• Thực phẩm chức năng

  • Dược mỹ phẩm

  • Thuốc

  • Chăm sóc cá nhân

  • Thiết bị y tế

  • Tiêm chủng

  • Bệnh & Góc sức khỏe

  • Hệ thống nhà thuốc

    1. /
    2. Góc sức khỏe/
    3. Phòng bệnh & Sống khoẻ/
    4. Kiến thức y khoa

    Hình ảnh viêm ruột thừa cấp trên siêu âm như thế nào?

    Kim Sa

    19/02/2025

    Kích thước chữ

    Việc nhận diện chính xác hình ảnh viêm ruột thừa cấp trên siêu âm giúp bác sĩ đưa ra quyết định điều trị kịp thời, tránh nguy cơ vỡ ruột thừa hoặc viêm phúc mạc. Mặc dù chẩn đoán viêm ruột thừa dựa trên lâm sàng và xét nghiệm máu, nhưng siêu âm là công cụ hữu ích để xác định tình trạng này, đặc biệt ở trẻ em, phụ nữ mang thai và bệnh nhân không thể chụp CT scan.

    Viêm ruột thừa cấp là một trong những cấp cứu ngoại khoa phổ biến nhất, đòi hỏi chẩn đoán nhanh chóng và chính xác để tránh biến chứng nguy hiểm. Trong số các phương pháp chẩn đoán, siêu âm đóng vai trò quan trọng nhờ tính nhanh chóng, an toàn và không xâm lấn. Vậy hình ảnh viêm ruột thừa cấp trên siêu âm có đặc điểm như thế nào?

    Vai trò của siêu âm trong chẩn đoán viêm ruột thừa cấp

    Siêu âm là phương pháp hình ảnh học thường được sử dụng để chẩn đoán viêm ruột thừa cấp, đặc biệt trong các trường hợp không điển hình hoặc khi cần phân biệt với các nguyên nhân đau bụng khác.

    Hình ảnh viêm ruột thừa cấp trên siêu âm như thế nào? 1
    Siêu âm là phương pháp hình ảnh học thường được sử dụng để chẩn đoán viêm ruột thừa cấp

    Dưới đây là những vai trò chính của siêu âm trong chẩn đoán viêm ruột thừa cấp:

    • Xác định viêm ruột thừa cấp: Siêu âm giúp xác định hình ảnh của ruột thừa viêm với các đặc điểm như đường kính ruột thừa ≥ 6 mm là dấu hiệu nghi ngờ viêm, thành ruột thừa dày ≥ 2 mm do phù nề. Trên mặt cắt ngang, lòng ruột thừa bị viêm được bao quanh bởi các lớp thành dày lên. Khi ấn đầu dò, ruột thừa viêm không xẹp xuống như ruột bình thường, quan sát qua Doppler màu thấy tăng tưới máu bất thường, có thể thấy dịch tự do hoặc áp xe quanh ruột thừa.
    • Hỗ trợ phân biệt với các bệnh lý khác: Siêu âm giúp loại trừ các nguyên nhân khác gây đau bụng như viêm hạch mạc treo, viêm túi thừa, sỏi niệu quản, bệnh lý phụ khoa ở nữ như u nang buồng trứng xoắn, thai ngoài tử cung,...
    • Ưu điểm của siêu âm: Không xâm lấn, không phóng xạ, an toàn cho phụ nữ có thai và trẻ em; nhanh chóng, dễ thực hiện tại giường bệnh; hiệu quả cao trong tay bác sĩ giàu kinh nghiệm.

    Như vậy, siêu âm là phương pháp đầu tay để chẩn đoán viêm ruột thừa cấp, đặc biệt là ở trẻ em và phụ nữ có thai. Tuy nhiên, nếu siêu âm không rõ ràng, cần phối hợp với chụp CT scan để xác định chẩn đoán.

    Hình ảnh viêm ruột thừa cấp trên siêu âm như thế nào? 2

    Hình ảnh viêm ruột thừa cấp trên siêu âm

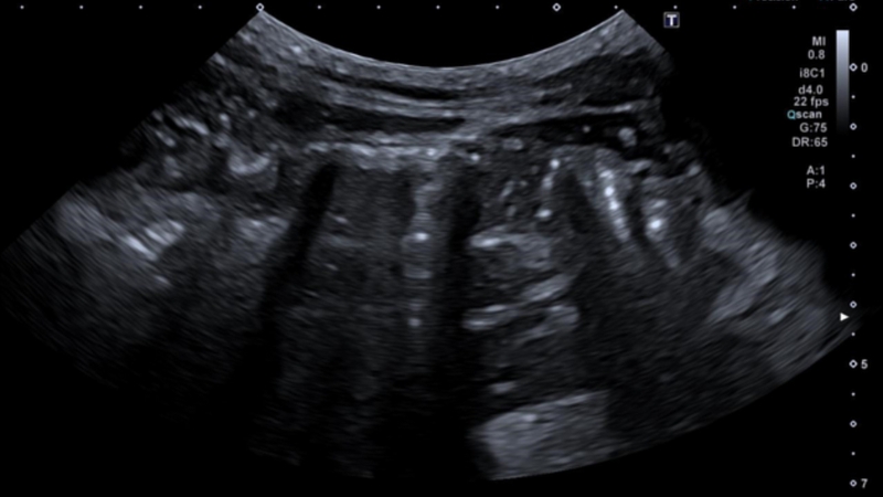
    Khi bị viêm, ruột thừa có những thay đổi đặc trưng mà bác sĩ có thể dễ dàng nhận diện thông qua hình ảnh siêu âm. Hình ảnh thường thấy của viêm ruột thừa cấp trên siêu âm có thể kể đến như: Đường kính ruột thừa gia tăng, không xẹp khi đè ép, thành ruột phù nề, thâm nhiễm mỡ và dịch xung quanh. Trong đó, thâm nhiễm mỡ được xem là dấu hiệu quan trọng nhất vì cho thấy tình trạng viêm.

    Đặc điểm chung của hình ảnh ruột thừa cấp trên siêu âm

    Một số đặc điểm chung của hình ảnh viêm ruột thừa cấp trên siêu âm có thể kể đến như:

    • Ruột thừa giãn rộng: Đường kính ruột thừa vượt quá 6mm, đây là dấu hiệu quan trọng giúp chẩn đoán viêm ruột thừa. Lòng ruột thừa có thể chứa dịch hoặc mủ, làm giãn rộng thành ruột thừa. Nếu tình trạng viêm kéo dài, ruột thừa có thể chứa nhiều khí hoặc hình thành áp xe.
    • Thành ruột thừa dày: Đây là một trong những dấu hiệu viêm cấp tính. Thành ruột thừa dày lên rõ rệt, thường lớn hơn 3mm. Quan sát thấy hiện tượng tăng sinh mạch máu tại vùng viêm khi sử dụng siêu âm Doppler màu. Thành ruột có thể mất cấu trúc bình thường do phù nề và viêm lan rộng.
    • Dấu hiệu "Target Sign" (hình bia ngắm đặc trưng): Trên mặt cắt ngang, ruột thừa viêm tạo nên hình ảnh nhiều vòng đồng tâm, giống như bia ngắm. Cấu trúc này xuất hiện do sự chồng lớp của thành ruột thừa bị viêm và các mô xung quanh. Đây là một trong những dấu hiệu giúp bác sĩ phân biệt viêm ruột thừa với các bệnh lý khác ở vùng bụng dưới.
    • Mất khả năng nén: Khi bác sĩ ấn đầu dò siêu âm lên vùng hố chậu phải, ruột thừa bình thường sẽ bị ép xẹp xuống. Tuy nhiên, khi bị viêm, ruột thừa không thể xẹp lại, do thành dày và có tình trạng phù nề. Dấu hiệu này đặc biệt hữu ích trong việc phân biệt viêm ruột thừa với các bệnh lý đường ruột khác.
    • Sự xuất hiện của dịch tự do ở hố chậu phải: Dịch tự do quanh ruột thừa có thể xuất hiện, đặc biệt trong trường hợp viêm nặng hoặc vỡ ruột thừa. Nếu có khí trong ổ bụng, đây là dấu hiệu nguy hiểm cho thấy ruột thừa có thể đã thủng, dẫn đến viêm phúc mạc. Trong một số trường hợp, áp xe quanh ruột thừa có thể hình thành, khiến tình trạng viêm lan rộng.
    Hình ảnh viêm ruột thừa cấp trên siêu âm như thế nào? 3
    Hình ảnh viêm ruột thừa cấp trên siêu âm

    Hình ảnh viêm ruột thừa cấp trên siêu âm theo từng thể bệnh

    Mỗi thể bệnh có thể biểu hiện khác nhau trên hình ảnh siêu âm:

    Viêm ruột thừa cấp tính đơn thuần

    Ở thể đơn thuần, siêu âm có thể ghi nhận những đặc điểm sau:

    • Mặt cắt dọc: Ruột thừa có hình ống với một đầu kín, thường được gọi là “dấu hiệu ngón tay”.
    • Mặt cắt ngang: Hình ảnh ruột thừa tròn, giống như bia đạn, với các vòng đồng tâm.
    • Đường kính ruột thừa viêm: Thường lớn hơn 6mm và không xẹp khi ấn đầu dò.
    • Thành ruột thừa dày: Trên 3mm, ranh giới giữa các lớp thành bị xóa do viêm phù nề.
    • Điểm đau McBurney (+): Khi ấn đầu dò vào vị trí nghi ngờ, bệnh nhân có cảm giác đau rõ rệt.
    • Siêu âm Doppler: Ghi nhận tăng tín hiệu mạch máu ở thành ruột thừa, gợi ý tình trạng viêm xung huyết.
    • Dấu hiệu phụ: Có thể thấy sỏi ruột thừa, dịch bất thường quanh ruột thừa hoặc tụ dịch vùng thấp.

    Viêm ruột thừa hoại tử nung mủ

    Thể hoại tử nung mủ có những đặc điểm đặc trưng trên siêu âm như:

    • Thành ruột thừa dày nhưng không đồng đều, mất cấu trúc phân lớp bình thường và giảm hồi âm.
    • Một số trường hợp có thể quan sát thấy thành ruột mỏng với dịch mủ bên trong.
    • Khi siêu âm Doppler, tín hiệu mạch máu bị giảm, cho thấy tình trạng thiếu máu nuôi.

    Áp xe ruột thừa

    Trường hợp viêm ruột thừa tiến triển thành áp xe, siêu âm có thể ghi nhận:

    • Khối áp xe có hồi âm kém hoặc hỗn hợp, có thể chứa hơi và được bao quanh bởi giới hạn rõ ràng.
    • Nếu ruột thừa bị hoại tử hoàn toàn và không còn nhận diện được trên siêu âm, dấu hiệu quan trọng nhất là sự hiện diện của sỏi ruột thừa trong ổ áp xe.
    Hình ảnh viêm ruột thừa cấp trên siêu âm như thế nào? 4
    Hình ảnh siêu âm viêm ruột thừa tiến triển thành áp xe

    Chẩn đoán phân biệt viêm ruột thừa cấp trên siêu âm

    Trong quá trình chẩn đoán viêm ruột thừa cấp bằng siêu âm, bác sĩ cần lưu ý đến một số bệnh lý khác có hình ảnh tương tự để tránh nhầm lẫn. Dưới đây là ba bệnh thường gặp có thể bị nhầm với viêm ruột thừa và cách phân biệt trên siêu âm:

    Viêm hạch mạc treo

    Đặc điểm: Viêm hạch mạc treo tình trạng viêm của các hạch bạch huyết trong khoang bụng, thường gặp ở trẻ em. Thường do nhiễm virus hoặc vi khuẩn, có thể đi kèm sốt và đau bụng phải.

    Hình ảnh siêu âm: Xuất hiện nhiều hạch bạch huyết to (> 5mm) tập trung quanh ruột thừa hoặc trong vùng bụng dưới phải. Không thấy hình ảnh ruột thừa giãn rộng hay viêm. Dấu hiệu mất khả năng nén thường không có như trong viêm ruột thừa.

    Cách phân biệt: Trong viêm ruột thừa, ruột thừa có hình ảnh Target Sign, thành dày, giãn rộng, trong khi viêm hạch mạc treo chỉ có hạch to nhưng không ảnh hưởng đến ruột thừa.

    Bệnh Crohn

    Đặc điểm: Bệnh Crohn (hay còn được gọi là viêm ruột mạn tính từng vùng) là bệnh viêm mạn tính của đường tiêu hóa, có thể ảnh hưởng đến hồi tràng (đoạn ruột gần ruột thừa). Triệu chứng thường gặp là đau bụng, tiêu chảy kéo dài, sụt cân, đôi khi có xuất hiện tình trạng sốt.

    Hình ảnh siêu âm: Thành ruột dày lên một cách lan tỏa, không chỉ riêng ruột thừa mà còn ở các đoạn ruột khác. Có thể xuất hiện hẹp lòng ruột, áp xe hoặc dò ruột, dấu hiệu không có trong viêm ruột thừa cấp. Không có hình ảnh "Target Sign" đặc trưng.

    Cách phân biệt: Trong bệnh Crohn, tổn thương thường ảnh hưởng đến nhiều đoạn ruột và kéo dài theo thời gian. Trong khi đó, viêm ruột thừa diễn ra cấp tính và chỉ khu trú ở ruột thừa.

    Hình ảnh viêm ruột thừa cấp trên siêu âm như thế nào? 5
    Bệnh Crohn có thể bị nhầm với viêm ruột thừa

    Viêm túi thừa manh tràng

    Đặc điểm: Xuất hiện chủ yếu ở người lớn tuổi, đặc biệt là những người có tiền sử viêm túi thừa. Gây đau bụng ở hố chậu phải, tương tự viêm ruột thừa.

    Hình ảnh siêu âm: Xuất hiện túi thừa bị viêm ở manh tràng (gần vị trí ruột thừa). Có thể thấy dịch hoặc khí quanh túi thừa bị viêm. Không có hình ảnh ruột thừa giãn rộng hay dấu hiệu "Target Sign".

    Cách phân biệt: Viêm túi thừa thường không làm giãn rộng ruột thừa, và có thể đi kèm với nhiều túi thừa khác trong đại tràng.

    Viêm ruột thừa cấp là một tình trạng nguy hiểm, đòi hỏi chẩn đoán và điều trị nhanh chóng. Hình ảnh viêm ruột thừa cấp trên siêu âm đóng vai trò quan trọng trong xác định bệnh, giúp bác sĩ đưa ra hướng xử lý phù hợp. Nếu phát hiện các dấu hiệu nghi ngờ viêm ruột thừa, hãy đến ngay bệnh viện để kiểm tra và can thiệp kịp thời, tránh biến chứng nghiêm trọng.

    Thông tin và sản phẩm gợi ý trong bài viết chỉ mang tính chất tham khảo, vui lòng liên hệ với Bác sĩ, Dược sĩ hoặc chuyên viên y tế để được tư vấn cụ thể. Xem thêm

    Dược sĩ Đại họcTrần Huỳnh Minh Nhật

    Đã kiểm duyệt nội dung

    Dược sĩ chuyên khoa Dược lý - Dược lâm sàng. Tốt nghiệp 2 trường đại học Mở và Y Dược TP. Hồ Chí Minh. Có kinh nghiệm nghiên cứu về lĩnh vực sức khỏe, đạt được nhiều giải thưởng khoa học. Hiện là Dược sĩ chuyên môn phụ trách xây dựng nội dung và triển khai dự án đào tạo - Hội đồng chuyên môn tại Nhà thuốc Long Châu.

    Xem thêm thông tin