Tốt nghiệp Khoa Dược trường Đại học Nam Cần Thơ. Có nhiều năm kinh nghiệm công tác trong lĩnh vực Dược phẩm. Hiện đang giảng viên cho Dược sĩ tại Nhà thuốc Long Châu.
Thị Hằng
12/07/2024
Mặc định
Lớn hơn
Răng gãy còn chân nên nhổ bỏ hay tìm cách để bảo tồn? Bài viết dưới đây sẽ cung cấp lời giải đáp chi tiết cho câu hỏi này và nhiều thông tin thú vị khác xoay quanh chủ đề nói trên.
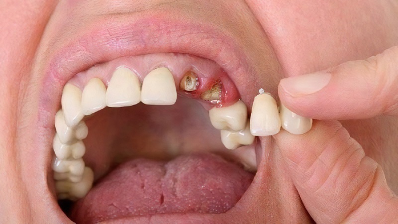
Răng gãy còn chân là một sự cố không mong muốn nhưng vì nhiều lý do, thực trạng này vẫn có thể xảy ra. Để can thiệp hiệu quả thì bạn cần làm rõ căn nguyên của vấn đề. Sau đó dựa vào mức độ sang chấn mà lựa chọn phương thức xử lý phù hợp.
Răng gãy còn chân có thể phát sinh do những nguyên nhân cơ bản dưới đây:
Răng sâu là hiện tượng răng bị ăn mòn bởi axit có trong khoang miệng và thường liên quan đến hoạt động của vi khuẩn hoại sinh. Khi răng sâu xuất phát từ phần cổ của chân răng thì hiện tượng đục lỗ, khuyết lõm làm mất dần phần thân răng phía trên. Do đó răng sẽ bị gãy và chỉ còn lại chân răng nằm trong nướu.
Mòn cổ chân răng là hiện tượng vùng cổ của chân răng mất dần đi lớp bảo vệ cứng cáp bên ngoài (men răng và ngà răng). Hai thành phần này không thể tái sinh, khiến kết cấu bên trong của răng bị hủy hoại và có kích thước co ngót dần. Kết quả là gây gãy gập thân răng, chỉ còn sót lại chân răng bên dưới.
Va chạm cơ học là một trong những tác nhân hàng đầu khiến răng bị gãy mà vẫn còn chân. Cụ thể, khi bị té ngã hay tai nạn, nếu điểm va chạm nằm sát nướu thì thân răng sẽ bị nứt gãy, chân răng phía dưới vẫn còn nguyên.

Răng gãy còn chân nếu không xử lý kịp thời và đúng cách thì có thể dẫn tới những hệ lụy sau:
Trong trường hợp răng gãy nhưng vẫn còn chân thì đâu là cách can thiệp hiệu quả nhất?
Trong trường hợp chân răng vẫn còn dài, vẫn duy trì được khả năng chịu lực và không bị hư tổn nặng thì bạn nên áp dụng cách điều trị bảo tồn bằng các phương pháp sau:

Trong trường hợp chân răng quá ngắn và không còn đảm nhiệm được chức năng vốn có thì nhổ bỏ là phương pháp tối ưu. Hiện nay có 2 phương pháp nhổ chân răng là nhổ bằng cách bóc tách thông thường và nhổ bằng sóng siêu âm. Cách làm đầu tiên sẽ gây đau đớn nhiều hơn cho người bệnh, thời gian phục hồi cũng chậm hơn nhưng chi phí rẻ. Ngược lại nhổ răng bằng sóng siêu âm ít đau, phục hồi nhanh nhưng giá thành sẽ đắt đỏ hơn.
Sau khi nhổ răng, người can thiệp sẽ được điều trị viêm nhiễm, chữa tủy (nếu cần) bằng thuốc kháng sinh, thuốc chống viêm. Một tháng sau, khi vết thương đã se lành hoàn toàn, bác sĩ sẽ tiến hành trồng răng giả. Tùy nhu cầu và ngân sách hiện có mà bạn có thể chọn một trong hai cách sau đây:

Khi tìm giải pháp khắc phục vấn đề trên, bạn cần lưu ý đến những điều đặc biệt sau:

Trên đây là những chia sẻ của chúng tôi về nguyên nhân, tác hại và cách can thiệp đối với tình trạng răng gãy còn chân. Mong rằng qua những thông tin vừa được cung cấp, chúng ta sẽ phát hiện nhanh vấn đề, đánh giá chính xác mức độ thương tổn và can thiệp đúng cách để chặn đứng mọi rủi ro có thể xảy ra! Trân trọng!
Xem thêm:
Dược sĩ Đại họcNguyễn Thị Thảo Nguyên
Tốt nghiệp Khoa Dược trường Đại học Nam Cần Thơ. Có nhiều năm kinh nghiệm công tác trong lĩnh vực Dược phẩm. Hiện đang giảng viên cho Dược sĩ tại Nhà thuốc Long Châu.