Từng làm ở Viện ISDS, nhiều năm cộng tác với CDC Thái Nguyên triển khai dự án phòng chống HIV/AIDS, 2 năm cộng tác với WHO.
11/12/2024
Mặc định
Lớn hơn
Vảy nến là một bệnh da liễu mãn tính, ảnh hưởng lớn đến chất lượng cuộc sống của người bệnh. Hiện nay, xét nghiệm bệnh vảy nến đóng vai trò quan trọng trong việc chẩn đoán và điều trị kịp thời. Việc hiểu rõ về các xét nghiệm cần thiết và công nghệ mới trong việc phát hiện bệnh có thể giúp người bệnh kiểm soát tình trạng này hiệu quả hơn.
Vảy nến là một bệnh da liễu mãn tính do rối loạn hệ miễn dịch, khiến các tế bào da tăng sinh nhanh chóng, dẫn đến tình trạng da đỏ, đóng vảy và bong tróc. Vảy nến không chỉ là một vấn đề thẩm mỹ, mà còn là một thách thức lớn đối với sức khỏe tổng thể của người bệnh.
Vảy nến là một bệnh tự miễn dịch ảnh hưởng đến da và đôi khi cả các khớp. Bệnh này không chỉ gây ra các triệu chứng như da đỏ, bong tróc, ngứa ngáy, mà còn có thể dẫn đến các biến chứng nghiêm trọng khác như viêm khớp vảy nến, tăng nguy cơ mắc các bệnh tim mạch và tiểu đường.
Theo Tổ chức Y tế Thế giới (WHO), vảy nến ảnh hưởng đến khoảng 2 - 3% dân số toàn cầu, và tần suất này đang có xu hướng gia tăng do các yếu tố như di truyền, môi trường, và lối sống hiện đại.
Xét nghiệm bệnh vảy nến là bước đầu tiên và quan trọng trong việc chẩn đoán và phân loại bệnh. Mặc dù vảy nến có thể được nhận biết qua các dấu hiệu lâm sàng điển hình như da đỏ, đóng vảy bạc, nhưng để xác định chính xác loại vảy nến, mức độ nghiêm trọng, và phương pháp điều trị phù hợp, các xét nghiệm chuyên sâu là không thể thiếu.

Xét nghiệm bệnh vảy nến được chỉ định bởi bác sĩ để hỗ trợ trong chẩn đoán và điều trị bệnh.
Xét nghiệm máu giúp phát hiện các chỉ số viêm nhiễm trong cơ thể. Một số xét nghiệm máu thường được sử dụng để chẩn đoán bệnh vảy nến bao gồm C-reactive protein (CRP) và tốc độ lắng máu (ESR). Cả hai chỉ số này đều có thể tăng cao khi cơ thể đang có hiện tượng viêm, giúp hỗ trợ trong việc chẩn đoán phân biệt vảy nến với các bệnh lý da liễu khác.
Sinh thiết da là một phương pháp phổ biến khác trong chẩn đoán. Bác sĩ sẽ lấy một mẫu da nhỏ từ vùng bị ảnh hưởng để phân tích dưới kính hiển vi. Qua sinh thiết, các đặc điểm tế bào của bệnh vảy nến như tăng sinh tế bào sừng, hiện tượng Munro's microabscesses, và sự xuất hiện của các tế bào T-lymphocyte có thể được phát hiện.
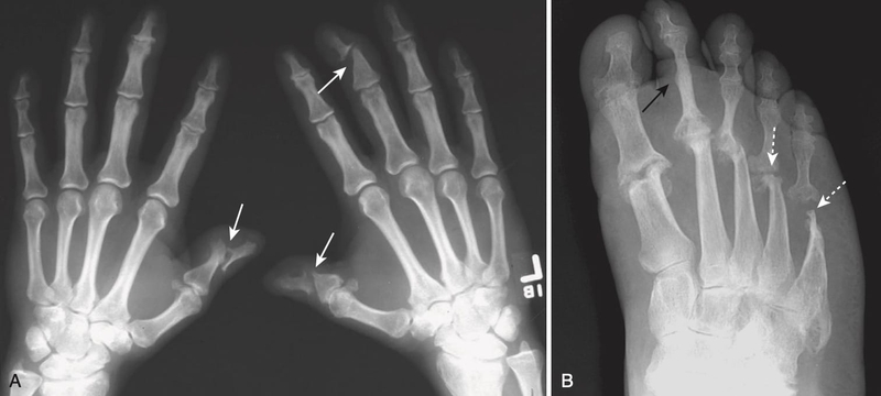
Trong một số trường hợp, đặc biệt là khi bệnh nhân có các biểu hiện liên quan đến khớp, bác sĩ có thể chỉ định các phương pháp xét nghiệm hình ảnh như X-quang, MRI (Magnetic Resonance Imaging), hoặc siêu âm để đánh giá mức độ ảnh hưởng của vảy nến đến khớp. Các phương pháp này giúp bác sĩ xác định sự tồn tại của viêm khớp vảy nến và đề xuất liệu pháp điều trị phù hợp.

Với sự phát triển của khoa học công nghệ, các phương pháp xét nghiệm bệnh vảy nến ngày càng trở nên chính xác và toàn diện hơn.
Nghiên cứu gen học đã chỉ ra rằng có nhiều biến thể gen liên quan đến nguy cơ mắc bệnh vảy nến, bao gồm các gen HLA-Cw6, IL12B và IL23R. Xét nghiệm gen không chỉ giúp dự đoán nguy cơ mắc bệnh mà còn hỗ trợ cá nhân hóa liệu pháp điều trị.
Bằng cách xác định các biến thể gen cụ thể, các bác sĩ có thể lựa chọn những liệu pháp phù hợp với từng cá nhân, tối ưu hóa hiệu quả điều trị và giảm thiểu tác dụng phụ.

Các xét nghiệm sinh học đang được sử dụng ngày càng nhiều trong chẩn đoán và theo dõi tiến triển của bệnh vảy nến. Các marker sinh học như interleukin-17 (IL-17), interleukin-23 (IL-23), và tumor necrosis factor-alpha (TNF-α) được phát hiện là có vai trò quan trọng trong cơ chế bệnh sinh của vảy nến. Việc định lượng các biomarker này giúp bác sĩ xác định được mức độ hoạt động của bệnh và hiệu quả của các liệu pháp điều trị.
Xét nghiệm bệnh vảy nến không chỉ giúp chẩn đoán chính xác mà còn giúp đưa ra các quyết định điều trị sớm và hiệu quả. Những bệnh nhân được chẩn đoán và điều trị sớm có khả năng kiểm soát bệnh tốt hơn, giảm thiểu các biến chứng và cải thiện chất lượng cuộc sống.
Một trong những lợi ích lớn của việc xét nghiệm sớm là khả năng cá nhân hóa liệu pháp điều trị. Các xét nghiệm gen và sinh học cho phép bác sĩ lựa chọn các liệu pháp phù hợp với đặc điểm sinh học riêng của từng bệnh nhân, từ đó tối ưu hóa hiệu quả điều trị và giảm thiểu tác dụng phụ.
Việc phát hiện sớm và điều trị kịp thời giúp giảm nguy cơ mắc các biến chứng nghiêm trọng của vảy nến, bao gồm viêm khớp vảy nến, bệnh tim mạch, và các rối loạn chuyển hóa khác. Các xét nghiệm định kỳ cũng giúp theo dõi tiến triển của bệnh và điều chỉnh phương pháp điều trị kịp thời.

Quy trình chẩn đoán bệnh vảy nến thường diễn ra qua các bước sau:
Người bệnh sẽ gặp bác sĩ để thảo luận về tình trạng sức khỏe, các triệu chứng hiện tại như thời gian bùng phát, mức độ nghiêm trọng, và tiền sử bệnh của cả bản thân lẫn gia đình.
Bác sĩ cũng sẽ kiểm tra các khu vực thường bị ảnh hưởng bởi vảy nến như da đầu, khuỷu tay, chân, và tay. Sự hợp tác của bệnh nhân trong việc cung cấp thông tin về các dấu hiệu bất thường là rất quan trọng để hỗ trợ quá trình chẩn đoán.
Dựa trên thăm khám lâm sàng, bác sĩ sẽ tiếp tục đánh giá tổn thương da, móng, và niêm mạc, đặc biệt ở các vị trí dễ bị tổn thương do cọ xát. Một trong các phương pháp phổ biến là nghiệm pháp Brocq, sử dụng thìa Curette để cạo nhẹ vùng da bị tổn thương nhằm quan sát các lớp vảy bong ra và bề mặt dưới da, nơi thường xuất hiện máu rớm (hạt sương máu).
Sau khi có kết quả xét nghiệm, bác sĩ sẽ phân tích để xác định chính xác thể vảy nến mà bệnh nhân đang gặp phải.
Cuối cùng, bác sĩ sẽ đưa ra kết luận về chẩn đoán bệnh, mức độ nặng nhẹ và đề xuất phác đồ điều trị phù hợp, bao gồm việc điều trị triệu chứng và nguyên nhân gây bệnh.
Xét nghiệm bệnh vảy nến đóng vai trò quan trọng trong quá trình chẩn đoán và điều trị bệnh. Với sự tiến bộ của khoa học và công nghệ, các phương pháp xét nghiệm ngày càng trở nên chính xác và hiệu quả hơn, giúp cải thiện đáng kể chất lượng cuộc sống của người bệnh.
Đối với những ai đang sống chung với bệnh vảy nến, việc chủ động xét nghiệm và điều trị sớm là chìa khóa để kiểm soát bệnh và giảm thiểu tác động tiêu cực của nó.
Xem thêm:
Dược sĩ Đại học Nguyễn Tuấn Trịnh
Từng làm ở Viện ISDS, nhiều năm cộng tác với CDC Thái Nguyên triển khai dự án phòng chống HIV/AIDS, 2 năm cộng tác với WHO.