Tốt nghiệp loại giỏi trường Đại học Y Dược Huế. Từng tham gia nghiên cứu khoa học đề tài về Dược liệu. Nhiều năm kinh nghiệm làm việc trong lĩnh vực Dược phẩm. Hiện đang là giảng viên cho Dược sĩ tại Nhà thuốc Long Châu.
Thị Thúy
24/12/2024
Mặc định
Lớn hơn
Thói quen đẩy lưỡi hay còn gọi là nuốt lệch, nuốt ngược, đẩy lưỡi bẩm sinh…, là một thói quen xấu rất phổ biến ở trẻ em, có thể gây ảnh hưởng xấu đến răng, khớp cắn và phát âm. Nếu những thói quen xấu này được phát hiện sớm và loại bỏ kịp thời thì có thể tránh được những hậu quả không đáng có.
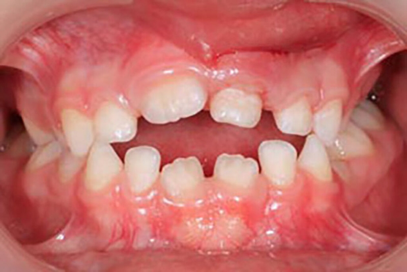
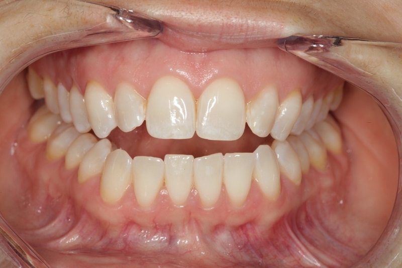
Tật đẩy lưỡi bẩm sinh là một thói quen không tốt cho sức khỏe, có thể gây ra nhiều hậu quả nghiêm trọng đến răng, khớp cắn và phát âm của trẻ. Ở người lớn, tật đẩy lưỡi có thể khiến các răng cửa bị hô ra và thưa. Tuy nhiên, nếu thói quen xấu này được phát hiện và loại bỏ sớm, bệnh nhân có thể tránh được nguy cơ răng và hàm lệch lạc trong tương lai.
Thông thường, lưỡi của mọi người đều nằm hoàn toàn trong miệng. Lưỡi không gây áp lực lên răng. Tuy nhiên, nếu lưỡi đặt giữa răng hàm trên và răng hàm dưới, vị trí lưỡi sai, lưỡi sẽ đẩy vào gót răng cửa hàm trên khi nuốt hoặc ở trạng thái nghỉ, điều này sẽ gây ra nhiều ảnh hưởng không tốt đến thẩm mỹ và chức năng trên bộ răng. Tỷ lệ bị tật đẩy lưỡi ở trẻ em khá cao, lên tới 60% đến 90%.

Một người bình thường có động tác nuốt khoảng 1.000 đến 2.000 lần mỗi ngày. Mỗi lần nuốt tạo ra lực đẩy khoảng 1.800g. Nếu lực đẩy này tác động lâu dài lên răng có thể dẫn đến tình trạng răng lệch lạc ở mức độ từ trung bình đến nặng. Triệu chứng rõ ràng nhất của những người bị đẩy lưỡi nặng là gây cắn hở và thưa răng.
Nhìn chung, nguyên nhân gây tật đẩy lưỡi có thể được chia thành hai nhóm: Đẩy lưỡi tiên phát và đẩy lưỡi thứ phát.
Đẩy lưỡi tiên phát do rối loạn thần kinh cơ, đặc trưng ở tình trạng trẻ không thay đổi thói quen nuốt từ khi sinh ra. Khi được yêu cầu di chuyển đầu lưỡi chạm lên vòm miệng, bệnh nhân không thể hoặc thực hiện rất khó khăn khi nâng lưỡi lên.
Liên quan đến răng hàm mọc lệch lạc và các bệnh về tai mũi họng hoặc khoang miệng, cụ thể là:
Trong thực tế lâm sàng, có nhiều tình huống khó phân biệt lực đẩy lưỡi tiên phát với đẩy lưỡi thứ phát.
Đẩy lưỡi có thể gây ra tình trạng khớp cắn hở và hô ra cả 2 hàm, ảnh hưởng lớn đến thẩm mỹ và chức năng của bộ răng. Mức độ ảnh hưởng cũng phụ thuộc vào thời gian và tần suất đẩy lưỡi.

Có nhiều hình thái đẩy lưỡi khác nhau có thể gây ra lệch lạc răng hàm, chẳng hạn như:
Có hai cách để loại bỏ tật đẩy lưỡi, cụ thể là:

Để điều chỉnh thói quen đẩy lưỡi, mọi người cần chú ý tập lưỡi từ khi trẻ khoảng 8 tuổi. Các động tác như sau:
Bạn tưởng tượng 3 động tác trên là 3 nhịp đếm, đếm 1 - 2 - 3, thực hiện trong cả ngày. Khi đã thành thạo, bạn có thể luyện tập với một lượng nhỏ thức ăn hoặc nước lọc. Điều quan trọng nhất là phải kiên nhẫn để đẩy lùi tật đẩy lưỡi. Về tần suất thực hiện, bạn nên tập 2 lần mỗi ngày, mỗi lần khoảng 5 phút. Bạn có thể quan sát hiệu quả của bài tập bằng cách sử dụng ngón tay giữ 2 môi mở trước gương, khi nuốt quan sát lưỡi không đẩy vào răng là đạt yêu cầu.
Với trường hợp bị đẩy lưỡi ở tư thế nghỉ, bạn sẽ cảm thấy nó chạm vào răng chứ không phải là lợi. Bài tập được khuyến cáo là đặt đầu lưỡi lên vòm miệng và tạo ra âm thanh tặc tặc liên tục. Mỗi khi bạn phát hiện lưỡi đẩy vào răng nghĩa là bạn có thể luyện tập. Bài tập này giúp giảm tình trạng hô cho người bị lưỡi to kết hợp với tật đẩy lưỡi. Đối với trẻ em, cha mẹ có thể thay đổi phương pháp luyện tập và yêu cầu trẻ phát âm các chữ cái D, T, K, L…, hoặc luyện các bài hát đơn âm theo hướng dẫn của bác sĩ.
Tật đẩy lưỡi có thể dẫn đến sai lệch khớp cắn, lệch lạc về răng và hàm mặt và ảnh hưởng đến thẩm mỹ. Vì vậy, cần phát hiện và can thiệp sớm để thay đổi những thói quen xấu của người bệnh.
Xem thêm: Các bệnh về lưỡi thường gặp: Nguyên nhân, triệu chứng và điều trị
Dược sĩ Đại họcNgô Kim Thúy
Tốt nghiệp loại giỏi trường Đại học Y Dược Huế. Từng tham gia nghiên cứu khoa học đề tài về Dược liệu. Nhiều năm kinh nghiệm làm việc trong lĩnh vực Dược phẩm. Hiện đang là giảng viên cho Dược sĩ tại Nhà thuốc Long Châu.