Tốt nghiệp Đại học Dược Hà Nội, với hơn 10 năm kinh nghiệm trong lĩnh vực Dược phẩm. Hiện là giảng viên giảng dạy các môn Dược lý, Dược lâm sàng,...
Thị Ánh
18/09/2025
Mặc định
Lớn hơn
Việc kiểm soát chảy máu do loét dạ dày tá tràng là một thách thức lâm sàng. Trong nhiều thập kỷ, phân độ Forrest đã được sử dụng để phân tầng nguy cơ chảy máu do loét không do vỡ giãn tĩnh mạch. Nhận thức và giải thích về phân độ Forrest khác nhau giữa các bác sĩ nội soi khác nhau.
Chảy máu do loét dạ dày tá tràng là một cấp cứu đường tiêu hóa phổ biến đòi hỏi phải chẩn đoán và điều trị nội soi kịp thời. Tiến bộ đáng kể đã được thực hiện kể từ khi phát triển các kỹ thuật điều trị nội soi khác nhau sau khi áp dụng nội soi hiện đại. Phân độ Forrest ở bệnh nhân xuất huyết tiêu hóa trên do loét dạ dày tá tràng được chúng tôi trình bày trong bài viết dưới đây.
Phân độ Forrest lần đầu tiên được mô tả vào năm 1974 bởi J.A. Forrest và cộng sự. Phân loại này là một phân loại được sử dụng rộng rãi về xuất huyết tiêu hóa trên liên quan đến loét dạ dày tá tràng. Ban đầu nó được phát triển để thống nhất mô tả về chảy máu do loét nhằm trao đổi thông tin tốt hơn giữa các bác sĩ nội soi. Tuy nhiên, phân loại Forrest hiện được sử dụng như một công cụ để xác định những bệnh nhân có nguy cơ cao hơn bị chảy máu, tái xuất huyết và tử vong.

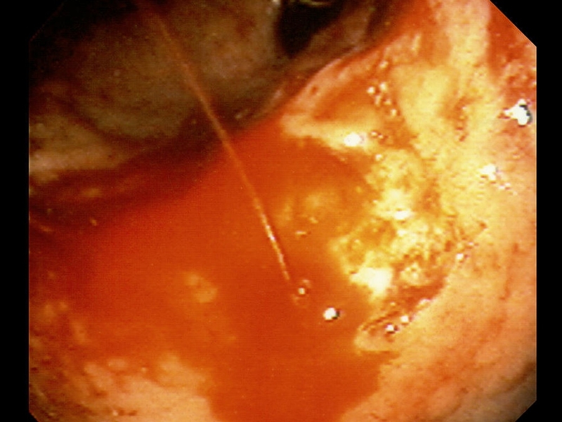
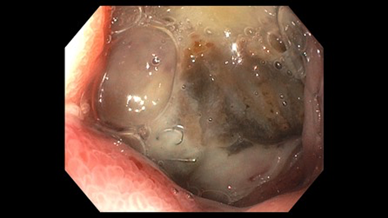
Phân độ Forrest chia thành nguy cơ cao và nguy cơ thấp. Nguy cơ cao trên nội soi gồm độ Ia, Ib, IIa, IIb; nguy cơ thấp trên nội soi gồm độ IIc và độ III. Cụ thể như sau:
Theo phân độ này, nguy cơ chảy máu hoặc tái chảy máu và tỉ lệ tử vong tăng lên theo từ độ III đến độ Ia.
Nội soi dạ dày tá tràng để trong xuất huyết tiêu hóa trên được chỉ định trong các trường hợp:

Mục đích của nội soi là để khẳng định chẩn đoán xuất huyết tiêu hóa trên, tìm nguyên nhân do loét, do vỡ giãn tĩnh mạch thực quản hay do những nguyên nhân khác, phân tầng nguy cơ xuất huyết cũng như tiên lượng tử vong cho bệnh nhân đồng thời cầm máu trực tiếp trên nội soi nếu cần thiết. Trong trường hợp thấy được ổ loét ở dạ dày tá tràng, bác sĩ nội soi sẽ tiến hành phân độ theo Forrest.
Những bệnh nhân bị loét có nguy cơ cao như loét đang hoạt động (Forrest Ia), rỉ máu (Forrest Ib) và lộ mạch máu không chảy máu (Forrest IIa) nên được điều trị bằng nội soi. Loét dạ dày có cục máu đông dính (tổn thương Forrest IIb) cần được nội soi lấy cục máu đông để quyết định phương án điều trị tiếp theo. Vết loét có đốm đen hematin (Forrest IIC) hoặc nền sạch (Forrest III) có thể không cần điều trị nội soi.
Để có những hình ảnh nội soi chất lượng nhằm phân độ chính xác và xác định xem bệnh nhân có cần can thiệp trên nội soi hay không, những trường hợp nội soi không phải cấp cứu cần được nhịn ăn ít nhất 8 giờ. Điều này nhằm mục đích làm trống và sạch thức ăn trong dạ dày.
Các triệu chứng gợi ý bạn bị loét dạ dày tá tràng bao gồm đau rát dạ dày, cảm giác đầy bụng, chướng bụng hoặc ợ hơi, ợ nóng, buồn nôn, nôn. Triệu chứng loét dạ dày tá tràng phổ biến nhất là đau rát dạ dày. Axit dạ dày làm cho cơn đau trở nên tồi tệ hơn, cũng như khi bụng đói. Cơn đau thường có thể thuyên giảm bằng cách ăn một số loại thực phẩm có tác dụng đệm axit dạ dày hoặc dùng thuốc giảm axit, nhưng sau đó cơn đau có thể quay trở lại. Cơn đau có thể nặng hơn giữa các bữa ăn và vào ban đêm. Nhiều người bị loét dạ dày tá tràng thậm chí không có triệu chứng. Ít gặp hơn, vết loét có thể gây ra các dấu hiệu hoặc triệu chứng nghiêm trọng như:

Nếu không được điều trị, loét dạ dày tá tràng có thể dẫn đến các biến chứng:
Bên cạnh nguy cơ loét liên quan đến việc dùng các thuốc giảm đau kháng viêm không steroid, nguy cơ bị loét dạ dày còn tăng lên trong những trường hợp sau:

Để giảm nguy cơ loét dạ dày tá tràng, cần thực hiện các biện pháp sau:
Dự phòng nhiễm H. pylori bằng cách thường xuyên rửa tay bằng xà phòng và nước cũng như ăn thực phẩm đã được nấu chín hoàn toàn. Không nên dùng chung chén nước chấm với người khác vì làm tăng nguy cơ lây lan.
Thận trọng với thuốc giảm đau kháng viêm không steroid. Nếu bạn thường xuyên sử dụng thuốc giảm đau sẽ làm tăng nguy cơ loét dạ dày, nên dùng thuốc sau ăn no. Nếu cần thiết phải sử dụng NSAID và bạn có tiền sử bị loét dạ dày trước đó, nên dùng thêm các loại thuốc như thuốc kháng axit, thuốc ức chế bơm proton.
Loét dạ dày là vết loét hở phát triển ở lớp lót bên trong dạ dày và phần trên của ruột non. Triệu chứng phổ biến nhất của loét dạ dày tá tràng là đau vùng thượng vị. Nguyên nhân phổ biến nhất gây loét dạ dày tá tràng là nhiễm vi khuẩn (H. pylori) và sử dụng lâu dài các thuốc chống viêm không steroid (NSAID). Để chẩn đoán chính xác loét dạ dày tá tràng, bệnh nhân cần được nội soi tiêu hóa trên, đặc biệt trong những trường hợp xuất huyết tiêu hóa. Phân độ Forrest được áp dụng để phân loại tổn thương loét dạ dày tá tràng nhìn thấy trên nội soi. Dựa vào phân độ Forrest, các bác sĩ sẽ đưa ra quyết định điều trị can thiệp nội soi hay điều trị nội khoa đơn thuần, đồng thời còn giúp tiên lượng nguy cơ chảy máu, tái xuất huyết ở những bệnh nhân đó.
Xem thêm: Xuất huyết dạ dày ở người già: Tiềm ẩn nhiều nguy hiểm
Dược sĩ Đại họcNguyễn Thanh Hải
Tốt nghiệp Đại học Dược Hà Nội, với hơn 10 năm kinh nghiệm trong lĩnh vực Dược phẩm. Hiện là giảng viên giảng dạy các môn Dược lý, Dược lâm sàng,...