Tốt nghiệp Đại học Dược Hà Nội, với hơn 10 năm kinh nghiệm trong lĩnh vực Dược phẩm. Hiện là giảng viên giảng dạy các môn Dược lý, Dược lâm sàng,...
Thị Diểm
26/07/2024
Mặc định
Lớn hơn
Chỉnh nha là một trong những phương pháp điều trị nhằm khắc phục các sai lệch khớp cắn như hô, móm,... giúp bạn có nụ cười tỏa sáng. Trong bài viết dưới đây, Nhà thuốc Long Châu sẽ cùng bạn giải đáp vì sao sắp tháo niềng mà răng vẫn cụp.
Vì sao sắp tháo niềng mà răng vẫn cụp? Liệu đây có phải là một biến chứng hiếm gặp trong quá trình chỉnh nha hay không? Mời bạn đón đọc bài viết bên dưới để có câu trả lời chi tiết nhất nhé.
Có 5 giai đoạn niềng răng nhất định bạn sẽ phải trải qua:

Nắn chỉnh răng có đau hay không phụ thuộc nhiều vào kỹ thuật, kinh nghiệm của bác sĩ. Do đó, việc lựa chọn một nha khoa uy tín là rất quan trọng. Đọc tiếp để tìm hiểu tình trạng sắp tháo niềng mà răng vẫn cụp bạn nhé!
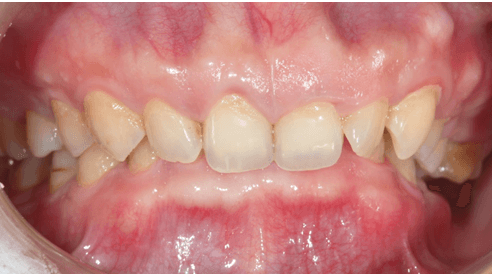
Răng cụp là một tình trạng sai lệch khớp cắn cần được điều chỉnh bằng phương pháp chỉnh nha. Tuy nhiên, đôi khi tình trạng này lại xuất hiện như một biến chứng của quá trình chỉnh nha.
Răng cụp có đặc điểm chính là răng mọc nghiêng vào trong, không đặt đúng trục so với các răng xung quanh. Điều này khiến cho chân răng không nằm hoàn toàn trong xương, gây ra nhiều vấn đề về chức năng và thẩm mỹ của răng miệng.
Các đặc điểm của răng cụp bao gồm:

Răng cụp có thể gây ra nhiều ảnh hưởng không tốt đến sức khỏe răng miệng và cũng như tính thẩm mỹ.
Nguyên nhân và các biện pháp phòng tránh tình trạng sắp tháo niềng mà răng vẫn cụp là một chủ đề quan trọng đối với những người đang trong quá trình điều trị nha khoa. Dưới đây là một số nguyên nhân cụ thể có thể gây ra hiện tượng cụp răng và các biện pháp phòng tránh:

Trên đây là một số thông tin liên quan đến tình trạng sắp tháo niềng mà răng vẫn cụp. Hy vọng rằng thông qua bài viết này của Nhà thuốc Long Châu, bạn đã có thêm kiến thức về lĩnh vực nha khoa, giúp bạn nhận biết và hiểu rõ hơn về tình trạng của chính mình. Nếu bạn nhận thấy có bất kỳ dấu hiệu nào không bình thường liên quan đến răng của mình, đừng ngần ngại trò chuyện với bác sĩ của bạn để họ có thể điều chỉnh phương pháp điều trị kịp thời trước khi kết thúc quá trình điều trị.
Xem thêm:
Dược sĩ Đại họcNguyễn Thanh Hải
Tốt nghiệp Đại học Dược Hà Nội, với hơn 10 năm kinh nghiệm trong lĩnh vực Dược phẩm. Hiện là giảng viên giảng dạy các môn Dược lý, Dược lâm sàng,...