khuyên hữu ích giúp bạn chăm sóc răng miệng và ngăn ngừa sâu răng hiệu quả. Hãy cùng tìm hiểu ngay qua bài viết bạn nhé!
Sâu răng xảy ra khi vi khuẩn xâm nhập vào răng, làm hỏng lớp men bên ngoài và gây tổn thương. Tình trạng này tạo ra môi trường thuận lợi cho vi khuẩn tiếp tục phát triển, dẫn đến sự hình thành các lỗ sâu trên bề mặt răng.
Trong giai đoạn đầu, khi vi khuẩn mới bắt đầu tấn công, người bệnh thường không cảm nhận được dấu hiệu bất thường nào. Tuy nhiên, khi tổn thương tiến triển nặng hơn, cơn đau có thể xuất hiện nhanh chóng và với mức độ nghiêm trọng. Lúc này, người bị sâu răng mới bắt đầu tìm kiếm giải pháp làm sao để hết sâu răng.
Dù ở bất kỳ mức độ nào, sâu răng đều bắt nguồn từ sự tấn công và ăn mòn của vi khuẩn đối với cấu trúc răng. Một số thói quen không tốt có nguy có cao gây sâu răng bao gồm ăn uống nhiều thực phẩm chứa đường hoặc vệ sinh răng miệng kém. Theo các chuyên gia, các thực phẩm ngọt chứa lượng đường cao, có khả năng cao gây sâu răng.

Theo các chuyên gia, khoảng thời gian từ khi vi khuẩn bắt đầu tấn công đến khi răng hình thành các lỗ sâu có thể khác nhau, tùy thuộc vào nhiều yếu tố như khả năng phòng vệ của cơ thể, mật độ vi khuẩn trong miệng và thói quen vệ sinh răng miệng. Trung bình, quá trình này có thể kéo dài khoảng 1,5 năm từ khi xuất hiện các đốm trên răng cho đến khi hình thành các lỗ sâu qua các giai đoạn:

Nhiều người thắc mắc làm sao để hết sâu răng triệt để? Tình trạng sâu răng là hậu quả của việc vi khuẩn tấn công men răng, do đó để điều trị triệt để, cần phải loại bỏ hoàn toàn vi khuẩn và ngăn chặn chúng tái xâm nhập. Các biện pháp có thể điều trị dứt điểm sâu răng bao gồm:

Sử dụng lá ổi: Nhai trực tiếp 5 - 6 lá ổi non và giữ ở các vị trí bị sâu trong khoảng 10 phút, sau đó súc miệng bằng nước sạch. Duy trì phương pháp này hàng ngày trong một tuần để thấy hiệu quả.
Sử dụng lá bàng: Chọn những lá bàng non, rửa sạch và xay nhuyễn trộn với một chút muối và 250ml nước lọc, sau đó lọc bỏ bã, sử dụng nước để ngậm trong 1 - 2 phút. Kiên trì sử dụng trong khoảng một tuần để thấy được hiệu quả.
Sử dụng hoa cúc vàng: Hoa cúc có tác dụng kháng khuẩn và kháng viêm hiệu quả. Bạn có thể nhai 5 bông hoa cúc vàng đã rửa sạch trong khoảng 2 phút, sau đó súc miệng với nước sạch. Hoặc, bạn cũng có thể hãm hoa cúc với nước sôi hoặc rượu, để hỗn hợp này trong khoảng một tuần và dùng như nước súc miệng hàng ngày.
Sử dụng lá trầu không: Lá trầu không là nguyên liệu dễ tìm. Dùng 5 - 7 lá trầu không giã nhuyễn và ngâm trong rượu trắng. Sau đó, đun cách thủy hỗn hợp này trong 30 phút, để nguội rồi súc miệng hoặc dùng bông tăm để chấm vào chỗ sâu răng.
Sử dụng gừng hoặc tỏi: Gừng và tỏi có tính kháng khuẩn tốt, bằng cách giã nhỏ một ít gừng cùng với muối, sau đó đắp lên vùng răng bị sâu. Hoặc, giã nhỏ tỏi với muối, chưng cất và bôi lên chỗ đau, nên thực hiện phương pháp này 2 - 3 lần mỗi ngày.
Sử dụng nghệ: Nghệ chứa curcumin, có tính kháng viêm và sát trùng cao. Bạn có thể dùng nghệ như một biện pháp thay thế thuốc kháng sinh để giảm đau răng.
Các phương pháp dân gian thường chỉ mang lại hiệu quả tạm thời, chỉ áp dụng cho những trường hợp nhẹ. Tốt nhất để điều trị dứt điểm tình trạng sâu răng, bạn nên tham khảo ý kiến bác sĩ và thực hiện thăm khám định kỳ.

Vi khuẩn trong miệng thường sử dụng đường để sản xuất axit, gây ra sâu răng. Do đó, giảm thiểu lượng đường trong chế độ ăn uống là một trong những cách đơn giản nhưng rất hiệu quả để ngăn ngừa sâu răng.
Bên cạnh đó, việc duy trì thói quen vệ sinh răng miệng đúng cách hàng ngày rất quan trọng. Đánh răng hai lần mỗi ngày với kem đánh răng chứa fluoride và sử dụng chỉ nha khoa để làm sạch các kẽ răng sẽ giúp loại bỏ mảng bám, đồng thời giảm nguy cơ sâu răng.
Ngoài ra, nên kiểm tra tình trạng răng miệng mỗi 6 tháng đồng thời loại bỏ các mảng bám/cao răng.
Hy vọng bạn có thể trả lời được cho câu hỏi “làm sao để hết sâu răng?” thông qua nội dung bài viết. Việc nhận biết các dấu hiệu sâu răng và áp dụng các phương pháp điều trị thích hợp là rất quan trọng để bảo vệ sức khỏe răng miệng.
Xem thêm: Làm sao để hết sâu răng?
Dược sĩ Đại họcNguyễn Thị Hồng Nhung
Tốt nghiệp đại học Khoa Dược. Có kinh nghiệm hơn 10 năm trong lĩnh vực Dược phẩm, tư vấn thuốc và thực phẩm chức năng. Hiện đang là giảng viên cho Dược sĩ tại Nhà thuốc Long Châu.