• Thực phẩm chức năng

  • Dược mỹ phẩm

  • Thuốc

  • Chăm sóc cá nhân

  • Thiết bị y tế

  • Tiêm chủng

  • Bệnh & Góc sức khỏe

  • Hệ thống nhà thuốc

    1. /
    2. Góc sức khỏe/
    3. Phòng bệnh & Sống khoẻ/
    4. Kiến thức y khoa

    Điểm vàng là gì? Vai trò và cấu tạo trong thị lực mắt

    Ngọc Diễm

    26/01/2026

    Kích thước chữ

    Thị lực rõ nét và khả năng quan sát chi tiết phụ thuộc rất nhiều vào những cấu trúc quan trọng bên trong mắt. Trong đó, có một vùng nhỏ giữ vai trò trung tâm đối với việc nhìn và cảm nhận hình ảnh hằng ngày. Đó là điểm vàng. Vậy điểm vàng là gì và vì sao lại có ý nghĩa đặc biệt đối với sức khỏe đôi mắt?

    Để hiểu rõ hơn vì sao vùng này lại có ảnh hưởng lớn đến chất lượng thị lực, chúng ta cần nhìn vào cấu tạo cũng như chức năng cụ thể của nó. Nội dung tiếp theo sẽ giúp làm rõ những điểm chính, từ đó giúp bạn có cái nhìn tổng quan và dễ hiểu hơn.

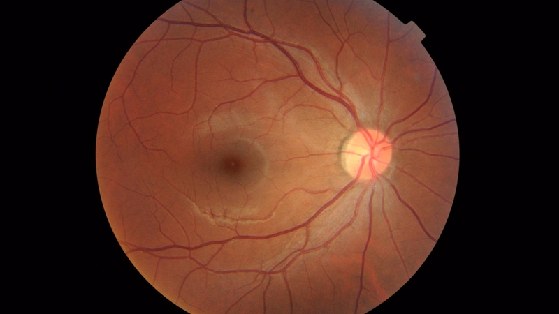
    Điểm vàng là gì? Điểm vàng nằm ở đâu trong mắt?

    Điểm vàng (hoàng điểm) là một vùng rất nhỏ nhưng đặc biệt quan trọng của mắt, liên quan trực tiếp đến khả năng nhìn rõ các chi tiết. Đây là khu vực giúp mắt thực hiện những hoạt động cần độ chính xác cao như đọc chữ, xem điện thoại hay nhận diện khuôn mặt.

    Về vị trí, điểm vàng nằm ở trung tâm võng mạc, phía sau nhãn cầu. Nhờ nằm đúng trục nhìn, điểm vàng đảm nhiệm vai trò tiếp nhận hình ảnh rõ nét nhất so với các vùng khác của võng mạc. Chính vì vậy, bất kỳ vấn đề nào xảy ra tại điểm vàng đều có thể ảnh hưởng rõ rệt đến chất lượng thị lực.

    Điểm vàng là khu vực nhạy cảm ở trung tâm võng mạc, quyết định khả năng nhìn sắc nét và tập trung của mắt
    Điểm vàng là khu vực nhạy cảm ở trung tâm võng mạc, quyết định khả năng nhìn sắc nét và tập trung của mắt

    Cấu tạo cơ bản của điểm vàng

    Để thực hiện tốt vai trò trong việc tạo nên thị lực rõ nét, vùng này được hình thành từ nhiều thành phần với cấu trúc đặc biệt. Tìm hiểu cấu tạo cơ bản của điểm vàng sẽ giúp làm rõ vì sao đây là khu vực nhạy cảm nhưng vô cùng quan trọng đối với khả năng nhìn và cảm nhận hình ảnh của mắt:

    • Hố trung tâm: Nằm ở giữa điểm vàng, là nơi tập trung mật độ tế bào cảm thụ ánh sáng cao nhất, giúp hình ảnh được ghi nhận rõ nét.
    • Tế bào nón: Chiếm ưu thế tại điểm vàng, có nhiệm vụ nhận biết màu sắc và chi tiết hình ảnh.
    • Các lớp tế bào võng mạc được sắp xếp mỏng và gọn: Giúp ánh sáng đi thẳng tới tế bào cảm thụ, hạn chế nhiễu và tăng độ sắc nét.
    • Hệ thống mạch máu xung quanh: Cung cấp dưỡng chất và oxy cần thiết để duy trì hoạt động ổn định của điểm vàng.
    Cấu tạo cơ bản của điểm vàng gồm các lớp tế bào võng mạc đặc biệt
    Cấu tạo cơ bản của điểm vàng gồm các lớp tế bào võng mạc đặc biệt

    Vai trò của điểm vàng đối với thị lực trung tâm

    Thị lực trung tâm giữ vai trò quan trọng trong hầu hết các hoạt động hằng ngày, từ đọc chữ, học tập đến quan sát và nhận diện hình ảnh. Để đảm nhiệm chức năng này, mắt cần đến một vùng có khả năng tiếp nhận và xử lý hình ảnh với độ chính xác cao. Đó cũng chính là lý do vai trò của điểm vàng đối với thị lực trung tâm luôn được đặc biệt quan tâm khi nói đến sức khỏe đôi mắt:

    • Tạo thị lực trung tâm sắc nét: Điểm vàng là nơi tập trung mật độ cao các tế bào cảm thụ ánh sáng, giúp mắt ghi nhận hình ảnh rõ ràng và chi tiết nhất tại vùng nhìn thẳng.
    • Hỗ trợ đọc, viết và xử lý thông tin thị giác: Nhờ chức năng của điểm vàng, mắt có thể nhận diện chữ viết, con số và ký hiệu với độ chính xác cao, từ đó hỗ trợ hiệu quả cho việc học tập, làm việc và tiếp nhận thông tin hằng ngày.
    • Phân biệt màu sắc và độ tương phản: Điểm vàng giúp mắt nhận biết và phân biệt các màu sắc khác nhau một cách rõ ràng, đồng thời cảm nhận được sự khác biệt về độ sáng, tối, góp phần tạo nên hình ảnh chân thực.
    • Nhận diện khuôn mặt và vật thể: Thông tin hình ảnh thu nhận từ điểm vàng cho phép não bộ phân tích hình dạng, đường nét và chi tiết, giúp con người dễ dàng nhận ra khuôn mặt, đồ vật và các đối tượng quen thuộc.
    • Hỗ trợ phối hợp giữa mắt và não: Điểm vàng đóng vai trò truyền tải hình ảnh chính xác lên não, giúp quá trình xử lý thông tin thị giác diễn ra nhanh chóng và hiệu quả, từ đó cải thiện khả năng phản xạ và định hướng.
    • Ảnh hưởng trực tiếp đến chất lượng sinh hoạt hằng ngày: Khi điểm vàng hoạt động tốt, các hoạt động như đọc sách, sử dụng thiết bị điện tử, lái xe hay làm việc đòi hỏi sự tập trung cao sẽ diễn ra thuận lợi và an toàn hơn.
    Điểm vàng giúp mắt quan sát rõ các chi tiết nhỏ và tập trung vào đối tượng ở trung tâm tầm nhìn
    Điểm vàng giúp mắt quan sát rõ các chi tiết nhỏ và tập trung vào đối tượng ở trung tâm tầm nhìn

    Các vấn đề thường gặp liên quan đến điểm vàng

    Bên cạnh vai trò quan trọng đối với thị lực trung tâm, vùng này cũng rất nhạy cảm và dễ bị ảnh hưởng bởi nhiều yếu tố khác nhau. Khi xảy ra bất thường, chức năng nhìn rõ có thể suy giảm đáng kể và ảnh hưởng trực tiếp đến sinh hoạt hằng ngày:

    • Thoái hóa điểm vàng: Đây là tình trạng điểm vàng bị suy giảm chức năng theo thời gian, thường gặp ở người lớn tuổi. Người mắc có thể thấy hình ảnh mờ, biến dạng, khó đọc chữ hoặc khó nhận diện khuôn mặt.
    • Phù hoàng điểm: Xảy ra khi dịch bị ứ đọng tại vùng điểm vàng, khiến cấu trúc khu vực này bị dày lên. Tình trạng này làm hình ảnh nhìn thấy bị nhòe, méo hoặc kém rõ, thường liên quan đến các bệnh lý võng mạc hoặc rối loạn tuần hoàn trong mắt.
    • Tổn thương điểm vàng do lão hóa: Theo tuổi tác, các tế bào tại điểm vàng có thể suy yếu hoặc thoái hóa dần, làm giảm khả năng nhìn chi tiết và phân biệt màu sắc, ngay cả khi không có bệnh lý rõ ràng.
    • Ảnh hưởng từ các bệnh toàn thân: Một số bệnh như rối loạn chuyển hóa, bệnh mạch máu hoặc các vấn đề sức khỏe mạn tính có thể tác động gián tiếp đến điểm vàng, làm tăng nguy cơ suy giảm thị lực trung tâm nếu không được kiểm soát tốt.
    • Tác động từ ánh sáng và thói quen sinh hoạt: Việc tiếp xúc thường xuyên với ánh sáng mạnh, sử dụng thiết bị điện tử trong thời gian dài, thiếu nghỉ ngơi cho mắt hoặc chế độ sinh hoạt không hợp lý có thể khiến điểm vàng bị quá tải và suy giảm chức năng theo thời gian.
    Coi điện thoại quá nhiều có thể làm tăng nguy cơ mắc các bệnh liên quan đến điểm vàng và ảnh hưởng đến thị lực lâu dài
    Coi điện thoại quá nhiều có thể làm tăng nguy cơ mắc các bệnh liên quan đến điểm vàng và ảnh hưởng đến thị lực lâu dài

    Cách chăm sóc và bảo vệ điểm vàng để duy trì thị lực

    Những thói quen sinh hoạt phù hợp và cách chăm sóc mắt đúng cách sẽ góp phần duy trì chức năng thị giác lâu dài. Nội dung sau đây sẽ gợi ý cách chăm sóc và bảo vệ điểm vàng để duy trì thị lực một cách hiệu quả:

    • Duy trì chế độ sinh hoạt khoa học: Ngủ đủ giấc, hạn chế thức khuya và tránh để mắt làm việc căng thẳng liên tục giúp mắt có thời gian nghỉ ngơi và tái tạo. Một lối sống điều độ còn góp phần cải thiện tuần hoàn máu, hỗ trợ nuôi dưỡng tốt hơn cho võng mạc và điểm vàng.
    • Bảo vệ mắt khỏi ánh sáng mạnh: Ánh nắng mặt trời và ánh sáng xanh có thể gây hại cho tế bào mắt nếu tiếp xúc lâu dài. Việc đeo kính chống tia UV khi ra ngoài hoặc sử dụng kính lọc ánh sáng xanh khi làm việc giúp giảm áp lực lên điểm vàng và hạn chế tổn thương thị lực.
    • Sử dụng thiết bị điện tử hợp lý: Làm việc với màn hình trong thời gian dài dễ gây mỏi mắt và khô mắt. Nên giữ khoảng cách phù hợp, điều chỉnh độ sáng màn hình vừa phải và cho mắt nghỉ ngơi định kỳ để giảm gánh nặng cho điểm vàng.
    • Bổ sung dinh dưỡng có lợi cho mắt: Một chế độ ăn uống cân bằng, giàu vitamin, khoáng chất và chất chống oxy hóa giúp bảo vệ tế bào võng mạc. Dinh dưỡng hợp lý không chỉ hỗ trợ điểm vàng hoạt động ổn định mà còn giúp làm chậm quá trình suy giảm thị lực theo tuổi tác.
    • Khám mắt định kỳ: Kiểm tra mắt thường xuyên giúp phát hiện sớm những thay đổi hoặc bất thường tại điểm vàng, ngay cả khi chưa có triệu chứng rõ ràng. Việc theo dõi định kỳ giúp chủ động điều chỉnh thói quen sinh hoạt và chăm sóc mắt kịp thời.
    Hãy bổ sung nhiều thực phẩm giàu chất chống oxy hóa để giúp bảo vệ mắt và duy trì thị lực khỏe mạnh
    Hãy bổ sung nhiều thực phẩm giàu chất chống oxy hóa để giúp bảo vệ mắt và duy trì thị lực khỏe mạnh

    Có thể thấy, điểm vàng giữ vị trí then chốt trong việc tạo nên thị lực trung tâm rõ nét và khả năng quan sát chi tiết của mắt. Chủ động duy trì lối sống lành mạnh, bảo vệ mắt đúng cách và kiểm tra định kỳ sẽ góp phần giữ cho điểm vàng hoạt động ổn định, từ đó duy trì thị lực lâu dài và chất lượng cuộc sống tốt hơn.

    Có thể bạn quan tâm

    Thông tin và sản phẩm gợi ý trong bài viết chỉ mang tính chất tham khảo, vui lòng liên hệ với Bác sĩ, Dược sĩ hoặc chuyên viên y tế để được tư vấn cụ thể. Xem thêm

    Dược sĩ Đại họcNguyễn Mỹ Huyền

    Đã kiểm duyệt nội dung

    Dược sĩ Đại học có nhiều năm kinh nghiệm trong việc tư vấn Dược phẩm và hỗ trợ giải đáp thắc mắc về Bệnh học. Hiện đang là giảng viên cho Dược sĩ tại Nhà thuốc Long Châu.

    Xem thêm thông tin