Dược sĩ Đại học có nhiều năm kinh nghiệm trong việc tư vấn Dược phẩm và hỗ trợ giải đáp thắc mắc về Bệnh học. Hiện đang là giảng viên cho Dược sĩ tại Nhà thuốc Long Châu.
Phương Thảo
22/04/2025
Mặc định
Lớn hơn
Vòm miệng là khu vực nhạy cảm của cơ thể, các lớp da vùng này có thể bị xước và mài mòn hàng ngày. Đôi khi, bạn cũng sẽ gặp phải tình trạng sưng vòm miệng trên. Nguyên nhân gây ra tình trạng này là do đâu?
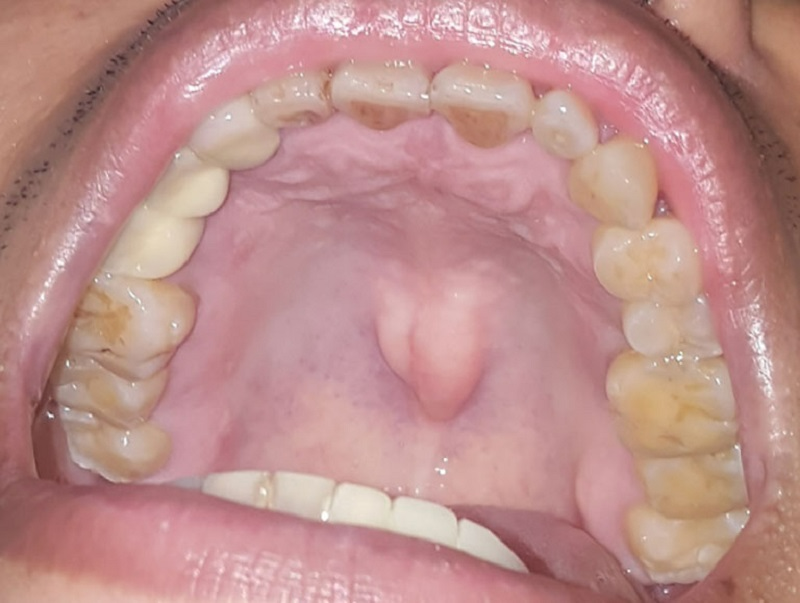
Sưng vòm miệng trên là vấn đề về khoang miệng xảy ra khá phổ biến. Phần lớn, tình trạng sưng thường là vô hại và có thể tự khỏi sau một thời gian, tuy nhiên, đôi khi chúng cũng là biểu hiện của một số bệnh lý nghiêm trọng. Để biết thêm về tình trạng bị sưng vòm miệng trên liệu có gây nguy hiểm cho sức khỏe hay không, mời bạn đọc hãy theo dõi bài viết sau đây.
Vòm miệng của chúng ta được chia ra làm hai bao gồm vòng miệng cứng và mềm. Vòng miệng cứng là phần nằm ở phía trước, được cấu tạo từ các thành phần xương tạo nên cấu trúc miệng. Ngược lại, vòm miệng mềm sẽ nằm sâu hơn trong khoang miệng, cấu tạo bởi các cơ mềm. Tình trạng sưng vòm miệng trên xảy ra đôi khi sẽ tạo cho người bệnh một số cảm giác khác đi kèm như đau, khó chịu, khô miệng, loét hoặc có các bọng nước.

Có rất nhiều nguyên nhân khác nhau có thể khiến cho bạn gặp phải tình trạng bị sưng vòm miệng trên, bao gồm các vết loét, vết bỏng hoặc u nang. Như đã đề cập qua ở phần trên, tình trạng sưng vòm miệng trên không quá nguy hiểm và có thể tự khỏi. Thế nhưng, một vài trường hợp sẽ cần thăm khám và có sự đánh giá của các bác sĩ nếu như người bệnh bị sưng và đau mà không có dấu hiệu thuyên giảm.
Dưới đây sẽ là một số nguyên nhân phổ biến khiến cho người bệnh bị sưng vòm miệng trên, việc nhận biết được nguyên nhân gốc và tình trạng cụ thể của mình sẽ giúp cho quá trình chăm sóc sức khỏe được tốt hơn.
Một số các chấn thương gây tổn thương vòm miệng trên như:
Tình trạng nhiệt miệng sẽ làm cho khoang miệng xuất hiện các vết loét nhỏ, không ngoại trừ cả vùng vòm miệng. Những vết loét có thể xuất hiện thành nhóm nhỏ hoặc đơn lẻ, tạo cho người bệnh cảm giác đau đớn, khó khăn khi nhai nuốt thức ăn. Tuy nhiên, sau một thời gian, tình trạng này có thể tự khỏi.
Bệnh lồi xương hàm trên Torus sẽ khiến cho u xương phát triển trên vòm miệng. Các u này thường là lành tính và không gây ung thư, không gây đau đớn, tuy nhiên khi kích thước u thay đổi và lớn dần lên thì sẽ khiến cho người bệnh gặp khó khăn khi ăn uống. Nguyên nhân chính gây ra bệnh lý này là do di truyền và theo thống kê, có tới 20% dân số gặp phải tình trạng này.

Điện giải là những khoáng chất có trong dịch cơ thể, máu và cả nước tiểu. Việc duy trì nồng độ các chất điện giải rất quan trọng đối với các chức năng của cơ thể. Một khi nồng độ điện giải bị mất cân bằng, quá thấp hoặc quá cao thì cơ thể bạn có thể xuất hiện các triệu chứng bất thường, trong đó có cả sưng vòm miệng trên.
Những người uống quá nhiều rượu và vẫn còn vị rượu trong miệng vào ngày hôm sau có thể cảm thấy sưng đau hoặc khó chịu ở vòm miệng. Lý do là bởi rượu kích thích khiến cho cơ thể tạo ra nhiều nước tiểu hơn, làm cho cơ thể bị mất nước. Mất nước sẽ khiến miệng bị khô và khô miệng nhiều sẽ dẫn tới sưng hoặc căng vòm miệng.
Một số tình trạng nhiễm trùng như bệnh tay chân miệng và bệnh nấm Candida có thể khiến cho vòm miệng bị sưng. Bệnh nấm miệng sẽ khiến cho miệng xuất hiện các dấu hiệu như có các mảng trắng trên vòm miệng, lưỡi và hai bên má. Những mảng trắng này dần dần sẽ biến thành các vết loét khiến cho người bệnh đau đớn.
Bên cạnh đó, bệnh tay chân miệng cũng là một căn bệnh khá thường gặp ở trẻ em và cả người lớn. Bệnh sẽ gây ra những triệu chứng như loét miệng, phồng rộp khiến cho người bệnh đau đớn, khó chịu.
Mucoceles là u nang nhầy ở miệng khởi phát do tuyến nước bọt bị viêm hoặc kích ứng. Từ đó, các dịch nhầy trong tuyến bị tích tụ lại gây nên tình trạng sưng. Tình trạng này có thể tự lành mà không cần điều trị nhưng thời gian hồi phục sẽ mất khoảng vài tuần.
Mặc dù rất hiếm và đa phần mọi người luôn nghĩ rằng những chiếc răng thừa sẽ xuất hiện sau những chiếc răng khác nhưng sự thật không đơn thuần là như vậy. Với hội chứng này, những chiếc răng thừa có thể xuất hiện ngay phía bên trên vòm miệng của người bệnh.
Trong một số các trường hợp hiếm gặp, bị sưng vòm miệng trên có thể là một dấu hiệu cảnh báo bệnh lý ung thư vòm miệng. Ngoài ra, nếu sưng vòm miệng đi kèm với triệu chứng khác như căng tức bụng thì đây có thể là dấu hiệu của bệnh viêm gan.
Tình trạng bị sưng vòm miệng trên khá đáng lo ngại và không thể chủ quan, nhất là khi cảm giác đau sưng vòm miệng không thuyên giảm dù bạn đã có can thiệp điều trị bằng nhiều cách. Do đó, khi thấy cơ thể xuất hiện các dấu hiệu bất thường, hãy đi thăm khám càng sớm càng tốt.

Để điều trị được tình trạng sưng vòm miệng trên sẽ cần dựa vào nguyên nhân gốc. Ngoài ra, bạn cũng có thể tham khảo ý kiến của các bác sĩ để giúp cải thiện những cảm giác khó chịu. Nếu còn đang phân vân không biết có nên đi thăm khám bác sĩ hay không, bạn hãy đặt ra cho mình một số câu hỏi như:

Vòm miệng có thể gặp rất nhiều các vấn đề khác nhau nếu bạn không chăm sóc và bảo vệ đúng cách. Cần ghi nhớ, đi thăm khám bác sĩ ngay khi nhận thấy cơ thể có các dấu hiệu bất thường, tuyệt đối không nên chủ quan bỏ qua các dấu hiệu cảnh báo bệnh lý. Mặc dù không thể phòng tránh tất cả các nguyên nhân gây sưng vòm miệng nhưng bạn hãy xây dựng cho mình những thói quen sinh hoạt lành mạnh, khoa học, cẩn thận khi ăn các loại thức ăn cứng, nóng, nhai thật kỹ để tránh gây tổn thương cho khoang miệng và cả hệ tiêu hóa.
Xem thêm:
Dược sĩ Đại họcNguyễn Mỹ Huyền
Dược sĩ Đại học có nhiều năm kinh nghiệm trong việc tư vấn Dược phẩm và hỗ trợ giải đáp thắc mắc về Bệnh học. Hiện đang là giảng viên cho Dược sĩ tại Nhà thuốc Long Châu.