Tốt nghiệp Đại Học Dược Hà Nội - chuyên môn Dược lâm sàng. Hiện đang là giảng viên cho Dược sĩ tại Nhà thuốc Long Châu.
Mỹ Hạnh
24/11/2023
Mặc định
Lớn hơn
Viêm ruột thừa là một bệnh lý rất hay gặp với tỉ lệ cao. Viêm ruột thừa không khó để chẩn đoán và điều trị, tuy nhiên đây là bệnh cần phát hiện và điều trị cấp cứu kịp thời nếu không có thể dẫn đến những biến chứng nghiêm trọng. Vậy siêu âm ruột thừa có giúp chẩn đoán sớm và xử trí kịp thời hay không?
Siêu âm ruột thừa được cho là phương pháp cận lâm sàng giúp khảo sát được tình trạng ruột thừa và giúp bác sĩ chẩn đoán chính xác bệnh với mức độ tin cậy lên đến 98%. Chính vì vậy, bài viết sau đây cùng chúng ta tìm hiểu về giá trị của siêu âm ruột thừa trong việc chẩn đoán bệnh.
Viêm ruột thừa là tình trạng ruột thừa bị viêm, đây là tình trạng bệnh lý ngoại khoa cấp cứu nguy hiểm, có thể ảnh hưởng đến cả tính mạng của người bệnh. Tỷ lệ ca mắc bệnh cao nhất thường ở độ tuổi 20 - 30. Vậy nguyên nhân nào dẫn đến viêm ruột thừa?

Hiện tại còn có nhiều giả thuyết chưa được chứng minh rõ ràng về cơ chế và nguyên nhân của viêm ruột thừa cấp. Tuy nhiên nguyên nhân được đồng tình nhất là viêm ruột thừa cấp do sự tắc nghẽn trong lòng ruột thừa. Sự tắc nghẽn có thể do nhiều yếu tố như: Di vật 4%, sỏi phân (35%), phì đại các nang bạch huyết dưới niêm mạc (60%), khối u của ruột thừa hoặc manh tràng (1%).
Chẩn đoán viêm ruột thừa cấp thường thiên về lâm sàng. Tuy nhiên, với những trường hợp không điển hình thì chẩn đoán hình ảnh đóng một vai trò quan trọng nhất định. Một nghiên cứu gần đây cho thấy, việc chẩn đoán viêm ruột thừa cấp chỉ dựa vào lâm sàng có thể sai tới 30%, tuy nhiên khi kết hợp với siêu âm tỷ lệ này có thể giảm tới 15% và nếu sử dụng phương pháp chụp cắt lớp vi tính, tỷ lệ sai sót có thể giảm xuống tới 7%. Tỷ lệ tử vong của viêm ruột thừa cấp khoảng 1%, chủ yếu là do vỡ ruột thừa vì không được chẩn đoán đúng và xử trí kịp thời. Chính vì đây là một bệnh lý nguy hiểm cần được tiến hành phẫu thuật kịp thời nên khi nhận thấy các triệu chứng nghi ngờ thì cần thăm khám ngay để được tiến hành siêu âm ổ bụng để chẩn đoán.

Kỹ thuật khám nghiệm siêu âm để đánh giá ruột thừa được đề cập đến đầu tiên bởi tác giả Puylaert J.B.C.M vào năm 1986, Năm 1986, Puylaert J.B.C.M đã đưa ra kỹ thuật siêu âm ruột thừa đề cập đến vai trò đắc lực của siêu âm trong chẩn đoán và định hướng điều trị viêm ruột thừa cấp. Kỹ thuật thực hiện như sau: Bác sĩ dùng đầu dò tần số cao rồi đè ép đầu dò dần dần và nhẹ nhàng trên vùng bụng nghi ngờ có ruột thừa viêm để khảo sát và đánh giá sự tình trạng của ruột thừa xem có đang bị viêm hay không? Khi siêu âm cần đè ép đầu dò vì:
Siêu âm ruột thừa viêm có độ đặc hiệu 98,2%, độ nhạy lên đến 98,5%, giá trị tiên đoán dương tính 98%. Ngoài ra cũng rất có giá trị để chẩn đoán các bệnh khác gây đau vùng hố chậu phải như u nang buồng trứng, sỏi thận...
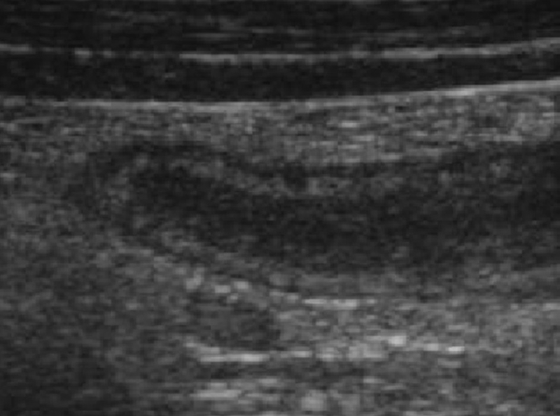
Ruột thừa là cấu trúc xuất phát từ manh tràng, có hình ống và không có nhu động. Ruột thừa bao gồm 5 lớp: Lớp thanh mạc, lớp cơ, lớp dưới niêm mạc, lớp niêm mạc và cuối cùng là lòng ruột thừa. Thành dày khoảng 2mm và có đường kính khoảng 6 - 7mm trở xuống.

Khi ruột thừa bị viêm trên siêu âm sẽ ghi nhận hình ảnh cấu trúc hình ống, chứa đầy dịch, không đè ép được, thành ruột dày và có đường kính lớn hơn 6 - 7 mm. Khi dùng đầu dò đè lên phần quai ruột cố định chính là ruột thừa viêm, đây là điểm để phân biệt với các quai ruột bình thường sẽ di động.
Thành ruột thừa dày không đồng đều, giảm hồi âm, mất cấu trúc lớp, hoặc cũng có thể thành ruột thừa mỏng, chứa đầy dịch mủ trong lòng ruột thừa. Siêu âm Doppler cho thấy cho thấy không có sự hiện diện của tín hiệu Doppler tức là đã qua giai đoạn sung huyết của thành ruột thừa.
Đối với áp xe ruột thừa, do bản chất áp xem là dịch nên có hiện tượng tăng cường âm phía sau ổ áp xe rất rõ, không có hồi âm hoặc lợn cợn hồi âm bên trong dịch nếu là dịch mủ, đôi khi có hiện diện của những bọt hơi đọng rải rác trong dịch mủ của ổ áp xe hoặc ở trên cao ổ áp xe. Siêu âm Doppler có sự gia tăng tín hiệu Doppler tức là đang có tình trạng sung huyết trên thành của ổ áp xe.
Như vậy có thể thấy siêu âm có giá trị rất cao trong chẩn đoán viêm ruột thừa cấp. Tuy nhiên siêu âm không phải lúc nào cũng dễ dàng phát hiện được viêm ruột thừa. Một số trường hợp gây trở ngại trong việc siêu âm chẩn đoán bệnh như:
Trên đây là những thông tin được Nhà thuốc Long Châu tổng hợp được về siêu âm ruột thừa. Như vậy, siêu âm là kỹ thuật không xâm lấn và được thực hiện nhanh chóng, dễ dàng. Vì vậy, khi bạn có những dấu hiệu nghi ngờ viêm ruột thừa hãy đến ngay cơ sở y tế gần nhất để được siêu âm và chẩn đoán chính xác.
Xem thêm:
:format(webp)/KF_1b_LIQ_Tx_J_Pb27_Vsh90_QN_6b_Xz_OB_Jo_U_f0e2294e2e.png)
Dược sĩ Đại họcNguyễn Chí Chương
Tốt nghiệp Đại Học Dược Hà Nội - chuyên môn Dược lâm sàng. Hiện đang là giảng viên cho Dược sĩ tại Nhà thuốc Long Châu.