Tốt nghiệp đại học Khoa Dược. Có kinh nghiệm hơn 10 năm trong lĩnh vực Dược phẩm, tư vấn thuốc và thực phẩm chức năng. Hiện đang là giảng viên cho Dược sĩ tại Nhà thuốc Long Châu.
Thục Hiền
29/05/2025
Mặc định
Lớn hơn
Hội chứng Zellweger là một rối loạn di truyền từ mẹ sang con và gây ra các rối loạn chức năng của cơ thể, ảnh hưởng đến sức khỏe của trẻ sơ sinh sau khi sinh ra. Đây là một hội chứng hiếm gặp, do đó việc hiểu rõ căn bệnh cũng như các nguyên nhân và cách phòng tránh là cần thiết. Vậy hội chứng Zellweger là gì? Nguyên nhân và các cách phòng tránh như thế nào?
Hội chứng Zellweger là một hội chứng di truyền và không phải ai cũng mắc phải hội chứng này. Tuy nhiên, hội chứng Zellweger lại gây ra nhiều ảnh hưởng nghiêm trọng đến sức khỏe. Vậy hội chứng Zellweger là gì? Nguyên nhân và các cách phòng tránh như thế nào?
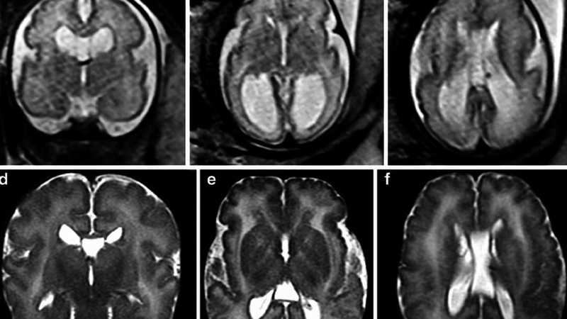
Hội chứng Zellweger hay còn gọi là hội chứng não gan, là một rối loạn di truyền hiếm gặp được đặc trưng bởi sự vắng mặt hoặc giảm chức năng của các peroxisome chức năng trong tế bào, ảnh hưởng đến quá trình oxy hóa beta của các chuỗi acid béo dài. Đây là một bệnh di truyền lặn trên các nhiễm sắc thể thường, gây ra nhiều vấn đề nghiêm trọng liên quan đến hệ thần kinh và các quá trình chuyển hóa trong cơ thể.
Hội chứng zellweger là kết quả của các đột biến trong một số gen cụ thể. Nếu cả mẹ và cha đều mang gen đột biến, con cái có thể có đến 50% khả năng mang gen đột biến nhưng không phát triển thành bệnh. Đây là một bệnh hiếm, làm ảnh hưởng nghiêm trọng đến sức khỏe của trẻ sơ sinh.

Các triệu chứng của hội chứng Zellweger thường xuất hiện ngay sau sinh và có những dấu hiệu bất thường trên mặt như:
Một số biểu hiện khác:
Trẻ sơ sinh khi mắc hội chứng Zellweger này, có thể có các dấu hiệu như không có khả năng nghe, không nhìn được hoặc không có khả năng tự ăn được.

Nếu mẹ hoặc ba đang mắc hội chứng hoặc đang có nguy cơ mang các gen đột biến PEX, cần đi đến gặp bác sĩ để được tư vấn về di truyền.
Nếu các triệu chứng của bệnh quá nặng, ảnh hưởng đến khả năng sức khỏe của người bệnh cần đi đền cơ sở y tế gần nhất để được điều trị kịp thời.
Hội chứng Zellweger xảy ra là do đột biến ở nhiều gen khác nhau cần thiết cho quá trình sinh học peroxisome. Các đột biến ở ít nhất 13 gen PEX khác nhau đã được liên kết và các gen PEX mã hóa các loại protein được gọi là peroxin. Các gen thường xảy ra đột biến là PEX1 hoặc PEX6 và được tìm thấy ở 65% bệnh nhân.
Các peroxisome có vai trò trong việc phân hủy cá độc tố và chất béo, đóng vai trò quan trọng trong sự phát triển của nhiều cơ quan như:
Ngoài ra, các rối loạn peroxisomal được chia thành 3 nhóm khác nhau dựa trên việc rối loạn chức năng của các peroxisome như:

Một số yếu tố có thể làm tăng nguy cơ di truyền hội chứng Zellweger như:
Để có thể chẩn đoán được hội chứng Zellweger chính xác, có thể thực hiện các xét nghiệm sau:
Hội chứng zellweger là một bệnh di truyền hiếm và không có một phương pháp điều trị đặc hiệu để điều trị dứt điểm bệnh.
Có thể điều trị triệu chứng và cải thiện chất lượng cuộc sống của người bệnh.
Đây là một bệnh di truyền hiếm gặp nên không có một phương pháp hay thói quen sinh hoạt nào có thể giúp hạn chế được diễn tiến của bệnh.
Không có phương pháp nào giúp hạn chế hội chứng Zellweger do là một bệnh di truyền hiếm gặp. Tuy nhiên nếu người trong gia đình có tiền sử mắc bệnh này hoặc nghi ngờ có khả năng mang gen liên quan đến hội chứng Zellweger, cần được tư vấn di truyền bởi các chuyên gia y tế.
Một số cố vấn về di truyền có thể giúp đánh giá về nguy cơ truyền bệnh, giúp có những quyết định về việc điều trị.
Nếu là người đang mang gen liên quan đến hội chứng Zellweger, cần được tư vấn di truyền để có thể giúp cân nhắc được những rủi ro khi có con và thảo luận với các chuyên gia về cách giảm các nguy cơ mắc bệnh cho con cái tương lai.

Hy vọng những thông tin trong bài sẽ giúp bạn đọc hiểu rõ hơn về hội chứng hiếm gặp Zellweger, nguyên nhân gây bệnh và cách phòng ngừa hiệu quả để tránh ảnh hưởng đến sức khỏe. Đây là một bệnh di truyền, do đó cần nên có sự tham vấn của bác sĩ để có hướng điều trị, ngăn sự di truyền trước khi có mong muốn có con.
Xem thêm:
Dược sĩ Đại họcNguyễn Thị Hồng Nhung
Tốt nghiệp đại học Khoa Dược. Có kinh nghiệm hơn 10 năm trong lĩnh vực Dược phẩm, tư vấn thuốc và thực phẩm chức năng. Hiện đang là giảng viên cho Dược sĩ tại Nhà thuốc Long Châu.