Tốt nghiệp Đại học Dược Hà Nội, với hơn 10 năm kinh nghiệm trong lĩnh vực Dược phẩm. Hiện là giảng viên giảng dạy các môn Dược lý, Dược lâm sàng,...
02/04/2025
Mặc định
Lớn hơn
Nguyên nhân, kỹ thuật chẩn đoán gãy xương bánh chè. Giải đáp: Gãy xương bánh chè có phải mổ không.
Xương bánh chè là một loại xương rất quan trọng, tham gia vào quá trình vận động, vì vậy khi chúng bị tổn thương sẽ gây ra rất nhiều ảnh hưởng đến cuộc sống hằng ngày. Khi bị tai nạn bệnh nhân thường thấy cảm giác đau nhói ở mặt trước khớp gối và không thể duỗi được.
Do đó, rất nhiều người thắc mắc rằng: Gãy xương bánh chè có phải mổ không? Vậy hãy cùng Nhà thuốc Long Châu tìm hiểu về vấn đề này trong bài viết dưới đây nhé!
Gãy xương bánh chè là chấn thương có liên quan đến những va đập mạnh vào vùng đầu gối, thường gặp là:
Gãy xương bánh chè có phải mổ không?
Người bệnh đến với bác sĩ sẽ được thăm hỏi về tiền sử chấn thương, sau đó là thăm khám đầu gối và chụp X - quang. Bằng phương pháp nhìn và sờ bác sĩ sẽ xác định được mảnh xương bánh chè có bị di lệch hay không, có hiện tượng tụ máu hay không.
Ngoài ra, việc mất khả năng duỗi của đầu gối cũng cho thấy rằng có sự tổn thương của dây chằng giữa và dây chằng bên cùng với vết gãy. Trường hợp có xảy ra chấn thương với lực trực tiếp vào đầu gối hoặc là đầu trên xương chày, cần phải khám cả khớp gối và khớp háng. Đặc biệt là dây chằng chéo sau, phần xa xương đùi và dây chằng chéo trước.
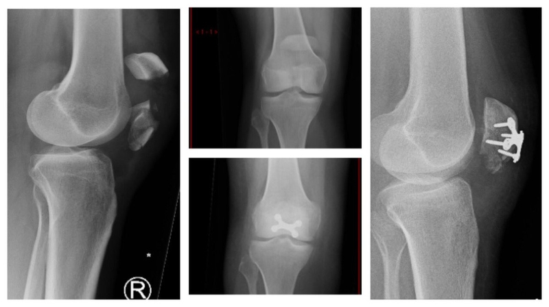
Chụp X - quang hai bên khớp gối là bắt buộc bởi chúng sẽ cho thấy tổn thương của xương bánh chè cũng như các cấu trúc xương xung quanh. Trong các trường hợp nghi ngờ gãy xương liên tục hoặc có chấn thương dây chằng, sụn chêm, sụn đầu gối kèm theo.
Chụp CT sẽ cung cấp hình ảnh chính xác về kiểu gãy xương trong khi MRI giúp góp phần phát hiện thêm các chấn thương phần mềm.

Chụp X - quang xương bánh chè
Để trả lời được câu hỏi trên, trước hết cần biết những phương pháp điều trị thường được sử dụng đối với trường hợp gãy xương bánh chè.
Gãy xương bánh chè có thể dẫn đến tình trạng máu chảy vào khớp. Chăm sóc đặc biệt khi đến bệnh viện bao gồm rút máu và các chất lỏng dịch tiết ra khỏi khớp để giảm sưng, đau. Ngoài ra còn giúp cho việc chẩn đoán dễ dàng hơn.
Đây là phương pháp điều trị được chỉ định trong những trường hợp gãy xương không di dời và không bị giới hạn duỗi gối.
Việc điều trị bao gồm cố định phần xương chấn thương bằng nẹp với độ uốn xấp xỉ 10o. Kết hợp với phục hồi chức năng(có thể bắt đầu vào khoảng ngày thứ 10). Sau đó tăng dần nhưng không vượt quá 90o trước khi nẹp củng cố trong tối thiểu 45 ngày. Bệnh nhân nên chủ động luyện tập vận động sớm để ngăn ngừa tình trạng cứng khớp.
Trong quá trình này, bạn cần kiểm tra hai lần: Lần đầu tiên vào khoảng 10 – 15 ngày để loại trừ sự di lệch thứ cấp. Lần thứ hai sau 45 ngày để đánh giá sự liền của xương.
Ưu điểm lớn nhất của phương pháp điều trị không phẫu thuật chính là thời gian nằm viện ngắn, không xâm lấn hay gây mê.
Tuy nhiên chúng cũng có nhược điểm, đó chính là thời gian bất động lâu hơn, tỷ lệ di lệch thứ phát cao hơn và còn có thể phát triển chứng dính khớp thứ phát.

Điều trị không phẫu thuật bằng cách bó bột
Điều trị phẫu thuật được chỉ định khi độ di lệch lớn hơn 4 mm và hoặc là trật khớp lớn hơn 2mm cũng như kèm theo hạn chế duỗi gối. Mục tiêu của việc điều trị phẫu thuật chính là sự thu nhỏ về mặt giải phẫu của bề mặt khớp cũng như tạo ra sự ổn định. Từ đó cho phép bệnh nhân có thể cử động sớm hơn và khôi phục chức năng đầu gối nhanh hơn.
Vậy thì gãy xương bánh chè có phải mổ không? Câu trả lời chính là tùy từng trường hợp. Cụ thể, đối với chấn thương không di lệch thì việc phẫu thuật là không cần thiết. Còn chấn thương có di lệch, theo tình trạng cụ thể sẽ có những cách xử lý như sau:
Phẫu thuật xương bánh chè
Sau khi phẫu thuật, người bệnh sẽ có cảm giác đau trong một thời gian. Có thể sử dụng các phương pháp như: Chườm lạnh, kê cao chân hơn tim hay các loại thuốc giảm đau (paracetamol, ibuprofen, naproxen).
Sau khi phẫu thuật hay bó bột người bị vỡ xương bánh chè cần luyện tập các bài tập phục hồi chức năng. Mục đích là để khắc phục tình trạng cứng khớp và yếu cơ do bất động quá lâu.
Ngoài ra cũng cần chú ý tái khám theo đúng lịch của bác sĩ để được theo dõi tình hình, tránh những biến chứng sau phẫu thuật.

Giảm đau sau phẫu thuật bằng phương pháp chườm
Trên đây chính là những giải đáp của chúng tôi cho câu hỏi: Gãy xương bánh chè có phải mổ không? Tùy theo tình trạng chấn thương mà bác sĩ sẽ quyết định phương pháp chữa trị phù hợp cho bạn.
Xem thêm
Gãy xương bánh chè nên ăn gì để hồi phục nhanh?
Cách điều trị chấn thương gãy xương bánh chè do bác sĩ gợi ý
Dược sĩ Đại họcNguyễn Thanh Hải
Tốt nghiệp Đại học Dược Hà Nội, với hơn 10 năm kinh nghiệm trong lĩnh vực Dược phẩm. Hiện là giảng viên giảng dạy các môn Dược lý, Dược lâm sàng,...