Tốt nghiệp đại học Khoa Dược. Có kinh nghiệm hơn 10 năm trong lĩnh vực Dược phẩm, tư vấn thuốc và thực phẩm chức năng. Hiện đang là giảng viên cho Dược sĩ tại Nhà thuốc Long Châu.
Ngọc Vân
24/12/2024
Mặc định
Lớn hơn
Bạch cầu ái toan là một loại tế bào bạch cầu có vai trò quan trọng trong hệ miễn dịch, giúp cơ thể chống lại các nhiễm trùng và các phản ứng dị ứng. Tuy nhiên, khi số lượng bạch cầu ái toan tăng quá cao, nó có thể gây ra nhiều vấn đề sức khỏe nghiêm trọng. Cùng Nhà thuốc Long Châu tìm hiểu về hiện tượng tăng bạch cầu ái toan qua bài viết dưới đây!
Trong hệ miễn dịch của cơ thể, bạch cầu ái toan đóng vai trò quan trọng như những "lính đánh nhanh đánh mạnh", chuyên đối đầu với các ký sinh trùng, phản ứng dị ứng và bảo vệ cơ thể khỏi tác nhân gây hại. Tuy nhiên, khi số lượng bạch cầu ái toan tăng cao bất thường, nó sẽ trở thành bệnh lý y khoa mang tên "tăng bạch cầu ái toan", ẩn chứa những nguy cơ tiềm ẩn cho sức khỏe.
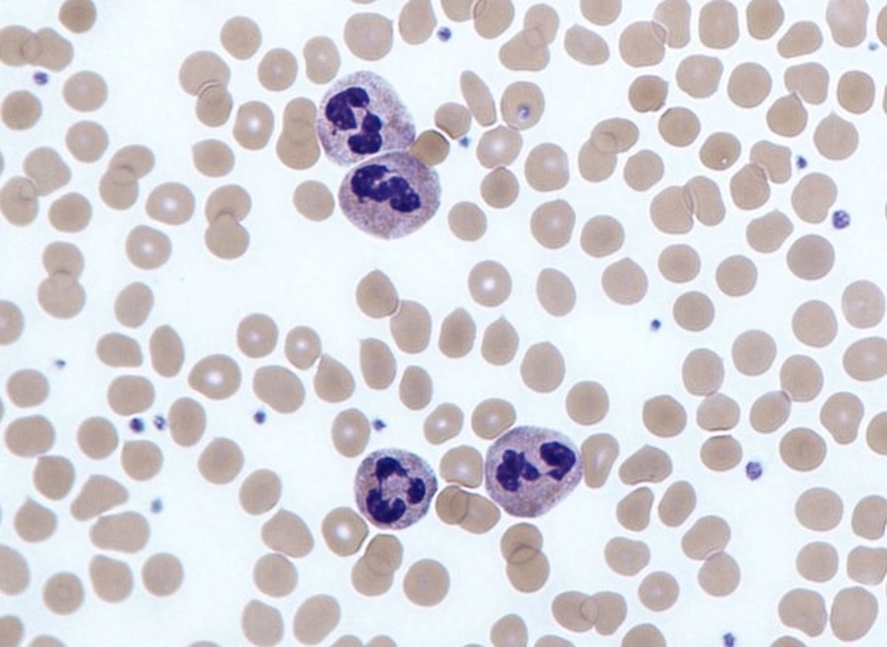
Bạch cầu ái toan hay còn gọi là bạch cầu ưa axit là một loại tế bào bạch cầu đóng vai trò quan trọng trong hệ miễn dịch. Chúng có khả năng tiêu diệt các ký sinh trùng, virus, tế bào ung thư và tham gia vào các phản ứng dị ứng. Bạch cầu ái toan được tạo ra từ tủy xương và di chuyển đến các mô và cơ quan khác nhau trong cơ thể.
Tăng bạch cầu ái toan (eosinophil) là hiện tượng số lượng tế bào bạch cầu ái toan trong máu, mô, hoặc một số cơ quan khác tăng bất thường. Tình trạng này có thể do quá trình hình thành bạch cầu ái toan bị rối loạn hoặc do sự tích tụ bất thường của loại bạch cầu này. Sự gia tăng bạch cầu ái toan thường liên quan đến phản ứng điều hòa miễn dịch và có thể xảy ra trong nhiều tình trạng bệnh lý như viêm nhiễm, dị ứng, ung thư, và nhiễm ký sinh trùng.

Tình trạng tăng bạch cầu ái toan có thể do nhiều nguyên nhân khác nhau, như:
Dựa trên nguyên nhân gây bệnh, tăng bạch cầu ái toan được chia thành 3 loại:
Tăng bạch cầu ái toan (eosinophilia) có thể biểu hiện qua nhiều triệu chứng khác nhau, phụ thuộc vào nguyên nhân và mức độ nghiêm trọng của tình trạng này. Dưới đây là một số triệu chứng phổ biến mà người bệnh có thể gặp phải:

Tăng bạch cầu ái toan thường không gây nguy hiểm đến tính mạng nếu được chẩn đoán và điều trị kịp thời. Tuy nhiên, trong một số trường hợp, nếu không được điều trị, tăng bạch cầu ái toan có thể dẫn đến các biến chứng nguy hiểm như:

Điều trị kịp thời và đúng cách các bệnh lý tự miễn như lupus ban đỏ hệ thống (SLE), viêm khớp dạng thấp, và các bệnh lý viêm khác là cách hiệu quả để phòng ngừa tăng bạch cầu ái toan. Tuân thủ phác đồ điều trị của bác sĩ và kiểm tra sức khỏe định kỳ để phát hiện sớm các dấu hiệu bất thường và điều trị kịp thời.
Sử dụng thuốc theo chỉ định của bác sĩ và tránh lạm dụng các loại thuốc như Aspirin, Sulfonamides, và các thuốc khác có thể gây tăng bạch cầu ái toan. Theo dõi phản ứng của cơ thể và báo cáo ngay cho bác sĩ nếu có phản ứng dị ứng hoặc bất thường khi sử dụng thuốc.
Tránh tiếp xúc với các tác nhân gây dị ứng là biện pháp quan trọng đầu tiên. Xác định và tránh các chất gây dị ứng như phấn hoa, lông động vật, mạt bụi nhà và một số loại thực phẩm có thể giúp giảm nguy cơ tăng bạch cầu ái toan. Sử dụng thuốc chống dị ứng như thuốc kháng histamin hoặc corticosteroid có thể giúp kiểm soát các triệu chứng dị ứng.

Tăng bạch cầu ái toan là tình trạng số lượng bạch cầu ái toan trong máu tăng cao bất thường. Tuy không phải lúc nào cũng nguy hiểm, nhưng nếu không được chẩn đoán và điều trị kịp thời, tăng bạch cầu ái toan có thể dẫn đến các biến chứng nguy hiểm. Hãy luôn quan tâm đến sức khỏe bản thân và chủ động tìm hiểu thông tin về các vấn đề sức khỏe để có thể bảo vệ bản thân một cách tốt nhất.
Xem thêm: Bạch cầu ái kiềm: Chức năng, cấu tạo, vai trò và tình trạng bệnh lý liên quan
Dược sĩ Đại họcNguyễn Thị Hồng Nhung
Tốt nghiệp đại học Khoa Dược. Có kinh nghiệm hơn 10 năm trong lĩnh vực Dược phẩm, tư vấn thuốc và thực phẩm chức năng. Hiện đang là giảng viên cho Dược sĩ tại Nhà thuốc Long Châu.