Tốt nghiệp Đại học Y Dược TP. Hồ Chí Minh. Có nhiều năm trong lĩnh vực dược phẩm. Hiện đang là giảng viên cho Dược sĩ tại Nhà thuốc Long Châu.
Thanh Hương
30/12/2025
Mặc định
Lớn hơn
Amidan là một bộ phận quan trọng trong hệ miễn dịch của cơ thể. Ngay trong bài viết này, chúng ta sẽ cùng tìm hiểu amidan có tác dụng gì cũng như cách chăm sóc để amidan luôn khỏe mạnh.
Amidan là một trong những cơ quan thuộc hệ miễn dịch, đóng vai trò bảo vệ cơ thể khỏi các vi khuẩn, virus xâm nhập qua đường hô hấp. Nhưng đôi khi amidan bị viêm nhiễm, gây đau đớn và khó chịu. Việc tìm hiểu amidan có tác dụng gì cũng như các vấn đề thường gặp với amidan giúp chúng ta biết chăm sóc bộ phận này đúng cách.
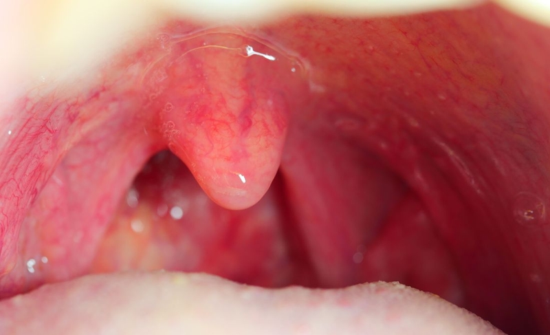
Amidan là khối mô bạch huyết nằm ở hai bên thành họng, đóng vai trò như hàng rào miễn dịch đầu tiên, giúp ngăn vi khuẩn và virus xâm nhập cơ thể bằng cách sản xuất kháng thể. Amidan hoạt động mạnh ở trẻ em nhưng dễ bị viêm, gây đau họng và sốt.
Về mặt giải phẫu, amidan là các tổ chức lympho, chứa nhiều tế bào bạch cầu. Thông thường, chúng ta ít để ý đến amidan nhưng nó lại đóng vai trò vô cùng quan trọng trong hệ miễn dịch của cơ thể. Giống như những “chiến binh thầm lặng”, amidan luôn sẵn sàng chống lại các tác nhân gây bệnh xâm nhập vào cơ thể qua đường hô hấp.
Đầu tiên, amidan sản xuất các kháng thể IgA (Immunoglobulin A). Đây là một loại kháng thể chủ yếu trong niêm mạc đường hô hấp. Các kháng thể này giúp ngăn chặn các tác nhân gây bệnh bám vào các tế bào niêm mạc trong họng và miệng, hạn chế sự phát triển của chúng ngay tại chỗ.
Khi các vi khuẩn hoặc virus xâm nhập vào khoang miệng, amidan sẽ nhanh chóng nhận diện và kích hoạt phản ứng miễn dịch. Các tế bào bạch cầu trong amidan sẽ sản xuất ra kháng thể đặc hiệu để tiêu diệt hoặc vô hiệu hóa vi khuẩn và virus. Điều này giúp hạn chế tác nhân gây bệnh tấn công sâu vào cơ thể.

Ngoài ra, amidan giúp tạo ra "bộ nhớ miễn dịch" thông qua việc ghi nhớ các tác nhân gây bệnh mà nó đã tiếp xúc. Khi cơ thể gặp lại những tác nhân đó trong tương lai, hệ miễn dịch sẽ phản ứng nhanh chóng và hiệu quả hơn.
Giống như bất cứ bộ phận nào khác trên cơ thể, amidan cũng có thể gặp các vấn đề bất thường như:
Viêm amidan là tình trạng viêm nhiễm xảy ra khi amidan bị tấn công bởi vi khuẩn hoặc virus, như liên cầu khuẩn nhóm A, virus cúm hoặc virus cảm lạnh. Các tác nhân gây bệnh này có thể lây qua đường hô hấp khi người bệnh tiếp xúc gần gũi với người nhiễm bệnh hoặc do thời tiết thay đổi và không khí lạnh. Dấu hiệu của viêm amidan bao gồm đau họng, sốt cao, khó nuốt. Amidan sưng to, đỏ, có thể có mảng mủ trắng. Ngoài ra, người bệnh còn có thể bị hôi miệng do nhiễm trùng.
Khi viêm amidan tái phát nhiều lần trong năm, bệnh có thể chuyển sang mãn tính. Nếu không được điều trị kịp thời, viêm amidan có thể dẫn đến các biến chứng nghiêm trọng như: Áp xe amidan, viêm tai giữa, và nhiễm trùng huyết.
Amidan phì đại xảy ra khi amidan bị viêm nhiễm nhiều lần hoặc viêm mạn tính, khiến chúng phát triển và phình to. Tình trạng này có thể gây ảnh hưởng lớn đến đường hô hấp. Đặc biệt là khi amidan phì đại làm tắc nghẽn đường thở, gây khó khăn trong việc thở và ngáy to khi ngủ. Amidan lớn làm hẹp đường thở có thể gây ngưng thở khi ngủ. Ngoài ra, amidan phì đại còn ảnh hưởng đến khả năng nuốt thức ăn và nước.

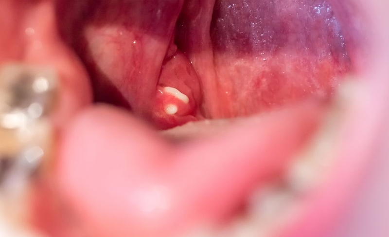
Biết amidan có tác dụng gì nhưng không vệ sinh răng miệng cẩn thận, bất cứ ai trong chúng ta cũng có thể bị sỏi amidan. Sỏi amidan là những mảng vôi hóa hình thành từ cặn thức ăn, tế bào chết và vi khuẩn mắc kẹt trong hốc amidan. Chúng thường gây hôi miệng dai dẳng, đau họng, nuốt vướng. Đôi khi người bệnh còn ho ra cục nhỏ màu trắng có mùi khó chịu. Sỏi amidan có thể tự bong ra hoặc cần can thiệp y tế nếu gây viêm nhiễm. Trong trường hợp sỏi lớn, bác sĩ có thể chỉ định lấy sỏi hoặc cắt amidan nếu tái phát nhiều lần.
Ung thư amidan là một dạng ung thư vòm họng, thường gặp ở người hút thuốc, uống rượu hoặc nhiễm HPV. Triệu chứng ban đầu dễ nhầm lẫn với viêm họng, gồm đau họng kéo dài, khó nuốt, khàn giọng. Người bệnh cũng có khối u hoặc vết loét trong miệng không lành. Khi tiến triển, bệnh có thể gây sụt cân, đau tai và hạch cổ sưng to.
Nhiều người tự ý cắt amidan vì tin rằng amidan là nguyên nhân gây viêm họng tái phát, hôi miệng hoặc khó chịu khi nuốt. Một số trường hợp có sỏi amidan hoặc viêm amidan mãn tính kéo dài cũng muốn cắt bỏ để chấm dứt triệu chứng. Tuy nhiên, không phải lúc nào cắt amidan cũng là giải pháp tối ưu. Dưới đây là những trường hợp cần và không cần cắt amidan:
Cắt amidan cần tuân theo chỉ định của bác sĩ. Bác sĩ có thể chỉ định cắt amidan khi:

Dưới đây là những trường hợp không nên cắt amidan:
Quyết định phẫu thuật cần dựa trên sự đánh giá kỹ lưỡng của bác sĩ chuyên khoa. Phương pháp này nên được thực hiện khi các phương pháp điều trị khác không hiệu quả, để tránh các biến chứng nghiêm trọng. Hơn nữa, cắt amidan cũng cần chọn thời điểm thích hợp. Việc cắt amidan thường được khuyến nghị cho trẻ từ 5 tuổi trở lên và người lớn. Người trên 50 tuổi cần cân nhắc kỹ vì nguy cơ biến chứng sau cắt amidan cao hơn.
Khi đã biết amidan có tác dụng gì, chắc chắn mỗi chúng ta đều muốn amidan luôn khỏe mạnh. Và dưới đây là những việc bạn nên làm:

Amidan có tác dụng gì? Nó đóng vai trò quan trọng trong việc duy trì sự cân bằng của hệ miễn dịch. Mặc dù amidan có thể bị viêm nhiễm, nhưng nếu được chăm sóc đúng cách, nó vẫn thực hiện tốt nhiệm vụ bảo vệ cơ thể. Vì vậy, chúng ra cần áp dụng các biện pháp chăm sóc, phòng tránh và điều trị các vấn đề liên quan đến amidan hiệu quả.
Xem thêm:
Dược sĩ Đại họcNguyễn Vũ Kiều Ngân
Tốt nghiệp Đại học Y Dược TP. Hồ Chí Minh. Có nhiều năm trong lĩnh vực dược phẩm. Hiện đang là giảng viên cho Dược sĩ tại Nhà thuốc Long Châu.