• Thực phẩm chức năng

  • Dược mỹ phẩm

  • Thuốc

  • Chăm sóc cá nhân

  • Thiết bị y tế

  • Tiêm chủng

  • Bệnh & Góc sức khỏe

  • Hệ thống nhà thuốc

    1. /
    2. Góc sức khỏe/
    3. Khỏe đẹp

    Tụt lợi khi bọc răng sứ là vì sao? Có cách khắc phục không?

    21/06/2023

    Kích thước chữ

    Có đến 40% trường hợp bị tụt lợi khi bọc răng sứ. Nguyên nhân là gì? Giải quyết tình trạng này như thế nào?

    Bọc răng sứ là phương pháp phục hình răng khuyết điểm được nhiều người ưa chuộng hiện nay. Sau khi bọc sứ, hàm răng sẽ có màu đẹp tự nhiên và khả năng ăn nhai cũng được cải thiện rõ rệt. Tuy nhiên, sau một thời gian sử dụng, một số người sẽ xảy ra hiện tượng tụt lợi khi bọc răng sứ làm cho răng yếu dần và thiếu tính thẩm mỹ. Cùng tìm hiểu nguyên nhân và cách khắc phục tình trạng này qua bài viết dưới đây.

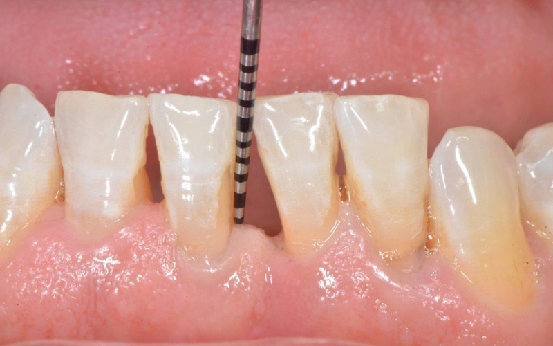
    Tụt lợi là gì?

    Tụt lợi là tình trạng chân răng bị lộ ra do sự di chuyển của lợi về phía chóp chân răng. Đây là dấu hiệu cảnh báo sự mất dần các mô quanh chân răng làm lộ ngà răng. Hiện tượng này khiến răng bị ê buốt, gây mất thẩm mỹ và dễ mắc thức ăn làm mòn chân răng và kéo theo nhiều bệnh lý nguy hiểm khác. Thậm chí một số trường hợp có thể gây tụt lợi chảy máu chân răng làm ảnh hưởng và dẫn đến nhiều bệnh lý răng miệng khác.

    tụt lợi khi bọc răng sứ nguyên nhân do đâu Tụt lợi là căn bệnh nha chu phổ biến

    Nguyên nhân gây tụt lợi khi bọc răng sứ

    Nếu phát hiện bị tụt lợi khi bọc răng sứ, bạn hãy tham khảo một vài nguyên nhân phổ biến dưới đây:

    Bọc răng sứ sai kỹ thuật gây viêm lợi

    Mài cùi răng quá nhiều, lấy dấu răng không chuẩn xác, lắp mão răng không khít khiến cùi răng và mão răng kênh cộm làm hở viền nướu. Sau một thời gian sử dụng, vụn thức ăn giắt vào khe hở. Lâu dần sẽ hình thành mảng bám cao răng và ổ vi khuẩn phát triển phá hủy cùi răng. Từ đó, người bệnh bị hôi miệng, kích ứng nướu và tụt nướu.

    Răng sứ không đảm bảo chất lượng

    Chất lượng răng sứ ảnh hưởng rất lớn đến thời gian sử dụng của răng sứ. Thông thường, nếu răng sứ được làm từ chất liệu không rõ nguồn gốc, xuất xứ, thời gian bảo hành, sẽ không an toàn cho nướu. Hơn nữa, răng sứ không được đảm bảo vô trùng trong quá trình chế tác sẽ gây kích ứng cho người dùng. Nếu sử dụng răng sứ không đảm bảo chất lượng trong thời gian dài sẽ gây ra bệnh viêm nướu và các mô nhạy cảm xung quanh răng, cuối cùng dẫn đến tụt lợi khi bọc răng sứ.

    tụt lợi khi bọc răng sứ có thể do răng sử không đảm bảo chất lượng Răng sứ kém chất lượng không chỉ gây tụt lợi mà còn làm hôi miệng, ê buốt răng

    Mắc bệnh răng miệng trước khi bọc răng sứ

    Trước khi bọc răng sứ, khách hàng sẽ trải qua nhiều lần thăm khám kỹ lưỡng và điều trị triệt để các bệnh lý nha khoa để đảm bảo thời gian sử dụng lâu dài của răng sứ. Chỉ cần chủ quan khi thực hiện các bước trên, bọc răng sứ sẽ làm tăng nguy cơ tụt nướu, viêm lợi sau khi bọc răng sứ.

    Chăm sóc răng miệng sai cách

    Răng sứ sau khi bọc khá yếu và cần có phương pháp chăm sóc đặc biệt. Nếu chải răng quá mạnh hoặc sử dụng bàn chải lông cứng, các mô mềm quanh răng sẽ bị tổn thương khiến vi khuẩn có cơ hội xâm nhập vào kẽ hở gây tụt lợi, lộ cùi răng bên trong.

    Biến chứng bị tụt lợi khi bọc răng sứ

    Tình trạng tụt lợi nếu không được khắc phục kịp thời sẽ khiến bệnh tiến triển nặng hơn, gây ra nhiều hậu quả khôn lường. Cụ thể:

    • Tụt lợi khiến thức ăn giắt vào vị trí chân răng và hình thành ổ vi khuẩn gây hôi miệng, viêm nha chu, viêm tủy răng,...
    • Khi bị tụt nướu, cùi răng tiếp xúc trực tiếp với môi trường khoang miệng và các vi khuẩn bám vào gây sâu răng, mục răng.
    • Tụt nướu sau khi bọc răng sứ khiến các mô lợi và cấu trúc xương quanh răng bị tổn thương nghiêm trọng. Khi mất đi cấu trúc nâng đỡ khiến răng bị lung lay, thậm chí là gãy, rụng.
    • Tụt lợi khi bọc răng sứ khiến việc ăn nhai gặp khó khăn, khả năng cắn xé thức ăn bị giảm sút. Đồng thời, cùi răng sẽ hở dẫn đến tình trạng kích ứng răng, ê buốt khi ăn đồ nóng hoặc đồ lạnh.
    tụt lợi khi bọc răng sứ có thể gây ra nhiều biến chứng nguy hiểm Răng ê buốt là tình trạng thường thấy do tụt lợi khi bọc răng sứ

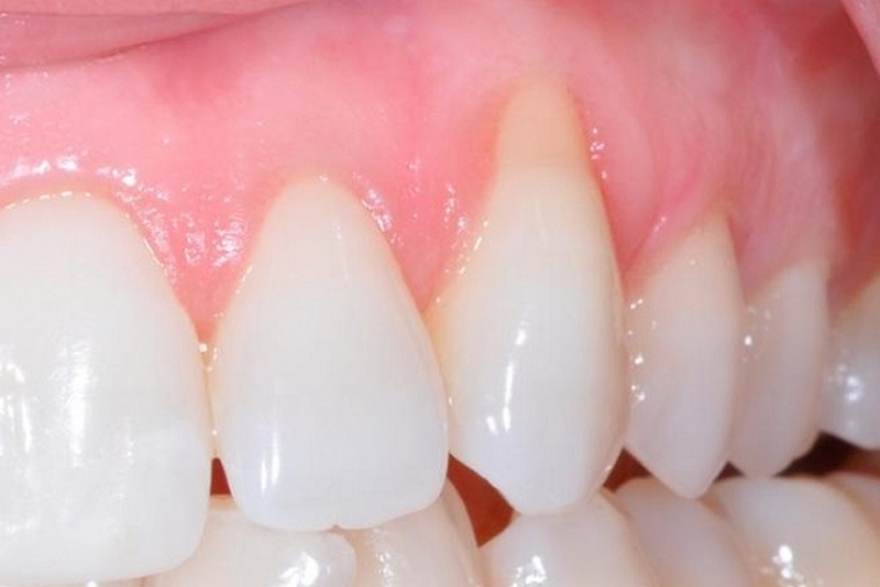
    Làm sao để khắc phục tụt lợi khi bọc răng sứ?

    Người bệnh không thể tự giải quyết tụt lợi do bọc răng sứ mà phải đến thăm khám ngay tại các cơ sở nha khoa uy tín. Muốn điều trị tình trạng này, các bác sĩ cần căn cứ vào nguyên nhân gây tụt lợi chân răng và mức độ nghiêm trọng của bệnh lý. Từng trường hợp sẽ có phương hướng điều trị khác nhau:

    • Tụt lợi do bọc răng sứ sai kỹ thuật: Nếu mão răng sứ không sát khít với cùi răng thì bác sĩ sẽ tiến hành tháo mão răng để thiết kế lại mão răng sứ phù hợp nhất. Bạn sẽ phải làm lại các bước như vệ sinh cùi răng, lấy dấu răng, và thực hiện lại các bước tương tự như lần bọc răng sứ lần đầu tiên để đảm bảo răng bền đẹp, không gây ra bất kỳ biến chứng nào.
    • Do mắc các bệnh lý răng miệng: Khi bị sâu răng, viêm nướu,... bác sĩ sẽ tháo mão răng sứ để điều trị, làm sạch vi khuẩn trong khoang miệng. Sau đó, người bệnh sẽ được bọc lại răng sứ mới chuẩn, đẹp hơn.
    • Thay đổi thói quen chăm sóc răng miệng: Bạn nên chải răng đều đặn bằng bàn chải lông mềm 2 lần/ngày, không chải răng quá mạnh và chải theo chiều kim đồng hồ để tránh làm tổn thương nướu. Với những kẽ răng nhỏ hoặc răng nằm sâu bên trong, bạn có thể sử dụng thêm chỉ nha khoa để làm sạch kẽ răng và súc miệng bằng nước muối để kháng khuẩn hiệu quả.
    Cách khắc phục tụt lợi khi bọc răng sứ Bác sĩ sẽ chẩn đoán và đưa ra hướng giải quyết phù hợp

    Trên đây là những thông tin khái quát về căn bệnh tụt lợi khi bọc răng sứ. Để tránh tình trạng này, bạn nên tìm hiểu cẩn thận và chọn những bác sĩ nha khoa có kinh nghiệm dày dặn để bảo vệ sức khỏe răng miệng cho bản thân.

    Thu Trang

    Nguồn tham khảo: Tổng hợp

    Có thể bạn quan tâm

    Thông tin và sản phẩm gợi ý trong bài viết chỉ mang tính chất tham khảo, vui lòng liên hệ với Bác sĩ, Dược sĩ hoặc chuyên viên y tế để được tư vấn cụ thể. Xem thêm

    Dược sĩ Đại học Nguyễn Tuấn Trịnh

    Đã kiểm duyệt nội dung

    Từng làm ở Viện ISDS, nhiều năm cộng tác với CDC Thái Nguyên triển khai dự án phòng chống HIV/AIDS, 2 năm cộng tác với WHO.

    Xem thêm thông tin