Tốt nghiệp Khoa Dược trường Đại học Nam Cần Thơ. Có nhiều năm kinh nghiệm công tác trong lĩnh vực Dược phẩm. Hiện đang giảng viên cho Dược sĩ tại Nhà thuốc Long Châu.
Bảo Hân
22/04/2025
Mặc định
Lớn hơn
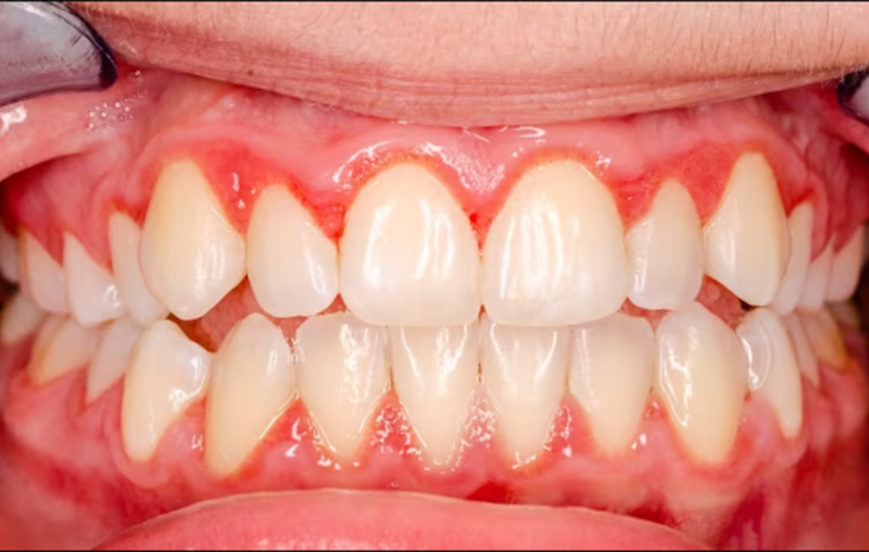
Viêm lợi là một tình trạng thường gặp cả người lớn và trẻ nhỏ tuy nhiên lại ít được quan tâm do các triệu chứng có thể không rõ ban đầu, khi bắt đầu sưng và viêm bệnh nhân mới bắt đầu điều trị. Viêm lợi sưng má gây đau nhức, ảnh hưởng đến sinh hoạt thường ngày, nếu không phát hiện và điều trị kịp thời sẽ tiến triển thành viêm nha chu.
Viêm lợi sưng má là một bệnh lý phổ biến. Đã có thống kê cho thấy gần 90% dân số thế giới gặp phải tình trạng viêm lợi. Nếu không điều trị sớm và đúng cách, bệnh sẽ biến chứng ảnh hưởng nghiêm trọng đến sức khỏe và chất lượng cuộc sống. Tuy đây là căn bệnh dễ gặp nhưng có thể phòng tránh thông qua sinh hoạt hằng ngày.
Lợi (hay còn gọi là nướu) là phần mô bao bọc xung quanh xương hàm trên và dưới. Lợi có nhiệm vụ bảo vệ và che chắn cho chân răng. Trong sức khỏe răng miệng, lợi khỏe mạnh thường săn chắc, có màu hồng nhạt, không sưng hay chảy máu và không có mùi khó chịu.
Viêm lợi sưng má là tình trạng lợi bị viêm, dẫn đến hiện tượng sưng má và kèm cảm gia giác đau nhức, khó chịu, khiến người bệnh gặp khó khăn trong việc mở miệng, nói chuyện hay nhai thức ăn gặp khó khăn.
Các triệu chứng ban đầu của viêm lợi sưng má thường không đặc trưng, tuy nhiên bạn có thể nhận biết qua các dấu hiệu như sau:

Tuy nhiên đôi khi viêm lợi không gây sưng má, hay sưng đỏ, người bệnh thường không nhận thấy bản thân đang gặp tình trạng viêm lợi da triệu chứng nhẹ ban đầu. Tình trạng này nếu xuất hiện thường xuyên mà không kịp ngăn chặn sẽ dẫn đến viêm nha chu với các triệu chứng như sau:
Mặc dù không gây nguy hiểm nhiều đến tính mạng viêm lợi sưng má nhưng gây ảnh hưởng nhiều đến chất lượng cuộc sống, hệ lụy nếu không điều trị kịp thời gây những bệnh lý sau:
Tình trạng viêm lợi sưng má nếu diễn ra trong khoảng thời gian dài, vi khuẩn sẽ lan đến chân răng, phá hủy chân răng dẫn đến chết tủy. Gây cảm giác đau nhức dai dẳng vùng chân răng, răng miệng là nơi có nhiều dây thần kinh do đó cơn đau sẽ lan lên tận óc gây nhức đầu, mệt mỏi, chán chường. Nếu điều trị lúc này cần lấy tủy hoặc thay bằng răng giả.
Tụt lợi hay lợi tách khỏi nướu là tình trạng nặng của viêm lợi sưng má. Điều này làm chân răng không có chỗ bám, không có dinh dưỡng nuôi răng và răng yếu, vi khuẩn dễ dàng phá hủy men răng, răng lung lay dẫn đến rụng răng hoặc phải nhổ bỏ hoàn toàn.
Trường hợp viêm lợi sưng má kéo dài có thể ảnh hưởng đến sức khỏe toàn thân, dẫn đến nguy cơ đột quỵ tăng cao, gây đau tim và viêm phổi.
Do những biến chứng có thể gặp phải như trên mà người bệnh không nên chủ quan dù viêm lợi mới ở giai đoạn đầu. Khi nhận thấy các triệu chứng, người bệnh cần tìm hiểu nguyên nhân và đến các cơ sở nha khoa thăm khám.
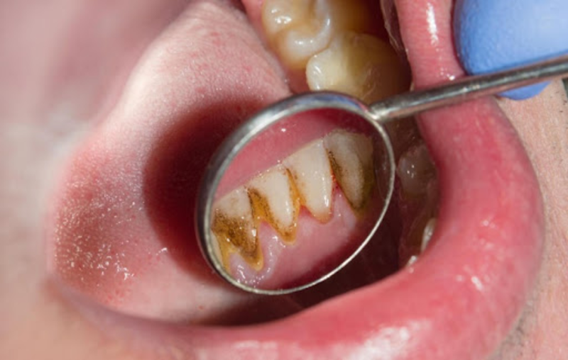
Nguyên nhân chủ yếu của bệnh lý viêm lợi sưng má là do mảng bám và cao răng tích tụ lâu ngày ở kẽ răng hoặc dưới nướu, những nơi thường bị bỏ sót khi vệ sinh răng không kỹ. Các mảng bám này là các mảng vi khuẩn và thức ăn hằng ngày, không gian kín là điều kiện thuận lợi cho vi khuẩn tích tụ. Lâu ngày dẫn đến kích ứng, vi khuẩn tích tụ gây viêm.
Tình trạng này dễ gặp hơn ở các hàm răng khấp khểnh, răng bị lệch khớp cắn do răng mọc xiêu vẹo, các kẽ giữa hai răng khó xử lý khi chỉ vệ sinh răng thông thường, tăng nguy cơ gặp phải các tổn thương nghiêm trọng hơn ở vùng nướu lợi.

Ngoài ra nguyên nhân có thể đến từ các yếu tố nguy cơ sau:
Nếu như tình trạng không quá nặng, chúng ta có thể điều trị viêm lợi sưng má:
Để điều trị tình trạng viêm lợi sưng má hiệu quả, bạn cần xác định được nguyên nhân bắt nguồn và tác nhân kích thích, tạo một môi trường sạch sẽ để không bị lây nhiễm vi khuẩn ở trong khoang miệng.
Sử dụng nước muối
Nước muối sinh lý hoặc nước muối hòa tan đều có thể giúp giảm viêm, kháng khuẩn, sát trùng vết thương. Ngoài ra nước muối cũng giúp cải thiện sức khỏe răng miệng.
Nếu đang bị viêm lợi sưng má, bạn có thể tự pha nước muối tại nhà, khuyến khích ở tỷ lệ 9g cho 1 lít nước tương đương nước muối sinh lý 0,9%. Súc miệng 2 - 3 lần một ngày, sau các bữa ăn, áp dụng liên tục sẽ cải thiện được tình trạng viêm.
Mật ong tự nhiên
Mật ong nổi tiếng với nhiều công dụng cho sức khỏe, trong đó kháng khuẩn là công dụng vô cùng hiệu quả để cải thiện tình trạng viêm lợi sưng má, mật ong sẽ sát khuẩn vết thương, vết viêm ở lợi, ngoài ra cải thiện các tình trạng như lở loét ở miệng.
Sau khi vệ sinh răng sạch, bạn bôi trực tiếp một lượng mật ong hoặc ngậm mật ong trong 15 - 20 phút rồi súc miệng lại với nước. Thực hiện hằng ngày.

Việc khó nhận biết triệu chứng dẫn đến rất nhiều bệnh nhân không biết tình trạng răng miệng của mình, đây là nguyên nhân chủ yếu dẫn đến số lượng người mắc triệu chứng viêm lợi sưng má tăng cao. Nhưng khi đến nha khoa thường các bệnh nhân đều ở tình trạng khá nặng, dẫn đến chi phí điều trị cao. Để tránh tình trạng nặng ảnh hưởng đến cả sức khỏe thể chất và tinh thần, chúng ta cần bảo vệ răng miệng bằng các cách sau:
Thông qua bài viết trên, hy vọng đã giúp bạn hiểu hơn về tình trạng viêm lợi sưng má và có cho mình những biện pháp phòng tránh phù hợp. Hãy trang bị cho mình và mọi người xung quanh lối sống lành mạnh để sức khỏe răng miệng không ảnh hưởng xấu đến cuộc sống của bạn nhé!
Xem thêm: Nguyên nhân gây viêm lợi ở trẻ em 1 tuổi và cách điều trị
Dược sĩ Đại họcNguyễn Thị Thảo Nguyên
Tốt nghiệp Khoa Dược trường Đại học Nam Cần Thơ. Có nhiều năm kinh nghiệm công tác trong lĩnh vực Dược phẩm. Hiện đang giảng viên cho Dược sĩ tại Nhà thuốc Long Châu.