Tốt nghiệp loại giỏi trường Đại học Y Dược Huế. Từng tham gia nghiên cứu khoa học đề tài về Dược liệu. Nhiều năm kinh nghiệm làm việc trong lĩnh vực Dược phẩm. Hiện đang là giảng viên cho Dược sĩ tại Nhà thuốc Long Châu.
Thu Hà
21/08/2025
Mặc định
Lớn hơn
Viêm nang lông là tình trạng viêm nhiễm ở các nang lông, có thể gây ra cảm giác ngứa, đau và làm mất thẩm mỹ da. Bệnh có thể do nhiều nguyên nhân khác nhau như vi khuẩn, nấm, hoặc tắc nghẽn lỗ chân lông. Việc áp dụng đúng cách chữa viêm nang lông là rất quan trọng để giảm thiểu nguy cơ nhiễm trùng và cải thiện tình trạng da.
Viêm nang lông là tình trạng viêm nhiễm ở các nang lông, biểu hiện của viêm nang lông gồm: sẩn, mụn mủ, vảy tiết ở cổ nang lông; ngứa tại vùng da viêm; da sần sùi, nổi nốt đỏ; lông không mọc ra ngoài mà xoắn vào trong, gây ngứa tại vùng nang lông.
Viêm nang lông có thể do nhiều nguyên nhân khác nhau, từ các yếu tố bên ngoài đến yếu tố nội sinh trong cơ thể. Việc hiểu rõ nguyên nhân gây viêm nang lông sẽ giúp bạn chủ động trong việc phòng ngừa và điều trị hiệu quả.
Nhiễm trùng do vi khuẩn: Một trong những nguyên nhân chính gây viêm nang lông là các nhiễm trùng do vi khuẩn, nấm men hoặc virus. Trong đó, tụ cầu khuẩn Staphylococcus aureus là thủ phạm phổ biến nhất, gây viêm nang lông do xâm nhập vào nang lông và tạo ra các vết mẩn đỏ, sưng tấy. Ngoài ra, các loại nấm men và virus cũng có thể gây nhiễm trùng, khiến da bị kích ứng và viêm.
Thường xuyên cạo lông, cạo râu hoặc tẩy lông: Việc cạo lông, cạo râu hay tẩy lông không đúng cách là nguyên nhân khiến nang lông dễ bị tổn thương và nhiễm trùng.

Bị mụn trứng cá hoặc bị viêm da tiết bã nhờn: Khi các lỗ chân lông bị tắc nghẽn bởi dầu thừa, tế bào chết hoặc vi khuẩn, chúng có thể gây viêm, làm cho nang lông dễ bị nhiễm trùng. Đặc biệt, những người có làn da nhờn hoặc có xu hướng bị mụn trứng cá có nguy cơ cao mắc phải tình trạng này.
Sử dụng một số loại thuốc có chứa steroid: Một số loại thuốc như steroid hoặc kháng sinh dài ngày cũng có thể là nguyên nhân khiến viêm nang lông xuất hiện. Thuốc steroid làm suy yếu hệ miễn dịch và giảm khả năng chống lại vi khuẩn, trong khi kháng sinh có thể làm mất cân bằng hệ vi sinh vật trên da, tạo điều kiện thuận lợi cho vi khuẩn gây hại phát triển.
Thường xuyên mặc quần áo chật chội: Mặc quần áo chật, không thấm hút mồ hôi hoặc thường xuyên sống trong môi trường nhiệt đới, nóng ẩm có thể khiến tuyến mồ hôi hoạt động quá mức, gây tắc nghẽn nang lông và tạo điều kiện cho vi khuẩn phát triển. Quần áo bó sát làm ma sát lên da, dễ gây trầy xước và viêm nhiễm nang lông.
Dưới đây là những dấu hiệu thường gặp khi mắc viêm nang lông mà bạn cần chú ý:

Mặc dù viêm nang lông thường không nguy hiểm đến sức khỏe, nhưng nếu không được điều trị sớm, nó sẽ gây ra những khó khăn trong sinh hoạt, đặc biệt là sự ngứa ngáy và đau rát. Hơn nữa, những nốt mụn này có thể khiến da bị tổn thương, để lại vết sẹo, ảnh hưởng đến vẻ ngoài của bạn.
Viêm nang lông là một trong những vấn đề da liễu phổ biến, xuất hiện khi các lỗ chân lông bị vi khuẩn hoặc nấm xâm nhập, gây viêm nhiễm. Việc nhận diện và điều trị viêm nang lông kịp thời sẽ giúp giảm bớt các triệu chứng khó chịu và tránh để lại các biến chứng nghiêm trọng. Dưới đây là những vị trí thường xuyên xuất hiện viêm nang lông cùng các nguyên nhân, triệu chứng và cách điều trị hiệu quả.
Mặt là một trong những vị trí dễ bị viêm nang lông do nhiều yếu tố tác động như vi khuẩn, nấm, hay thay đổi hormone. Viêm nang lông trên mặt thường do vi khuẩn tụ cầu vàng (Staphylococcus aureus), vi khuẩn mủ xanh, nấm hoặc Demodex folliculorum. Những vi khuẩn này gây kích ứng nang lông, khiến da xuất hiện mụn đỏ, mụn đầu trắng hoặc đầu đen, ngứa ngáy và da trở nên sần sùi.
Đặc biệt, vùng râu thường dễ bị viêm nang lông, với các mụn đỏ có thể vỡ ra, để lại vết trầy và đóng vảy. Viêm nang lông trên mặt không thường để lại sẹo, nhưng có thể gây thâm da, và nếu viêm nặng, dễ dẫn đến áp xe hoặc mụn nhọt. Việc vệ sinh da mặt sạch sẽ và sử dụng các sản phẩm chăm sóc da phù hợp là rất quan trọng. Khi phát hiện dấu hiệu viêm nang lông trên mặt, nên thăm khám bác sĩ da liễu để điều trị kịp thời.
Viêm nang lông da đầu, hay còn gọi là viêm chân tóc, là tình trạng phổ biến ở những người có da đầu dầu hoặc làm việc trong môi trường nóng, ẩm. Vi khuẩn tụ cầu vàng và nấm Trichophyton là nguyên nhân chính gây bệnh. Ngoài ra, yếu tố như khí hậu nóng ẩm, môi trường ô nhiễm, và việc gội đầu quá nhiều cũng góp phần làm gia tăng nguy cơ bị viêm nang lông da đầu.
Biểu hiện của viêm nang lông da đầu là các sẩn nhỏ như hạt kê xuất hiện ở chân tóc, gây ngứa và có thể đi kèm với vảy. Viêm nang lông da đầu nếu không được điều trị kịp thời có thể lan rộng đến các vùng như râu, lông mi hoặc lông nách. Việc gãi ngứa quá mức có thể làm tổn thương da đầu, gây nhiễm trùng và tạo điều kiện cho vi khuẩn xâm nhập. Để phòng ngừa và điều trị, cần giữ vệ sinh da đầu sạch sẽ, hạn chế gãi và tham khảo ý kiến bác sĩ khi bệnh kéo dài.
Vùng kín là nơi dễ bị viêm nang lông nếu không được vệ sinh đúng cách. Việc tẩy lông không đúng cách, lớp sừng quá dày, hoặc dị ứng với các sản phẩm chăm sóc vùng kín có thể dẫn đến tình trạng này. Bên cạnh đó, thay đổi nội tiết tố trong kỳ kinh nguyệt cũng là một yếu tố khiến tuyến bã nhờn ở vùng kín hoạt động mạnh hơn, làm tăng nguy cơ viêm nang lông.
Khi bị viêm nang lông vùng kín, người bệnh sẽ cảm thấy ngứa ngáy, nổi mụn đỏ hoặc mụn viêm có lông ở giữa. Mụn có thể vỡ, chảy máu và gây đau rát. Việc giữ vệ sinh sạch sẽ và sử dụng sản phẩm chăm sóc vùng kín phù hợp là cần thiết để phòng ngừa và điều trị viêm nang lông. Nếu tình trạng viêm kéo dài, người bệnh nên tìm đến các bác sĩ chuyên khoa để được tư vấn và điều trị.
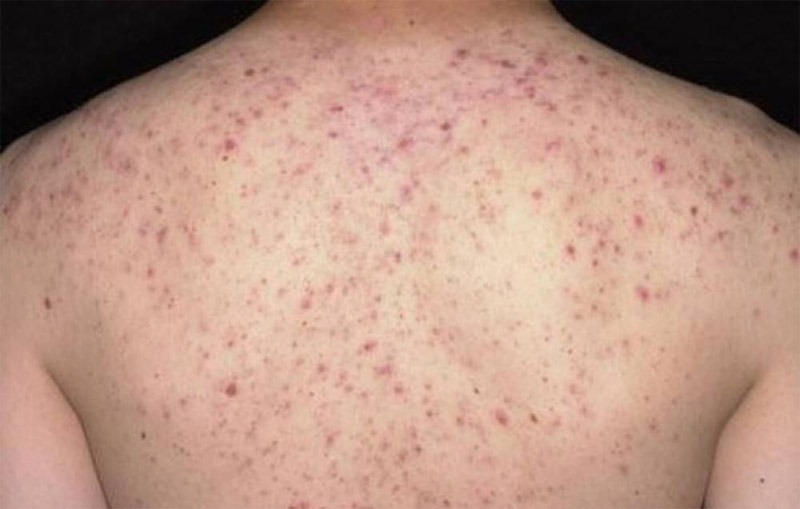
Viêm nang lông ở lưng thường do vi khuẩn tụ cầu xâm nhập vào nang lông. Các nguyên nhân chính bao gồm việc cạo lông hoặc tẩy lông không đúng cách, dị ứng, nhiễm khuẩn, hoặc vệ sinh kém. Ngoài ra, việc mặc áo có chất liệu thô cứng, không thấm hút mồ hôi tốt cũng có thể làm tăng nguy cơ viêm nang lông ở lưng.

Biểu hiện của viêm nang lông ở lưng là các nốt sần đỏ, gây ngứa. Trong trường hợp nặng, các nốt sần có thể phát triển thành mụn nhọt và đinh râu, dễ để lại sẹo và vết thâm sau khi hồi phục. Mặc dù viêm nang lông lưng không nguy hiểm, nhưng nếu không điều trị kịp thời, bệnh có thể trở thành mãn tính và gây các biến chứng như nhiễm trùng da hoặc hạch bạch huyết. Để phòng ngừa, cần vệ sinh cơ thể sạch sẽ và tránh mặc đồ quá chật hoặc không thấm hút mồ hôi.
Để có thể chữa trị viêm nang lông hiệu quả, việc lựa chọn phương pháp phù hợp với tình trạng bệnh là vô cùng quan trọng. Dưới đây là một số cách chữa viêm nang lông được áp dụng phổ biến và đem lại kết quả tích cực.
Một trong những phương pháp điều trị tiên tiến là liệu pháp ánh sáng kết hợp sóng siêu âm cường độ cao. Phương pháp này giúp cải thiện tình trạng viêm nang lông, đặc biệt là đối với những trường hợp viêm nang lông toàn thân.
Đối với trường hợp viêm nang lông nặng hoặc kéo dài, bác sĩ có thể chỉ định sử dụng thuốc kháng sinh, thuốc chống nấm, hoặc thuốc giảm viêm để giảm triệu chứng và ngăn ngừa tái phát.

Nếu viêm nang lông gây ra các mụn nhọt lớn hoặc mụn có mủ, bác sĩ có thể chỉ định tiểu phẫu để dẫn lưu mủ. Điều này giúp giảm sưng đau và ngăn ngừa sẹo, giúp làn da phục hồi nhanh chóng.
Đối với những trường hợp viêm nang lông tái phát nhiều lần và không đáp ứng với các phương pháp khác, triệt lông bằng laser có thể là giải pháp hữu hiệu. Phương pháp này giúp loại bỏ lông và vi khuẩn gây viêm nang lông, tuy nhiên cần lưu ý rằng nó có thể gây ra hiện tượng đổi màu da hoặc sẹo nếu không thực hiện đúng cách.
Cách chữa viêm nang lông không khó, nhưng đòi hỏi phải phù hợp với từng tình trạng bệnh cụ thể. Để đảm bảo chữa trị triệt để và hiệu quả, người bệnh nên tham khảo ý kiến của bác sĩ chuyên khoa Da liễu và áp dụng đúng phương pháp điều trị. Bên cạnh đó, việc duy trì vệ sinh cơ thể sạch sẽ, mặc quần áo thoáng mát, và tránh các yếu tố tác động xấu cũng rất quan trọng trong quá trình điều trị và ngăn ngừa tái phát viêm nang lông.
Dược sĩ Đại họcNgô Kim Thúy
Tốt nghiệp loại giỏi trường Đại học Y Dược Huế. Từng tham gia nghiên cứu khoa học đề tài về Dược liệu. Nhiều năm kinh nghiệm làm việc trong lĩnh vực Dược phẩm. Hiện đang là giảng viên cho Dược sĩ tại Nhà thuốc Long Châu.