• Thực phẩm chức năng

  • Dược mỹ phẩm

  • Thuốc

  • Chăm sóc cá nhân

  • Thiết bị y tế

  • Tiêm chủng

  • Bệnh & Góc sức khỏe

  • Hệ thống nhà thuốc

    1. /
    2. Góc sức khỏe/
    3. Phòng bệnh & Sống khoẻ

    Mắc bệnh viêm chân răng uống thuốc gì để điều trị bệnh?

    05/01/2026

    Kích thước chữ

    Viêm chân răng là bệnh lý thường gặp ở những người vệ sinh răng miệng kém hoặc mắc một số bệnh lý toàn thân gây suy giảm miễn dịch. Từ đó, tạo ra môi trường lý tưởng cho các vi khuẩn có hại trong khoang miệng gây bệnh. Vậy mắc bệnh viêm chân răng uống thuốc gì để điều trị bệnh?

    Đối với bệnh viêm chân răng, tùy từng tình trạng của mỗi người bệnh mà bác sĩ sẽ có những phương pháp điều trị khác nhau. Tuy nhiên, để bệnh được tiến triển theo hướng tích cực, việc sử dụng thuốc theo chỉ định của bác sĩ là rất cần thiết. Bài viết dưới đây sẽ giúp bạn đọc biết được bị viêm chân răng uống thuốc gì nhanh khỏi.

    Mắc bệnh viêm chân răng uống thuốc gì để điều trị bệnh? 1 Mắc bệnh viêm chân răng uống thuốc gì để điều trị bệnh?

    Nguyên nhân gây viêm chân răng

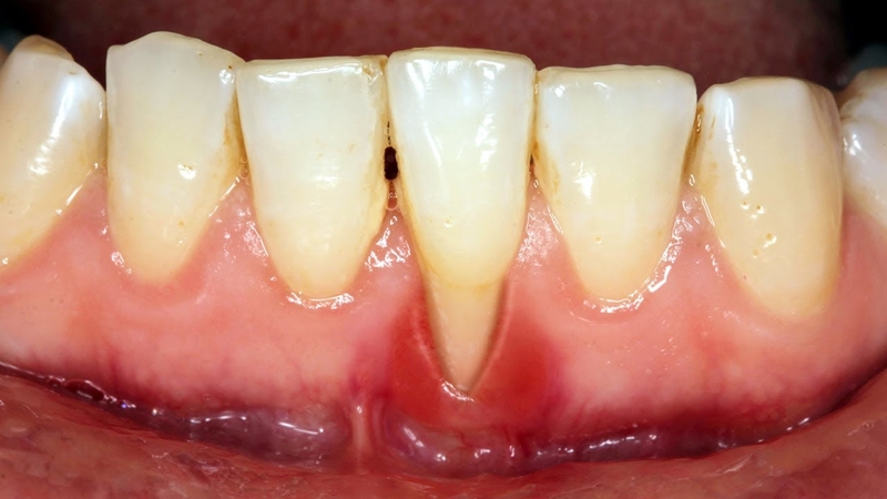
    Viêm chân răng là thuật ngữ để chỉ tình trạng sưng tấy và viêm nhiễm tại các tổ chức quanh răng. Tình trạng viêm càng để lâu thì càng gây ra hậu quả nghiêm trọng như tiêu xương, gãy rụng răng…

    Vi khuẩn là tác nhân chính gây ra tình trạng viêm chân răng mà nhiều người gặp phải. Trên thực tế, khoang miệng của mỗi người ngoài những lợi khuẩn có tác dụng tốt cho sức khỏe con người thì cũng là môi trường chứa rất nhiều loại vi khuẩn có hại. Và khi gặp những điều kiện thuận lợi, vi khuẩn có hại phát triển gây mất cân bằng môi trường trong khoang miệng. Từ đó gây ra các bệnh về răng miệng, trong đó có bệnh viêm chân răng.

    Mặt khác, một số yếu tố có thể là tiền đề gây ra tình trạng viêm chân răng và khiến bệnh trở nên tồi tệ hơn như:

    Vệ sinh răng miệng kém: Sau khi ăn mà không vệ sinh sạch thức ăn bị mắc trong các kẽ răng, lâu ngày sẽ hình thành các mảng bám quanh răng. Các mảng bám này càng để lâu càng cứng và bám rất chắc vào thân răng hay sâu dưới chân răng. Điều này sẽ tạo điều kiện cho vi khuẩn trú ngụ và phát triển gây bệnh. Sau đó chúng sẽ tấn công vào các mô liên kết quanh răng như niêm mạc lợi hoặc các thành phần cấu tạo của răng như men răng, ngà răng… khiến răng và các mô xung quanh răng bị tổn thương và mắc bệnh.

    Không lấy cao răng định kỳ: Dù rằng bạn vệ sinh răng miệng rất kỹ sau khi ăn nhưng vẫn có thể còn sót lại một ít cặn thức ăn, lâu ngày sẽ tạo thành các mảng bám cao răng bám chắc vào dưới bên mô lợi. Tình trạng này khiến việc vệ sinh răng miệng thông thường tại nhà sẽ không làm sạch sâu hoàn toàn được mảng bám. Vì vậy, không đi lấy cao răng định kỳ sẽ khiến các mảng bám trên răng ngày một nhiều gây tụt lợi và viêm lợi.

    Hệ miễn dịch bị suy yếu: Một số bệnh lý gây suy giảm hệ miễn dịch khiến các vi khuẩn gây hại trong khoang miệng có cơ hội tấn công, gây ra nhiều bệnh lý trong khoang miệng, trong đó có bệnh tụt lợi, viêm quanh răng.

    Thói quen sinh hoạt hàng ngày: Việc sử dụng những thực phẩm chứa nhiều đường hoặc hút thuốc, uống bia rượu… cũng có thể làm tổn thương niêm mạc, hỏng men răng khiến sức khỏe răng miệng bị suy yếu và gây ra bệnh viêm chân răng.

    Diễn biến của bệnh viêm chân răng

    Bệnh viêm chân răng sẽ diễn biến theo hướng xấu đi và ngày càng nghiêm trọng hơn nếu không được xử trí kịp thời. Triệu chứng của bệnh viêm chân răng ở mỗi giai đoạn là khác nhau và mức độ ảnh hưởng sẽ rộng hơn và nặng hơn. Vì vậy, cần phải hiểu rõ từng giai đoạn tiến triển của bệnh để sớm điều trị một cách hiệu quả hơn.

    Giai đoạn nhẹ: Đây là giai đoạn người bệnh có những biểu hiện như lợi bị sưng nề, tấy đỏ và thường xuyên bị chảy máu chân răng mỗi khi chải răng. Tuy lợi bị tổn thương nhưng chân răng vẫn được bao bọc xung quanh và chưa bị tổn thương về mô xương hay các mô quanh răng khác.

    Giai đoạn nặng: Mô lợi bị sưng đỏ nghiêm trọng kèm theo các biểu hiện như tụt lợi, xuất hiện các ổ viêm, ổ áp xe quanh nướu và chân răng. Các ổ áp xe này gây chảy dịch mủ tạo ra mùi khó chịu và khiến người bệnh đau nhức, sưng tấy vùng má.

    Giai đoạn nghiêm trọng: Khi bệnh đã ở mức độ này, người bệnh có biểu hiện lộ chân răng, răng lung lay, xỉn màu và có thể bị gãy rụng do hiện tượng bị tiêu xương hàm do viêm nhiễm lâu ngày. Thậm chí, tình trạng viêm nhiễm này có thể lan sang các răng xung quanh và các cung hàm khác.

    Mắc bệnh viêm chân răng uống thuốc gì để điều trị bệnh? 2 Tụt lợi là hậu quả của bệnh viêm chân răng

    Mắc bệnh viêm chân răng uống thuốc gì để điều trị bệnh?

    Khi bạn có biểu hiện bị viêm chân răng, hãy đến các phòng khám nha uy tín để được các nha sĩ thăm khám, tư vấn về tình trạng bệnh đã đến giai đoạn nào. Tùy theo mức độ bệnh của từng người mà nha sĩ sẽ đưa ra hướng điều trị cụ thể. Và dù bệnh ở giai đoạn nào, được điều trị theo hướng nào thì bệnh nhân sẽ được chỉ định một số loại thuốc điều trị bệnh viêm chân răng cơ bản như sau:

    Thuốc kháng sinh

    Thuốc kháng sinh có tác dụng hỗ trợ hệ miễn dịch chống viêm, chống nhiễm trùng và tiêu diệt vi khuẩn gây bệnh trong khoang miệng.

    Một số loại thuốc kháng sinh đặc hiệu dùng trong chữa bệnh răng miệng như Spiramycin, Metronidazole hoặc Amoxicillin… Tuy nhiên, đối với những người bệnh bị dị ứng với Penicillin thì không nên sử dụng thuốc kháng sinh Amoxicillin vì có thể gây kích ứng và dị ứng nặng hơn. Mặt khác, khi người bệnh được kê đơn thuốc kháng sinh Metronidazole phải kiêng uống rượu bia ít nhất trong 48h điều trị vì có thể gây ra các tác dụng phụ do các phản ứng với nhau.

    Mắc bệnh viêm chân răng uống thuốc gì để điều trị bệnh? 3 Augmentin là thuốc kháng sinh giúp tiêu diệt vi khuẩn làm giảm tình trạng viêm chân răng

    Thuốc kháng viêm

    Thuốc kháng viêm làm ức chế sự phát triển của vi khuẩn và giảm tình trạng viêm nhiễm chân răng.

    Một số loại thuốc thường được chỉ định như Acid Mefenamic, Ibuprofen, Diclofenac, Acid Meloxicam…

    Thuốc giảm đau

    Khi gặp phải tình trạng viêm chân răng, ngoài sưng tấy thì sẽ khiến người bệnh gặp phải những cơn đau nhức, đau buốt tại vị trí bị viêm hoặc có khi cơn đau lan ra các vùng xung quanh chân răng bị viêm và cũng có khi gây kích thích tạo ra những cơn đau nhức đầu, đau hàm… Vì vậy, nha sĩ sẽ kê thêm thuốc giảm đau kèm với những loại thuốc cần thiết khác trong toa thuốc giúp người bệnh giảm bớt những cơn đau do bệnh gây ra. Một số loại thuốc thường dùng như Efferalgan, Paracetamol, Arcoxia

    Mắc bệnh viêm chân răng uống thuốc gì để điều trị bệnh? 4 Paracetamol được dùng để giảm đau khi gặp các bệnh lý về răng miệng

    Thuốc bôi tại chỗ

    Nếu cần, nha sĩ sẽ kê cho người bệnh loại thuốc bôi trực tiếp lên vị trí lợi bị viêm để làm dịu và giảm cơn đau nhức chân răng nhanh chóng như Metrogyl.

    Ngoài ra, nha sĩ có thể sẽ kê thêm cho người bệnh một số dung dịch sát khuẩn để vệ sinh răng miệng hàng ngày được sạch hơn và hỗ trợ tăng cường hiệu quả điều trị của những loại thuốc khác. Đó có thể là dung dịch Chlorhexidine 0,25%, nước súc miệng Kin…

    Làm thế nào để phòng tránh bệnh viêm chân răng?

    Để hạn chế mắc các bệnh lý về răng miệng như viêm chân răng, chế độ chăm sóc răng miệng là yếu tố tiên quyết giúp tăng cường sức khỏe răng miệng:

    • Vệ sinh răng miệng hàng ngày, ít nhất 2 lần/ngày vào buổi sáng sau khi thức dậy và buổi tối trước khi đi ngủ để loại bỏ thức ăn, cặn thức ăn còn bám trên răng.
    • Sử dụng các dụng cụ vệ sinh răng miệng chuyên dụng như chỉ tơ nha khoa, máy tăm nước để làm sạch thức ăn bị mắc trong các kẽ răng giúp ngăn ngừa hình thành mảng bám cao răng và giảm viêm nhiễm.
    • Sau khi chải răng xong nên dùng nước muối sinh lý hoặc dung dịch súc miệng nha khoa chuyên dụng để làm sạch miệng lần nữa và giảm tình trạng hôi miệng.
    • Lấy cao răng định kỳ 06 tháng/lần để loại bỏ các mảng bám cứng, có hại lâu ngày.
    Mắc bệnh viêm chân răng uống thuốc gì để điều trị bệnh? 5 Lấy cao răng định kỳ để hạn chế tình trạng mắc phải các bệnh lý về răng miệng

    Nhà thuốc Long Châu đã cùng cấp những thông tin cơ bản về bệnh viêm chân răng và khi mắc bệnh viêm chân răng uống thuốc gì để điều trị bệnh. Hy vọng bài viết trên đã giúp bạn đọc có thêm những kiến thức mới về bệnh viêm chân răng và biết cách chăm sóc răng miệng tốt hơn.

    Ánh Vũ

    Nguồn tham khảo: Tổng hợp

    Có thể bạn quan tâm

    Thông tin và sản phẩm gợi ý trong bài viết chỉ mang tính chất tham khảo, vui lòng liên hệ với Bác sĩ, Dược sĩ hoặc chuyên viên y tế để được tư vấn cụ thể. Xem thêm

    Dược sĩ Đại họcNgô Kim Thúy

    Đã kiểm duyệt nội dung

    Tốt nghiệp loại giỏi trường Đại học Y Dược Huế. Từng tham gia nghiên cứu khoa học đề tài về Dược liệu. Nhiều năm kinh nghiệm làm việc trong lĩnh vực Dược phẩm. Hiện đang là giảng viên cho Dược sĩ tại Nhà thuốc Long Châu.

    Xem thêm thông tin