Tốt nghiệp Khoa Dược trường Đại học Nam Cần Thơ. Có nhiều năm kinh nghiệm công tác trong lĩnh vực Dược phẩm. Hiện đang giảng viên cho Dược sĩ tại Nhà thuốc Long Châu.
Thị Hằng
12/07/2024
Mặc định
Lớn hơn
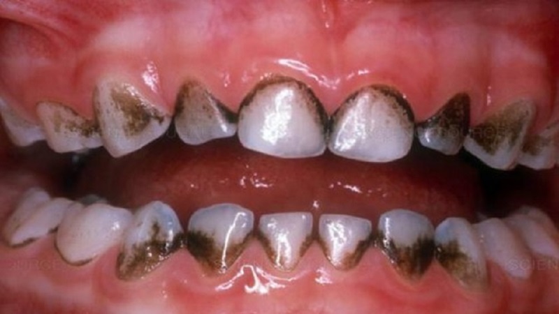
Răng bị đen trên bề mặt có thể xuất hiện ở một vài điểm hoặc phân bố rải rác trên toàn bộ cung hàm. Hiện tượng trên phát sinh do nhiều nguyên nhân và để khắc phục, ngăn ngừa thì bạn cần phải làm rõ lý do vì sao mình gặp phải tình trạng này.
Răng bị đen trên bề mặt không chỉ ảnh hưởng đến tính thẩm mỹ mà còn tiềm ẩn nhiều vấn đề đáng ngại về sức khỏe. Vậy làm thế nào để phòng tránh và can thiệp hiệu quả? Bài viết dưới đây sẽ cung cấp cho bạn những thông tin đắt giá này.
Hiện tượng răng bị đen trên bề mặt có thể xuất phát từ những nguyên nhân cơ bản sau đây:

Như đã nhắc qua ở trên, hiện tượng bề mặt răng bị đen không chỉ khiến khuôn miệng trở nên kém sắc mà còn đi kèm nhiều hệ quả đáng ngại, cụ thể như sau:

Khi răng bị đen trên bề mặt, làm thế nào để bạn có thể cải thiện nhanh tình trạng này? Hãy tham khảo một số gợi ý sau đây nhé!
Muối có khả năng loại bỏ cao răng cực tốt nhờ lực ma sát cao. Chẳng những vậy, chúng còn là “khắc tinh” của vi khuẩn gây hại. Vậy nên nếu sử dụng thành phần này thì hiện tượng răng bị đen có thể được khắc phục ngay lập tức.
Cách thực hiện rất đơn giản, bạn có thể rắc muối tinh lên bàn chải/bàn chải điện và chà răng nhẹ nhàng trong khoảng 5 phút rồi súc miệng lại bằng nước ấm. Ngoài ra việc trộn muối với chanh theo tỷ lệ 1:1 và dùng hỗn hợp này để đánh răng cũng cho hiệu quả tương tự.
Chanh có chứa axit tự nhiên nên có thể loại bỏ mảng bám trên răng chỉ sau ít phút tiếp xúc. Khi tiến hành, bạn hãy vắt lấy nước cốt của một quả chanh, sau đó nhúng bàn chải vào và chà rửa nhẹ nhàng trong 3 phút. Áp dụng đều đặn liên tục trong 1 tuần, rồi bạn sẽ thấy bất ngờ với kết quả nhận về.
Baking soda từ lâu đã được biết đến như một nguyên liệu làm trắng răng an toàn, hiệu quả. Thành phần này có thể loại bỏ cao răng trong tích tắc. Đặc biệt, chúng còn tạo ra môi trường kiềm, giúp kiểm soát, ức chế hoạt động của vi khuẩn gây hại trong khoang miệng.
Bạn có thể sử dụng baking soda theo cách tương tự như dùng muối tinh. Đó là nhúng bàn chải vào vào thành phần này và chà lên mặt răng hoặc trộn baking soda với nước chanh và vệ sinh khoang miệng như kem đánh răng thông thường.
Lưu ý, mặc dù có khả năng làm sạch mảng bám rất ấn tượng nhưng cùng với đó, baking soda có thể gây hại men răng nếu dùng quá thường xuyên. Do đó bạn chỉ nên sử dụng với tần suất 1 tuần/lần.
Đây là cách làm sạch an toàn và hiệu quả nhất bởi có sự định hướng và hỗ trợ trực tiếp từ bác sĩ chuyên khoa. Khi ghé phòng khám, bác sĩ sẽ khai thác tiền sử để làm rõ nguyên nhân của thực trạng trên. Nhờ vậy mà việc đề xuất giải pháp sẽ có căn cứ chính xác và khoa học hơn. Trong đó, cách can thiệp phổ biến nhất chính là lấy cao răng bằng dụng cụ chuyên dụng. Đảm bảo chỉ sau 1 tiếng, răng của bạn sẽ sạch sẽ, sáng đẹp như ý.
Trong trường hợp vết đen xuất hiện do sâu răng, thiểu sản men răng thì cần được điều trị chuyên sâu và sử dụng liệu pháp trám răng, bọc răng sứ,... để khắc phục tình hình.

Để ngăn ngừa tình trạng răng có vết đen trên bề mặt, bạn hãy áp dụng đồng thời 5 biện pháp cơ bản dưới đây:

Trên đây là những chia sẻ của Nhà thuốc Long Châu về hiện tượng răng bị đen trên bề mặt. Bây giờ thì bạn đã hiểu rõ cơ chế xuất hiện tình trạng này và cách ngăn ngừa, khắc phục rồi chứ? Sau cùng chúc bạn áp dụng thành công và xin chân thành cảm ơn vì đã tham khảo bài viết! Trân trọng!
Xem thêm:
Dược sĩ Đại họcNguyễn Thị Thảo Nguyên
Tốt nghiệp Khoa Dược trường Đại học Nam Cần Thơ. Có nhiều năm kinh nghiệm công tác trong lĩnh vực Dược phẩm. Hiện đang giảng viên cho Dược sĩ tại Nhà thuốc Long Châu.