• Thực phẩm chức năng

  • Dược mỹ phẩm

  • Thuốc

  • Chăm sóc cá nhân

  • Thiết bị y tế

  • Tiêm chủng

  • Bệnh & Góc sức khỏe

  • Hệ thống nhà thuốc

    1. /
    2. Góc sức khỏe/
    3. Phòng bệnh & Sống khoẻ

    Biểu hiện xơ phổi, nguyên nhân và phương pháp điều trị bệnh

    21/06/2023

    Kích thước chữ

    Bệnh xơ phổi gây nhiều biến chứng nguy hiểm, không phát hiện sớm và điều trị đúng cách có thể đe dọa tính mạng người bệnh. Vậy biểu hiện xơ phổi là gì? Cần lưu ý gì khi điều trị bệnh?

    Xơ phổi làm tổn thương các mô bên trong phổi, từ đó người bệnh thấy xuất hiện các cơn khó thở cùng nhiều biến chứng nguy hiểm khác. Bạn có biết nguyên nhân dẫn đến bệnh xơ hóa phổi là gì không, biểu hiện bệnh xơ phổi và phòng tránh như thế nào?

    Xơ phổi là gì?

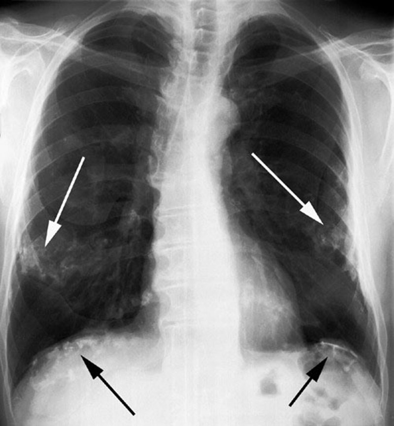
    Xơ phổi: Triệu chứng, nguyên nhân và phương pháp điều trị bệnh 1 Xơ phổi là tình trạng các mô trong phổi bị tổn thương

    Xơ phổi hay xơ hóa phổi là tình trạng các mô trong phổi bị tổn thương, dày lên và xơ cứng vì tính đàn hồi đã mất và gây sẹo ở phổi. Chính những vết sẹo ở phổi đã ngăn chặn và cản trở hoạt động hít thở của người bệnh, từ đó làm người bệnh khó thở. Bên cạnh đó, xơ phổi cũng gây ra những biến chứng nguy hiểm khác.

    Bệnh xơ phổi được chia thành 3 dạng:

    • Xơ phổi thứ phát: Xuất hiện sau khi người bệnh có tổn thương phổi như lao phổi, viêm phổi, nhồi máu phổi.
    • Xơ phổi khu trú: Khi hít phải các chất gây kích thích như bụi than, silica.
    • Xơ phổi vô căn (Idiopathic pulmonary fibrosis), bệnh phổi mô kẽ lan tỏa (Diffuse parenchymal lung disease) và bệnh viêm phế nang dị ứng ngoại lai, hay còn gọi là bệnh viêm phổi tăng cảm (Extrinsic allergic alveolitis).

    Triệu chứng, biểu hiện xơ phổi

    Xơ phổi: Triệu chứng, nguyên nhân và phương pháp điều trị bệnh 1 Bệnh xơ phổi có các triệu chứng gì?

    Triệu chứng, biểu hiện xơ phổi

    Ở mỗi bệnh nhân có diễn tiến bệnh và mức độ nghiêm trọng của bệnh phổi xơ hóa là khác nhau. Có một số bệnh nhân, bệnh xơ phổi tiến triển rất nhanh, còn một số người bệnh khác lại có triệu chứng nhẹ và sau vài tháng hoặc 1 năm thì mới dần dần phát triển biến chứng mạnh mẽ của bệnh. GS.TS.BS Ngô Quý Châu khuyến cáo, người bệnh cần đặc biệt chú ý khi thấy cơ thể có các dấu hiệu như:

    • Khó thở, đặc biệt là trong hoặc sau khi kho khan hoặc tập luyện các hoạt động thể chất.
    • Ho khan, ho khò khè, ho kéo dài, có thể ho ra máu.
    • Đau tức ngực.
    • Cảm thấy đau nhức các bắp thịt và khớp.
    • Cơ thể rơi vào trạng thái mệt mỏi, sụt cân thường xuyên mà không rõ lý do.

    Bệnh xơ phổi có biến chứng gì?

    Nếu người bệnh không được phát hiện sớm để được điều trị kịp thời thì có thể gặp một số biến chứng sau:

    • Nồng độ oxy trong máu xuống thấp.
    • Huyết áp động mạch phổi tăng cao.
    • Suy tim.
    • Viêm phổi, thuyên tắc phổi, suy hô hấp.

    Nguyên nhân gây xơ hóa phổi

    Có rất nhiều nguyên nhân làm tổn thương phổi gây xơ hóa phổi, các nguyên nhân thường gặp là:

    Môi trường lao động bị ô nhiễm

    Người lao động hoặc sống trong môi trường phải tiếp xúc với các chất độc hại, chất gây ô nhiễm như bụi silic, sợi amiăng… thường xuyên trong thời gian dài có thể làm tổn thương phổi. Ngoài ra, quá trình phơi nhiễm kinh niên đối với một số chất hữu cơ kể cả bụi ngũ cốc, mía đường, phân động vật… cũng có thể là nguyên nhân gây xơ hóa phổi.

    Ảnh hưởng của bức xạ

    Theo thống kê, có một tỷ lệ nhỏ người bệnh xơ phổi đã từng trị liệu bằng bức xạ trong điều trị các bệnh liên quan đến phổi và ung thư vú.

    Lạm dụng thuốc

    Khi không có sự chỉ định của bác sĩ mà vẫn lạm dụng một số loại thuốc có thể gây hại cho phổi, nhất là các loại thuốc hóa trị như methotrexate, cyclophosphamide; thuốc điều trị rối loạn nhịp tim và các vấn đề tim mạch như amiodarone, propranolol; thuốc tâm thần và thuốc kháng sinh như nitrofurantoin, sulfasalazine.

    Người bệnh mắc các bệnh lý liên quan

    Những bệnh bị nhiễm trùng phổi nghiêm trọng như bệnh lao, viêm phổi, viêm khớp dạng thấp, bệnh lupus ban đỏ, hội chứng Sjogren và sarcoidosis, dạ dày trào ngược… đều ảnh hưởng đến tất cả các mô trong cơ thể, trong đó có phổi.

    Còn một số trường hợp xơ hóa phổi tự phát không rõ nguyên nhân thì có một số yếu tố nguy cơ gây bệnh gồm:

    • Thói quen hút thuốc lá.
    • Nhiễm virus gây bệnh.
    • Di truyền.

    Phương pháp điều trị bệnh xơ phổi

    Theo GS.TS.BS Ngô Quý Châu, hiện nay chưa có phác đồ điều trị triệt để bệnh xơ hóa phổi. Các phương pháp điều trị hiện tại chủ yếu giúp giảm thiểu, cải thiện các triệu chứng bệnh. Từ đó, làm chậm quá trình phát triển bệnh và cải thiện và nâng cao chất lượng cuộc sống của người bệnh. Những phương pháp đó là:

    Điều trị bằng thuốc

    Một số bệnh nhân được chỉ định điều trị ban đầu với prednisone corticosteroid, sau đó có thể kết hợp thêm các loại thuốc ức chế miễn dịch khác như methotrexate, cyclosporin. Một số tác dụng phụ gặp phải khi sử dụng các loại thuốc này như buồn nôn, tiêu chảy hoặc phát ban.

    Điều trị nâng cao chất lượng cuộc sống người bệnh

    • Liệu pháp oxy: Việc thở oxy sẽ hữu ích cho hơi thở, cải thiện vận động dễ dàng hơn, giảm các biến chứng, cải thiện giấc ngủ và tinh thần người bệnh. Ngoài ra, liệu pháp oxy còn giúp giảm áp lực ở tim bên phải, do đó tùy theo mức độ và tình trạng của người bệnh mà có thể được chỉ định sử dụng liệu pháp này.
    • Phục hồi chức năng phổi: Tập thể dục, học cách hít thở hiệu quả để cải thiện tình trạng khó thở, đồng thời cải thiện và nâng cao chất lượng cuộc sống người bệnh hàng ngày.

    Cấy ghép phổi

    Xơ phổi: Triệu chứng, nguyên nhân và phương pháp điều trị bệnh 3 Cấy ghép phổi là sự lựa chọn cuối cùng cho người trẻ tuổi bị xơ hóa phổi

    Đối với người trẻ tuổi mắc bệnh xơ hóa phổi nghiêm trọng thì đây là lựa chọn cuối cùng. Để thực hiện ghép phổi thành công, người bệnh phải bỏ thuốc lá để có đủ sức khỏe giúp trải qua quá trình phẫu thuật và điều trị sau phẫu thuật,… Mặc dù vậy, cấy ghép phổi cũng là phương pháp điều trị khá phức tạp, tốn kém và tiềm ẩn nhiều nguy cơ khác. Nếu muốn cấy ghép phổi, người bệnh và gia đình cần tham khảo và xem xét ý kiến của bác sĩ về kết quả điều trị trước khi thực hiện phẫu thuật này.

    Trên đây là bài viết về bệnh xơ phổi, biểu hiện xơ phổi, những nguyên nhân gây bệnh và các phương pháp điều trị để giúp giảm thiểu, cải thiện các triệu chứng bệnh. Nếu thấy bài viết hay, hãy chia sẻ các thông tin trên đây với người thân hoặc những người đang bị bệnh để họ hiểu thêm về căn bệnh này nhé!

    Hạ Hạ

    Nguồn tham khảo: Tổng hợp

    Thông tin và sản phẩm gợi ý trong bài viết chỉ mang tính chất tham khảo, vui lòng liên hệ với Bác sĩ, Dược sĩ hoặc chuyên viên y tế để được tư vấn cụ thể. Xem thêm

    Dược sĩ Đại họcTrần Thị Dương

    Đã kiểm duyệt nội dung

    Tốt nghiệp Đại Học Dược Hà Nội và có nhiều kinh nghiệm trong lĩnh vực Dược phẩm. Nhiều năm công tác giảng dạy tại các trường trung cấp và cao đẳng dược. Hiện đang là giảng viên cho Dược sĩ tại Nhà thuốc Long Châu.

    Xem thêm thông tin
    Chủ đề:xơ phổi