Tốt nghiệp Đại học Dược Hà Nội, với hơn 10 năm kinh nghiệm trong lĩnh vực Dược phẩm. Hiện là giảng viên giảng dạy các môn Dược lý, Dược lâm sàng,...
15/09/2025
Mặc định
Lớn hơn
Hậu Covid cơ thể bắt đầu xuất hiện những triệu chứng lạ do ảnh hưởng từ quá trình điều trị. Đặc biệt trong đó phải kể đến tình trạng phổi trắng xóa hậu Covid, khiến nhiều người không khỏi lo lắng cho sức khỏe của bản thân và gia đình.
Phổi là cơ quan vốn đã rất nhạy cảm trong cơ thể, nhất là khi mắc Covid-19, một loại vi rút nguy hiểm có khả năng biến hóa liên tục lại càng khiến phổi thêm yếu hơn, dẫn đến tình trạng khó thở, thở nặng nề, thậm chí là xơ trắng phổi hậu Covid.
Phổi bị xơ trắng hậu Covid là định nghĩa được dùng cho bệnh xơ phổi hậu Covid, là tình trạng phổi bị thương tổn dẫn đến xơ cứng 1 trong 2 bên, thậm chí cả 2 bên lá phổi. Nếu bệnh hậu Covid phổi trắng duy trì lâu sẽ dẫn đến phổi mất dần khả năng trao đổi oxy với tế bào, đây cũng chính là nguyên nhân dẫn đến hiện tượng khó thở, thở mệt.
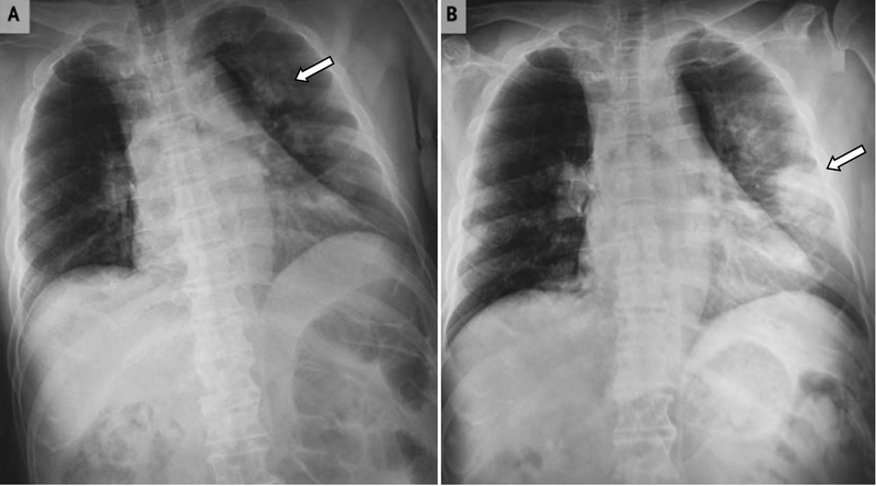
Tác động của vi rút corona đã khiến các tế bào phổi bị tổn thương, gây ra hiện tượng phổi xơ trắng xóa khi chụp X - quang và khiến nhiều người không khỏi lo lắng. Theo nhiều nghiên cứu trên thế giới thì tình trạng phổi trắng hậu Covid có rất nhiều nguyên nhân, trong đó sự phá hủy của vi rút chính là nguyên nhân chính, ngoài ra vẫn còn một số nguyên nhân khác.

Hình ảnh phổi trắng xóa hậu Covid
Vi rút corona tác động rất nhiều và sâu đến phổi của chúng ta, thậm chí là sau khi khỏi bệnh, những di chứng của Covid để lại trên hệ hô hấp nói riêng và sức khỏe chung của cơ thể nói chung là rất lớn.
Loại vi rút này có tốc độ sinh trưởng rất nhanh nên càng khiến cho mức độ phá hủy tăng thêm nhiều lần, làm phổi tổn thương sâu, ảnh hưởng đến chức năng hô hấp và cung cấp oxy cho các tế bào toàn cơ thể.
Ngày càng có nhiều người hút thuốc lá và khiến những người xung quanh hít phải khói thuốc độc hại này. Những người này đều có nguy cơ cao mắc chứng hậu Covid phổi trắng xóa, xơ phổi cũng như một số bệnh lý về đường hô hấp khác như viêm phổi, lao phổi, tràn dịch màng phổi, thậm chí là ung thư phổi.
Những người hít khói thuốc thời gian dài được chứng minh là chịu tác động tiêu cực lên sức khỏe nhiều hơn cả người trực tiếp hút thuốc nên nguy cơ đối mặt với bệnh về phổi cũng cao không kém, thậm chí còn cao hơn cả người hút. Phổi của những người này thường yếu hơn, dễ bị tác động và phá hủy sâu hơn, thậm chí không thể hồi phục.
Một số ảnh hưởng của thời tiết, khí hậu có thể là nguyên nhân dẫn đến hậu Covid phổi trắng. Khi thời tiết thay đổi thất thường sẽ khiến hệ hô hấp không thích ứng kịp, dễ dẫn đến tình trạng nhiễm vi rút corona, ho khan, ho có đờm lâu ngày, viêm phổi, viêm màng phổi, viêm họng, viêm phế quản,… và nguy hiểm hơn là gây ra chứng xơ phổi trắng sau điều trị Covid.
Nếu tình trạng bệnh lý trên kéo dài lâu ngày gây ra nguy cơ mắc bệnh xơ phổi ngày càng cao hơn. Chính vì vậy, bạn hãy chủ động bảo vệ lá phổi của bản thân mỗi lúc thời tiết giao mùa, trị dứt điểm những bệnh về đường hô hấp, tránh để bệnh kéo dài thành mãn tính.

Thời tiết thay đổi nhanh khiến hệ hô hấp yếu dần, dễ mắc bệnh
Công nghiệp ngày càng phát triển và được chú trọng dẫn đến chất lượng không khí, nguồn nước, môi trường sống ngày càng chịu nhiều ảnh hưởng tiêu cực. Tình trạng khói bụi triền miên trong không khí, các chất hóa học, khí thải không ngừng thải ra từ các nhà máy, xí nghiệp, phương tiện di chuyển,… khiến cho không khí bị ô nhiễm nghiêm trọng, gián tiếp dẫn đến hiện tượng hậu Covid phổi trắng xóa.
Những chất thải, chất hóa học này làm môi trường ô nhiễm, con người khi hít phải những tạp chất đó lâu ngày làm hệ hô hấp yếu đi, gây ra nhiều bệnh hô hấp nguy hiểm, trong đó có xơ phổi trắng hậu Covid.
Đặc biệt là những người làm việc trong môi trường đặc thù có chứa chất cực độc như Uranium hay thạch tín sẽ có nguy cơ mắc bệnh nặng về phổi cao hơn nhiều do với những người bình thường, đặc biệt là ung thư phổi.
Xơ phổi, phổi trắng hậu Covid là một trong những di chứng nguy hiểm, có thể là nguyên nhân dẫn đến hàng loạt tổn thương khác của phổi và cơ thể, nhất là với trẻ em cũng như người lớn tuổi, người có bệnh nền.
Chính vì vậy mà phòng chống phổi trắng là điều rất nên làm. Bạn hãy tuân thủ một số biện pháp phòng tránh di chứng này để bảo vệ bản thân cũng như người xung quanh nhé:

Cai thuốc là biện pháp phòng ngừa phổi trắng hiệu quả
Hậu Covid phổi trắng xóa là hiện tượng thường gặp sau khi bệnh nhân đã, hoặc đang điều trị bệnh. Tuy là một bệnh khá nguy hiểm vì khiến người bệnh có triệu chứng khó thở nhưng có thể hoàn toàn chữa trị được, nhất là khi phát hiện bệnh sớm.
Nếu nhận thấy cơ thể có gì bất thường, mệt mỏi, khó thở, thở mất sức thì bạn nên đến cơ sở y tế để được bác sĩ chỉ định chụp X - quang chẩn đoán, chữa trị kịp thời nhé.
Hồng Nhung
Nguồn tham khảo: Tổng hợp
Dược sĩ Đại họcNguyễn Thanh Hải
Tốt nghiệp Đại học Dược Hà Nội, với hơn 10 năm kinh nghiệm trong lĩnh vực Dược phẩm. Hiện là giảng viên giảng dạy các môn Dược lý, Dược lâm sàng,...