Tốt nghiệp loại giỏi trường Đại học Y Dược Huế. Từng tham gia nghiên cứu khoa học đề tài về Dược liệu. Nhiều năm kinh nghiệm làm việc trong lĩnh vực Dược phẩm. Hiện đang là giảng viên cho Dược sĩ tại Nhà thuốc Long Châu.
Thu Ngân
30/12/2024
Mặc định
Lớn hơn
Chẩn đoán viêm ruột thừa chính xác đóng vai trò quan trọng trong việc đưa ra phương pháp điều trị kịp thời, giúp bảo vệ sức khỏe và tính mạng của người bệnh. Theo dõi bài viết dưới đây của Nhà thuốc Long Châu sẽ cho bạn biết được chẩn đoán viêm ruột thừa bằng cách nào.
Viêm ruột thừa là một trong những tình trạng cấp cứu ngoại khoa phổ biến nhất, đặc biệt cần được chẩn đoán và xử lý nhanh chóng. Việc chẩn đoán viêm ruột thừa kịp thời đóng vai trò quan trọng, bởi nếu không được can thiệp sớm, bệnh có thể dẫn đến viêm phúc mạc, gây nguy hiểm đến tính mạng.
Viêm ruột thừa được coi là một trong những bệnh lý cần cấp cứu ngoại khoa thường gặp nhất. Chẩn đoán viêm ruột thừa hiện nay chủ yếu dựa trên các dấu hiệu lâm sàng, mặc dù những tiến bộ vượt bậc trong chẩn đoán hình ảnh đã hỗ trợ rất nhiều trong việc xác định bệnh một cách chính xác và nhanh chóng.
Tại Hoa Kỳ, viêm ruột thừa cấp tính được xem là nguyên nhân hàng đầu gây đau bụng cấp tính cần can thiệp phẫu thuật. Theo thống kê, hơn 5% dân số từng mắc viêm ruột thừa trong đời. Bệnh thường xuất hiện phổ biến nhất ở lứa tuổi thiếu niên và độ tuổi 20, nhưng thực tế có thể xảy ra ở bất kỳ độ tuổi nào. Việc chẩn đoán viêm ruột thừa kịp thời là yếu tố quan trọng để ngăn ngừa các biến chứng nguy hiểm.

Nguyên nhân chính của viêm ruột thừa là tình trạng tắc nghẽn ruột thừa, dẫn đến nhiễm khuẩn và viêm nhiễm. Dưới đây là các yếu tố gây tắc nghẽn phổ biến:
Việc hiểu rõ nguyên nhân và phát hiện kịp thời các triệu chứng đóng vai trò rất quan trọng trong quá trình chẩn đoán viêm ruột thừa, giúp tránh những biến chứng nguy hiểm như viêm phúc mạc hoặc thủng ruột thừa.
Chẩn đoán viêm ruột thừa ở thể điển hình, khi ruột thừa nằm tại hố chậu phải, thường khá dễ dàng. Tuy nhiên, ở những trường hợp không điển hình, việc chẩn đoán trở nên khó khăn hơn, dễ bị bỏ sót hoặc phát hiện muộn, dẫn đến nguy cơ biến chứng nghiêm trọng.
Các biện pháp chẩn đoán viêm ruột thừa như sau:
Bao gồm các triệu chứng cơ năng như:
Bên cạnh đó các triệu chứng toàn thân khác cũng báo hiệu viêm ruột thừa như sau:
Khi nhập viện do nghi ngờ viêm ruột thừa, bác sĩ thường sẽ tập trung xác định phản ứng thành bụng. Khi đó vùng hố chậu phải thường căng cứng khi ấn. Cùng lúc đó sẽ xác định điểm đau đặc trưng là điểm McBurney trong thể điển hình, các điểm Lanz, Clado hoặc điểm đau khác tùy thuộc vào vị trí ruột thừa bất thường.

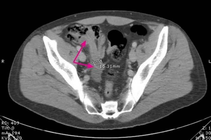
Một số xét nghiệm để tăng mức độ khẳng định cho trường hợp viêm ruột thừa bao gồm:
Như vậy chẩn đoán viêm ruột thừa đòi hỏi sự kết hợp giữa triệu chứng lâm sàng, cận lâm sàng và các phương pháp hình ảnh để xác định chính xác và kịp thời, đặc biệt trong các trường hợp phức tạp.

Viêm ruột thừa có nhiều triệu chứng tương tự với một số bệnh lý khác, đặc biệt là các bệnh vùng bụng và khung chậu. Do đó, việc chẩn đoán phân biệt là rất quan trọng để tránh bỏ sót hoặc nhầm lẫn, dẫn đến điều trị không phù hợp. Dưới đây là một số bệnh lý cần lưu ý khi chẩn đoán phân biệt viêm ruột thừa:

Viêm ruột thừa nếu không được chẩn đoán và điều trị kịp thời có thể dẫn đến những biến chứng nguy hiểm như viêm phúc mạc hoặc áp xe. Do đó, việc nâng cao nhận thức, kết hợp kỹ năng lâm sàng với cận lâm sàng là yếu tố then chốt để bảo vệ sức khỏe và tính mạng người bệnh.
Như vậy bài viết trên đã giải đáp được vấn đề chẩn đoán viêm ruột thừa bằng cách nào. Hi vọng kiến thức này sẽ giúp bạn bảo vệ được sức khỏe cho bản thân và gia đình.
Dược sĩ Đại họcNgô Kim Thúy
Tốt nghiệp loại giỏi trường Đại học Y Dược Huế. Từng tham gia nghiên cứu khoa học đề tài về Dược liệu. Nhiều năm kinh nghiệm làm việc trong lĩnh vực Dược phẩm. Hiện đang là giảng viên cho Dược sĩ tại Nhà thuốc Long Châu.