• Thực phẩm chức năng

  • Dược mỹ phẩm

  • Thuốc

  • Chăm sóc cá nhân

  • Thiết bị y tế

  • Tiêm chủng

  • Bệnh & Góc sức khỏe

  • Hệ thống nhà thuốc

    1. /
    2. Góc sức khỏe/
    3. Khỏe đẹp/
    4. Chăm sóc cơ thể

    Răng sứ titan có bị đen không? Cách ngăn ngừa và khắc phục

    Thị Hằng

    12/07/2024

    Kích thước chữ

    Răng sứ titan có bị đen không và để chặn đứng vấn đề đáng ngại này, bạn cần phải làm gì? Bài viết dưới đây sẽ cung cấp mọi thông tin chi tiết xoay quanh những nghi vấn trên.

    Bọc răng sứ titan là một trong những công nghệ thẩm mỹ hàng đầu hiện nay và được người tiêu dùng Việt đặc biệt ưa chuộng. Tuy nhiên trước khi quyết định tìm đến liệu pháp làm đẹp này, nhiều người vẫn còn băn khoăn, lo lắng về những nguy cơ có thể xảy ra sau can thiệp. Vậy răng sứ titan có bị đen không và làm thế nào để ngăn ngừa tình trạng này?

    Răng sứ titan là gì?

    Răng sứ titan về bản chất là một loại răng giả, chúng có hình thái giống hệt với răng thật, được đưa vào vùng nướu chỉ còn lại trụ răng nhằm phục hồi chức năng ăn nhai và tính thẩm mỹ của khuôn miệng.

    Cấu tạo của loại răng sứ này được phân làm 2 phần cơ bản, đó là:

    • Phần lõi: Bao gồm nhiều loại hợp kim có độ chắc cao, trong đó tỉ lệ titanium dao động từ 4 - 8%. Nhờ vậy mà giúp gia tăng sức bền, giảm nhẹ trọng lượng và rất có lợi trong trường hợp làm cầu răng dài.
    • Vỏ ngoài: Vỏ ngoài của loại răng này được gia cố bằng lớp men sứ Ceramco III, chúng không quét thành lớp dày mà phủ chồng lần lượt nhiều lớp mỏng, mục đích là để màu răng ở trạng thái tự nhiên nhất có thể. Sau khi định hình cơ bản kết cấu răng, các kỹ thuật viên sẽ tiến hành mài giũa để tạo hình của thành phẩm tương thích hoàn hảo với cùi răng thật.
    Răng sứ titan có bị đen không? Cách ngăn ngừa và khắc phục 2
    Cấu tạo của răng sứ titan

    Ưu nhược điểm của bọc răng sứ titan

    Khi bọc răng sứ titan, bạn sẽ nhận ra những ưu điểm và hạn chế dưới đây của phương pháp can thiệp này:

    Ưu điểm

    • Chịu lực siêu tốt: Loại răng này có khả năng chịu áp lực nén lên tới 900Mpa và lực xoắn chạm ngưỡng 150N. Chính vì vậy, chúng đảm đương tốt nhiệm vụ ăn nhai, kể cả những loại thức ăn cứng hoặc dai, y hệt như những chiếc răng thật còn khỏe mạnh.
    • Tính tương thích cao: Khảo sát thực tế cho thấy sứ titan có độ tương thích hoàn hảo với các mô của cơ thể người, đặc biệt là môi trường khoang miệng. Vậy nên sau khi can thiệp, bạn sẽ không bị kích ứng, phù nề hay khó chịu. Mọi trải nghiệm đều giống như khi còn nguyên răng thật.
    • Giá thành phải chăng: So với việc sử dụng răng toàn sứ thì bọc răng sứ titan thường có kinh phí chỉ bằng 1/3. Trong khi hiệu quả thu về lại không có nhiều khác biệt. Vậy nên đây là lựa chọn ưu tiên dành những ai có nhu cầu phục hồi răng nhưng ngân sách chi trả lại có giới hạn.

    Nhược điểm

    • Thân răng có màu hơi đục: So với răng toàn sứ thì răng sứ titan có lớp nền đục hơn, không trong trẻo và bắt sáng tốt như đại diện vừa nêu.
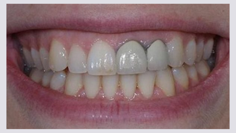
    • Dễ bị đen đường viền gần nướu: Về bản chất, răng sứ titan vẫn được làm từ kim loại nên hiện tượng oxy hóa là điều khó tránh khỏi. Vậy nên sau một thời gian tiếp xúc với đồ ăn, thức uống, môi trường khoang miệng thì đường viền răng ở khu vực giáp ranh với nướu rất dễ bị đen.
    • Chảy máu chân răng: Điều này chủ yếu do phản ứng mạnh mẽ của chất liệu titan với thức ăn có nền nhiệt quá nóng hoặc quá lạnh.
    Răng sứ titan có bị đen không? Cách ngăn ngừa và khắc phục 4
    Răng sứ titan có nhiều ưu điểm nhưng cũng không ít những hạn chế

    Răng sứ titan có bị đen không?

    Răng sứ titan có bị đen không là câu hỏi còn để ngỏ đối với nhiều người. Vậy đâu là lời giải đáp cho nghi vấn này?

    Trước hết cần phải khẳng định rằng răng sứ titan hoàn toàn có thể bị đen trong quá trình sử dụng. Và như đã nhắc qua ở trên, điều này là bởi chúng được làm từ các hợp chất của kim loại. Hiện tượng oxy hóa sẽ diễn ra sau thời gian dài tiếp xúc với điều kiện ngoại cảnh. Khi đó, bạn sẽ thấy răng xỉn màu hơn so với trước. Tuy nhiên đây chỉ là một phần câu chuyện. Việc răng sứ titan có bị đen không còn phụ thuộc vào rất nhiều yếu tố khác. Cụ thể là:

    • Quy trình và cách thức can thiệp: Nếu bác sĩ có tay nghề cao, mão răng sứ tiếp cận sát khít vào khu vực định vị thì sau khi hoàn thiện, tình trạng oxy hóa sẽ được tiết chế xuống mức tối thiểu. Tuy nhiên nếu tay nghề của bác sĩ nha khoa còn “non”, thao tác lệch lạc khiến răng sứ bị hở, cộm và khiến vi khuẩn, mảng bám có cơ hội mắc kẹt, tích tụ thì quá trình oxy hóa gây đen răng lại càng được kích hoạt.
    • Cách chăm sóc răng miệng sau khi bọc răng sứ titan: Việc vệ sinh răng miệng cũng ảnh hưởng rất nhiều đến hiện tượng răng sứ bị đen. Khi bạn loại bỏ mảng bám đúng cách sau mỗi lần ăn, duy trì tối thiểu ngày hai lần thì vết đen trên răng sứ sẽ rất khó có cơ hội hình thành. Ngược lại nếu bạn lười làm sạch răng, để mảng bám tồn ứ ở cổ chân răng thì quá trình oxy hóa sẽ diễn ra cực mạnh mẽ và khiến răng ngày càng đen sậm lại.
    • Mô lợi mỏng, men răng thật tối màu: Khi mô lợi quá mỏng và men răng thật tối màu thì khi làm răng sứ titan, nếu ánh đèn xuyên qua, bạn sẽ có cảm giác răng sứ sau khi bọc bị đen xỉn hơn so với bình thường.
    • Dị ứng với titan: Đây là tình trạng khá hiếm gặp nhưng không thể loại trừ hoàn toàn. Nếu bị dị ứng với titan, các phản ứng đào thải của cơ thể sẽ khiến răng bị oxy hóa nhanh hơn và ngày càng trở nên tối màu.
    Răng sứ titan có bị đen không? Cách ngăn ngừa và khắc phục 3
    Răng sứ titan có bị đen không phụ thuộc vào kỹ thuật thực hiện, cơ địa và cách chăm sóc

    Một số lưu ý khi chăm sóc răng sứ titan

    Sau khi bọc răng sứ, để giúp chúng duy trì tốt hiệu quả thẩm mỹ và ăn nhai thì bạn cần chú ý đến những điểm quan trọng sau:

    • Đánh răng ngày 2 lần bằng bàn chải lông mềm. Thao tác nhẹ nhàng, không chà quá mạnh tay vì điều này có thể ảnh hưởng tiêu cực đến mão răng sứ.
    • Sau khi đánh răng, bạn nên súc miệng trong 1 - 3 phút bằng nước muối sinh lý hoặc nước súc miệng chứa flour. Mục đích của việc làm này là loại bỏ những vi khuẩn gây hại đang còn sót loại trong khoang miệng.
    • Ăn uống khoa học, hợp lý: Khả năng chịu nhiệt của răng sứ titan thường “lép vế” hơn hẳn so với răng thật. Khả năng cảm nhận sự thay đổi về nhiệt cũng kém xa nên trước khi ăn nhai, bạn cần kiểm tra kỹ, tránh dùng đồ ăn quá lạnh hoặc quá nóng kẻo gây hại cho răng. Bên cạnh đó cũng nên hạn chế tinh bột, đồ ngọt vì đây là những tác nhân gây ra những mảng bám trên răng và tạo cơ hội cho vi khuẩn gây hại hoành hành.
    • Không tác động lực lên răng: Việc ăn thức ăn quá cứng hoặc quá dai có thể khiến răng sứ titan bị tổn hại nặng nề. Vậy nên sau khi bọc răng, bạn cần đặc biệt chú ý về điều này. Ngoài ra không để răng tiếp cận với vật sắc nhọn.
    Răng sứ titan có bị đen không? Cách ngăn ngừa và khắc phục 1
    Nếu bạn làm theo hướng dẫn trên thì răng sứ titan sẽ duy trì tốt độ bền đẹp qua thời gian

    "Răng sứ titan có bị đen không?" đã được phân tích và giải đáp rất chi tiết, cặn kẽ trong bài viết này. Sau cùng, chúc bạn có được một hàm răng đẹp sau khi bọc sứ titan và xin chân thành cảm ơn vì đã dõi theo bài viết của Nhà thuốc Long Châu! Trân trọng!

    Xem thêm:

    Thông tin và sản phẩm gợi ý trong bài viết chỉ mang tính chất tham khảo, vui lòng liên hệ với Bác sĩ, Dược sĩ hoặc chuyên viên y tế để được tư vấn cụ thể. Xem thêm

    Dược sĩ Đại họcNguyễn Thị Thảo Nguyên

    Đã kiểm duyệt nội dung

    Tốt nghiệp Khoa Dược trường Đại học Nam Cần Thơ. Có nhiều năm kinh nghiệm công tác trong lĩnh vực Dược phẩm. Hiện đang giảng viên cho Dược sĩ tại Nhà thuốc Long Châu.

    Xem thêm thông tin