Tốt nghiệp Đại Học Dược Hà Nội và có nhiều kinh nghiệm trong lĩnh vực Dược phẩm. Nhiều năm công tác giảng dạy tại các trường trung cấp và cao đẳng dược. Hiện đang là giảng viên cho Dược sĩ tại Nhà thuốc Long Châu.
10/01/2024
Mặc định
Lớn hơn
Chắc hẳn ai trong chúng ta đều muốn có một hàm răng đẹp, khỏe mạnh. Tuy nhiên, có những khi chúng ta bất ngờ phát hiện một vài dấu hiệu như đau răng, nhạy cảm khi ăn nóng hay lạnh, khó chịu khi nhai, và thậm chí là mùi hôi từ miệng. Tất cả những dấu hiệu này có thể là những tín hiệu cho thấy bạn đang bị sâu răng. Vậy, bạn đã biết tại sao và khi nào sâu răng cửa xuất hiện chưa?
Răng là một phần quan trọng trong cơ thể của con người. Nhưng vì một số lý do như thói quen ăn uống không tốt, chăm sóc răng miệng không đúng cách hoặc do bệnh lý, các vấn đề về răng như sâu răng cửa sẽ xảy ra. Sâu răng cửa không chỉ gây đau răng mà còn ảnh hưởng đến sức khỏe chung của cơ thể. Vậy, nguyên nhân và dấu hiệu của sâu răng cửa là gì?
Sâu răng cửa là một vấn đề thường gặp khiến cho răng của bạn bị tổn thương và hình thành lỗ trên răng cửa. Ban đầu, lỗ này có kích thước nhỏ, tuy nhiên nếu không được điều trị, nó sẽ ngày càng lớn.

Tuy nhiên, điều gây ra sâu răng cửa là do hoạt động của một số loài vi khuẩn sống trong mảng bám trên răng. Chúng có khả năng chuyển đổi đường trong thức ăn thành axit, và nếu mảng bám tích tụ theo thời gian, các axit này sẽ làm hỏng răng của bạn. Để ngăn ngừa sâu răng cửa, vệ sinh răng miệng thường xuyên là điều cực kỳ quan trọng.
Một số người có nguy cơ cao hơn bị sâu răng cửa, bao gồm những người ăn quá nhiều đồ uống hoặc thực phẩm chứa đường hoặc axit, có thói quen vệ sinh răng miệng kém, không nhận đủ florua, hay có các vấn đề khác như khô miệng, hay bệnh trào ngược axit dạ dày.
Vì vậy, đừng bỏ qua việc vệ sinh răng miệng đúng cách và thường xuyên để giữ cho răng của bạn luôn khỏe mạnh.
Triệu chứng của sâu răng cửa sẽ thay đổi tùy vào độ sâu của khoang răng bị sâu. Ban đầu, có thể không có bất kỳ dấu hiệu nào, tuy nhiên khi sâu răng ngày càng lớn, các triệu chứng có thể trở nên nghiêm trọng hơn.
Một số dấu hiệu của sâu răng cửa bao gồm:

Nếu bạn có bất kỳ triệu chứng nào của sâu răng cửa, nên tìm kiếm sự tư vấn từ bác sĩ nha khoa ngay lập tức để tránh các vấn đề răng miệng nghiêm trọng hơn.
Để phòng ngừa tình trạng sâu răng cửa, việc phát hiện và điều trị càng sớm càng tốt. Điều này đặc biệt quan trọng đối với trẻ em, vì chúng dễ có thể bị sâu nhiều răng khác. Đi khám răng định kỳ sẽ giúp chẩn đoán và phát hiện sớm sâu răng cửa.
Trong quá trình chờ ngày đi khám răng, bạn có thể đánh răng bằng nước ấm, sử dụng kem đánh răng cho răng nhạy cảm và tránh thức ăn, đồ uống quá nóng, lạnh hoặc ngọt.
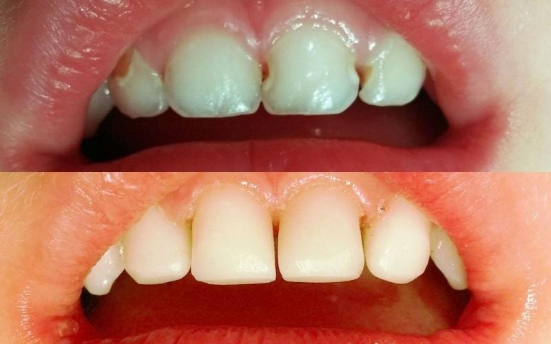
Để điều trị sâu răng cửa, các bác sĩ thường loại bỏ phần răng bị sâu trước tiên để tránh lan sang các phần khác. Kỹ thuật nạo vết sâu yêu cầu loại bỏ triệt để vết sâu và không được phạm vào mô lành.
Tuy nhiên, với các răng cửa, điều này gây khó khăn cho việc phục hình và tính thẩm mỹ sau điều trị. Phương pháp điều trị phụ thuộc vào mức độ hư hỏng của răng cửa và chúng có thể bao gồm: Trám răng, bọc răng (gắn mão răng) hoặc lấy tủy răng cửa nếu răng bị hư hỏng nặng.
Để phòng ngừa sâu răng cửa, có những thói quen giúp bạn bảo vệ sức khỏe răng miệng như sau:

Sâu răng cửa có thể ảnh hưởng đến sức khỏe răng miệng, sức khỏe toàn thân, khả năng ăn nhai và thẩm mỹ. Điều trị sâu răng cửa rất khó khăn nếu để tổn thương càng nặng hơn. Vì vậy, hãy ngăn ngừa sớm và cố gắng phát hiện sớm để đạt hiệu quả điều trị cao nhất.
Chăm sóc răng miệng là một việc rất quan trọng để duy trì sức khỏe của chúng ta. Nếu không chăm sóc răng miệng đúng cách, sẽ dễ dàng để sâu răng cửa phát triển và gây ảnh hưởng đến sức khỏe chung của cơ thể. Vì vậy, khi phát hiện ra các dấu hiệu như đau răng, nhạy cảm khi ăn nóng hay lạnh, khó chịu khi nhai hay mùi hôi từ miệng, bạn nên tìm hiểu về nguyên nhân và dấu hiệu của sâu răng cửa để có thể phòng ngừa và điều trị kịp thời, giúp duy trì sức khỏe răng miệng và cơ thể.
Xem thêm: Giải đáp: Cao răng tự rơi ra được không? Cách làm sạch cao răng tại nhà
Phương Nhi
Nguồn tham khảo: Tổng hợp
Dược sĩ Đại họcTrần Thị Dương
Tốt nghiệp Đại Học Dược Hà Nội và có nhiều kinh nghiệm trong lĩnh vực Dược phẩm. Nhiều năm công tác giảng dạy tại các trường trung cấp và cao đẳng dược. Hiện đang là giảng viên cho Dược sĩ tại Nhà thuốc Long Châu.