• Thực phẩm chức năng

  • Dược mỹ phẩm

  • Thuốc

  • Chăm sóc cá nhân

  • Thiết bị y tế

  • Tiêm chủng

  • Bệnh & Góc sức khỏe

  • Hệ thống nhà thuốc

    1. /
    2. Góc sức khỏe/
    3. Phòng bệnh & Sống khoẻ

    Viêm cân gan chân bao lâu thì khỏi?

    17/04/2025

    Kích thước chữ

    "Viêm cân gan chân bao lâu thì khỏi" là một câu hỏi thắc mắc nhận được từ người bệnh mắc viêm cân gan chân tái phát nhiều lần trong thời gian dài. Việc điều trị viêm cân gan chân cũng tốn nhiều thời gian và tiền bạc nếu bệnh trong tình trạng nặng và muốn trị dứt điểm.

    Theo các y bác sĩ lâu năm trong nghề thì viêm cân gan chân là một chứng bệnh phổ biến ở độ tuổi trung niên hoặc nhóm tuổi trẻ khi có thói quen như đi nhiều, đứng lâu, người bị thừa cân béo phì, các động vận viên.

    Viêm cân gan chân bao lâu thì khỏi ? Bệnh viện nào tại TPHCM có thể điều trị viêm cân gan chân lâu năm 1 Viêm cân gan chân bao lâu thì khỏi?

    Việc điều trị viêm cân gan chân cũng tốn nhiều thời gian và tiền bạc nếu bệnh trong tình trạng nặng và muốn trị dứt điểm. Hãy cùng xem qua một vài biểu hiện cho căn bệnh này nhé.

    Biểu hiện giai đoạn đầu của căn bệnh viêm cân gan chân

    Giai đoạn đầu của viêm cân gan chân, người bệnh thường có biểu hiện cảm thấy phần gan chân đau nhói khi vừa bước xuống giường sau khi ngủ dậy. Cảm giác không kéo dài mà sẽ biến mất ngay sau bước đi vài bước.

    Tình trạng này sẽ lặp lại thường xuyên hơn và cảm giác đau ngày càng rõ rệt. Thời gian hết cơn đau cũng kéo dài và thậm chí đôi lúc càng đi càng đau. Giai đoạn này trong xương gan dưới lòng bàn chân đã hình thành một cái gai, đó chính là tình trạng viêm cân gan chân.

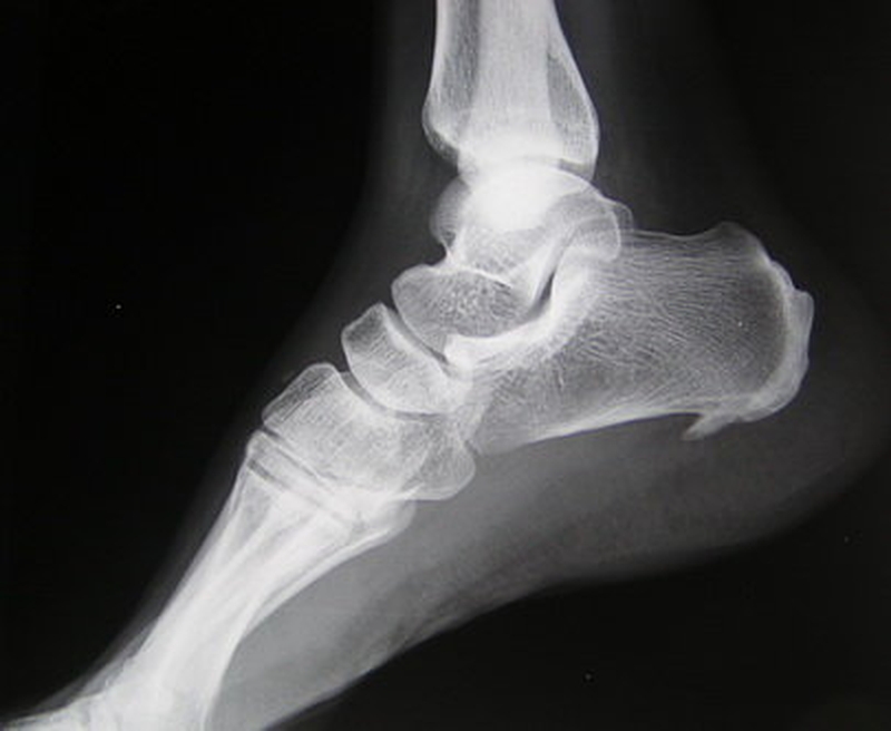
    Viêm cân gan chân bao lâu thì khỏi ? Bệnh viện nào tại TPHCM có thể điều trị viêm cân gan chân lâu năm 2 Hình chụp phần xương của một bệnh nhân mắc viêm cân gan chân.

    Đây là một cơ chế bệnh lý chung viêm cân gan mãn tính mà nguyên nhân là do nhiều lần bị chấn thương nhỏ, lặp lại nhiều lần kèm theo tình trạng thiếu máu nuôi gân. Có thể hiểu cọng gân chân như một dây thép, bẻ một lần dây thép không đứt nhưng nếu cứ bẻ qua lại nhiều lần thì sẽ bị đứt.

    Gân cũng như thế, các sợi collagen sắp xếp lộn xộn, mạch máu nuôi gân giảm thiểu. Viêm cân gan chân đôi khi kèm theo việc chèn ép nhánh thần kinh gan chân khiến bệnh nhân cảm giác tê vùng gan chân.

    Làm sao để kiểm tra và chẩn đoán được căn bệnh viêm cân gan chân?

    Đầu tiên sẽ có các bài tập kiểm tra tổng quát giúp bạn xác định được chính xác chỗ đau tại vị trí nào. Quá trình này nhằm biết được nguyên nhân chính xác gây ra cơn đau trong xương cho bạn là do viêm cân gan bàn chân chứ không phải bất kỳ nguyên do nào khác.

    Bạn sẽ phải co, duỗi bàn chân để biết được khi cân gan bàn chân được đẩy, bạn có cảm thấy đau hơn không. Các dấu hiệu về khu vực xung quanh chỗ đau ửng đỏ, sưng tấy cũng được chú ý.

    Viêm cân gan chân bao lâu thì khỏi ? Bệnh viện nào tại TPHCM có thể điều trị viêm cân gan chân lâu năm 3 Làm sao để chẩn đoán chính xác căn bệnh viêm cân gan chân?

    Các yếu tố để đánh giá chính xác tình trạng của bạn bao gồm: Độ săn cơ bắp, sự thăng bằng, phản xạ, cảm giác khi nhìn và chạm, sự phối hợp. Bạn cũng có thể chụp X-ray hoặc MRI để xác định được chỗ gãy trong xương.

    Điều trị viêm cân gan chân bao lâu thì khỏi?

    Việc chữa trị viêm cân gan chân luôn cần ở người bệnh nhiều thời gian và sự kiên nhẫn khi phải phối hợp giữa các bài tập vật lý trị liệu căng giãn gân, thuốc kết hợp và các dụng cụ hỗ trợ giảm thiểu tình trạng chấn thương, tác động đến vùng gan chân như đế lót giày, nẹp,…

    Hiện nay có giải pháp chích corticoid giúp người mắc viêm cân gan chân giảm cơn đau hiệu quả. Ngoài ra còn có một phương pháp đòi hỏi phải qua tiểu phẫu khi dùng radiofrequency kích thích vào điểm bám của gân với hi vọng kích thích sự tăng sinh mạch máu nhằm giải quyết triệt để nguyên nhân gây đau.

    Phương pháp sử dụng radiofrequency kể trên đã được triển khai thực hiện tại Việt Nam hơn 10 năm nay. Theo các báo cáo về kết quả điều trị của Bệnh viện Đại học Y dược tại hội nghị chuyên ngành chấn thương chỉnh hình thì có đến 94% bệnh nhân giảm cơn đau hiệu quả khi các giải pháp uống và chích thuốc thất bại.

    Hiện tại những bệnh nhân mắc viêm cân gan chân tại TPHCM để được phát hiện, chẩn đoán và điều trị sớm có thể thăm khám trực tiếp tại phòng khám cơ xương khớp ở các Bệnh viện Chợ Rẫy, Bệnh viện 115, Bệnh viện Đại học Y dược cơ sở 1, Bệnh viện Chấn thương chỉnh hình.

    Quá trình phục hồi sau viêm cân gan chân

    Sau quá trình điều trị, đa số người bệnh sẽ cảm thấy ổn định hơn trong thời gian điều trị tại nhà kết hợp chế độ nghỉ ngơi hợp lý, chườm đá và co giãn cơ.

    Trong trường hợp nhẹ, bạn có thể cố định bàn chân để hỗ trợ quá trình phục hồi hiệu quả. Hạn chế hoạt động dây chằng. Theo một số đánh giá từ 2015, động tác nhịp chân cũng giúp giảm đau phần gan chân.

    Viêm cân gan chân bao lâu thì khỏi ? Bệnh viện nào tại TPHCM có thể điều trị viêm cân gan chân lâu năm 4 Bài tập cho người mắc viêm cân gan chân.

    Có thể sử dụng băng oxit kẽm, băng kinesiology và để trở nên thành thục hơn, bạn có thể tự luyện tập băng chân mỗi ngày. Nếu băng đúng cách thì quá trình hồi phục của bạn sẽ càng thuận lợi và nhanh hơn.

    Viêm cân gan chân bao lâu thì khỏi còn tùy thuộc vào tình trạng bệnh, sự kiên nhẫn và cách điều trị của từng bệnh nhân. Đa số bệnh nhân mắc phải viêm cân gan chân đều có thể cải thiện tại nhà thông qua các bài tập vật lý trị liệu kết hợp chế độ kiêng cữ đúng và điều trị y tế. Thời gian có thể mất từ 2 tháng hoặc lên đến vài năm cho việc điều trị căn bệnh này.

    Xem thêm

    3 loại thuốc đặc trị viêm cân gan chân và cách phòng ngừa

    Cách chữa viêm cân gan bàn chân bằng phương pháp huyết tương

    Thông tin và sản phẩm gợi ý trong bài viết chỉ mang tính chất tham khảo, vui lòng liên hệ với Bác sĩ, Dược sĩ hoặc chuyên viên y tế để được tư vấn cụ thể. Xem thêm

    Dược sĩ Đại họcTrần Huỳnh Minh Nhật

    Đã kiểm duyệt nội dung

    Dược sĩ chuyên khoa Dược lý - Dược lâm sàng. Tốt nghiệp 2 trường đại học Mở và Y Dược TP. Hồ Chí Minh. Có kinh nghiệm nghiên cứu về lĩnh vực sức khỏe, đạt được nhiều giải thưởng khoa học. Hiện là Dược sĩ chuyên môn phụ trách xây dựng nội dung và triển khai dự án đào tạo - Hội đồng chuyên môn tại Nhà thuốc Long Châu.

    Xem thêm thông tin